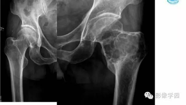
【病例】股骨软骨粘液样纤维瘤1例X线及MR影像表现

发布时间:2022-10-24

【病例】股骨软骨粘液样纤维瘤1例X线及MR影像表现

【病例】股骨软骨粘液样纤维瘤1例X线及MR影像表现

【病例】股骨软骨粘液样纤维瘤1例X线及MR影像表现

【病例】股骨软骨粘液样纤维瘤1例X线及MR影像表现

【病例】股骨软骨粘液样纤维瘤1例X线及MR影像表现

【病例】股骨软骨粘液样纤维瘤1例X线及MR影像表现

【病例】股骨软骨粘液样纤维瘤1例X线及MR影像表现

【病例】股骨软骨粘液样纤维瘤1例X线及MR影像表现

【病例】股骨软骨粘液样纤维瘤1例X线及MR影像表现

【病例】股骨软骨粘液样纤维瘤1例X线及MR影像表现

【病例】股骨软骨粘液样纤维瘤1例X线及MR影像表现

【病例】股骨软骨粘液样纤维瘤1例X线及MR影像表现

【病例】股骨软骨粘液样纤维瘤1例X线及MR影像表现

【病例】股骨软骨粘液样纤维瘤1例X线及MR影像表现

【病例】股骨软骨粘液样纤维瘤1例X线及MR影像表现

【病例】股骨软骨粘液样纤维瘤1例X线及MR影像表现

【病例】股骨软骨粘液样纤维瘤1例X线及MR影像表现

【病例】股骨软骨粘液样纤维瘤1例X线及MR影像表现

【病例】股骨软骨粘液样纤维瘤1例X线及MR影像表现

【病例】股骨软骨粘液样纤维瘤1例X线及MR影像表现

【病例】股骨软骨粘液样纤维瘤1例X线及MR影像表现

【病例】股骨软骨粘液样纤维瘤1例X线及MR影像表现

【病例】股骨软骨粘液样纤维瘤1例X线及MR影像表现

【病例】股骨软骨粘液样纤维瘤1例X线及MR影像表现

【病例】股骨软骨粘液样纤维瘤1例X线及MR影像表现

【病例】股骨软骨粘液样纤维瘤1例X线及MR影像表现

【病例】股骨软骨粘液样纤维瘤1例X线及MR影像表现

【病例】股骨软骨粘液样纤维瘤1例X线及MR影像表现

精彩图片

热门精选