【病例】胸壁纤维瘤1例CT影像表现
发布时间:2022-10-24
发布时间:2022-10-24
病例
2. 主 诉:发现右侧前胸壁肿物伴间断疼痛3年,进行性增大1年
3.现病史:约3年前发现右侧前胸壁肿物,初始发现时约1cm×1cm大小,伴钝性疼痛,呈间断性,休息后缓解,不伴胸憋、气紧、咳嗽、发热、盗汗等症状,不伴牵扯性疼痛,未予重视。1年前右侧前胸壁肿物进行性增大,仍伴间断性疼痛
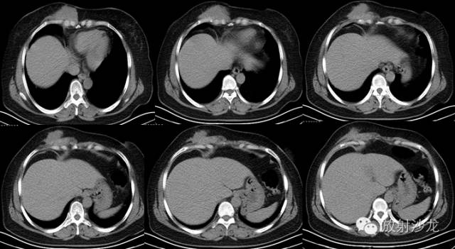
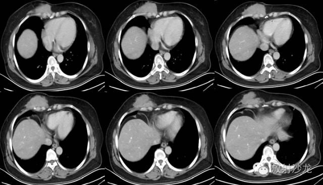
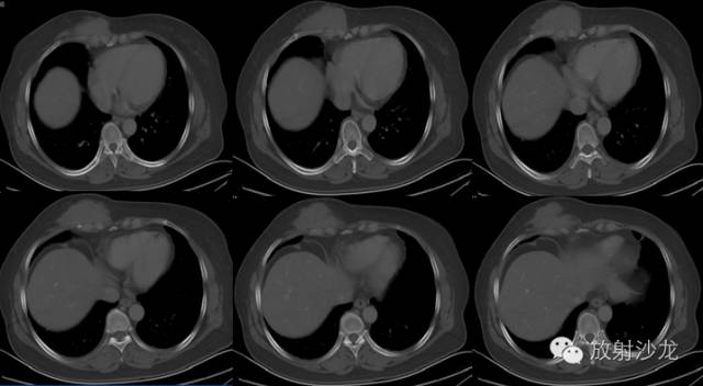
4. 专科检查:胸廓无畸形,双乳对称,无红肿,无触痛。右侧前胸壁可触及一大小约13cm×6cm的不规则形皮下肿物,越过胸骨正中线,表面不平,其上可见两处范围分别为4cm×3cm、2cm×1cm的皮肤发红区域,触之质韧,边界不清,活动度差,无皮温增高及波动感,无明显压痛





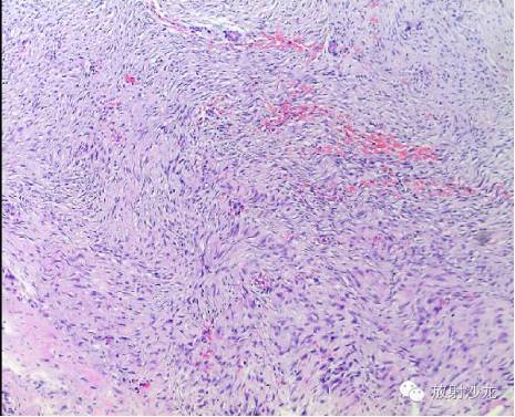
免疫组化结果:EMA(-),Vimentin( ),Ki67( ),CD34(血管 ) ,S100(散在少量 ),SMA(-),Desmin(-).
2. (部分胸骨组织)送检骨、骨髓组织未见著变,周围纤维、横纹肌组织间可见少量瘤组织。
3. (切口皮缘)送检皮肤组织未见著变。
韧带样纤维瘤按其生长部位不同,可分为腹壁和腹壁外韧带样纤维瘤,病因尚不完全清楚,其发生可能与创伤、内分泌和遗传等因素有关。该肿瘤在生物学行为上属于中间类型,常局部复发但罕见转移,手术切除是韧带样纤维瘤最有效的治疗方法,有文献报道其术后复发率为15%~77%,切缘阳性者明显高于切缘阴性者。
韧带样纤维瘤发病率低,有关该肿瘤治疗效果的报道均为回顾性研究,国内外尚缺乏统一的治疗指南。完整切除肿瘤是首选的治疗措施,但该类肿瘤质地坚硬,常呈局部浸润性生长,无包膜形成,通过肉眼常难以判断肿瘤所累及的范围,且胸部神经、血管丰富,有时要达到切缘阴性并非易事。由于该肿瘤与一般恶性肿瘤不同,其一般不会危及生命且罕见恶变,所以对于肿瘤侵犯肢体及重要组织器官,无法完整切除的患者,可考虑行姑息性切除 术后放疗,不能片面的追求切缘阴性而牺牲患者肢体及重要器官的功能。对完整切除后复发的患者,二次手术或多次手术也可获得良好疗效
CT表现:CT对侵袭性纤维瘤病的诊断无特异性,CT常表现为肿瘤沿肌肉长轴生长,边缘规则或不规则,密度基本均匀,增强扫描可见强化。CT扫描能提示病变的性质并能正确评价病变侵犯的范围,对制订恰当的治疗方案及减少复发机会有明显价值口。
上一篇:股骨颈疝窝
下一篇:千万不要把滋养管认成“骨折”