肱骨上段软骨肉瘤1例X线CT及MR影像表现

发布时间:2022-10-26

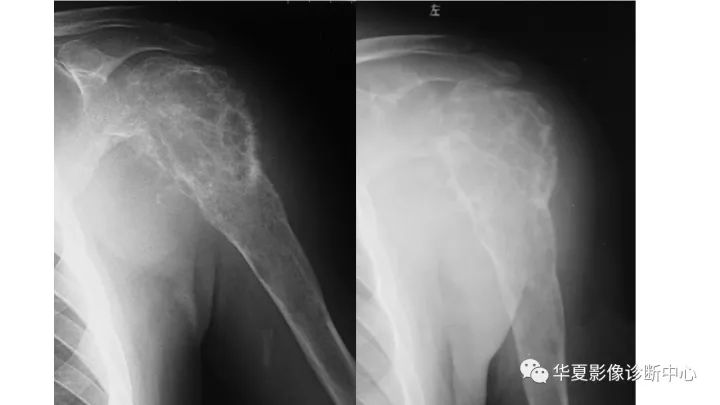
【病例】肱骨上段软骨肉瘤1例X线CT及MR影像表现

【病例】肱骨上段软骨肉瘤1例X线CT及MR影像表现

【病例】肱骨上段软骨肉瘤1例X线CT及MR影像表现

【病例】肱骨上段软骨肉瘤1例X线CT及MR影像表现

【病例】肱骨上段软骨肉瘤1例X线CT及MR影像表现

【病例】肱骨上段软骨肉瘤1例X线CT及MR影像表现

【病例】肱骨上段软骨肉瘤1例X线CT及MR影像表现

【病例】肱骨上段软骨肉瘤1例X线CT及MR影像表现

【病例】肱骨上段软骨肉瘤1例X线CT及MR影像表现

【病例】肱骨上段软骨肉瘤1例X线CT及MR影像表现

精彩图片

热门精选