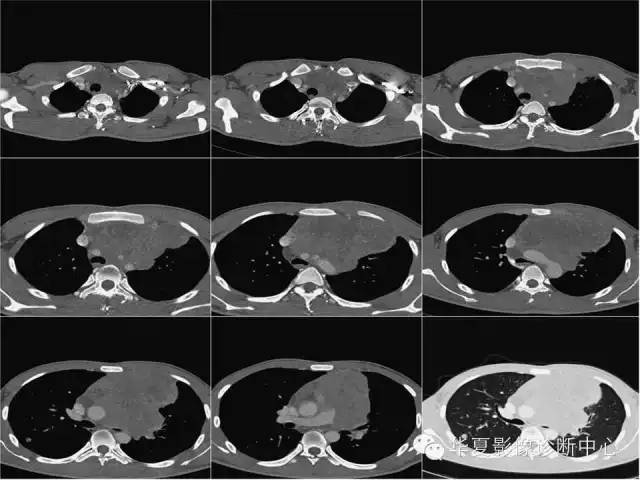
【病例】纵隔生殖细胞肿瘤1例CT影像表现

发布时间:2022-10-21

【病例】纵隔生殖细胞肿瘤1例CT影像表现

【病例】纵隔生殖细胞肿瘤1例CT影像表现

【病例】纵隔生殖细胞肿瘤1例CT影像表现

【病例】纵隔生殖细胞肿瘤1例CT影像表现

【病例】纵隔生殖细胞肿瘤1例CT影像表现

【病例】纵隔生殖细胞肿瘤1例CT影像表现

精彩图片

热门精选