慢性嗜酸性细胞肺浸润1例CT影像表现分析
【病史摘要】
医学百科网 | YxBaike.Com
女,62岁。因胸闷2个月就诊。病初有发热,体温37.8℃,伴间歇性胸闷不适,发热前无明显畏寒、寒战,在外院给予抗感染治疗。血常规嗜酸性粒细胞6.8%。
医学百科网 | YxBaike.Com
医学百科网 | YxBaike.Com
医学百科网 | YxBaike.Com
医学百科网 | YxBaike.Com
医学百科网 | YxBaike.Com
【影像表现】
医学百科网 | YxBaike.Com
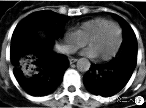
图A〜E为CT肺窗,图F为纵隔窗。两肺外围散在性分布斑片状模糊影,跨叶、段分布。其中两肺上叶、左下叶以磨玻璃样密度为主,右肺下叶病灶密度较高,以实变为主,病灶似呈团块状,可见支气管气相、肺泡含气征及索条影,与邻近胸膜有牵拉。两肺门周围肺野未见明显异常。与3周前外院CT 片比较,病灶有一定的游走性(图略)。
【影像征象分析】
医学百科网 | YxBaike.Com
两肺多发散在斑片状模糊影,以肺外围为主。首先考虑感染性病变。 医学百科网 | YxBaike.Com
1.过敏性肺炎本例病灶游走伴血嗜酸性粒细胞增多,符合过敏性肺炎的特征。但结合病史有几点不符合:慢性病程,临床无过敏史;肺门周围中心性肺野无异常;斑片状模糊影同时伴有纤维索条。这与典型的过敏性肺炎发生部位相左。 医学百科网 | YxBaike.Com
2.支原体肺炎多见于下叶,表现为肺纹理增强及网织状阴影,伴斑点状模糊阴影。较典型的表现为自肺门附近向肺野外围伸展的大片扇形阴影,密度较淡。
医学百科网 | YxBaike.Com
3.间质性肺炎主要累及支气管和血管周围、肺泡间隔、肺泡壁、小叶间隔等肺间质,而肺泡则很少或不被累及。CT表现为两侧肺野弥漫分布的网状影,以下肺明显,HRCT可见小叶间隔及叶间胸膜增厚。
医学百科网 | YxBaike.Com
影像诊断:两肺感染,考虑过敏性肺炎可能。
【最后诊断】 医学百科网 | YxBaike.Com
两肺非节段性分布的炎性改变伴血常规嗜酸性粒细胞明显增高,实验室多种寄生虫抗原、抗体检测均阴性。抗过敏治疗1周无效。临床会诊后考虑“慢性嗜酸性粒细胞肺浸润”。对症治疗3个月后复查CT示两肺病灶基本吸收(图G〜I)。
医学百科网 | YxBaike.Com
医学百科网 | YxBaike.Com
医学百科网 | YxBaike.Com
医学百科网 | YxBaike.Com
【讨论及误诊分析】
医学百科网 | YxBaike.Com
嗜酸性粒细胞肺浸润是一种原因不明的少见病。其病理特点是肺泡壁和肺泡腔有大量细胞浸润,以嗜酸性粒细胞、巨噬细胞、淋巴细胞为主。1952年由Cmfton首先提出的术语“肺嗜酸性粒细胞增多” 是指血内嗜酸性粒细胞增多而在肺内有浸润,且已除外了肺炎、肺包虫病、霍奇金病和结节病等疾病。 以后的学者扩大了上述概念,用“嗜酸性肺病”这一术语来包括所有累及大气道和(或)肺实质并伴有血和(或)组织内嗜酸性粒细胞增多的一组疾病。这意味着嗜酸性肺病并不一定都要有血的嗜酸性粒细胞增多。同时,嗜酸性粒细胞肺浸润属于嗜酸性肺病的一个类型。目前认为,诊断嗜酸性肺病必须有下述三种情况之一:①同时有外周血液中嗜酸性粒细胞增多和肺部X线异常(嗜酸性粒细胞肺浸润);②经开胸或经支气管活检证实的组织嗜酸性粒细胞增多;③支气管灌洗液内嗜酸性粒细胞增多。 医学百科网 | YxBaike.Com
嗜酸性粒细胞肺浸润典型的影像表现为两肺非节段性、广泛分布、互相融合的肺泡和间质的实变,多为周围性胸膜下分布,肺门周围较少受累。磨玻璃影多分布在上、中肺野,常为一过性和迁徙性,胸膜下有带状线。在本病例中,我们注意到了病灶的游走性,而忽略了肺间质的改变。但大部分嗜酸性粒细 胞肺浸润的CT表现并无特异性,而且与多种疾病的表现有相当的重叠。因此,有文献认为,在对每一个嗜酸性粒细胞肺浸润病例作出诊断时,还是要密切结合临床才能取得准确的诊断结果。 医学百科网 | YxBaike.Com
附件列表
词条内容仅供参考,如果您需要解决具体问题,请遵医嘱或咨询医师。
本站词条内容如果涉嫌侵权,请与客服联系,我们将及时进行处理。如需转载,请注明来源于www.yxbaike.com
如果您认为本词条还有待完善,请 编辑
上一篇 侵袭性肺曲菌病1例CT影像表现 下一篇 囊性肺癌的影像学表现及分类
