【病例】肿瘤样钙盐沉着症1例X线影像表现
发布时间:2022-10-24
发布时间:2022-10-24

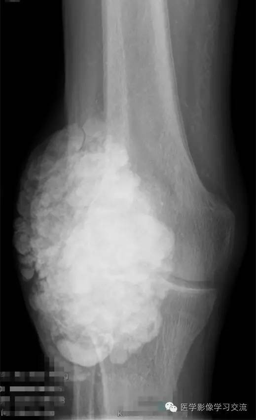
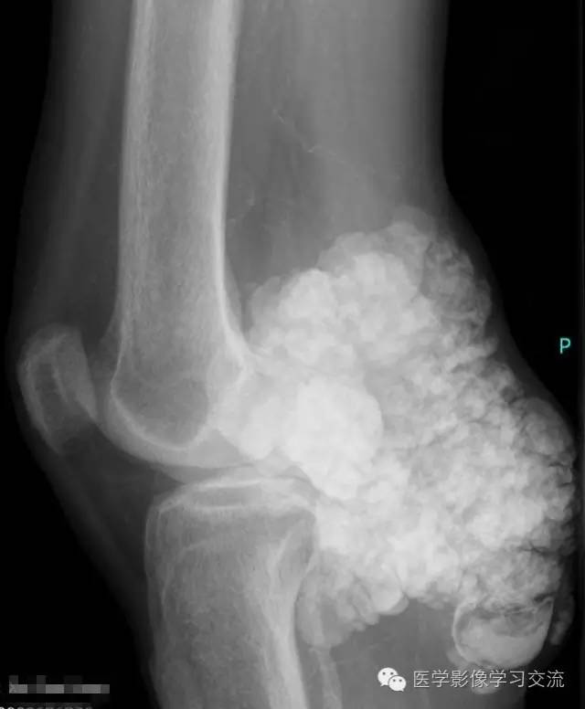
X线检查如下:


其它检查结果如下:
彩超
检查所见:
右侧膝关节背侧面可见实性肿物,大小20×14cm,其内可见多发强回声斑,后方伴衰减。
诊断意见:
右侧膝关节背侧面实性占位并钙化。
彩超
检查所见:
右侧甲状旁腺区可见大小1.4×0.9cm低回声结节,其内可见环状强回声斑;
左侧甲状旁腺区可见大小1.2×0.8cm低回声结节,其内可见环状强回声斑;
CDFI:未见明显异常血流信号。
诊断意见:
双侧甲状旁腺区实性结节 请结合同位素扫描。
CT
检查所见:
甲状腺形态正常,轮廓清楚,实质内可见多发点状高密度影,其周围脂肪间隙存在,所见颈部未见肿大淋巴结。
诊断意见:
甲状腺多发钙化点。
核医学
检查所见:
静脉注射99mTc-MIBI后15min和60min行前位静态显像:
15min:甲状腺显影清晰,外形不大,形态、位置正常,放射性分布基本均匀,口腔腺体显影清晰。
60min延迟显像:甲状腺显影欠清,甲状腺双叶下部见放射性浓聚,余未见明显放射性分布浓聚区或稀疏区。
4小时延迟显像:甲状腺显影欠清,甲状腺右叶下部仍见放射性分布,左叶影像较模糊,余未见明显放射性分布浓聚区或稀疏区。
诊断意见:
甲状腺双叶下部异常放射性浓聚,考虑左右两叶甲状旁腺腺瘤。
实验室检查:
| *尿素 | BUN | 14.68 | mmol/L | H | 3.20-7.10 | ||||||||||||||||||||||||||
| *肌酐 | Cr | 894.50 | umol/L | H | 58.00-110.00 | ||||||||||||||||||||||||||
| 磷 | P | 3.25 | mmol/L | H | 0.81-1.45 | ||||||||||||||||||||||||||
| 氯 | Cl | 95.90 | mmol/L | L | 98.00-107.00 | ||||||||||||||||||||||||||
| *天门冬氨酸氨基转移酶 | AST | 9.00 | U/L | L | 15.00-46.00 | ||||||||||||||||||||||||||
| *总蛋白 | TP | 61.50 | g/L | L | 63.00-82.00 | ||||||||||||||||||||||||||
| *碱性磷酸酶 | AKP | 286.00 | U/L | H | 38.00-126.00 | ||||||||||||||||||||||||||
| 中性粒细胞百分率 | NEUT% | 72.88 | % | H | 50.00-70.00 | ||||||||||||||||||||||||||
| *红细胞 | RBC | 2.80 | 10~12/L | L | 4.09-5.74 | ||||||||||||||||||||||||||
| *血红蛋白 | HGB | 88.34 | g/L | L | 131.00-172.00 | ||||||||||||||||||||||||||
放射线诊断:肿瘤样钙盐沉着症( tumoral calcinosis , TC)
1. TC 的病因和临床
TC 是一种很少见的疾病,又名瘤样钙化症、钙化性胶原溶解、臀石等。1899 年由 Duret 首先描述,1943 年由Inclan命名。本病发病原因不明,可能与下列因素有关: ①钙磷、胆固醇代谢异常; ②关节附近胶原纤维对刺激所作出的反应性钙化
; ③遗传因素,认为是一种常染色体显性遗传性畸形所致; ④外伤因素,为反复轻微损伤造成局部营养障碍而引起。
本病例系一慢性肾功能衰竭, 继发甲状旁腺功能亢进, 存在着高血磷, 临床经过及辅助检查符合肿瘤样钙质沉着症。从本病例可见该病病程迁延, 病灶多发, 肿痛症状有自行缓解倾向。该病系原发或继发于慢性肾衰,值得探讨。
2. TC 的发病机制和病理
病灶处存在大量壁菲薄、通透性高的毛细血管,血液往复循环于其中时携来丰富的钙及磷酸根离子; 免疫组化显示病变钙化灶边缘的组织细胞样细胞源自中胚叶,为前骨母细胞,其主要产生碱性磷酸酶而不产生有机的骨基质。因而在局部促成大量钙质沉着,但无骨化改变。
病理上将 TC 分为活动期和静止期,呈多囊性或实性,前者囊壁及间隔内衬肉芽组织,后者仅有纤维组织和胶原纤维构成。TC 的病理特点为成纤维组织和胶原纤维组成的包膜内,填充乳白色石灰样糊状钙化沉积物及淡黄色乳糜状液体,囊内见大小不等的钙化灶,囊壁可见上皮细胞和多核巨细胞。TC 行组织病理活检时,由于取材深度和范围所限,经常表现为无钙盐沉积存在的肉芽肿样病变,所以术前病理诊断需要结合临床和影像学检查。
3. TC 的影像学表现
X 线检查是诊断 TC 的基本方法,其表现为关节旁关节伸侧软组织中,呈大小不一的钙化结节集结而成的分叶状团块,呈“卵石样” ,范围较广者可呈“流注状” ; 病变一般不累及邻近关节或骨骼。
CT 与X 线平片表现一致,但CT 对病变部位、形态及范围的显示更为全面,能清楚显示病变与邻近关节及骨骼的关系。
MRI具有多参数、多序列、多方位成像的功能,可根据信号判断组织成分; 由于肿瘤主要由纤维包膜包裹的钙化沉积物及淡黄色乳糜状液体组成,内有纤维间隔,
因此 T1WI肿瘤呈不均匀低信号, T2WI 呈不均匀高信号; 肿瘤包膜呈长 T1 、长 T2 信号。MRI 对观察肿瘤边缘及肿瘤与关节、骨骼的关系价值大,能多方位显
示病变不累及关节或骨骼,对诊断有较大帮助。


参考文献:
肿瘤样钙质沉着症的临床和影像学分析-母华国, 陈平有, 桑玲, 李丹
尿毒症合并肿瘤样钙质沉着症1例-张丽冬 施荣香 兰解放