双侧丘脑梗死—Percheron动脉梗死1例MR影像
发布时间:2022-10-20
发布时间:2022-10-20
双侧丘脑梗死在临床中相对少见,临床症状可表现典型的三联征,影像学特征为对称性的腹内侧区梗死,多数预后较差。大多数医生在临床中遇到一次可能就会印象深刻,念念不忘。
本文借临床工作中遇到的一例双侧丘脑梗死,一起对该病进行系统复习。
先看病例资料
患者男,58岁。
▌ 主诉:意识不清、四肢无力8小时。
▌ 现病史:
既往长期饮酒史。否认其它重要病史。
▌ 入院查体:
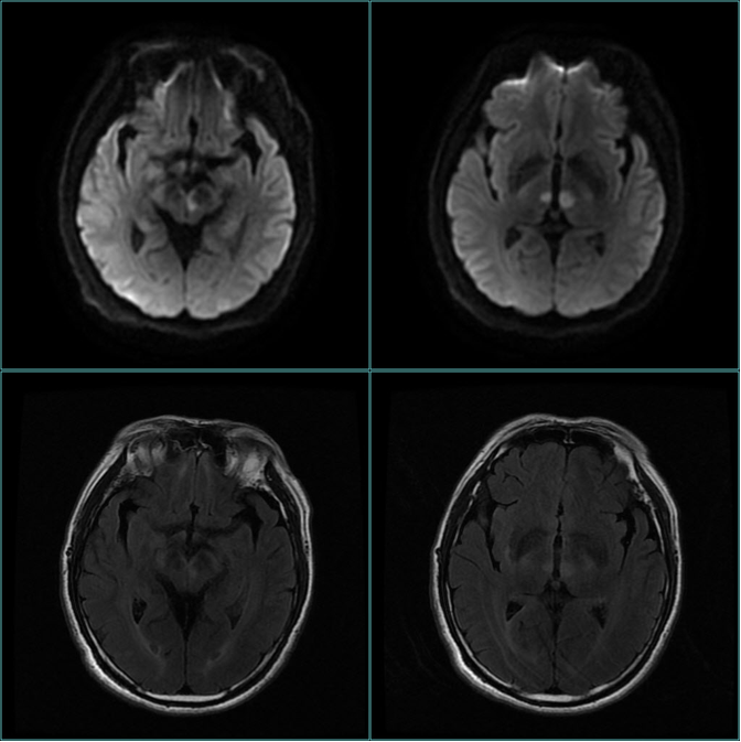
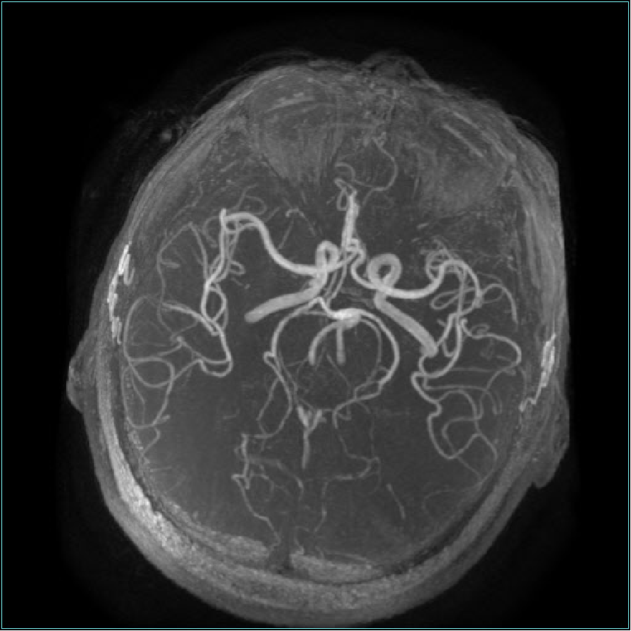
入院后行头颅磁共振示:1.中脑、双侧丘脑梗死;2.双侧脑实质多发缺血灶、软化灶;3.MRA示双侧大脑后动脉硬化样表现。

(图1.头颅MRI示中脑、双侧丘脑梗死)

(图2.头颅MRA示双侧大脑后动脉粥样硬化)
入院后给予阿司匹林和硫酸氢氯吡格雷抗血小板聚集,阿托伐他汀钙抗动脉粥样硬化,丁苯酞改善侧枝循环,舒血宁改善微循环等药物治疗。
治疗14天后患者病情略有好转,查体:嗜睡,言语稍含糊,反应稍迟钝。双瞳孔等大等圆,直径3mm,光反应灵敏,左眼内收不全,双眼向上、向下运动不能,左右复视,无眼震。四肢肌力5级,双下肢巴氏征阳性。双肺呼吸音粗,未闻及明显干湿啰音。双下肢未见明显水肿。

(图3.丘脑供血动脉示意图,图源于网络)
详解:Percheron动脉梗死
丘脑的血供主要由四条动脉供应,分别是丘脑结节动脉、丘脑传统动脉(旁正中动脉)、丘脑膝状体动脉和脉络膜后动脉(图3)。
1973年法国学者Percheron首次报道一种十分少见的丘脑穿通动脉变异,即双侧丘脑穿通动脉起源自一侧大脑后动脉P1段,将其命名为Percheron动脉(Artery of Percheron,AOP),该血管闭塞时导致双侧丘脑旁正中区梗死,累或不累及中脑。
Percheron动脉梗死占所有急性脑梗死的0.1%-2%,占急性丘脑梗死的4%-18%,男性高于女性,是一种特殊类型的脑梗死,临床较少见。

(图4.丘脑穿通动脉解剖类型示意图,图源于文献[1])
丘脑穿通动脉存在4种解剖类型(图4),其中Ⅱb型就是Percheron动脉梗死的血管病因,当双侧丘脑穿通动脉起源于一侧大脑后动脉P1段,该动脉供应丘脑双侧腹内侧区及中脑上部,当其出现闭塞时即可导致Percheron动脉梗死。
Lazzaro等学者将Percheron动脉梗死分为4型:
Percheron动脉梗死典型的三联征表现为意识障碍、垂直凝视麻痹、记忆障碍。
意识障碍是由于双侧髓板内核及中央正中核受累及所致。
垂直注视麻痹与中脑顶盖受累有关。
记忆障碍是由于丘脑背内侧核、板内核邻近区域受损所致。
国内外有学者报道其它的少见症状包括癫痫发作、精神异常、构音障碍、眼外肌麻痹、瞳孔改变、共济失调和假性球麻痹等。
Percheron动脉非常细,在头颅MRA和CTA上较难显影,少数患者可通过超选择性脑血管造影检查发现。
治疗与其他缺血性脑卒中相相似,经治疗后临床症状可有不同程度好转,但是大多数患者仍然会遗留神经功能缺损,预后一般不佳。
早期诊断、积极治疗至关重要。
小结
综上,临床上Percheron动脉梗死较少见,解剖结构复杂和临床表现多样性容易被忽视。本病可遗留后遗症状,预后不佳,故应尽早诊断与治疗,从而提高患者生存质量。
参考文献:
[1]Nicholas A,Lazzaro,B,Wright,M,Castillo,N J,Fischbein,C M,Glastonbury,P G,Hildenbrand,R H,Wiggins,E P,Quigley,A G,Osborn.Artery of percheron infarction:imaging patterns and clinical spectrum.[J].AJNR.American journal of neuroradiology,2010,31(7):1283-9.DOI:10.3174/ajnr.A2044.
[2]张沁丽,陈育英,刘红,王玉芬,陈锋,高正科.Percheron动脉梗死二例[J].中华内科杂志,2018,57(6):454-456.DOI:10.3760/cma.j.issn.0578-1426.2018.06.012.
[3]刘玉娇,干方舟,张永锋,张庆.Percheron动脉闭塞1例报告[J].中国卒中杂志,2019,14(9):933-936.DOI:10.3969/j.issn.1673-5765.2019.09.014.
本文作者:冰激凌
下一篇:下颌骨成釉细胞瘤2例CT