肘关节及前臂平片——临床影像示例
发布时间:2022-10-24
发布时间:2022-10-24
(正常解剖在本文最后)

脂肪垫征(fat pad sign):又称帆船征(Sailing sign) 或八字征;细微的软组织表现是骨折的标志,不应漏掉。前后脂肪垫移位提示肘关节内的积血、积液改变,使关节滑膜、脂肪垫被推移,在侧位片上呈“船帆”状;虽然有时肘关节x片中看不到骨折线,但是出现前脂肪垫征时强烈提示有桡骨小头骨折。

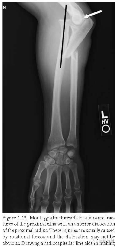
桡肱小头线:沿桡骨干近段画线,在任何投照位上,其平分肱骨小头。



肘关节脱位:一种常见的关节脱位,仅次于肩关节及指间关节脱位。大部分肘关节脱位发生于过伸体位(当跌倒时手掌着地,肘关节完全伸展),后脱位最常见,尺骨鹰嘴向后移位,而肱骨下端向前移位。

孟氏骨折:尺骨上1/3骨折合并桡骨小头脱位;由旋转暴力所致的损伤,脱位可不明显,桡肱小头线有助于脱位的诊断。

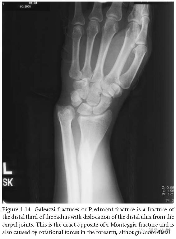
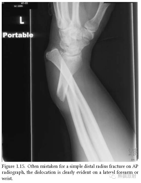
盖氏骨折:桡骨中下1/3骨折合并下尺桡关节脱位;与孟氏骨折完全相反,也是由前臂旋转暴力所致,但较孟氏骨折更为常见。

盖氏骨折:在正位片上常被误认为简单的桡骨远段骨折,在侧位片上脱位显示的更加明显。
肘关节及前臂X线解剖





下一篇:股骨颈疝窝