胸腺脂肪瘤、纵隔畸胎瘤影像表现
发布时间:2022-12-04
发布时间:2022-12-04
胸腺脂肪瘤
Thymolipoma
概述
影像表现:
X线:
CT:
MRI:
鉴别诊断

(左)17岁胸腺脂肪瘤患者,PA胸片显示左前纵隔肿块,显示肺门重叠征。胸腺脂肪瘤多见于年轻患者,无症状。
(右)胸腺脂肪瘤患者的轴位CECT显示左前纵隔肿块,位于胸腺解剖位置,脂肪密度为主,内见条状、结节状软组织密度。

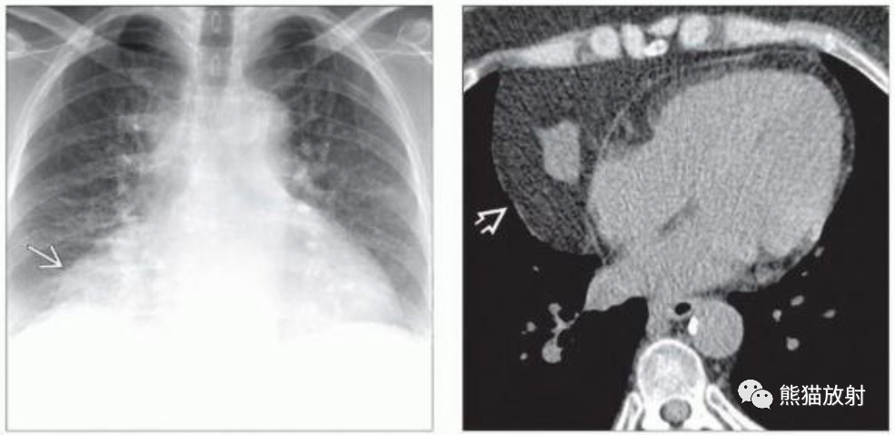
(左)50岁女性,胸腺脂肪瘤,无症状。PA胸片显示位于右侧心膈角肿块。
(右)同一患者的轴位NECT显示大量脂肪密度为主,中央见软组织密度结节。胸腺脂肪瘤经常累及前纵隔的下部。
纵隔畸胎瘤
Mediastinal Teratoma
概述
X线:
CT:
MRI:在组织特征显示方面有优势,可确认内在脂肪
鉴别诊断:

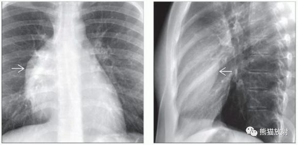
(左)25岁男性,成熟性囊性畸胎瘤。PA胸片显示右前纵隔肿块,边缘平滑,可见肺门重叠征,透过病变可见右侧肺动脉。
(右)同一患者的侧位胸片显示肿块投影于心脏前部,证实了病变位于前纵隔。成熟畸胎瘤患者通常是1至40岁的年轻男性或女性。

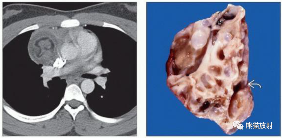
(左)16岁男孩,成熟囊性畸胎瘤,轴位CECT显示右前纵隔肿块,具有软组织、液体和脂肪密度成分。成熟畸胎瘤通常是囊性的,75%可见脂肪密度。
(右)成熟性畸胎瘤的切片显示多个囊性区域(弯箭)与实性软组织成分混合。肿瘤的不均质性导致CT上的特征性表现。

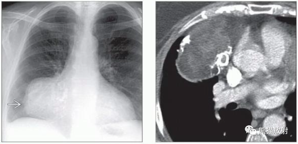
(左)成熟性畸胎瘤患者的PA胸片显示右侧心膈角球状肿块,内见弧形和圆形钙化。由于影像上有明显的钙化,在鉴别诊断中应考虑成熟性畸胎瘤。
(右)同一患者的轴位CECT显示右侧心膈角肿块,内见脂肪、液体、软组织和钙化。纵隔畸胎瘤的钙化通常呈环状、线状或粗颗粒样。

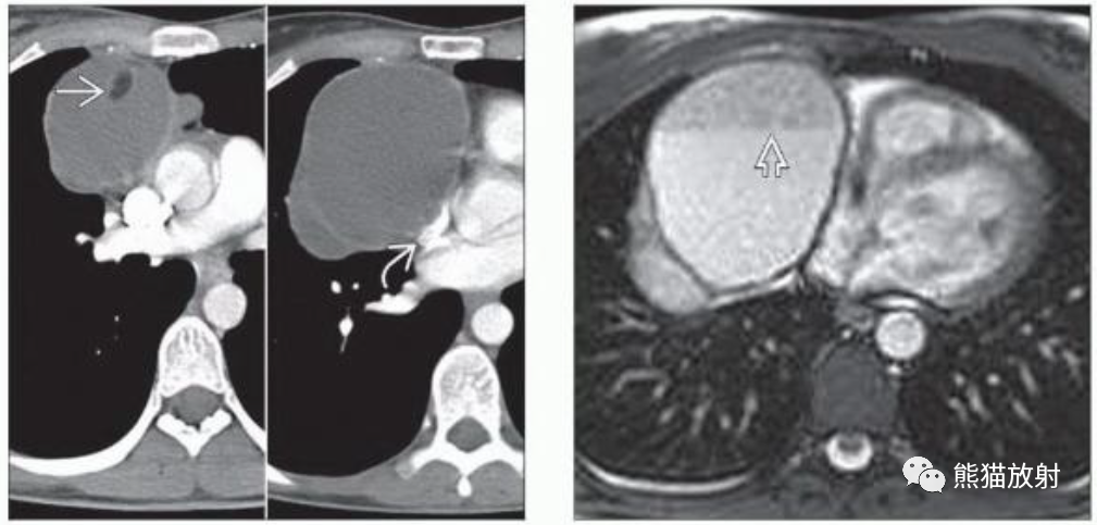
(左) 年轻女性,成熟性畸胎瘤。轴位CT显示右前纵隔多房囊性肿块,上腔静脉受压变扁(弯箭)。虽然病灶以液性密度为主,但局灶性脂肪密度有助于成熟畸胎瘤的诊断。
(右) 轴位T2WI证实了成熟性畸胎瘤的多房囊性表现,并显示了CT上看不到的内部液-液平面。

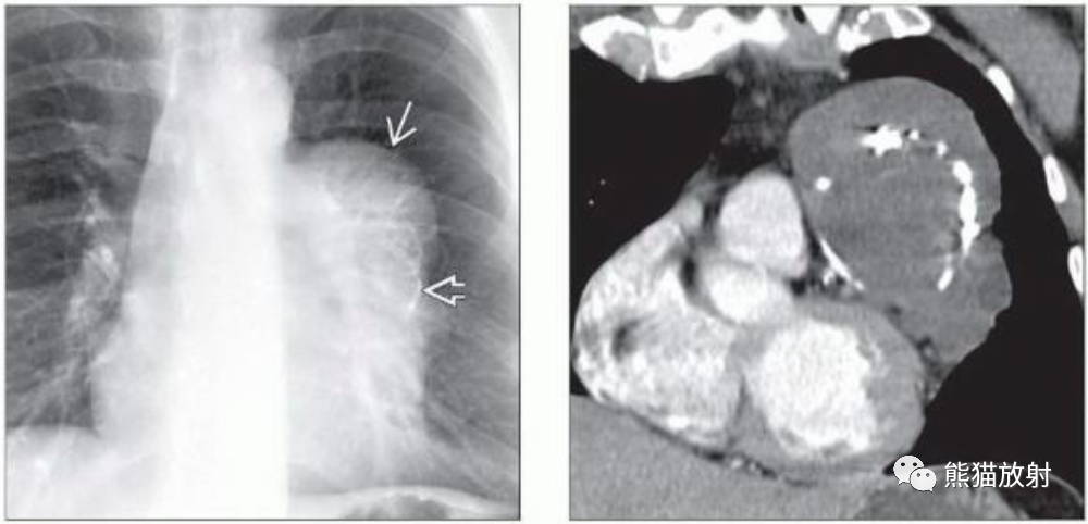
(左)成熟性畸胎瘤患者的PA胸片显示左前纵隔分叶状肿块伴弧形钙化。
(右)同一患者的冠状CECT显示类圆形肿块,不均匀低密度,边缘有分叶,内见弧形钙化。虽然未见脂肪密度,但根据病变的形态学特征和钙化样式考虑成熟畸胎瘤。
↓ 内容摘译自:
