【病例】骶骨脊索瘤一例CT病例讨论
发布时间:2022-10-24
发布时间:2022-10-24



夏威夷的风 21:35
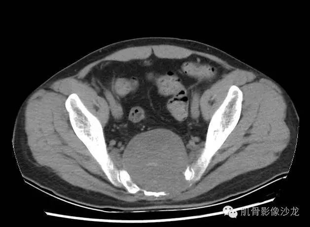
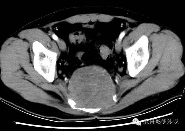
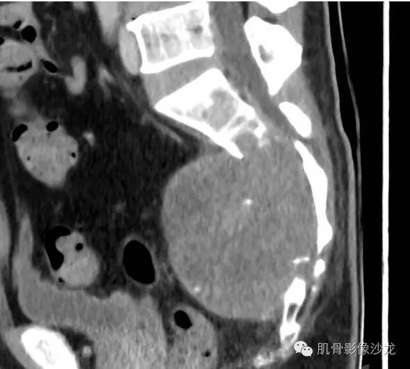
男,43岁,骶尾部疼痛、麻木8月
杨先春 21:37
骨巨?
弱弱的强光 21:37
骨巨
🐠sunnie🐠 21:37
脊索瘤?似乎有横板征
老猫 21:37
这个应该是脊索瘤了
小亮 21:37
骶前软组织肿块拌钙化,骨质破坏。这例考虑脊索
桂国华 21:37
看骨没骨窗[尴尬]
张太娟 21:37
支持脊索瘤
弱弱的强光 21:37
脊索瘤密度还要低一点吧
wj9527 21:38
脊索瘤
桂国华 21:38
不支持脊索
刘阳 21:38
神经鞘瘤不能排除
夏威夷的风 21:38
@桂国华~东莞市人民医院 为什么不支持脊索瘤?
向以四 21:38
骨窗没有嘛?@肌骨沙龙义工胡俊华
夏威夷的风 21:39
没有
桂国华 21:39
形态密度年龄不支持
夏威夷的风 21:39
影像表现:骶骨中下部见溶骨性骨质破坏,破坏区见软组织肿块影,边缘无硬化,其内密度不均,可见散在钙化灶,未见骶管、骶孔扩大;强化轻,未见明显坏死。
刘阳 21:39
钙化不多,有假包膜
夏威夷的风 21:40
1、发病部位,有利于脊索瘤的诊断,不利于骨巨的诊断。
2、内可见钙化,有利于脊索瘤的诊断,不利于骨巨的诊断。
3、发病年龄,不利于动脉瘤样骨囊肿的诊断。
4、强化轻,未见明确坏死,未见骶管、骶孔扩大;不利于神经源性肿瘤的诊断。
夏威夷的风 21:40
最后病理:脊索瘤。
刘阳 21:40
真是脊索瘤
夏威夷的风 21:40
这个还是很典型的
张太娟 21:41
总结的好@肌骨沙龙义工胡俊华 [强]
夏威夷的风 21:44
今晚就到 这里 感谢老师们参与
下一篇:【PPT】半月板病变的MRI诊断