脑内淋巴瘤1例MR影像分析
发布时间:2022-10-20
发布时间:2022-10-20
主 诉:发现左侧颈部隆起1周。
现病史:诉于2019年10月14日在无明显诱因下出现左侧颈部隆起,无疼痛,无咳嗽、咳痰,无发热、声嘶,无鼻塞、流涕,无鼻出血、抽吸性血痰,无耳鸣、耳漏,无头晕、头痛,无呼吸困难、吞咽困难等。病后曾自行服药及在当地输液治疗(具体不详),颈部隆起无变化,亦无红肿热痛表现。今日我院就诊,门诊医师遂拟”颈部肿物”收住入院。病后患者精神、睡眠、食欲欠佳,二便正常,体重无减轻。
既往史:既往体健。否认有肝炎、肺结核等传染病史。否认心脏病、糖尿病、肾炎等病史,无外伤、输血史,无药物过敏史。按时预防接种。余系统回顾未见异常。
个人史:出生及生长于原籍。未到过流行病区。居住环境及生活条件一般。性格开朗。无吸烟、饮酒,无不良嗜好。
月经及婚育史:13`3~7d/28-30d,50岁绝经,平素月经规律,量中等,色暗红,无痛经,白带正常,无异味。适龄结婚,配偶及小孩健康,否认冶游史。
家族史:家庭其他成员无类似病史,家族中无遗传性疾病及传染性疾病史。

































看到最高的波,就是正常NAA
NAA的波谱位于2.0 ppm处,其在脑内几乎全部位于神经元内,是公认的反应神经元功能的内标物,它的浓度多少可反映神经元的功能状况。
第二个高峰就是Cho,胆碱峰Cho的波谱位于3.2 ppm处,包括胆碱、磷酸甘油胆碱、磷酸胆碱和磷脂酰胆碱,反映脑内总的胆碱量,这些物质主要存在于细胞膜上,是细胞膜磷酯代谢的一个组成成分参与构成细胞膜并反映膜的更新,其浓度的改变反映细胞膜合成和降解的变化
第三个峰Cr的波谱位于3.02 ppm处,包括肌酸与磷酸肌酸,其作为高能磷酸化的储备以及ATP和ADP的缓冲剂可能对维持脑细胞中的能量依赖系统发挥作用。由于Cr在同一个体脑内不同代谢条件下均保持相对稳定,故Cr常作为波谱研究的内参照。以Cr为参照的NAA/Cr和Cho/Cr比值在一定程度上反映了NAA和Cho浓度的变化。
第四个峰LL:波峰在0.9~1.3ppm。出现脂质波强烈提示组织凝固性坏死,肿瘤和炎症均可表现脂质波增高。正常LL峰不高。
第五个峰:MI 波(肌醇):波峰在3.56ppm。肌醇为激素敏感性神经受体的产物,也是磷脂酰肌醇和二磷酸磷脂酰肌醇的前体物。MI/Cr比值可以提供肿瘤分级信息,良性肿瘤该比值高于恶性脑肿瘤。也可用于脑肿瘤鉴别诊断,该比值明显增高提示非肿瘤性病变。


异常的波谱情况
NAA的波谱位于2.0 ppm处,其峰值降低,说明神经元细胞受破坏
第二个高峰就是Cho,胆碱峰Cho的波谱位于3.2 ppm处,峰值下降,细胞膜合成和降解受破坏
第三个峰Cr的波谱位于3.02 ppm处,包括肌酸与磷酸肌酸,峰值改变不大,比较恒定。
第四个峰:LL峰倒置,增高
第五峰:MI增高
文献报道:Lip峰的出现提示淋巴瘤
可以鉴别胶质母细胞瘤或转移瘤















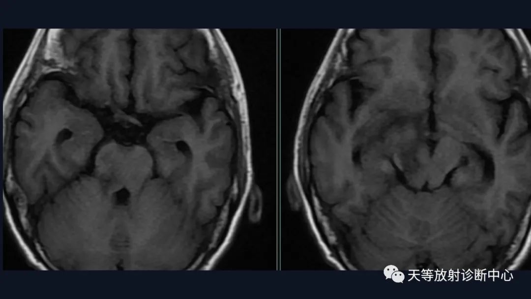
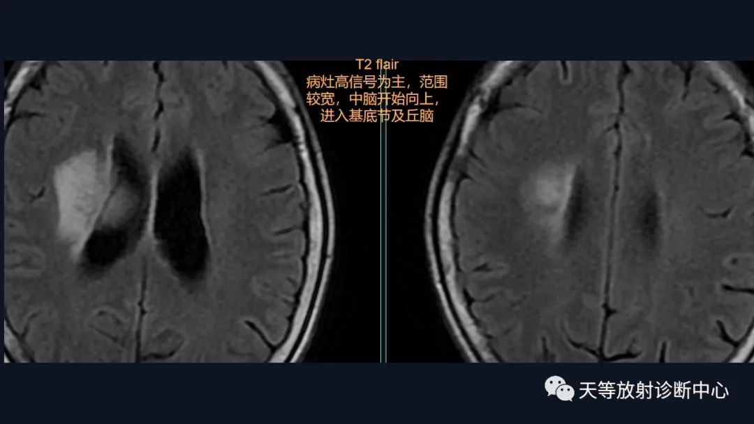
本病例影像学特点:
脑内占位的特点:
1、刀切征
2、凹陷征或肚脐凹征
3、尖角征
4、多发
5、DWI呈稍高信号
6、形态上怪异
6、NAA及Cho减低,出现导致LL峰。
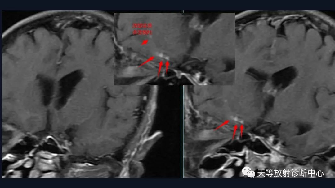
结合颈部、胸廓入口区及腋窝多发淋巴结肿大并相互融合。
综合考虑淋巴瘤
下一篇:眼眶周围淋巴瘤1例CT及MR