左股骨大转子骨样骨瘤1例X线CT
发布时间:2022-10-26
发布时间:2022-10-26
一般资料
患者,女,13岁。
主诉:左大腿内侧疼痛1年,加重伴跛行3天。
现病史:1年前出现左大腿内侧间断疼痛,局部无肿胀,无发热、活动障碍,口服“阿莫西林”(具体不详)后缓解,未在意,为求进一步治疗,遂来我院,患者自发病来,神志清,精神可,饮食可,睡眠可,大便正常,小便正常,体重无明显变化。




手术记录:
麻醉成功后,患者取仰卧位。常规消毒、铺巾,左臀部适当垫高。C臂透视定位后,沿左股骨大转子外侧,依次切开皮肤、皮下及阔筋膜张肌,暴露大转子,凿除少量骨质后,见一5*5*8mm骨质缺损,腔内见少量坏死样物质,周围骨质硬化。磨钻磨除空腔壁及周围硬化骨,蒸馏水浸泡后,生理盐水彻底冲洗伤口,手术室护士清点器械及敷料无误后,逐层关闭切口。
病理表现:
表现:灰红碎1*0.3*0.2CM.脱钙。
印象:(左股骨大转子病变)送检炎性纤维组织伴多量浆细胞样细胞及少量中性粒细胞浸润,另见部分死骨及骨组织,请结合临床。
骨样骨瘤(osteoid osteoma)
骨样骨瘤是一种来源于成骨性结缔组织特殊类型的良性骨肿瘤,可发生于全身各骨,约占良性骨肿瘤的1.66%~11%,常见的发病部位为长管骨,以股骨、胫骨的骨干最多见,而股骨颈则是一种少见部位。
骨样骨瘤好发于7~25岁之间。男性与女性之比为3∶1。
骨样骨瘤的大小是这种病变的另一个特点,直径一般小于1.5cm,总之体积不大。
临床以疼痛为主要的症状。疼痛的特点是夜间剧烈,当服用水杨酸类药物即可缓解疼痛,这是本病的特点。但药效过后,疼痛复发。骨样骨瘤的其他临床表现可与病人发病年龄,所侵犯骨的部位有关。 可以有各种临床表现,但实验室检查一般均为正常。
病理上以由成骨性的结缔组织及骨样组织组成的瘤巢为特征。
骨样骨瘤发展过程分3个阶段:
初期以成骨纤维及骨母细胞为主,伴有丰富的血管,但骨质形成稀少;中期则形成骨样组织较多,成熟期以编织骨为主要成分。在不同的时期,瘤巢的MRI信号相差较大,但在X线和CT上变化相对较小。
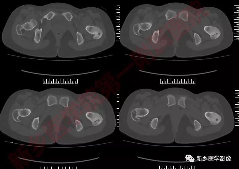
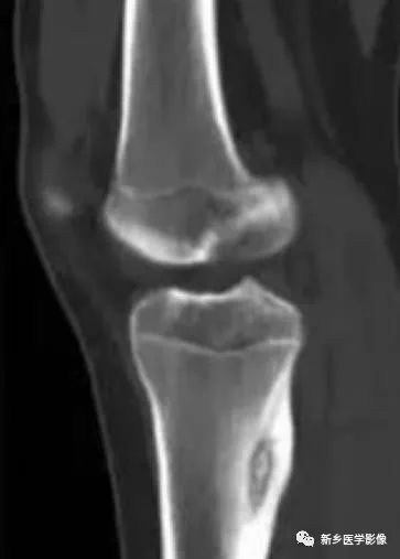
影像表现:
骨样骨瘤的影像学表现具有特征性,其典型的表现为:
瘤巢所在部位的骨质破坏及周围不同程度的骨质硬化,还可伴有骨膜反应、周围软组织或相邻关节的肿胀。
X线片上可分为皮质型,松质型和骨膜下型。
其中皮质型占70%,最常见,多见于长骨骨干。瘤巢靠近骨皮质内面,有小的透射线区域,周围是致密骨,若位于皮质内,则硬化环更明显。反应性增生硬化明显时,可遮盖瘤巢。
松质型:最常见于股骨颈,其次是手足的小骨和椎体,瘤巢位于骨端或不规则骨,周围硬化不明显,可仅有骨硬化边,病灶周围常无 新骨形成,但有密度增加的骨环包绕病灶。
骨膜下型:瘤巢位于骨皮质表面或骨膜下,肿瘤可侵蚀骨皮质形成浅凹状缺损,其表面形成数量不等的骨膜新生骨,通常骨附近的软组织肿块,最常见于股骨颈的内面及手和足。
骨样骨瘤的肿瘤区称为“瘤巢”
—圆形或卵圆形,直径<2cm
—富血管的结缔组织基质,内部含有不等量的骨样组织或骨组织
—CT/平片:低密度,但内部的骨组织表现高密度
—增强扫描时,瘤巢可出现不同程度的强化
CT/平片上,“瘤巢”周围多出现反应性骨质增生硬化:松质骨增生硬化或骨膜反应
MR表现:
未钙化的部分在T1WI上呈低到中等信号,T2WI上呈高信号
钙化部分在T1WI和T2WI均呈低信号
瘤巢周围骨和软组织常出现大范围水肿,呈长T1长T2信号。
病理表现:
病理上确诊骨样骨瘤依靠瘤巢,瘤巢一般较小,多在1cm左右,色深红或呈黄白色,多由新生骨样组织构成,呈放射状排列,可有不同程度的钙化。
镜下可见瘤巢由骨样组织和血管丰富的结缔组织构成。 瘤巢中心部分以网织骨为主,伴有不同程度的钙化或骨化,外周为血管丰富的纤维基质, 血管间含有无髓神经纤维。
鉴别诊断:
骨样骨瘤有特殊的疼痛症状和典型的瘤巢影像学表现,较易诊断,但仍需与以下骨病鉴别:
—皮质的疲劳骨折:
也可出现明显的骨质增生硬化,但其中央为骨折线,而非圆形的瘤巢影

—Brodie骨脓肿:
内部多为脓液,内壁多不光整
形态多非圆形,高密度多不居中

骨母细胞瘤
良性病变,但有局部侵袭性
类似“大骨样骨瘤”;优势形成软组织肿物

小结:
骨样骨瘤是一种较常见的良性骨肿瘤,瘤巢的确定是影像诊断骨样骨瘤的关键:
平片仍然是诊断骨样骨瘤的重要手段;
CT是目前发现瘤巢的最佳方法;
MRI可为骨样骨瘤的诊断提供较大的帮助,尤其能敏感显示瘤巢周围髓内和软组织的炎性水肿。
上一篇:前交叉韧带损伤1例MR影像诊断