脊髓缺血综合征影像学评估
发布时间:2022-10-24
发布时间:2022-10-24
一、脊髓缺血相关神经系统综合征:
| 综合征 | 临床表现 |
| 中央髓质综合征
(脊髓前动脉/ASA综合征) |
梗死水平弛缓性瘫痪,梗死水平以下(痉挛)截瘫或四肢瘫痪,Babinski征阳性,分离性感觉障碍(疼痛和温度觉消失),膀胱和肠道功能障碍,植物神经功能障碍和Horner‘s征 |
| SSA综合征
(spinal sulcal artery) |
梗死水平同侧弛缓性瘫痪,梗死水平以下痉挛性瘫(半),对侧分离性感觉障碍 |
| 桶人综合征 | 双侧上肢近端弛缓性瘫痪,下肢无运动障碍,无感觉障碍 |
| PSA综合征
(脊髓后动脉综合征) |
本体感觉(触觉和震动觉)障碍,共济失调步态 |
| Adamkiewicz动脉综合征 | 完全(不全)横贯性脊髓综合征:梗死水平弛缓性瘫痪,梗死水平以下(痉挛性)截瘫,Babinski’征阳性,完全(不全)感觉障碍,膀胱和肠道功能障碍 |
二、急性/亚急性脊髓综合征的鉴别诊断
| 硬膜外 | 1.占位性病变
肿瘤 颈/胸椎间盘突出 椎管狭窄和perfusion impairment 脊髓外伤(脊髓挫裂伤/压迫) 出血(自发性) 2.炎性 硬膜外感染性疾病 脊椎关节盘炎 |
| 硬膜内 | 1.占位性损害
髓内或髓外,脑膜癌 2.脊髓血管畸形 硬脑膜瘘 髓内/髓周血管瘤 海绵状血管瘤 3.脊髓梗死 4.炎性疾病(硬膜下,蛛网膜下腔,脊髓) 脊髓炎(不同病因) GBS综合征 5.代谢中毒性急性 6.放射性脊髓病 |
| 非脊髓病变 | 1.脑梗死(桶人综合征)
2.高/低钾性麻痹 3.精神因素 |
三、脊髓梗死的病因
| 病因 | 数量 | 百分比 |
| 动脉粥样硬化 | 13 | 23.6 |
| 不明原因 | 13 | 23.6 |
| 主动脉外科手术/支架 | 6(5/1) | 11(9/2) |
| 主动脉夹层 | 6 | 11 |
| 椎动脉夹层 | 6 | 11 |
| 椎动脉闭塞 | 3 | 5.4 |
| 血管炎 | 3 | 5.4 |
| 低血压 | 2 | 3.6 |
| 可卡因 | 1 | 1.8 |
| 脊柱侧弯手术 | 1 | 1.8 |
| 纤维软骨栓塞 | 1 | 1.8 |
| 总计 | 55 | 100 |
四、脊髓血管解剖
图a为脊髓血管解剖。a.根髓动脉;b.后跟动脉;c.前根动脉;d.脊髓前动脉(ASA);e.复脊髓前动脉;f.沟动脉;g.脊髓后外侧动脉;h.脊髓后动脉(PSA);i.动脉冠;j.横纵连接动脉;k.前神经根;l.感觉脊神经节背侧神经根

图b,脊髓前动脉分布区梗死(中央髓梗死综合征)

图c,脊髓沟动脉分布区梗死

图d,脊髓后动脉/脊髓后外侧动脉分布区梗死

图e,Adamkiewicz动脉闭塞引起的梗死

图f,脊髓前角内外系统之间的分水岭区梗死(蛇眼征)

五、病例分享
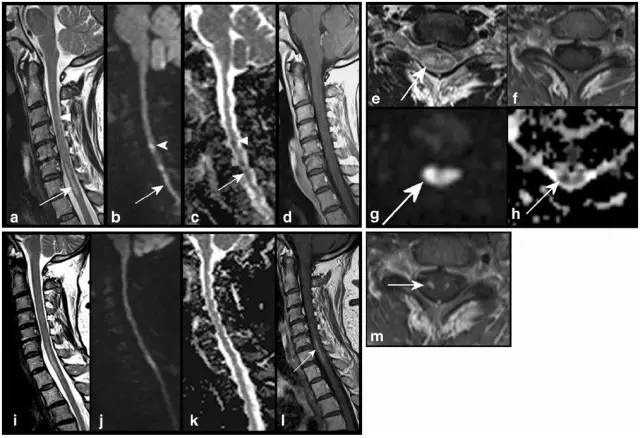
病例1:77岁女性,脊髓前动脉综合征。表现为进行性四肢瘫,剧烈颈部疼痛向双上肢放射。MRI T2(图a)显示纵向高信号,T1(图b)及强化显示脊髓腹侧轻度不均匀强化(铅笔画样;图c箭头)。T2轴位(图d,f)显示C3/4水平脊髓前角对称性高信号(图d箭头为蛇眼征;图e箭头显示轻度强化),病变扩展到C5水平,累及脊髓后动脉分布区。

病例2:46岁女性,脊髓前动脉梗死和抗磷脂抗体综合征。发病第二天MRI(图a-h)显示T2(图a,e)不均匀高信号,病变起自C3/4(图a,箭头),一直到C7/Th1水平(图a,e箭头),DWI高信号(图b,g),ADC低信号(图c,h箭头),无强化(图d,f)。第九天随访MRI(图i-m),T2(图i),DWI(图j),ADC(图k),强化(图l),特别是前外侧强化(图m,箭头提示强化后蛇眼征)

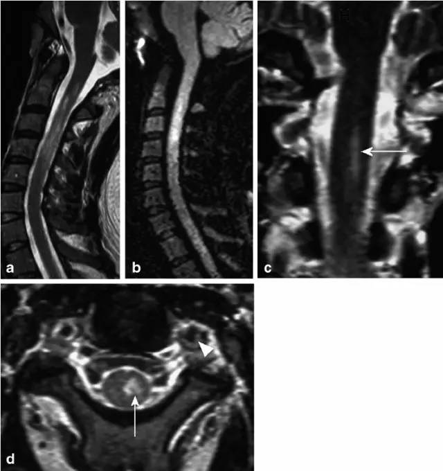
病例3:33岁女性,脊髓沟动脉综合征。矢状位T2(图a)显示颈髓不均匀高信号,DWI高信号(图b)。增强(图c)和轴位T2(d)显示左侧髓质梗死(图c,d,箭头),V2和V3水平显示左侧椎动脉夹层(图d,箭头)

病例4:桶人综合征,可疑右侧椎动脉夹层。T2(图a矢状位,图c轴位)显示脊髓前角(图c,箭头)铅笔画样(图a,箭头)髓内高信号。随访MRI(图b矢状位,图d轴位)显示C5/6水平(图b,箭头)局限性脊髓萎缩,双侧脊髓前角高信号(图d)

病例5:中央髓质综合征,脊髓前动脉分布区梗死。在Th9/10-Th12水平(图a,d箭头),T2高信号(图a,c-e),DWI高信号(图b)

病例6:78岁女性,主动脉支架术后两天,Adamkiewicz动脉综合征。矢状位T2(图a)显示不均匀高信号,DWI高信号(图b),ADC低信号(图c),轴位T2(图d,e)显示整个脊髓平面梗死(脊髓前和后动脉分布区)

病例7:71岁男性,腹部外科手术后在ICU发生顽固低血压,导致脊髓前动脉分布区血流动力学性梗死。矢状位T2显示铅笔画样高信号(图a,箭头),轴位T2(图b-d)显示蛇眼征

病例8:腰膨大和脊髓圆锥梗死。T2(图a矢状位,图d和e轴位)显示脊髓圆锥近完全横贯性高信号,T1可见轻微强化(图c)

病例9:57岁女性,脊髓后动脉和脊髓后外侧动脉分布区梗死。矢状位和轴位T2(图a,c)显示高信号(箭头),DWI高信号(图b)

病例10:52岁女性。Th10/11-L1水平T2高信号伴水肿(图a,c),增强T1显示(图b为发病5天,图e和f为发病10天)马尾前强化影(positive anterior cauda equine sign,图d箭头)

病例11:动脉受压导致脊髓缺血。

上一篇:脊椎椎体畸形(半椎体、蝴蝶椎)