重新正确认识第五脑室的概念及其影像表现

发布时间:2022-10-24

重新正确认识第五脑室的概念及其影像表现
重新正确认识第五脑室的概念及其影像表现
重新正确认识第五脑室的概念及其影像表现
重新正确认识第五脑室的概念及其影像表现
重新正确认识第五脑室的概念及其影像表现
重新正确认识第五脑室的概念及其影像表现
重新正确认识第五脑室的概念及其影像表现
重新正确认识第五脑室的概念及其影像表现
重新正确认识第五脑室的概念及其影像表现

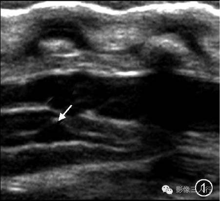
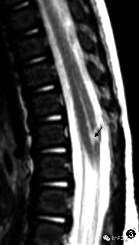
图1~3 男,5 d。超声矢状切面显示第五脑室是位于脊髓圆锥内且囊壁光滑的囊腔(图1,↑);图2为图1的示意图;矢状面T2WI显示第五脑室是位于脊髓圆锥中央的囊性扩张结构,囊内呈高信号(图3,↑)
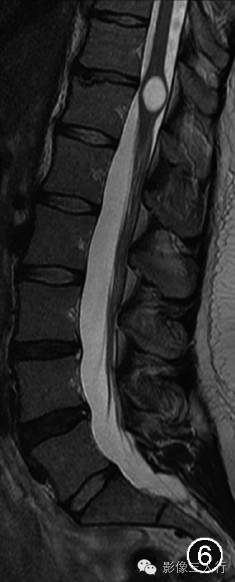
图4~7 男,45岁。腰椎MRI显示第五脑室是位于脊髓圆锥内且囊壁光滑的囊腔,囊腔内的脑脊液在矢状面T1WI上呈低信号(图4),在横断面T1WI上呈低信号(图5),在矢状面T2WI上呈高信号(图6),在横断面T2WI上呈高信号(图7)。所有图片均由加拿大渥太华大学渥太华医院Carlos Torres教授提供

重新正确认识第五脑室的概念及其影像表现

精彩图片

热门精选