骨淋巴瘤及软骨肉瘤两例CT及MR影像表现
发布时间:2022-10-26
发布时间:2022-10-26









周晓彤 20:04
各位老师,磁共振图像是增强检查,最后一张是DWI图像[愉快]
致远 20:05
棕色瘤?
李俊秋 20:06
@群助手周晓彤 青大附院研究生 感谢周老师提供的好病例!@张时秒 晋江市安海医院 影像科 请提供诊断依据
致远 20:07
病灶没有壁,什么肿瘤可以这样
曲军—龙口市人民医院 20:08
恶性肿瘤?
飞鹰行动 20:08
恶性肿瘤,
弱弱的强光 20:08
转移
风雨 20:08
恶性,肉瘤,鉴别转移
葛英霖 20:09
浸润性生长,恶性程度不低,信号比较均匀,淋巴瘤或者转移瘤吧
飞鹰行动 20:09
边缘无壁,无硬化,内部密度均匀,浆细胞瘤,淋巴瘤可能
飞鹰行动 20:09
转移瘤不排除
葛英霖 20:09
恶纤组之类也可以
何春祥 20:10
胫骨近端骨质破坏,边缘不清,破坏边模糊,骨皮质不完整,可见软组织肿块突破骨皮质外,病灶累及关节面下,无关节内累及,MRI病灶呈T2WI高信号,信号均匀,考虑:恶性肿瘤性病变,淋巴瘤先考虑,转移瘤及其他待排
张小林 20:10
确实支持恶性肿瘤
何春祥 20:11
MRI没有T1WI,没有增强
何春祥 20:12
骨皮质不完整,破坏边毛糙,恶性占位应该没问题
张小林 20:13
我支持葛老师的疾病谱。
杨敏洁,深医 20:13
小圆细胞
LADENG 20:13
淋巴瘤弥散不受限吧
张小林 20:14
受限
李俊秋 20:14
@深医放射,杨敏洁 这个小圆细胞,是个什么东东?请讲
李俊秋 20:15
淋巴瘤,转移瘤,恶纤组,纤维肉瘤,请选一个。
张小林 20:16
淋巴瘤
曲军—龙口市人民医院 20:16
恶纤组
海中之龙 20:16
选淋巴瘤
飞鹰行动 20:16
支持
李俊秋 20:16
开宝,










何春祥 20:17
二年的病史,转移应该时间长了点
李俊秋 20:17
大伙都好厉害,看来淋巴瘤已经深入人心。
杨敏洁,深医 20:18
我记得以前诊断淋巴瘤不容易,现在好像很容易
杨敏洁,深医 20:18
基本上淋巴瘤会被秒杀
李俊秋 20:19
@何春祥南丰人民医院影像科 @王飞—贵州省思南县医院放射科 @赵海龙-陕西汉中影像 @深医放射,杨敏洁 为什么会被秒杀?
张小林 20:20
大家的水平都在提高。
杨敏洁,深医 20:20
骨的基本形态保留的恶性肿瘤基本上也就尤文和淋巴瘤了
杨敏洁,深医 20:20
这俩年龄相差悬殊,所以比较容易鉴别
杨敏洁,深医 20:21
本例是原发还是转移?
飞鹰行动 20:21
内部密度和信号比较均匀,无钙化,无骨膜反应,骨质破坏边缘不清晰,软组织较明显,弥散受限,首先不能排除淋巴瘤
周晓彤 20:21
是原发
李俊秋 20:23
@群助手周晓彤 青大附院研究生 其他部位没有是吧?,
周晓彤 20:23
没有老师@李俊秋骨肌1 2群群主 教学组组长
李俊秋 20:23
没有问题,开始第二例。








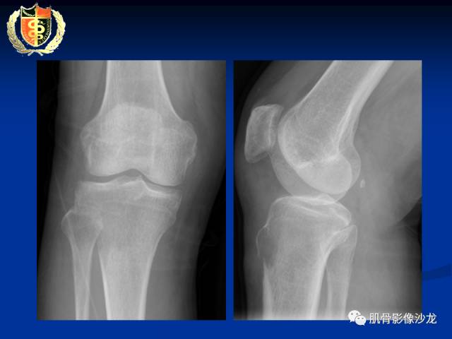
何春祥 20:28
内生软骨瘤?
葛英霖 20:28
有症状,有骨膜反应,还是考虑肉瘤比较合适
飞鹰行动 20:29
软骨肉瘤?
张小林 20:29
恶性肿瘤
张小林 20:29
不支持良性病变
葛英霖 20:30
目前看考虑软骨来源是合理的
张太娟 20:30
支持
何春祥 20:30
这些应该是钙化吧
杨敏洁,深医 20:31
估计又被葛老师秒了
张中收 20:31
软粘纤?
张小林 20:32
不像吧?
飞鹰行动 20:32
软粘纤的钙化不多见
张小林 20:32
还是支持软骨肉瘤
张中收 20:32
骨膜反应是连续的
张太娟 20:34
里面的高信号是软骨吧
海中之龙 20:35
不考虑CMF
张小林 20:36
@赵海龙-陕西汉中影像 支持!
飞鹰行动 20:37
开了吧?
赵松波 20:39
不能除外骨肉瘤
张太娟 20:42
有没有海绵状血管瘤可能?
李俊秋 20:43
@深医放射,杨敏洁 逃不过葛老师和杨总的火眼金睛[坏笑]
李俊秋 20:43
那我开宝








张小林 20:49
两个病例都被葛老师秒杀了,功力深厚![强][强][强]
葛英霖 20:51
这说明病例没有坑,是常规思路
杨敏洁,深医 20:52
日常工作还是靠常规
上一篇:椎管神经管原肠囊肿1例MR