【病例】左胫骨弥漫性非霍奇金淋巴瘤1例X线MR影像表现
发布时间:2022-10-24
发布时间:2022-10-24




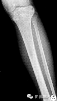
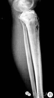
1.尤因肉瘤10〜15岁发病率最高,30岁以后发病率也较高,长骨病变多位于骨干中心型,病变累及长度约占骨干的1/3以上,骨皮质呈筛孔样或虫蚀样破坏,上述征象与本病例基本符合。但尤因肉瘤一般会有葱皮样、花边样或层状等形态的骨膜反应,部分骨膜可破坏,偶见Codman\’s三角。本例缺乏此征象。
2.骨髓炎本例有近4个月的病程,加之无明显软组织肿胀及骨膜反应,考虑慢性低毒性骨感染。可以无急性感染史或感染症状不明显,实验室检查外周血白细胞不增高或增高不明显。影像表现局限性或缓慢性骨质破坏,少有死骨形成,多有病灶边缘骨质硬化,故可考虑本病。但本例骨质硬化较少,而病变范围较广,此点不是很符合。另一不符之处,在MRI影像上,病灶下界与正常髓腔分界较清晰。
3.恶性纤维组织细胞瘤就本例发病的年龄、性别、骨质破坏的形态、范围等均符合恶性纤维组织细胞瘤的特点。但有一重要的不符合之处是破坏区未突破皮质,病变区周围亦无明显软组织肿块。
4.混合性骨肉瘤胫骨近端为好发部位,有成骨,有溶骨,侵及范围跨过骺线,可同时累及皮质及松质骨。但本病未见明确软组织肿块影及肿瘤骨,也未见骨膜反应,故难以支持本病。
影像诊断:尤因肉瘤可能大,低毒菌感染待排。
PLB较特征的影像表现可概括为:①早期肿瘤仅在骨髓腔内生长,外形保持正常,此时在X线上可表现正常,或仅表现为病变骨质内斑点状的溶骨性低密度,随着肿瘤组织向骨内膜生长,浸润、侵入到骨皮质内,使病变骨呈膨胀性改变,骨皮质呈“筛孔”或“鼠咬”状溶骨性破坏,破坏区边缘不清楚。②肿瘤的MR信号强度与肿瘤内部的组织成分有关。瘤细胞密度高、纤维成分多时,其T1、T2信号强度都相对较低。③骨膜反应较轻微。偶见的骨膜反应为单层型、板层型和针刺状,这种类型的骨膜反应在其他类 型骨原发恶性肿瘤中很少见到。④PLB的增强后MRI常为较均匀的中等或明显强化。⑤PLB的软组织肿块多以病变骨质为中心性,呈包绕性生长。