诡异的肺结节!
发布时间:2022-12-03
发布时间:2022-12-03
临床资料

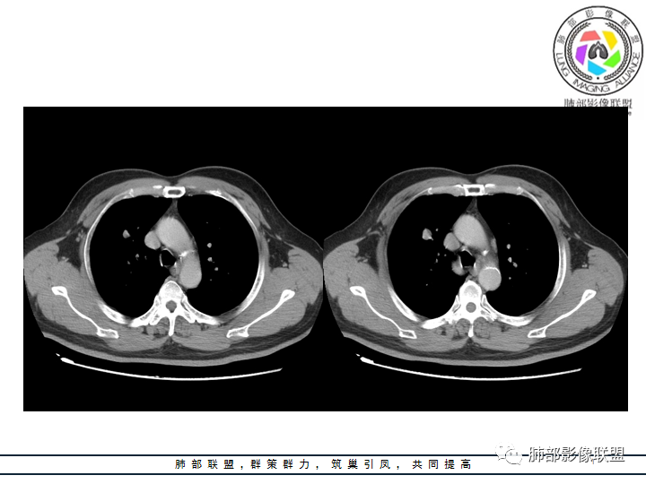
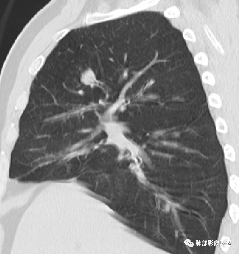
影像资料






















微信群讨论节选
赵国千:男性62岁,右肺上叶前段见结节,可见支气管穿行其中,增强轻度强化,倾向良性肿瘤,首先错构瘤、腺瘤;恶性肿瘤,淋巴瘤、淋巴上皮瘤样癌,这个比较难。
郑昊宇:老年男性 右肺结节 ,考虑肿瘤性病变,影像关键是判断是否有支气管进入,需要薄层和重建,如果进入,明显强化,考虑类癌可能,如果没进入,考虑psp。
冯连彩:老年男性,有吸烟史,因腹疼入院查体发现肺部结节,右肺上叶前段结节,边缘光滑,浅分叶?支气管进入后截断,血管贴边,密度较高,有强化,考虑PSP或炎性假瘤?鉴别淋巴瘤,类癌?

刘莲凤:病灶周围圆钝!血管边上走!支持良性,PSP,鉴别错构。
蔡磊:右肺上叶实性结节,膨隆,收缩力弱,支气管近端有渐进性变窄,中等以上幅度强化,考虑神经内分泌癌,大?
万琦:看到有强化,错构瘤可能性小,感觉分支支气管有截断,大细胞需要考虑一下,类癌>PSP>大细胞,男性类癌发生率比较低。
王飞:这里可见支气管阻塞中断,神经内分泌能性大于PSP。

刘海玲:右肺上叶实性结节,边缘有分叶,增强后有强化。考虑恶性,腺癌可能。
洪桥爱:我觉得支气管贴边擦过,支气管挂果,考虑错构瘤;鉴别血管周瘤:似见肺动脉穿过。
张丽:右肺上叶实性结节,边缘膨隆分叶,增强后有强化,考虑恶性,腺癌,鉴别类癌。
陈雷:有吸烟史,大细胞。
靳明旭:反正老年吸烟男,孤立肺结节,肯定要想恶
结果

病历点评及分析
老年男性患者,长期吸烟史,没有呼吸系统临床表现。胸部CT示右肺上叶实性密度结节影,密度均匀,未见空洞及钙化,边缘较光整,未见分叶及毛刺。血管影旁现侧出,支气管进入并截断,不均匀强化。
影像上结节影或块影一旦与支气管密切相关(如截断),不支持硬化性肺细胞瘤、错构瘤、孤立性纤维瘤等良性病灶。如此清晰的边缘也不符合一般意义上的炎性渗出。
边缘光整,干净游离,密度均匀,没有钙化及空洞,没有卫星灶,PPD皮试(-)等,不符合结核球。
恶性病灶需要排除的有神经内分泌癌(大细胞癌、小细胞癌、类癌)、鳞癌、淋巴瘤样上皮癌、淋巴瘤等等。
如病灶远离粗大支气管,内窥镜观察、取材无果,也在情理之中。
——淋巴瘤很少以光滑结节影示人。
——本例鳞癌病理意见可以符合,只是太光整、太干净,且病灶不大,未能显示出坏死等特征,我们从影像上难以得出倾向性意见。
其他相关内容
PSP发病率占肺原发肿瘤不足1%,是一种仅次于错构瘤的肺部良性肿瘤,影像学缺乏特异性,多数表现为界限清楚及密度均匀的孤立性圆形或类圆形结节,边缘光整,缺乏周围毛刺及支气管截断等恶性征象,CT增强扫描显示病灶明显强化,且存在延迟强化现象。文献报道东亚地区好发,发病率明显高于西方,男女比例大约1:5,尤其不吸烟的中年女性。
肺类癌属于一种神经内分泌肿瘤,起源于支气管黏膜上的神经内分泌细胞,分为典型类癌和不典型类癌,前者细胞形态类似正常细胞,分化好,生长缓慢,属于低度恶性肿瘤,90%肺类癌属于这一类型。后者细胞分化较前者差。肺类癌可以发生在任何年龄的患者,而且是儿童肺部肿瘤最常见的类型,好发于女性,发病与吸烟习惯关系不大,危险因素不明。肺类癌多生长于气管、主支气管等大气道(尤其是典型类癌),所以病变早期即可出现咳嗽、痰血、喘鸣、反复发生的肺部感染。有些病灶可分泌激素或类激素样物质,如5-HT、ACTH等,引起脸色潮红、水样腹泻、向心性肥胖,高血压、肌力下降等肺外表现。典型类癌,PET-CT可呈现为无或低摄取病灶,与良性肿瘤类似。
肺错构瘤,发病机制尚不十分清楚,多数学者认为是支气管的碎片组织在胚胎时期错误排列和脱落被正常肺组织包绕形成,成分复杂。瘤体有包膜,主要成分有软骨、腺体、平滑肌、脂肪、上皮细胞及纤维组织为主。瘤体的CT值因成分不同差别很大。肺错构瘤多以软骨和纤维组织为主,常发生中心性钙化,类似爆米花样。
上一篇:肺炎支原体肺炎
下一篇:胸腺脂肪瘤、纵隔畸胎瘤影像表现