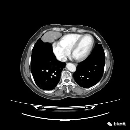
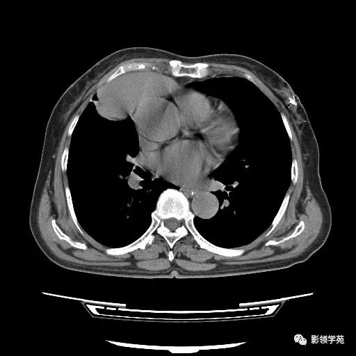
胸腺小细胞癌1例CT
女,72岁,主因进食不畅2月余,查体:T36.1℃ BP145/73mmHg,神清语利,浅表淋巴结未触及肿大,会厌稍充血、水肿,双瞳孔正大等圆,对光光反射灵敏。颈软,无抵抗。双肺呼吸音清,未闻及明显干湿性啰音,心率72次/分,律齐,心音低。腹平软,脐周无压痛,无反跳痛及肌紧张。双下肢无浮肿。四肢肌力、肌张力可。 医学百科网 | YxBaike.Com
医学百科网 | YxBaike.Com
医学百科网 | YxBaike.Com
医学百科网 | YxBaike.Com
医学百科网 | YxBaike.Com
医学百科网 | YxBaike.Com
医学百科网 | YxBaike.Com
医学百科网 | YxBaike.Com
医学百科网 | YxBaike.Com
医学百科网 | YxBaike.Com
医学百科网 | YxBaike.Com
医学百科网 | YxBaike.Com
医学百科网 | YxBaike.Com
诊断思路 医学百科网 | YxBaike.Com
胸腺小细胞癌(胸腺燕麦细胞癌)发病较少。组织学和电镜检查胸腺小细胞癌与身体其他部位的小细胞癌是相似的,肿瘤细胞内含有大量的神经内分泌颗粒。胸腺小细胞癌呈浸润性生长,而且易发生远处转移。胸腺小细胞癌常和身体其他器官的内分泌肿瘤同时发生,即多发性神经内分泌肿瘤(MEN)I型综合征。
医学百科网 | YxBaike.Com
医学百科网 | YxBaike.Com
医学百科网 | YxBaike.Com
临床表现
医学百科网 | YxBaike.Com
多见于男性患者,发病年龄多在10~60岁,近半数患者在手术确诊前无症状,多在胸部X线检查中无意发现。少数病人仅有前胸疼痛、咳嗽、咯血、气促等非特异性症状。若肿瘤侵犯上腔静脉则可出现上腔静脉综合征,个别者也可表现为疲劳、发热、盗汗等。1/3胸腺小细胞癌病人在确诊前常出现典型的库欣综合征(Cushing综合征),这是由于胸腺小细胞癌中的神经内分泌细胞产生异位性ACTH所致。其他内分泌紊乱综合征如抗利尿激素增多症、甲状旁腺功能亢进症、胰岛细胞瘤、多发性内分泌腺瘤Ⅰ型综合征、马方综合征和肥大性骨关节病等比胸腺类癌少见。胸腺小细胞癌同胸腺类癌一样容易发生远处转移,1/3患者就诊时可有骨或皮肤的远处转移。,病理活检是惟一诊断手段。确诊前必须排除其他部位有无原发性小细胞癌如肺小细胞癌。
医学百科网 | YxBaike.Com
医学百科网 | YxBaike.Com
医学百科网 | YxBaike.Com
鉴别诊断
1.上皮性胸腺瘤 医学百科网 | YxBaike.Com
医学百科网 | YxBaike.Com
胸腺瘤的核内染色质不像胸腺小细胞癌那样均质分布,而且常被内部的纤维条索分隔成小叶状。胸腺小细胞癌嗜铬粒蛋白免疫组织化学染色呈阳性,而胸腺瘤为阴性。
2.胸腺内甲状旁腺腺瘤
此类患者临床常有高钙血症,这与内分泌性病理损害的特点正相反,但有些病例可无激素引起的症状,这样就易与胸腺小细胞癌相混淆。光镜、电镜和免疫组织化学检查可以鉴别。
医学百科网 | YxBaike.Com
3.纵隔副神经节瘤 医学百科网 | YxBaike.Com
在形态学上也与胸腺小细胞癌相似,但是它并不一定出现在胸腺而常发生于大血管;因其多起源于主动脉、肺动脉内的或是血管内的副神经节,同胸腺小细胞癌的较大的腺管样生长方式不同,副神经节瘤的瘤细胞呈紧密群集状生长。另外,副神经节瘤核分裂象少见,而胸腺小细胞癌核分裂象多见。嗜银染色在副神经节瘤为阳性,而胸腺小细胞癌呈阴性。甲硫氨酸脑啡肽和亮氨酸脑啡肽染色二者均可呈阳性,但在副神经节瘤更多见。
医学百科网 | YxBaike.Com
病理结果 医学百科网 | YxBaike.Com
胸腺小细胞癌 医学百科网 | YxBaike.Com
附件列表
词条内容仅供参考,如果您需要解决具体问题,请遵医嘱或咨询医师。
本站词条内容如果涉嫌侵权,请与客服联系,我们将及时进行处理。如需转载,请注明来源于www.yxbaike.com
如果您认为本词条还有待完善,请 编辑
上一篇 肺部小结节的鉴别诊断 下一篇 胸腺小细胞癌2例CT
