病毒性脑膜炎
散发性脑炎
散发性脑炎(一)发病原因
医学百科网 | YxBaike.Com
随着病毒学研究特别是组织细胞培养,血及脑脊液感染病原学检测技术的发展,现已明确,本病大多数为肠道病毒感染,其次为腮腺炎病毒及淋巴细胞脉络丛脑膜炎病毒,少数为疱疹性病毒包括单纯疱疹病毒及水痘带状疱疹病毒。 医学百科网 | YxBaike.Com
此外,传染性单核细胞增多症病毒(Epstein-Barr virus, EBV)及巨细胞病毒(cytomegalovirus)等病毒偶可导致本症。 医学百科网 | YxBaike.Com
肠道病毒(enterovirus)是一种最小的无被膜RNA病毒,可在污水中较长时期生存,人类为肠道病毒的天然宿主。肠道病毒一旦进入人体可以进入细胞胞质并破坏及杀死细胞。肠道病毒一般分为3种,即脊髓灰质炎病毒(poliovirus)、柯萨奇病毒(coxsackievirus)及埃可病毒(ECHO virus),此外,还有尚未分类的肠道病毒。而这几种肠道病毒均有许多亚型,如柯萨奇病毒有A型及B型,但两型均可引起病毒性脑膜炎,并偶可引起脑炎及急性小脑性共济失调。埃可病毒可在正常粪中经细胞培养分离出来,一般并不致病,埃可病毒有30余种血清型。 医学百科网 | YxBaike.Com
(二)发病机制 医学百科网 | YxBaike.Com
病毒经肠道(如肠道病毒)或呼吸道(如腺病毒和出疹性疾病)进入淋巴系统繁殖,然后经血流(虫媒病毒直接进入血流)感染颅外某些脏器,此时患者可有发热等全身症状。在病毒血症的后期进入中枢神经系统,并经脉络丛进入脑脊液,出现中枢神经症状。若宿主对病毒抗原发生强烈免疫反应,将进一步导致脱髓鞘、血管与血管周围脑组织损害。 医学百科网 | YxBaike.Com
该病毒在人体内还可导致心肌炎、咽炎、肋间肌痛及皮肤等器官损害。
医学百科网 | YxBaike.Com
病理改变大多弥漫分布,但也可在某些脑叶突出,呈相对局限倾向。
医学百科网 | YxBaike.Com
脑部大体观察一般均无特殊异常,可见脑表面血管充盈及脑水肿的表现。脑膜和(或)脑实质广泛性充血、水肿,伴淋巴细胞和浆细胞浸润。病变主要在软脑膜,可查见蛛网膜有单核细胞浸润,大脑浅层可有血管周围炎细胞浸润形成的血管套,血管周围组织神经细胞变性、坏死和髓鞘崩解。但深层脑及脊髓组织无炎性改变和神经细胞坏死的证据。
医学百科网 | YxBaike.Com
在有的脑炎患者,见到明显脱髓鞘病理表现,但相关神经元和轴突却相对完好。此种病理特征,代表病毒感染激发的机体免疫应答,提示“感染后”或“过敏性”脑炎的病理学特点。
医学百科网 | YxBaike.Com
医学百科网 | YxBaike.Com
散发性脑炎1、病毒性脑炎改变 医学百科网 | YxBaike.Com
肉眼可见脑膜血管明显扩张充血,蛛网膜下腔脑脊液轻微混浊或呈淡黄色,个别甚至呈胶冻样,脑组织明显肿胀,脑回增宽、脑沟变窄。脑皮质改变较著;软化、坏死、或形成含坏死组织及淡黄色液体的液化腔。软化坏死区血管减少,易被吸除。脑的切面见白南区呈粉红色,脑室变窄。脑干体积可增大,切面见结构模糊不清,若软化灶形成。镜下观察明显,神经细胞肿胀,尼氏体溶解、消失,核偏位及固缩,染色质甚至整个细胞溶解。脑实质内血管周围有以淋巴细胞、单核细胞为主的围管性浸润(血管袖套),散在性胶质增生。一般脑白质病变较灰质为轻,可见结构疏松,散在性软化和出血灶,小胶质细胞轻度增生,邻近出血灶的血管常有纤维素性坏死及血管内血栓形成。 医学百科网 | YxBaike.Com
2、变态反应性脱髓鞘性脑病改变
医学百科网 | YxBaike.Com
脑组织明显水肿,脑表面血管扩张充血,脑的切面可见白质内有灰白色边界模糊有软化灶,脊髓也可见类似病变。但蛛网膜下腔的脑脊液无明显异常。镜下观察可见大脑白南小血管(主要是小静脉)内皮细胞肿胀,管壁增厚,管壁内单个核细胞浸润,腔内可有血栓形成。小血管周围有大淋巴细胞、单核细胞、浆细胞,有时还可有嗜酸性粒细胞的浸润,形成血管袖套。以小血管为中心的脱髓鞘性改变可见于大脑各叶及基底节区,白质脱髓鞘区有IgG阳性的星形胶质细胞。神经胶质细胞弥漫性增生。大脑灰质损害较轻。病毒分离与血清学研究表明,病毒性脑炎的病原包括ECHO病毒,单纯疱疹病毒和腺病毒。脱髓鞘性脑病可能是病毒感染损害了患者的免疫机能,从而导致脑的变态反应脱髓鞘改变,与急生播散性脑脊髓炎的发病机理在致相同。 医学百科网 | YxBaike.Com
散发性脑炎部分患者有前驱症状,如起病前数天感头痛、疲劳、纳差、呕吐、睡眠障碍或精神活动减退等。急性或亚急性起病,常见的首发症状有精神障碍、瘫痪、头痛、发热、意识障碍、恶心呕吐及癫痫性抽搐等。根据患者的主要临床表现,常可分为以下五种类型。
医学百科网 | YxBaike.Com
1、精神障碍型:
以情感障碍(情感不稳、淡漠、抑郁、欣快、恐惧)、智能障碍(理解、记忆、计算、判断、联想等能力减退)、思维障碍(缄默、多言、言语零乱及妄想)、行为障碍(动作减少、动作增多、冲动、木僵状态)等常见。精神障碍多与意识障碍(谵妄、错乱、意识模糊)并存。根据患者的主要精神症状可分为类紧张综合征、类精神分裂症、类痴呆综合征等亚型。在疾病的进展期中,精神障碍的表现常有变化,如从精神运动兴奋转为精神运动抑制。一般在病程中均可检出神经系统体征,如偏瘫、阳性锥体束征等。实验室检查,如脑脊液、脑电图、诱发电位、头颅CT及MRI等常有一定改变,可与非器质性的精神病如情感性精神病、精神分裂症等鉴别。
2、昏迷型: 医学百科网 | YxBaike.Com
起病后迅速出现严重意识障碍,如不同程度的昏迷或特殊的意识障碍。两侧大脑半球损害者,强表现为去皮质状态和睁眼昏迷;上脑干受损时出现去大脑强直;基底节受损进可出现震颤、舞蹈样作等锥体外系不自主运动;锥体束受损时出现偏瘫或双侧偏瘫。患者可因昏迷而并发肺炎,尿路感染等。昏迷持续时间不等,在意识障碍好转的过程中可出现精神异常。清醒后可残留一定的神经精神后遗症。 医学百科网 | YxBaike.Com
3、类脑瘤型:
医学百科网 | YxBaike.Com
主要表现为头痛、呕吐、视乳头水肿、瘫痪、部分性运动性癫痫发作等,常伴不同程度的意识障碍。这些虽然拟似颅内占位病变的症状,但起病急,病情迅速加重,从起病至症状顶点短者仅数小时,多数均在一个月内;颅内压急剧增高,部分患者可迅速出现颅内压增高危象;头颅CT和MRI检查均可见弥散性脑水肿和脑软化区等,均有助与脑瘤鉴别,但确诊有时需依赖开颅探查或立体定向钻孔穿刺进行脑组织活检。 医学百科网 | YxBaike.Com
4、癫痫型: 医学百科网 | YxBaike.Com
患者病前无癫痫史。常见的发作类型有全身性强直阵挛发作及其连续状态,部分性运动发作、复合性部分性发作或混合性发作。本型患者起病后均以癫痫发作为主要症状,有些患者在癫痫发作前可有发热、头痛、头昏、呕吐、主动活动减少等前驱症状,随后出现弥散性异常,脑脊液检查轻度异常或正常,CT及MRI可见弥散性脑水肿,单个或多个灶性病变等,为症状性癫痫的诊断提供了依据;散发性脑炎的其它表现有助本病的临床诊断。
医学百科网 | YxBaike.Com
5、局限型:
医学百科网 | YxBaike.Com
以偏瘫、单瘫、交叉性瘫、四肢瘫、运动性共济失调、锥体外系不自主运动、颅神经损害为主要临床表现,表明病变位于大脑的某一局部,或位于小脑或脑干。根据起病缓急、疾病发展过程、脑脊液检查、CT或MRI以及对试验治疗的反应与脑血管病、脑瘤、多发性硬化症鉴别。 医学百科网 | YxBaike.Com
散发性脑炎1、周围血象白细胞轻度升高。
医学百科网 | YxBaike.Com
2、部分病人脑脊液压力增高,细胞数(以淋巴细胞为主),蛋白增加,但糖、氯化物正常。 医学百科网 | YxBaike.Com
3、脑电图呈现弥漫性θ或δ波,有时可见尖波、棘波或棘-慢复合波。
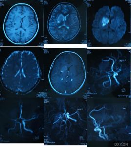
4、颅脑CT可见脑内大小不等、边界不清的低密度灶。
散发性脑炎1、血液:周围血象的白细胞总数正常或轻度增高。白细胞分类正常或嗜中性粒细胞百分率称高于正常。血沉正常或加快。 医学百科网 | YxBaike.Com
2、脑脊液:①病毒性脑炎样改变:白细胞数增加,早期为嗜中性粒细胞明显增高,1~数天后淋巴细胞占优势,还可见浆细胞和淋巴细胞样细胞。蛋白质正常或轻度增高。②脱髓鞘性脑病样改变:白细胞数正常或稍增加,分类可见淋巴细胞百分率升高,还可见大淋巴细胞、淋巴细胞样细胞,浆细胞及激活型单核细胞,嗜中性粒细胞少见。蛋白质多为正常。以上两种病变其脑脊液改变是相对的,不能为病毒性脑炎或脱髓鞘性脑病提供确诊依据。 医学百科网 | YxBaike.Com
3、病原学检查:脑脊液或脑组织(包括开颅探查或钻孔穿刺的脑组织活检和尸检)病毒培养和分离、血清学检查等对病毒性脑炎有确诊意义,但病毒分离需时较长,对临床诊治帮助往往不大。 医学百科网 | YxBaike.Com
4、脑电图检查:多数患者均有脑电图异常,但其改变无特异性。常见的改变为弥散性异常及弥散性异常背景上的局灶性活动。病程中动态性脑电图观察有助于判断病情的发展和预后。一般随着病情的发展,脑电图改变也加重;病情改善时,脑电图也随之好转,对于晚语诊为精神病的散发性脑炎,脑电图的改变,有一定的鉴别诊断意义。
5、放射学检查:常规头颅放射学检查对散发性脑炎的诊断无重要价值。头颅CT有时可见大脑半球多个散在的软化灶,对排除占位性病变有一定意义。 医学百科网 | YxBaike.Com
散发性脑炎散发性脑炎系临床诊断,病理诊断则可区分病毒性脑炎及变态反应性脱髓鞘性脑病。临床诊断的主要依据为: 医学百科网 | YxBaike.Com
1、起病前一个月内有感染史,以感冒、腹泻多见。 医学百科网 | YxBaike.Com
2、急性或亚急性起病,呈弥漫性脑损害的临床表现。少数患者也可呈局限性脑损害的症状和体征,但或多或少仍有弥漫性脑损害的背景。 医学百科网 | YxBaike.Com
3、脑脊液正常或白细胞、蛋白轻至中度增加。脑脊液白细胞正常时,其白细胞分类往往见免疫活性细胞呈活跃状态。
4、脑电图多呈弥漫性高波幅慢波或弥漫性脑损害的背景上的局灶性改变。 医学百科网 | YxBaike.Com
5、应排除与临床表现相似的其它疾病,如已知病原的中枢神经系统感染(已型脑炎、单纯疱疹病毒脑炎)、脑瘤、脑血管畸形、脑卒中等。
1.颅内其他病原感染 主要根据脑脊液外观、常规、生化和病原学检查,与化脓性脑膜炎、结核性脑膜炎、隐球菌脑膜炎鉴别。此外,合并硬膜下积液者支持婴儿化脓性脑膜炎。发现颅外结核病灶和皮肤PPD阳性有助结核性脑膜炎诊断。
医学百科网 | YxBaike.Com
2.Reye综合征 因急性脑病表现和脑脊液无明显异常使两病易相混淆,但依据Reye综合征无黄疸而肝功明显异常、起病后3~5天病情不再进展、有的患者血糖降低等特点,可与病毒性脑膜炎或脑炎鉴别。
医学百科网 | YxBaike.Com
1.意识障碍,甚至去皮质状态等不同程度意识改变。 医学百科网 | YxBaike.Com
2.颅压增高症状,若出现呼吸节律不规则或瞳孔不等大,要考虑颅内高压并发脑疝可能性。 医学百科网 | YxBaike.Com
3.多数完全恢复,但少数遗留癫痫、肢体瘫痪、智能发育迟缓等后遗症。 医学百科网 | YxBaike.Com
病毒性脑炎没有传染性,早期症状类似感冒,很容易被患者忽视。 医学百科网 | YxBaike.Com
1.注意增强体质,预防上呼吸道感染。 医学百科网 | YxBaike.Com
2.新生儿及儿童按要求积极实施计划免疫接种。
医学百科网 | YxBaike.Com
3.早期综合治疗,减轻并发症和后遗症。
散发性脑炎治疗原则为抗炎和抗变态反应,防治脑水肿,改善神经代谢和缺血缺氧状态。
1、肾上腺皮质激素: 医学百科网 | YxBaike.Com
一般用地塞米松10~20mg/d、静脉滴注,症状改善后可逐渐减量,7~10次后可改为0.75~1.5g、3/d,口服,或强的松30mg,1/d,口服,皮质激素类药物不宜过早停用,以减免后遗症。 医学百科网 | YxBaike.Com
2、硫唑嘌呤:
成人一般剂量为2.5mg/kg,分三次服用,也可与皮质激素合用。用药期内应观察血象,如红细胞、白细胞、血小板下降至正常水平以下,应及时停用,并予对症处理。
3、干扰素: 医学百科网 | YxBaike.Com
一般成人用α-干扰素300~500万国际单位/d,肌注,可连续用3-4周。副作用如头痛、口干、手足麻木或疼痛、粒细胞减少等,常见于两周之后。如出现嗜睡、癫痫发作,应及时停药。 医学百科网 | YxBaike.Com
4、对症治疗:
医学百科网 | YxBaike.Com
如用速尿、甘露醇降低颅内压。用胞二磷胆碱、维生素B6、维生素E、脑复康、泛酸等改善脑代谢,对有癫痫发作的患者应用抗癫痫药,对精神运动兴奋的患者可合用精神安定性药物等。 医学百科网 | YxBaike.Com
散发性脑炎1、气营两燔型,清营汤加减 医学百科网 | YxBaike.Com
方药组成:水牛角、板蓝根、二花、连翘各30g,生地、玄参各20g、知母、全蝎、竹沥膏各10g,天竺黄、胆南星、橘红、半夏各12g、麦冬15g,生石膏60g,蜈蚣3g,并可服安宫牛黄丸及紫雪丹等。 医学百科网 | YxBaike.Com
2、痰气郁结型,涤痰汤加减 医学百科网 | YxBaike.Com
方药组成:陈皮、半夏、茯苓、菖蒲、郁金、远志、胆南星、天竺黄、川芎各12g,甘草6g,大青叶30g,板蓝根30g,麝香(冲)0.1g。
3、痰阻经络型,涤痰汤合桃红四物汤加减 医学百科网 | YxBaike.Com
方药组成:陈皮、胆南星、天竺黄、远志、郁金、桃仁各12g、菖蒲各10g,甘草6g,当归、赤芍、地龙各15g,川芎18g,丹参30g。高热加石膏、知母;便秘加大黄;汗多加龙骨、牡蛎;视力障碍加草决明,青箱子;癫痫反复发作的加礞石、全蝎、蜈蚣。
医学百科网 | YxBaike.Com
慢性脓胸 医学百科网 | YxBaike.Com | 神经症 医学百科网 | YxBaike.Com |
丝虫病 医学百科网 | YxBaike.Com | 肾盂癌 医学百科网 | YxBaike.Com |
胃息肉 医学百科网 | YxBaike.Com | 医学百科网 | YxBaike.Com |
附件列表
词条内容仅供参考,如果您需要解决具体问题,请遵医嘱或咨询医师。
本站词条内容如果涉嫌侵权,请与客服联系,我们将及时进行处理。如需转载,请注明来源于www.yxbaike.com
