“蜂窝征” 的影像表现与临床意义
医学百科网 | YxBaike.Com
英文:honeycomb sign。 医学百科网 | YxBaike.Com
蜂窝征是指CT上病变由多个密集的泡状、囊状低密度腔聚集在一起,宛如蜂窝状或蜂 巢样。该征象可见于多种肺部疾病。 医学百科网 | YxBaike.Com
医学百科网 | YxBaike.Com
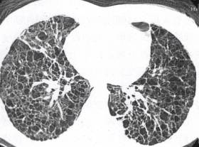
蜂窝征表现为病变区内密度不均,呈蜂窝状低密度腔,大小均匀或不一,呈圆形或卵圆 形。常累及一个肺段或整个肺叶,或广泛分布于两肺(图1)。 医学百科网 | YxBaike.Com
医学百科网 | YxBaike.Com
医学百科网 | YxBaike.Com
医学百科网 | YxBaike.Com
一、肿瘤
医学百科网 | YxBaike.Com
肿瘤所致蜂窝征由多个小泡集成蜂窝状,其大小比较一致。出现于边界清晰的磨玻璃影 及实变影中。在肺窗上表现为小泡状模糊密度影,在纵隔窗上表现为小泡状透亮影。多见于 细支气管肺泡癌和腺癌,偶见于鱗癌。病理基础如下:①未被肿瘤组织占据的含气肺组织; ②未闭合或扩张的小支气管;③癌组织结构间的含气腔隙;④沿肺泡壁生长的癌组织未封闭 填充肺泡腔或破坏与扩大的肺泡腔。除蜂窝征外,还可见细支气管充气征、结节或肿块、实 变、磨玻璃影等征象。磨玻璃影病理基础为肿瘤细胞沿肺泡壁生长,肺泡壁增厚,但肺泡腔 未闭塞,内可有少量黏液或脱落的肿瘤细胞。 医学百科网 | YxBaike.Com
二、间质性肺病 医学百科网 | YxBaike.Com
病理上蜂窝为位于肺内的多个含气囊状空腔。它们通常起自扩张的呼吸细支气管,一般 医学百科网 | YxBaike.Com
内壁衬以支气管上皮,有包括纤维组织、萎缩的肺泡和小肺血管构成的壁。蜂窝为伴有肺破 坏和肺结构瓦解的纤维化,其出现提示已是“终末期肺”。因此可见于所有引起终末期肺纤 维化的疾病。通常还伴有其他肺纤维化的征象,如胸膜下线状影、界面征、小叶间隔增厚、 牵张性支气管扩张、肺结构扭曲等。同时亦伴肺内磨玻璃影,其病理基础为肺泡壁间质的增 厚,同时肺泡腔内充满炎性细胞、渗出液及受损细胞碎片,在慢性期,纤维细胞浸润修复受 损肺组织及残留肺泡和细胞碎片导致受累区域肺内含气量下降。
医学百科网 | YxBaike.Com
病理上为终末细支气管远端肺实质内扩大的气腔,伴有肺泡壁的破坏。另外,组织学上 缺乏明显的纤维化证据,肺气肿伴有肺大疱称为大疱性肺气肿(bullous emphysema)。肺气 肿通常分三个亚型。①小叶中心型肺气肿是最常见类型。病理为支配腺泡的终末细支气管腔 炎性狭窄,位于小叶中央的2〜3级呼吸性支气管呈囊状扩张,而腺泡周围的肺泡管、肺泡 囊和肺泡不累及,表现为直径几毫米低密度区聚集在小叶中心部位,周围绕以正常肺,多见 于两肺上叶。②全小叶型肺气肿指病变累及终末支气管以下全部气道,也累及整个肺小叶, CT示全小叶肺结构一致性破坏,形成较大范围无壁低密度区,大小和形态不规则。肺野内 仅剩血管、小叶间隔和支气管等肺内支持结构,为弥漫阻塞性肺气肿,中下肺野多见。③间 隔旁型肺气肿的病理指病变选择性累及小叶的远侧部分,因此特征性的位于胸膜下区,肺周 围部的小叶间隔旁。另外还有一种特殊类型肺气肿:瘢痕旁或不规则肺气肿,又称不规则形 气腔扩大,见于肺瘢痕、纤维化等病灶附近,与肺小叶或腺泡任何部位无关,常与细支气管 扩张共存,形成所谓“蜂窝肺”。
四、支气管扩张
病理上多累及中等大小的支气管,管壁有单核细胞浸润,纤毛上皮变性退化,代之以鳞 状上皮或柱状上皮,最后支气管管壁弹力层丧失,支气管肌肉和软骨破坏,导致不可恢复的 异常扩张。常伴支气管壁的增厚。 医学百科网 | YxBaike.Com
五、先天肺囊肿 医学百科网 | YxBaike.Com
肺囊肿(pulmonary cyst)是胚胎发育障碍引起的先天性疾病,胚胎发育时期由原肠发 生的肺芽,逐渐发展形成支气管树和肺泡。肺芽在发育初期是索条状组织,逐渐演变成管 状,如果胚胎发育发生障碍,索条状结构不能演变成管状,远端的原始支气管组织与近端组 织脱离,逐渐形成盲管,管腔内的分泌物不能排出,积聚膨胀就形成含黏液的囊肿。如果肺 芽发育障碍发生在分支以后,则形成多发肺囊肿,如果一叶或多叶肺组织被蜂窝状的肺囊肿 所占据,则称为囊肺。先天性肺囊肿的囊壁厚薄不一,内层由状或假复层纤毛上皮细胞组 成,如果发生感染则可为扁平上皮所覆盖,部分为炎症肉芽组织;外层为结缔组织,有弹力 纤维、平滑肌纤维、黏液腺、软骨等组织。
医学百科网 | YxBaike.Com
六、罕见疾病
医学百科网 | YxBaike.Com
HRCT上见到广泛的、多发的肺囊状阴影,一般提示为肺朗格汉斯细胞组织细胞增多 症或肺淋巴管肌瘤病。病理基础为有清楚囊壁的含气腔,它们都有薄的可见的壁。囊壁可以 由不同细胞成分中的一种所构成,通常为纤维性细胞或上皮细胞。囊肿大小与病程有密切关 系,早期仅为数毫米,晚期则可达Icm甚至数厘米。前者发生病理机制为:以细支气管为 中心的星状的星状间质性结节为病理特征改变,在疾病发展过程中,该结节逐步演变为囊性 结节、厚壁囊腔,再到晚期薄壁囊腔,囊腔影为扩张的细支气管。后者发生病理机制为:细 支气管壁及其周围的类平滑肌细胞增生,使气道局限狭窄而致空气潴留,远端肺泡扩大融合呈囊状腔,囊壁由增生的类平滑肌细胞覆盖。两者囊肿形态及分布有各自特征,可借以鉴别。 医学百科网 | YxBaike.Com
医学百科网 | YxBaike.Com
(1)肺部肿瘤多见于炎性肺癌(肺泡癌及肺腺癌、鱗癌)。
(2)弥漫性间质性肺疾病此类蜂窝征最常见的病因是特发性肺纤维化,约占50%。 其次为各种结缔组织病(包括类风湿性肺病,进行性系统性硬化,皮肌炎、混合性结缔组织 病,干燥综合征等)引起的慢性间质性肺炎。此外还见于石棉肺、结节病、外源性过敏性肺 泡炎等。蜂窝为伴有肺破坏和肺结构瓦解的纤维化,其出现提示已是“终末期肺”。因此可 见于所有引起终末期肺纤维化的疾病。
医学百科网 | YxBaike.Com
(3)严重的囊状支气管扩张症、先天性肺囊肿。 医学百科网 | YxBaike.Com
(4)各种亚型肺气肿肺大疱。 医学百科网 | YxBaike.Com
(5)罕见疾病肺朗格汉斯细胞组织细胞增多症或肺淋巴管肌瘤病。 医学百科网 | YxBaike.Com
医学百科网 | YxBaike.Com
肿瘤所致蜂窝征由多个小泡集成蜂窝状,其大小比较一致。出现于边界清晰的磨玻璃影 及实变影中。在肺窗上表现为肺腺癌(图2),偶见于鳞癌。除蜂窝征外,还可见细支气 管充气征、结节或肿块、实变、磨玻璃影等征象。磨玻璃影病理基础为肿瘤细胞沿肺泡壁生 长,肺泡壁增厚,但肺泡腔未闭塞,内可有少量黏液或脱落的肿瘤细胞。 医学百科网 | YxBaike.Com
医学百科网 | YxBaike.Com
二、各类间质性肺病 医学百科网 | YxBaike.Com
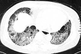
在胸部CT上,常分布于两肺,其囊性气腔直径为1〜2. 5mm,分布多不规则,常伴有 其他肺纤维化的征象,如胸膜下弧形线状影、界面征、小叶间隔增厚、牵张性支气管扩张 症、肺结构扭曲、肺容积缩小等。同时亦伴肺内磨玻璃影、胸膜斑块等改变。蜂窝征分布对 于病因鉴别有一定帮助,如特发性肺间质纤维化常见于两中下肺分布(图3);结节病见 于双肺上叶;外源性过敏性肺泡炎多见于中上肺。
医学百科网 | YxBaike.Com
医学百科网 | YxBaike.Com
三、支气管扩张症 医学百科网 | YxBaike.Com
支气管扩张症影像分型通常分为:柱状支气管扩张症、静脉曲张状支气管扩张症、囊状支气管扩张症三种形态类型。其中囊状支气管扩张症病变严重时呈蜂窝状(图4)。其发 生部位与病因有关,非特异性感染所致多见于下叶、结核或其他肉芽肿病者多见于上叶和下 叶背段,变态反应性支气管肺曲菌病可引起肺中央部支气管扩张,而周围部支气管不扩张。 其分布呈肺叶或肺段且沿血管支气管束分布,其囊壁较厚,囊内有气液平面者并不少见。可 据此与其他囊状病变如肺囊肿(图5)鉴别。
医学百科网 | YxBaike.Com
医学百科网 | YxBaike.Com
四、肺气肿及肺大疱 医学百科网 | YxBaike.Com
CT表现局灶性的、多发或单发性无壁低密度区,系扩大的气腔和破坏了的肺泡壁所 致。可能与空气潴留有关。各种亚型肺气肿CT表现如下:小叶中心型肺气肿HRCT表现 为散在分布的小圆形、无壁的密度减低区,围绕在小叶中心,多分布于肺上叶,严重者相互 融合。全小叶型肺气肿CT表现上全小叶肺结构一致性破坏,形成较大范围无壁低密度区, 大小和形态不规则。肺野内仅剩血管、小叶间隔和支气管等肺内支持结构,为弥漫阻塞性肺 气肿,中下肺野多见。间隔旁型肺气肿CT表现为呈位于胸膜下的、栅栏状排列的含气囊 腔,有完整的小叶间隔分开。瘢痕旁或不规则肺气肿CT表现为肺内纤维条索周围无壁低密 度区。其中小叶中心型肺气肿在常规CT上需鉴别PLAM,但在HRCT上其无壁、上叶分 布优势、可合并其他型肺气肿与肺大疱的影像特点,有助鉴别(图6)。 医学百科网 | YxBaike.Com
医学百科网 | YxBaike.Com
医学百科网 | YxBaike.Com
医学百科网 | YxBaike.Com
医学百科网 | YxBaike.Com
五、肺朗格汉斯细胞组织细胞增多症(PLCH) 医学百科网 | YxBaike.Com
胸片表现PLCH早期,胸片表现为双肺边界不清的微结节或网结节浸润,以中上肺为 著,肋膈角通常不受累。囊状改变是疾病特征性的改变,可以与结节同时存在。PLCH终 医学百科网 | YxBaike.Com
末期,可见多个直径在2cm以上相邻的囊腔,不易与肺气肿或淋巴管平滑肌瘤病(LAM) 相鉴别。PLCH胸片可见气胸,极少数病例可见肋骨的溶骨性损害。胸腔积液和肺门淋巴 结肿大罕见。合并肺动脉高压时,胸片示右下肺动脉干增宽,肺动脉段膨隆,以及右心室扩 大。少数早期患者(<10%)胸片正常。 胸部HRCT表现胸部HRCT具有特征性表现和分布特点,是PLCH临床诊断及鉴别 诊断的重要依据。早期病变以小叶中心性结节为主,伴少量囊腔改变。随着疾病进展,出现 囊腔、纤维化和蜂窝肺。囊腔改变是相对较晚的病变,囊壁厚薄不规则、直径大小不一,形 状奇怪,呈弥漫性分布,以中上肺野为著。晚期可以出现遍布全肺的囊腔影。研究表明, PLCH患者肺部病变呈现从结节到囊性结节、厚壁囊腔、再到薄壁囊腔的变化规律(图7)。 当胸部影像表现为广泛的囊状阴影及小结节,且病变分布于中上肺,而肋膈肌角区无受 累时,几乎无需鉴别诊断,如仅表现为多发结节影时,鉴别诊断困难,包括结节病。硅沉着 病、血行转移瘤和肺结核等。如仅显示为囊状阴影,鉴别诊断主要包括肺间质纤维化、支气 管扩张、肺淋巴管平滑肌瘤病。此时根据囊状阴影形态、分布特点等,往往容易鉴别。
医学百科网 | YxBaike.Com
医学百科网 | YxBaike.Com
六、肺淋巴管肌瘤病(PLAM)
医学百科网 | YxBaike.Com
胸片上表现可以呈网状影、网结影、粟粒状影,弥漫分布,后期表现两肺囊状改变。常 见胸腔积液及胸膜增厚,伴发气胸者占80%。严重者呈蜂窝肺及肺心病改变。肺体积增大 后膈位置下降,胸廓前后径增大。在正常肺野所见或肺体积增加的背影上有弥漫性间质病变表现可能提示PLAM。但胸片缺乏特异性,而且肺病变较轻时胸片常表现为正常,且主要 与囊状影直径大小等有关。 医学百科网 | YxBaike.Com
本病的CT (HRCT)表现与病理所见一致,呈特征性的两肺广泛薄壁的,分布均匀的 囊状影。囊直径0.2〜2cm,多数在Icm左右,因本病这一薄囊壁特点,常规CT由于容积 效应使大多数囊状影未能显示囊壁的存在,特别是直径不足IOmm的囊状影,而仅呈小透 亮区,与小叶中央型肺气肿不易鉴别。HRCT由于其具有最小的容积效应和极好的空间分 辨率,故大多数常规CT上仅显示为小透亮区的阴影,在HRCT上均能清晰显示其囊壁, 而且可发现常规CT未能发现的更小囊状影,因此HRCT比常规CT在发现更小病变,特 别是能清晰显示其囊性结构,对本病的早期诊断和鉴别诊断更具价值(图8)。CT和 HRCT还显示本病的囊状影呈弥漫性分布,无区域分布差异,同时肺淋巴管肌瘤病不伴肺 内结节影与肺结构变形扭曲改变。但可伴小叶间隔增厚,以右下肺多见,局部可见肺泡实 变,反映了肺泡间隔,小叶间隔淋巴管受累,淋巴水肿。上述这些特征均是与其他肺疾病相 鉴别的有力根据。其他改变还可能有前纵隔、中纵隔淋巴结肿大,膈角后淋巴结肿大,胸腔 积液,胸膜增厚及自发性气胸等。 医学百科网 | YxBaike.Com
医学百科网 | YxBaike.Com
医学百科网 | YxBaike.Com
附件列表
词条内容仅供参考,如果您需要解决具体问题,请遵医嘱或咨询医师。
本站词条内容如果涉嫌侵权,请与客服联系,我们将及时进行处理。如需转载,请注明来源于www.yxbaike.com
如果您认为本词条还有待完善,请 编辑
