【病史】青少年,双膝剧烈疼痛。


问题1.哪项表述正确?
A.关节周围骨质减少、软化
B.关节大量积液
C.软骨下囊肿
D.骨膜反应
E.无明显异常

2. 哪项表述正确?
A.骨代谢疾病
B.化脓性膝关节炎
C. HPO后遗
D.应力性骨折
E.无异常放射性示踪剂摄取
追加临床病史:16岁女孩,系统性红斑狼疮需激素治疗。


请判断正误。
3.干骺端及骨干梗死。
A.正确
B.错误
4.软骨下骨坏死。
A.正确
B.错误
5.软组织水肿。
A.正确
B.错误
【答案】1.E 2.E 3.A 4.A 5.A
【影像学表现】
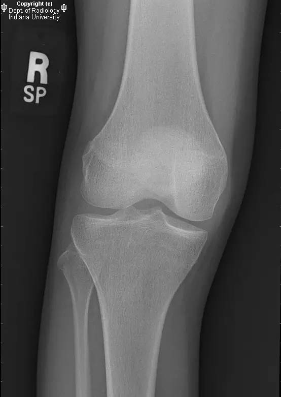
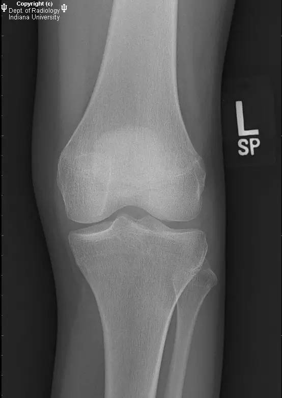
- 膝关节X线:无急性骨折、脱位或半脱位。关节间隙良好。无关节积液。
- 骨扫描:所有骨骼弥漫性摄取减少,表明骨质疏松。骨骺正常的摄取增加。无异常放射性摄取区域。
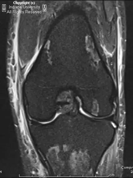
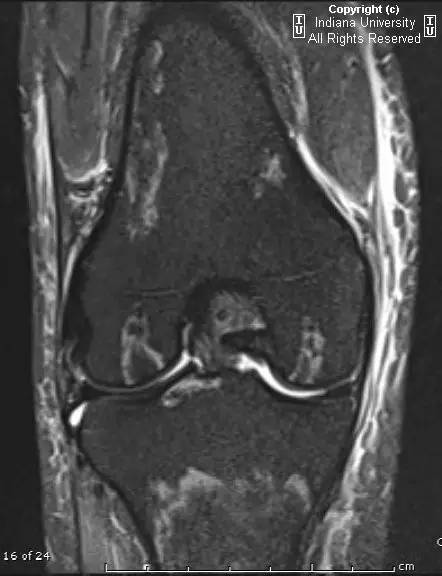
- 膝关节MRI:双侧膝关节股骨干骺端、股骨髁、胫骨干骺端、髌骨T1信号减低、T2信号增高,股骨髁关节面也有类似的信号异常。软组织弥漫性水肿。同时存在关节积液。
【鉴别诊断】
【诊断】缺血性坏死(AVN)及骨梗死
AVN and bone infarcts
【要点】
- 骨缺血性坏死或骨梗死通常表现为负重疼痛,运动受限,关节积液。
- 系统性红斑狼疮和类固醇的使用是骨缺血性坏死和/或骨梗死独立的危险因素,两者都有者风险更大。
- AVN表现为软骨下局部缺血并骨髓水肿。骨梗死表现为松质骨内匐行性的边界或轮廓病变。
- X片骨梗死示松质骨内不规则或匐行性边界的病变。AVN表现为弧形软骨下透亮区,周围可见斑片状骨丢失区。
- 骨梗死骨扫描示由于血供障碍放射性示踪剂积累出现冷结节。
- MR骨梗死示不规则或匐行性T1低信号、T2高信号,周围骨髓水肿。AVN表现为软骨下T1信号减低、T2信号增高,伴水肿和关节面塌陷。
- 骨软骨损伤通常有创伤病史,通常是非对称的。
- 骨髓炎也多不对称,更常出现脓肿或窦道形成。
- 治疗通常为保守治疗,处理疼痛和减少承重。缺血性坏死严重者最终可能需要关节置换。