胫骨骨肉瘤1例X线CT及MR影像诊断
发布时间:2022-10-26
发布时间:2022-10-26
【所属科室】骨科
【基本资料】男,19岁
【主诉】外伤后左踝关节疼痛、肿胀1月余
【现病史】患者入院前1月踢足球时摔伤。左踝关节疼痛、肿胀,外敷草药及针灸治疗,症状无明显缓解,自发病以来,一般情况可,无其他异常。
【查体】左踝关节自主活动可,可见散在针灸后所留瘢痕。前踝可扪及软组织肿块,质硬,无明显触压痛。
【实验室检查】碱性磷酸酶ALP 193.30U/L ↑ (正常范围53-128)
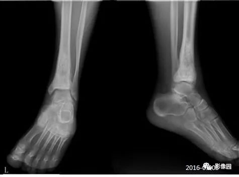
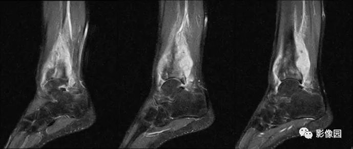
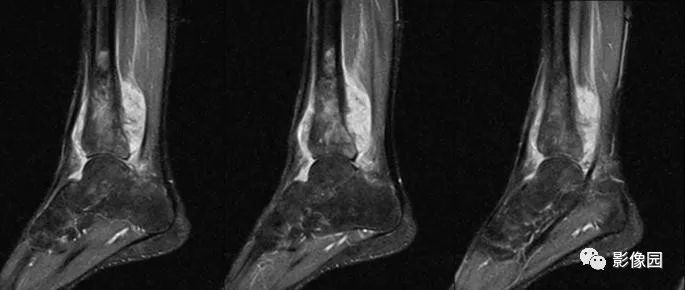
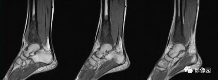
【影像学检查】2016-01-05













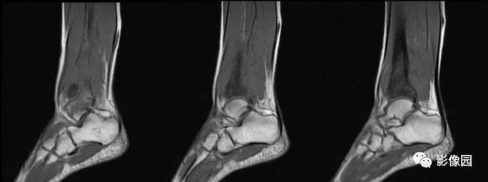
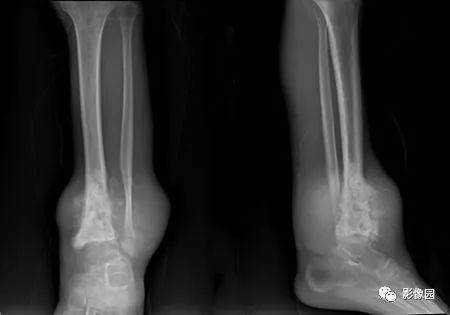
2016-05-11复查


【讨论问题】诊断?
【医学影像APP用户讨论】
评论:前片X线示左胫骨下段及干骺端病变,髓腔内密度不均匀增高,内侧骨皮质可见骨质破坏,可见骨膜反应。CT示病灶内见多发斑片状肿瘤骨(黄色箭头),周围可见针状骨膜反应(红色箭头)。周围软组织肿胀。MRI示胫骨下段以长T1、长2信号为主的混杂信号影,未跨越胫距关节面,周围未见明显软组织肿块。周围软组织广泛片状长T1长T2信号影。复查X线示病变较前片明显进展,左侧胫骨远段及干骺端骨质破坏,周围可见针状骨膜反应及Codman三角(蓝色箭头)形成。相邻左侧腓骨下端、距骨滑车受累。
【结果】术中所见:左胫骨远端骨膜明显增厚,周围可见鱼肉样软组织,骨表面少许破坏,骨质条件差,进入骨髓腔后可见少许髓腔内少许白色软组织。切除骨膜、骨髓腔内组织送病检。
【病理】(左胫骨骨膜、左胫骨远端髓腔病灶)送检少许骨组织中见部分异型梭形细胞,考虑骨肉瘤。
【病例小结】
骨肉瘤是最常见的原发性恶性骨肿瘤,多见于男性,好发年龄11-30岁,最常见发生于股骨、胫骨、肱骨等的干骺端,尤其是股骨远端和胫骨近端。实验室检查多数有碱性磷酸酶的升高,与该肿瘤成骨作用有关。
X线表现:
骨质破坏:骨松质呈斑片状破坏,骨皮质边缘小而密集的虫蚀样破坏。
肿瘤骨:瘤骨是骨肉瘤的本质表现,也是影像诊断的重要依据,瘤骨形态主要有云絮状、斑块状、针状(日光放射状)
软组织肿块:表示肿瘤已侵犯骨外软组织,呈圆形或半圆形,边界多不清楚,且软组织肿块内可见瘤骨。
骨膜新生骨和Codman三角:是骨肉瘤常见而重要的表现,但不具有特异性。
X表现可分为三种类型
1.硬化型:大量肿瘤骨形成,骨内大量云絮状、斑块状瘤骨,密度较高,明显时呈象牙质改变。软组织内瘤骨较多,骨破坏不显著,骨膜新生骨明显。
溶骨型:骨质破坏为主,早期筛孔样骨质破坏,进展未虫蚀状、大片状。可见病理性骨折。
3.混合型:硬化型和溶骨型并存。
绝大多数骨肉瘤可依据X线平片确立诊断,但CT或MRI是必不可少的补充。MRI能清楚了解肿瘤侵及的范围,提供肿瘤周围血管、神经、肌肉受累的信息,有利于治疗方案的确立。CT除了与MRI一样有利于发现平片上不易显示部位的病变外,由于其对细小骨化和钙化敏感,当平片上不能肯定有无瘤骨或瘤软骨钙化时,CT对确定骨肉瘤的诊断有重要意义。
鉴别诊断
1.成骨性骨转移瘤:发病年龄较大,表现为骨松质内多发性骨硬化灶,境界清楚,骨破坏少见,骨皮质一般不受累。
2.化脓性骨髓炎:骨肉瘤与化脓性骨髓炎有很多相似之处,很难鉴别。但是以下几点有利于鉴别:①骨髓炎的骨破坏、新生骨和骨膜反应从早到晚期的变化是有规律的,早期骨破坏模糊,新生骨密度低,骨膜反应轻微,晚期骨破坏清楚,新生骨密度高,骨膜新生骨光滑完整;骨肉瘤则相反,新生的骨质可被破坏,骨膜反应不是趋向修复而是继续破坏;②骨髓炎的骨质增生和骨破坏时联系在一起的,即骨破坏的周围有骨增生,而增生中有骨破坏,骨肉瘤的骨增生和破坏不一定具有这种联系;③骨髓炎早期有较广泛的软组织肿胀,当骨破坏出现后肿胀反而消退,而骨肉瘤在穿破骨皮质后往往形成明显的软组织肿胀;④动态观察,骨肉瘤是稳定进展;骨髓炎急性期进展迅速,慢性期发展缓慢,经治疗后处于相对稳定的状态。
3.骨巨细胞瘤:X线表现为偏心性膨胀性骨破坏,骨破坏区内无新生骨。
4.骨纤维肉瘤:呈溶骨性骨质破坏,少见骨质增生,骨膜反应一般较少,破坏区无瘤骨形成。
5.溶骨性骨转移:发病年龄较大,较少出现骨膜反应和明显的软组织肿块。
上一篇:急性滑脱性髌股撞击症1例X线MR
下一篇:肩关节损伤疾病10例MR分析