嗜铬细胞瘤
嗜铬细胞瘤细胞嗜铬细胞瘤起源于嗜铬细胞(chromaffin cell)。胚胎期,嗜铬细胞的分布与身体的交感神经节有关。随着肥猪的发育成熟,绝大部分嗜铬细胞发生退化,其残余部分形成肾上腺髓质。因此绝大部分嗜铬细胞瘤发生于肾上腺髓质。肾上腺外的嗜铬细胞瘤可发生于自颈动脉体至盆腔的任何部位,但主要见于脊柱旁交感神经节(以纵隔后为主)和腹主要见于分叉处的主动脉旁器(Zuckerkandl organ)。
医学百科网 | YxBaike.Com
医学百科网 | YxBaike.Com
医学百科网 | YxBaike.Com
嗜铬细胞瘤嗜铬细胞瘤约占高血压病因的0.5~1%。90%以上的患者可经手术治愈。因为本病发作时有引起急症意外的危险,加之尚有一部分为恶性嗜铬细胞瘤,故应及早诊治。但由于患者常呈间歇性发作,给某些实验及检查带来一定困难,所以,在检查方法的选择上应综合考虑。
医学百科网 | YxBaike.Com
1.实验室检查 一般实验室检查无特异性。耐糖量下降,基础代谢增高而血甭蛋白结合碘政治家有参考意义。通常将血、尿儿茶酚胺及代谢产物的测定作为特异性检查。 医学百科网 | YxBaike.Com
肾上腺素和去甲肾上腺素在代谢过程中先降解为变肾上腺素类,最终降解为3-甲氨基4-羟扁桃酸(VMA)。因此实验室中将测定尿中变肾上腺素类及VMA做为功能性嗜铬细胞瘤的诊断指标。但变肾上腺腺类及VMA可受到某些药物,如单胺氧化酶抑制剂、氯丙嗪、锂制剂等,以及食物,如咖啡、香蕉等的干扰,使测定结果受到影响。尿液悼念是滞完全及是否在发作期,都可影响测定结果。这些因素应给予足够的重视。
医学百科网 | YxBaike.Com
尿儿茶酚胺测定较为敏感可靠,但技术要求较高。据认为它是反映短期内儿茶酚胺分泌最敏感的指标。对分泌肾上腺素占优势者诊断价值更高。
医学百科网 | YxBaike.Com
近年来,应用敏感及特异放射酶分析法,开展了血去甲肾上腺素、肾上腺素、多巴胺的单独测定,虽然实验条件要注高、价格较昂贵,但确切目前诊断嗜铬细胞瘤最敏感的方法,尤其是借助此检查可以发现血压正常的嗜铬细胞瘤。 医学百科网 | YxBaike.Com
近几年,Kuchel等发现,儿茶酚胺的三个组成部分,去甲肾上腺素、肾上腺素、多巴胺在血循环中以两种方式存在,即游离状态与结合状态。周围血循环中80%的去甲肾上腺素和肾上腺素处于结合状态,而几乎100%的多巴胺处于结合状态。以往实验室测定的都是游离状态的儿茶酚胺。测定结合状态儿茶酚胺后发现。 医学百科网 | YxBaike.Com
2.药理试验 药理试验特异性不强,有一定的假阴性、假阳性及副作用。但对临床可疑而儿茶酚胺测定未发现异常者应用药物试验具有一定的诊断意义。
药理试验有两大类,即阻滞α肾上腺素能受体阻滞剂,如苄胺唑啉(phentolamine,regitine),用于持续性高血压病人或阵发性高血压病人发作。如果血压是由于去甲肾上腺素和肾上腺素分泌过多所致。则静脉注射苄胺唑啉后2分钟内血压迅速下降。收缩压下降大于4.65kPa(35mmHg),舒张压下降大于3.3kPa(25mmHg),并维持3~5分钟以上为阳性。试验前应停用镇静剂和降血压药1周,以免影响测定的准确性。
医学百科网 | YxBaike.Com
有报道可采用可乐宁(clonidine)进行抑制试验。口服可乐宁后,非嗜铬细胞瘤高血压患者的血儿茶酚胺被抑制而下降;而嗜铬细胞瘤病人的肿瘤自主性儿茶酚胺的分泌释放不能被抑制,故血儿茶酚胺水平无改变。 医学百科网 | YxBaike.Com
激发试验是应用组织胺等对阵发性高血压患者在无发作、血压不高时进行诱导激发。静脉注射组织胺后2分钟,收缩压升高大于6.65kPa(50mmHg),舒张压升高大于3.99kPa(30mmHg),即为阳性。正常人及原发性高血压患者,注药后血压可下降,同时有面部潮红、头痛、恶心等。本试验有一定危险,试验时应备好苄胺唑啉等。本试验有一定危险,试验时应备好苄胺唑啉等,以便血压过高时用。对有心肌梗塞、脑溢血、心衰病史者,禁作此试验。
胰岛血糖素(glucagon)可兴奋肾上腺髓质嗜铬细胞瘤释放儿茶酚胺,引起高血压,而对正常人及原发性高血压病人无此反应。它的副作用远较组织胺小,较为安全。 医学百科网 | YxBaike.Com
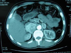
3.定位诊断 B型超声和CT扫描对嗜铬细胞瘤的诊断准确率高,而且无创伤,有条件应作为首选检查方法。1.5cm以上的肿瘤经CT扫描可准确定位,小于1cm者困难些,需结合其他检查综合分析。CT扫描除能对肿瘤进行定位和测量大小外,还可根据肿瘤边界等情况,判断其有否浸润、转移等,以利选取合适的治疗方法。
医学百科网 | YxBaike.Com
腔静脉分段取血定位检查,对嗜铬细胞瘤定位,尤其对体积小的肿瘤、异位肿瘤或其他检查未能定位的肿瘤,有较高的价值,可给CT扫描提供一定的参考。 医学百科网 | YxBaike.Com
近年来开展的131I-间位碘苄胍(131I-MIBG)造影,对嗜铬细胞瘤的诊断及定位提供了重要方法。其原理是MIBG在化学结构上类似去甲肾上腺素,能被肾上腺髓质和嗜铬细胞瘤摄取。故对嗜铬细胞瘤检查有特异性,能鉴别肾上腺或肾上腺以外其他部位的肿瘤是否为嗜铬细胞瘤。具有安全、特异和准确率高的优点。 医学百科网 | YxBaike.Com
医学百科网 | YxBaike.Com
嗜铬细胞瘤手术切除嗜铬细胞瘤是最有效的治疗方法,但手术有一定的危险性。麻醉和手术当中对肿瘤的挤压,极易造成血压波动;肿瘤血运丰富,与大的血管贴近,容易引起大量出血。因此,术前、术中及术后的正确处理极为重要。
医学百科网 | YxBaike.Com
嗜铬细胞瘤患者,由于这高的我茶酚胺的分泌,使血管长期处于收缩状态,血压虽高,但血容量往往不足。因此术前应予足够疗程的药物准备,达到舒张血管,降低血压,扩充血容量的目的。目前多彩用α肾上腺素能受体阻滞剂酚苄用(phenoybenzamine),剂量10~20mg,每日2~3次,用2~6周。β肾上腺素能受体阻滞剂心得安10mg,每日2~3次,术前服1周左右,可防止手术中出现心动过速和心律紊乱。 医学百科网 | YxBaike.Com
麻醉方法与麻醉药物的选择应能满足以下条件:①对心泵效能应无明显的抑制作用;②不增加交感兴奋性;③术中有利控制血压;④肿瘤切除后,有利于恢复血容量及维持血压。目前仍多主张采用全身麻醉。手术切口可视诊断和定位准确程度以及肿瘤的大小而定,多数诊断腹部探查切口更为稳妥。
医学百科网 | YxBaike.Com
目前开展的术前预置漂浮导管(Swan-Ganz心导管),监测肺动脉楔压,可直到准确可靠地监视患者心脏泵血状况、有效维持血容量的作用,为保证手术的顺利完成,提供有利条件。 医学百科网 | YxBaike.Com
α-甲基酪胺酸(α-methyltyrosine)有阻断儿茶酚胺合成的作用,在不能手术的病人可配合苯苄胺应用,但长期使用易出现耐药。 医学百科网 | YxBaike.Com
医学百科网 | YxBaike.Com
嗜铬细胞瘤嗜铬细胞瘤90%以上为良性肿瘤。肿瘤切而呈棕黄色,血管丰富,间质很少,常有出血。肿瘤细胞较大,为不规则多角形,胞浆中颗粒较多;细胞可被铬盐染色,因此称为嗜铬为细胞瘤。据统计,80%~90%嗜铬细胞瘤发生于肾上腺髓质嗜铬质细胞,其中90%左右为单侧单个病变。多发肿瘤,包括发生于双侧肾上腺者,约占105。起源肾上腺以外的嗜铬细胞瘤约占10%;国内此项统计结果稍高一些。恶性嗜铬细胞瘤约占5%~10%,可造成淋巴结、肝、骨、肺等转移。少数嗜铬细胞瘤可同时有多发性皮下神经纤维瘤,其中大约25%与Hippel-Lindau综合征联锁。嗜铬细胞瘤也是Ⅱ型多发性内分泌肿瘤(MENⅡ)的主要病变。MENⅡ发病呈家族性,属常染色体显性遗传,约占嗜铬细胞瘤发病的5%~10%;对于双侧肾上腺嗜铬细胞瘤患者,尤其应当警惕MENⅡ的存在。 医学百科网 | YxBaike.Com
医学百科网 | YxBaike.Com
嗜铬细胞瘤能自主分泌儿茶酚胺,包括肾上腺素、去甲肾上腺素以及多巴胺。肾上腺素和去甲肾上腺素能作用于肾上腺素能受体,如α和β受体,影响相应的组织器官,引起一系列临床表现。嗜铬细胞瘤患者的所有病理生理基础,均与肿瘤的这一分泌功能有直接的关系。 医学百科网 | YxBaike.Com
医学百科网 | YxBaike.Com
嗜铬细胞瘤嗜铬细胞瘤多见于青壮年,高发年龄为30~50岁,患者性别间无明显差别。 医学百科网 | YxBaike.Com
医学百科网 | YxBaike.Com
1.心血管系统表现 由于大量的儿茶酚胺间歇地进入血液循环,使血管收缩,末梢阻力增加,心率加快,心排出量增加,导致血压阵发性争骤升高,收缩压可达26.6kPA(200mmHg)以上,舒张压也明显升高。发作时可伴有心悸、气短、胸部压抑、头痛、面色苍白、大量出汗、视力模糊等,严重者可出现脑溢血或肺水肿等高血压危象。发作缓解后患者极度疲劳、衰弱,可出现面部等皮肤潮红。发作可由体位突然改变,情绪激动、剧烈运动、咳嗽及大小便等活动引发。发作频率及持续时间个体差异较大,并不与肿瘤的大小呈正相关。
高血压是嗜铬细胞瘤的首要症状,但很多患者对于嗜铬细胞瘤为什么会引起高血压不是很了解,这里就给大家做一下介绍:嗜铬细胞瘤能自主分泌儿茶酚胺,包括肾上腺素、去甲肾上腺素以及多巴胺。肾上腺素和去甲肾上腺素能作用于肾上腺素能受体,如α和β受体,影响相应的组织器官,引起一系列临床表现。对于心血管系统来说,由于大量的儿茶酚胺间歇地进入血液循环,使血管收缩,末梢阻力增加,心率加快,心排出量增加,导致血压阵发性争骤升高,收缩压可达26.6kPA(200mmHg)以上,舒张压也明显升高。 医学百科网 | YxBaike.Com
有的患者可表现为持续性高血压。据报道,约90%的儿童患者表现为持续性高血压,成人也有50%左右表现为持续性高血压。不同之外在于有肾上腺素或去甲肾上腺素分泌过多的表现。少数患者可出现发作性低血压、休克等表现。这可能与肿瘤坏死,瘤内出血,使儿茶酚胺释放骤等停,或发生严重心脏意外等有关。出现这种情况预后常较恶劣。 医学百科网 | YxBaike.Com
1958年,Szakas提出儿茶酚胺心肌病这一概念,特点是由于儿茶酚胺对心肌的直接毒性作用,使心肌肥厚、水肿、灶性出血、内膜肥厚及炎症细胞浸润等。临床表现似心肌炎,严重者可出现心力衰竭及严重心律失常。
医学百科网 | YxBaike.Com
2.代谢紊乱 儿茶酚胺刺激胰岛α-受体,使胰岛素分泌下降,作用于??解增加,周围组织利用糖减少,因而血糖升高或糖耐量下降。儿茶酚胺还能促进垂体TSH及ACTH的分泌增加,使甲状腺素及肾上腺皮质激素的分泌增加,导致基础代谢增高,血溏升高,脂肪分解加速,引起消瘦。少数患者可出现低血钾。
医学百科网 | YxBaike.Com
3.其他表现 儿茶酚胺可松弛胃肠平滑肌,使胃肠需动减弱,故可引起便秘,有时甚为顽固。胃肠小动脉的严重收缩痉挛,可使胃肠粘膜缺血,偶有坏死穿孔等症状。由于肿瘤生长对邻近器官的压迫,临床上可出现相应的表现。
医学百科网 | YxBaike.Com
| 肺癌 | 何杰金病 | 冠心病 | 色盲 |
| 淋巴癌 | 肾癌 | 心率失常 | 气胸 |
附件列表
词条内容仅供参考,如果您需要解决具体问题,请遵医嘱或咨询医师。
本站词条内容如果涉嫌侵权,请与客服联系,我们将及时进行处理。如需转载,请注明来源于www.yxbaike.com
