肺内小结节的影像学特点和处理策略
在呼吸系统疾病的诊断中,肺内小结节病变的发生率随着 CT 影像学技术的进步而显著升高。
医学百科网 | YxBaike.Com
医学百科网 | YxBaike.Com
由传统胸部 X 线发现的肺内实性、单个、圆形、边界清楚的<3 cm 的不透光结节,习惯上称为“肺内孤立性结节”,而>3 cm 的则称为块影。高分辨率 CT 检查显示肺内常常有多个形态各异、大小不等的结节同时存在。在肺癌筛查的临床研究中,基线筛查时发现小结节病变占 8%~51%,而且结节 通常为多发性,96%的非钙化结节为<10 mm,72%的结节<5 mm。 医学百科网 | YxBaike.Com
对于那些<10 mm 的微小结节,由于很难确定其性质,故统称为“肺内小结节”(Small Pulmonary Nodules,SPN)。
医学百科网 | YxBaike.Com
早在 2005 年美国就 CT 随机发现的肺内小结节病变的处理,发布了费莱舍尔学会(Fleischner Society)指南,旨在快速检出肺癌,同时避免过度随访所致的电离辐射损伤。但在 2010 年的研究发现,临床实践中按指南进行的医生仅为 58.8%。在此,我们将根据自己实践中的经验,归纳肺内小结节病变的特点和处理策略,并解读 Fleischner Society 指南。
医学百科网 | YxBaike.Com
医学百科网 | YxBaike.Com
· 纯毛玻璃样结节; 医学百科网 | YxBaike.Com
· 部分毛玻璃样结节; 医学百科网 | YxBaike.Com
· 实性结节。 医学百科网 | YxBaike.Com
这 3 种结节在性质、倍增时间、预后上各有特点。我们将结合 4 个病例进行阐述(详见病例 1~4)。 医学百科网 | YxBaike.Com
毛玻璃样结节
病例 1、2 为纯毛玻璃或部分毛玻璃样结节。
毛玻璃成分为均匀的磨砂状阴影,有时可见小空泡征,通常这样的毛玻璃样结节进展很慢,或数年无变化,或仅表现为逐渐密实。这种影像特征在病理上往往对应为原位腺癌或不典型腺样增生。
部分毛玻璃样结节可伴有空泡征、支气管造影征或微结节,其中实性成分往往为浸润性腺癌。<5 mm 的实性成分以微浸润腺癌多见,或为预后良好的伏壁生长型。
医学百科网 | YxBaike.Com
实性结节
病例 3、4 为实性结节,致密均匀的小结节,如伴有分叶、刷状毛刺、胸膜牵扯征,则恶性可能性极大。 医学百科网 | YxBaike.Com
由于病灶小,很难穿刺明确病理,且正电子发射体层摄影(PET)对于<8 mm 的病灶,诊断的假阴性率明显增高,因此随访中观察有无进展并结合影像学特征是临床上决定是否开胸探查的主要依据。 医学百科网 | YxBaike.Com
值得注意的是,恶性实性结节的病理类型多为浸润性腺癌,以腺泡状、乳头状和实性亚型为主。在小结节病灶中即使是实性结节也极少见到鳞癌,我们分析了 107 个小结节病灶,无一例为鳞癌。 医学百科网 | YxBaike.Com
在病例 4 中,影像学特点很难判断其性质,但是在随访中见病灶明显增大,探查结果为错构瘤,这提示我们即使良性病变也有增大的趋势。
病例 1 医学百科网 | YxBaike.Com
55 岁女性,体检发现右上肺阴影 2 年。无吸烟史。
CT 影像学所见:右肺上叶尖段、后段毛玻璃样结节影,密度浅淡为纯毛玻璃样,边界欠清晰。尖段病灶直径约 6 mm, 未见分叶毛刺,有小空泡征(图,后段病灶 4 mm 有分叶(图 2)。
![]() | ![]() |
| 图1 右上叶尖段毛玻璃样密度影(GGO)病理:肺泡上皮不典型腺瘤样增生(直径 6mm) | 图 2 右上叶后段 GGO,直径约 4 mm,伴分叶。病理:右肺上叶后段肺泡上皮异型增生,部分腺体符合原位腺癌。 |
随访 2 年,未见体积增大但密度略有增浓,右上叶尖段病灶周围疑有增粗的血管,右上叶后段病灶有血管进入。遂剖胸手术。 医学百科网 | YxBaike.Com
术后病理:右肺上叶尖段见肺泡上皮异型增生,伴肺泡间隙增宽,肺泡纤维组织增生伴玻璃样变,考虑肺泡上皮不典型腺瘤样增生(直径 6 mm)。右肺上叶后段肺泡上皮异型增生,部分腺体符合原位腺癌(直径 4 mm)。
医学百科网 | YxBaike.Com
病例 2 医学百科网 | YxBaike.Com
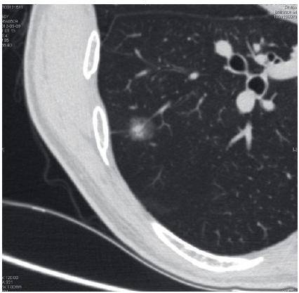
55 岁男性,体检发现右肺阴影 9 个月。吸烟 600 年支。
医学百科网 | YxBaike.Com
CT 影像学所见:右下肺见一小结节 12 mm×11 mm,部分毛玻璃样影,中心为小片实性密度,可见一血管进入肿瘤。 医学百科网 | YxBaike.Com
随访中见结节分叶明显,中心实性成分有增大趋势(图 3)。遂电视辅助胸腔镜手术(VATS)探查,术中冰冻切片为腺癌。 医学百科网 | YxBaike.Com
手术病理:右肺下叶前基底段浸润性腺癌,12 mm×10 mm × 6 mm,以伏壁生长型为主,伴有乳头状腺癌成分。 医学百科网 | YxBaike.Com
![]() |
| 图3 右下肺见一小结节12 mm×11 mm,部分毛玻璃样影, 医学百科网 | YxBaike.Com 中心为小片实性密度。病理:浸润性腺癌,以伏壁生长型为主。 医学百科网 | YxBaike.Com |
病例 3
(图 4)56 岁女性,体检发现右下肺结节影 5 个月。无吸烟史。胸部 CT 影像学所见(2011 年 9 月):右肺下叶结节状影,直径约10 mm,边界清楚与胸膜紧邻,内部密度均匀为实性结节。
5 个月后随访 CT 薄层重建可见轻度分叶征象。遂剖胸探查。
医学百科网 | YxBaike.Com
病理:右肺下叶浸润性腺癌,乳头状腺癌为主,中分化,肿瘤大小8 mm×7 mm×7 mm。 医学百科网 | YxBaike.Com
![]() |
| 图 4 右下叶实性小结节伴分叶。手术病理:乳头状腺癌 |
病例5
(图 5)男性 54 岁,体检发现右下肺结节影 2 月。吸烟 400 年支。
医学百科网 | YxBaike.Com
胸部 CT 影像学所见:右下肺结节,边界锐利有分叶。 医学百科网 | YxBaike.Com
随访中结节影明显增大, 2010 年 12 月剖胸探查行右下肺楔形切除。 医学百科网 | YxBaike.Com
手术病理:错构瘤,直径 8 mm。 医学百科网 | YxBaike.Com
![]() |
| 图 5 右下肺结节影,结节边界锐利有分叶,随访中明显增大。 医学百科网 | YxBaike.Com 手术病理:错构瘤,直径 8 mm。 医学百科网 | YxBaike.Com |
通过影像学特点鉴别肺内小结节的良恶性
良性病变的影像学特点
医学百科网 | YxBaike.Com
l 钙化
医学百科网 | YxBaike.Com
有文献报道,致密均一的钙化指示良性病变。在肺癌筛查研究中,14%的微结节中有钙化,其 CT 值>164 Hu,或肉眼比较与肋骨密度相似。由于加强CT 注射造影剂后会使小病灶密度提高,因此密度分析时需用平扫 CT 进行。
典型的良性病灶的钙化为层状、中央型和爆米花状。层状和中央型的钙化在炎性肉芽肿中多见,爆米花样钙化是错构瘤的典型表现。
医学百科网 | YxBaike.Com
但是值得注意,恶性结节中亦有 15%的病灶有钙化。 医学百科网 | YxBaike.Com
l 内部脂肪密度
医学百科网 | YxBaike.Com
良性病变的另一特点是病灶内部存在脂肪密度。例如,中央区 CT 值在-40 Hu ~ -120 Hu 是错构瘤的特点。 医学百科网 | YxBaike.Com
l 多形性 医学百科网 | YxBaike.Com
形状是判断良恶性病变的重要参数。
医学百科网 | YxBaike.Com
一项基于病理形态与影像形态的研究报告指出,24%的多边形小结节为良性病变,特别是紧贴胸膜的病灶,表现为紧邻胸膜面为直线,其余边均为凹面,多因为病灶收缩或纤维化形成凹面。
医学百科网 | YxBaike.Com
l 卵圆、扁平或管型 医学百科网 | YxBaike.Com
相同的研究还发现,最大横径/垂直直径的比值在判断良性病变中更有意义。比值>1.78 多为良性病变,即管状、扁平状多为良性病变。换言之,如比值 小,即圆形或类圆形病灶更趋向于恶性。概括为胸膜下病变,实性为主,形态多形性,或管状、扁平状,诊断为良性结节的敏感性和特异性分别为 61%和100%。
微小结节聚集
医学百科网 | YxBaike.Com
两个或多个<10 mm、彼此分开的病灶,成节状或簇状,提示感染性病变。 医学百科网 | YxBaike.Com
良性病变的影像学特征归纳如下表。 医学百科网 | YxBaike.Com
医学百科网 | YxBaike.Com
恶性病变的影像学特征
l 分叶和毛刺 医学百科网 | YxBaike.Com
恶性小结节的常见影像学特征是分叶和毛刺,分叶的意义更大。文献报道,恶性结节伴分叶达 33%~100%,但多达 50%的恶性结节中可无毛刺。
l 密度
通过高分辨率 CT 的三维重建,发现病灶的密度对诊断良恶性病变也极有意义。
医学百科网 | YxBaike.Com
毛玻璃样结节增加了恶性的可能性。文献报道,在非钙化病灶中,19%为非实质性成分,多为毛玻璃或部分毛玻璃样,其中 34%是恶性的。
医学百科网 | YxBaike.Com
纯毛玻璃样病灶多体积较小,密度均一,毛刺比实质性病变少见。其病理基础多为肺泡细胞癌、微浸润癌或癌前期病变非典型腺样增生。 医学百科网 | YxBaike.Com
在我们分析的一组小结节病变中发现,随着结节组织增大,密度增浓,肿瘤的病理类型也在变化,微浸润癌和浸润状肺癌随之逐渐增多。
医学百科网 | YxBaike.Com
混合毛玻璃样结节中,实性成分占体积越小,病理组织成分中侵袭性也越低。混合毛玻璃在形态上比起毛玻璃样结节和实性结节,更多形性,其形态可为点状、叶形或伴有气泡征、空泡征,甚至实性部分有纤维状收缩,较长的毛刺如针芒状,不易与良性病变鉴别。
一般良性病变的毛玻璃样伴灶性不透明病变多为感染性病变,在吸烟者中出现灶性纤维灶,常见为呼吸性细气管炎相关性间质性肺疾病或脱屑性间质性肺炎。研究发现这类感染性病灶多在 3 个月中吸收。 医学百科网 | YxBaike.Com
因此,对肺内小结节病变早期应用 CT 检查随访来鉴别性质是行之有效的方法。 医学百科网 | YxBaike.Com
l 支气管造影征、空泡征、空洞
医学百科网 | YxBaike.Com
在一项 CT 与病理组织的对照研究中发现,恶性的特征通常包括支气管造影征、空泡征、空洞病变,在 80%的恶性病变中至少有一项存在。
医学百科网 | YxBaike.Com
空泡征存在于 50%的原位癌(过去称为细支气管肺泡癌,BAC)中。与支气管造影征不同,后者为分枝状的充气影像。空泡征可能是腺癌的特征,组织学上对应的是明显扩张的含气的细支气管或肿瘤相关的囊形结构。 医学百科网 | YxBaike.Com
而空洞是缺血性坏死所致,在原位癌或小的浸润性腺癌中非常少见。 医学百科网 | YxBaike.Com
恶性肺内小结节的影像学特征为多样性,因而在缺乏明确的良性影像学特点时,须怀疑是恶性结节,直至证实其性质。
医学百科网 | YxBaike.Com
肺内小结节病变的随访指南
Fleischner 学会指南
临床实践中对于无症状的肺内小结节的处理,主要根据影像学的特征判断小结节病变的性质,高度怀疑恶性病变时可给予正电子发射体层摄影(PET)检查、CT 引导下的经皮肺活检或电视辅助胸腔镜手术(VATS)切除。
医学百科网 | YxBaike.Com
但以上诊断方式存在各自的局限性,例如,无症状的、<10 mm 的小结节通常影像学特征不明显;而 PET 检查对于<8 mm 病灶的特异性明显下降;CT引导下的肺穿刺活检因肋骨的阻挡和肺的活动而难以成功,因此,对于不能明确性质的肺内小结节,随访是临床上的主要手段。
早在 2005 年,美国推出了费莱舍尔学会(Fleischner Society) 指南,主要针对年龄大于 35 岁、无已知恶性肿瘤的肺小结节患者的随访和诊治策略,并应用至今(请见图)。 医学百科网 | YxBaike.Com
医学百科网 | YxBaike.Com
指南强调,先要对不确定的小结节病变进行恶性可能的风险预估,并已有研究运用概率预测方法,量化分析了临床特点中的危险因素。分析发现,预测恶性可能的 4 个独立因素分别是吸烟史、患者的年龄、结节的大小、戒烟的时间,它们的风险比分别是 7.9、2.2、1.1 和 1.6。表 2 总结了有肺内结节病变患者罹患肺 癌的风险因素。
医学百科网 | YxBaike.Com
Fleischner 学会指南的核心思想是:
⒈ 吸烟或有其他恶性病变的危险因素为高危; 医学百科网 | YxBaike.Com
⒉ 越小的病变恶性可能性越低; 医学百科网 | YxBaike.Com
⒊ 实性小结节>2 年无进展,则良性可能性大。
医学百科网 | YxBaike.Com
指南推荐年龄大于 35 岁、无已知肿瘤病史的患者经临床风险评估后分为低风险和高风险人群,然后根据病灶大小决定最初随访间隔时间,再根据病灶的进展情况调整随访间隔时间。
医学百科网 | YxBaike.Com
但是一项跟踪研究也指出,仅有 58%的临床医生在实践中按指南对目标人群进行随诊,这意味着指南有一定局限性。
Fleischner 学会指南的局限性 医学百科网 | YxBaike.Com
结节的大小与恶性病变的关系 医学百科网 | YxBaike.Com
结节大小与恶性风险有独立相关性。肺癌筛查文献数据指出,>20 mm 的结节恶性可能性为 64%~80%,11~20 mm 为 33%~64%,5~10 mm 为6%~28%,<5 mm 为 0~1%。因此随访间隔在小病灶要明显长于较大的病灶,但首先还是要结合病史和结节的形态学特点判断病灶的性质,如病灶为不规则分叶状伴针骨状毛刺,则恶性可能性大,纯毛玻璃样或部分实性病灶恶性的可能比实性病灶更大,因此即使为微小病灶也要进一步检查或密切随访。
医学百科网 | YxBaike.Com
结节的倍增时间与恶性病变的关系
医学百科网 | YxBaike.Com
进行性进展是恶性肿瘤的特点,其生长速度为指数级增长,倍增时间主要决定于组织学类型和肿瘤的血供。一项回顾性研究分析了肿瘤的倍增时间,33%容积倍增 时间(VDT)为 100 天,40%VDT 为 100~400 天,27%VDT大于 400 天。一般而言,VDT 在 30~400 天时要怀疑恶性的可能;感染性病变的 VDT 小于 1 个月;肉芽肿性病变和错构瘤的 VDT 大于 18 个月;超过 2年未见增长的结节被认为良性病变的可能性极大。 医学百科网 | YxBaike.Com
在一项研究中,原位癌(细支气管肺泡癌,BAC)的倍增时间为 42~1486天,但浸润性腺癌的倍增时间为 124~402 天。原位腺癌和其他缓慢生长的腺癌影像特征均为毛玻璃样,在一项有关小病灶的倍增时间研究中,毛玻璃样病变平均倍增时间达到 813 天,半实性结节倍增时间平均为 457 天,实性结节的平均 倍增时间为 149 天。 医学百科网 | YxBaike.Com
但临床上仍然观察到数年没有增长的肿瘤,多见于原位癌或癌前期病变不典型腺样增生(AAH),而这些病变多为纯毛玻璃样或半实性的病变,因此倍增时间仍需要结合影像学特点。 医学百科网 | YxBaike.Com
肺内小结节病变的诊疗措施
医学百科网 | YxBaike.Com
处理肺内性质不明的小结节有三个步骤,以下详细说明。 医学百科网 | YxBaike.Com
步骤 1:通过 CT 密切随访观察
医学百科网 | YxBaike.Com
根据本文前半部分(B4~5 版)所描写的影像学特征,如结节良性可能性较大,或估计进展缓慢、穿刺活检困难、手术范围和风险大、患者对手术存有顾虑等,可采取 CT 密切随访。 医学百科网 | YxBaike.Com
步骤 2:给予诊断性检查,如 PET、经皮肺活检、经气管镜肺活检等 医学百科网 | YxBaike.Com
PET 的敏感性和特异性分别是 87%和 83%。对于风险预估值低的患者,PET 阴性可能性大大提高,这类患者仍然需要密切随访。PET 的假阴性常见于<8~10 mm 结节、原位腺癌、类癌、黏液腺癌;PET 的假阳性多见于结节病、风湿性结节、霉菌和分枝杆菌感染。因此,仍需要结合病史和影像学特征综合 判断。
医学百科网 | YxBaike.Com
CT引导下细针穿刺的阳性率在 65%~94%。常见并发症为气胸,发生率在 15%~43%,多见于小病灶、位置较深的病灶、肺气肿的患者、从侧面或近叶间裂进针穿刺等情况,需进行引流的比例为 5%(4%~18%)。
能通过气管镜引导下肺活检明确诊断的仅 10%~50%,<20 mm 的外周病灶大约 33%能获得诊断,CT 中显示有支气管造影征特别是支气管通向病灶的阳性率高达 70%。
近来有荟萃分析报道,运用支气管内超声(EBUS)对外周病灶活检的敏感性和特异性分别是 73%和 100%,对<25 mm 病灶敏感性为 71%,因此 用于小病灶活检的 EBUS 尚须进一步探索。磁导航结合气管镜的 CT 成像技术在选择性患者中的诊断率为 63%~74%,尤其对有支气管造影征患者敏感性更高。 医学百科网 | YxBaike.Com
步骤 3:外科手术 医学百科网 | YxBaike.Com
当预估恶性病变的可能大于 60%~70%,其余诊断方法不能给出明确的诊断时,需要外科手术介入以明确诊断并进一步治疗。
医学百科网 | YxBaike.Com
手术前须充分评价手术获益与风险,考虑患者意愿及其心肺功能、有无并发症。楔形切除手术死亡率在 0.5%,肺叶切除死亡率在 1%~4%。手术中冰冻切片如为良性病变仅做楔形切除,如为恶性病变须行叶切和系统性淋巴结清扫。 医学百科网 | YxBaike.Com
对于小病灶,减少切除范围是否更好尚无定论。有研究提示,肺段切除有较好的边缘,并广泛切除了区域引流淋巴结,对<20 mm 的病灶肺段切除优于楔形 切除。已有回顾性研究和病例对照研究提出,对<20 mm 的病灶,特别是原位腺癌倍增时间>400 天时,肺段切除更为合适。 医学百科网 | YxBaike.Com
总之,对于无症状肺内小结节的处理,需要根据患者病史、影像学特征预估恶性病变的风险,结合结节大小及倍增时间、诊断性检查的阳性可能、手术的收益和风险以及患者的意愿综合考虑,关键是把握病变的恶性风险和相应的手术风险。 医学百科网 | YxBaike.Com
附件列表
词条内容仅供参考,如果您需要解决具体问题,请遵医嘱或咨询医师。
本站词条内容如果涉嫌侵权,请与客服联系,我们将及时进行处理。如需转载,请注明来源于www.yxbaike.com
如果您认为本词条还有待完善,请 编辑
上一篇 肺泡微石症的影像诊断 下一篇 贲门失弛缓症影像表现





