胫骨非骨化性纤维瘤1例CT及MR

发布时间:2022-10-26

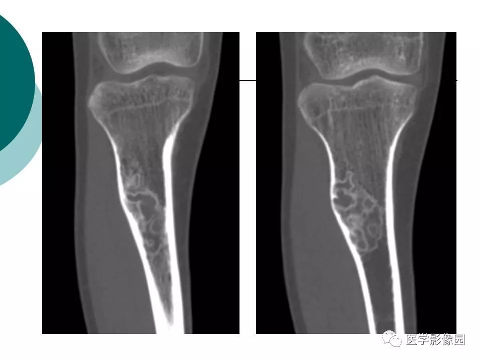
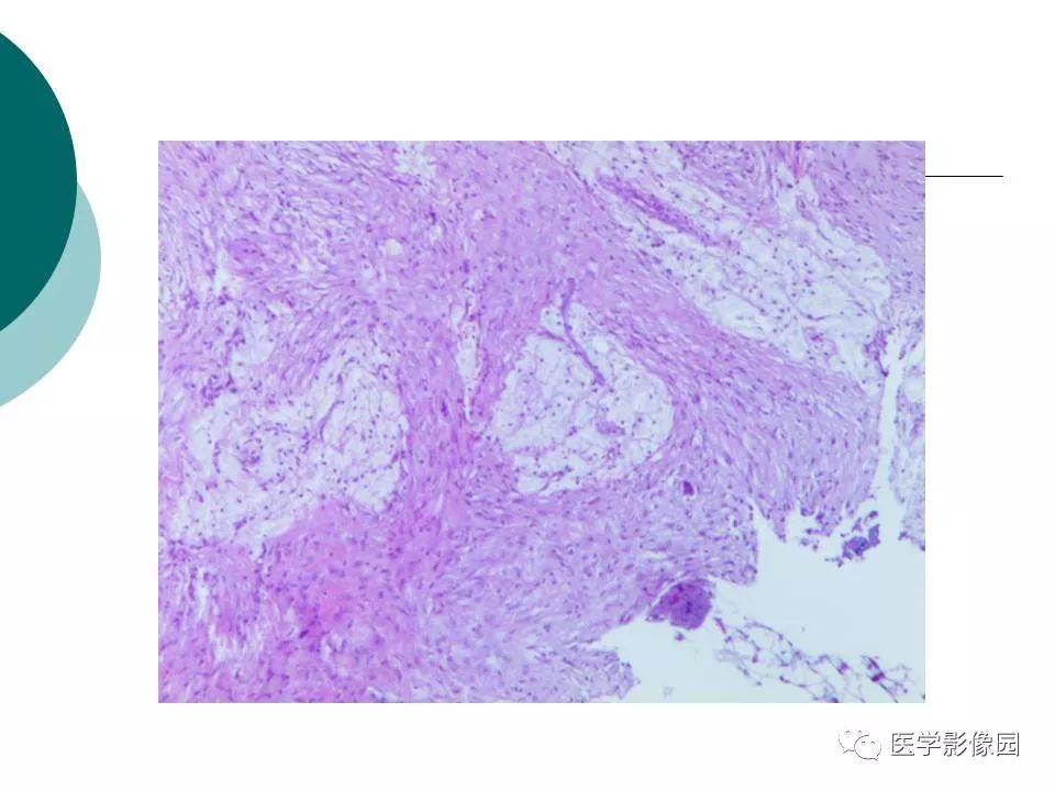
【病例】胫骨非骨化性纤维瘤1例CT及MR

【病例】胫骨非骨化性纤维瘤1例CT及MR

【病例】胫骨非骨化性纤维瘤1例CT及MR

【病例】胫骨非骨化性纤维瘤1例CT及MR

【病例】胫骨非骨化性纤维瘤1例CT及MR

【病例】胫骨非骨化性纤维瘤1例CT及MR

【病例】胫骨非骨化性纤维瘤1例CT及MR

【病例】胫骨非骨化性纤维瘤1例CT及MR

【病例】胫骨非骨化性纤维瘤1例CT及MR

【病例】胫骨非骨化性纤维瘤1例CT及MR

【病例】胫骨非骨化性纤维瘤1例CT及MR

【病例】胫骨非骨化性纤维瘤1例CT及MR

【病例】胫骨非骨化性纤维瘤1例CT及MR

【病例】胫骨非骨化性纤维瘤1例CT及MR

【病例】胫骨非骨化性纤维瘤1例CT及MR

【病例】胫骨非骨化性纤维瘤1例CT及MR

【病例】胫骨非骨化性纤维瘤1例CT及MR

【病例】胫骨非骨化性纤维瘤1例CT及MR

【病例】胫骨非骨化性纤维瘤1例CT及MR

【病例】胫骨非骨化性纤维瘤1例CT及MR

【病例】胫骨非骨化性纤维瘤1例CT及MR

【病例】胫骨非骨化性纤维瘤1例CT及MR

【病例】胫骨非骨化性纤维瘤1例CT及MR

精彩图片

热门精选