【病例】肺错构瘤1例CT影像表现

发布时间:2022-10-21

[病程描述]

男,52岁,查体发现肺部病变

【病例】肺错构瘤1例CT影像表现

【病例】肺错构瘤1例CT影像表现

【病例】肺错构瘤1例CT影像表现

【病例】肺错构瘤1例CT影像表现

【病例】肺错构瘤1例CT影像表现

【病例】肺错构瘤1例CT影像表现

【病例】肺错构瘤1例CT影像表现

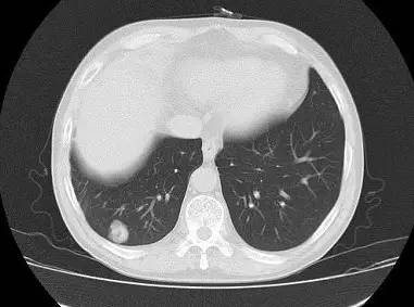
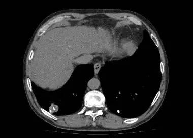
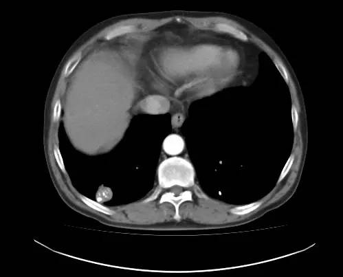
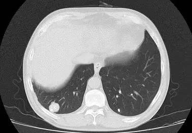
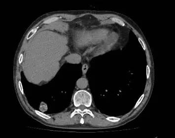
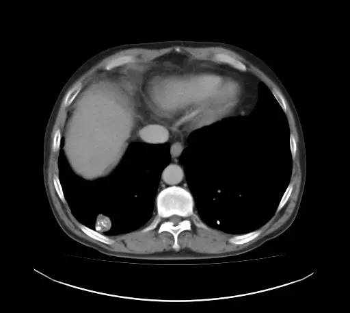
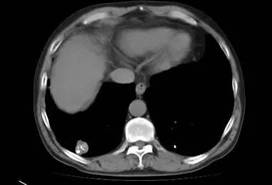
[影像描述]

右肺下叶结节样病变,内有钙化、脂肪成分,增强后可见轻度强化。

[检查结果]

右肺下叶错构瘤.

[分析讨论]

右肺下叶病变内有钙化、脂肪成分,典型爆米花样钙化,增强后可见轻度强化。

精彩图片

热门精选