纵隔生殖细胞肿瘤(卵黄囊瘤)CT表现
临床资料 医学百科网 | YxBaike.Com
男,37岁,因“右侧间断胸痛2月”入院。
医学百科网 | YxBaike.Com
医学百科网 | YxBaike.Com
医学百科网 | YxBaike.Com
医学百科网 | YxBaike.Com
医学百科网 | YxBaike.Com
医学百科网 | YxBaike.Com
医学百科网 | YxBaike.Com
病例特点: 医学百科网 | YxBaike.Com
1.患者为中年男性,因“右侧间断胸痛2月”入院。
医学百科网 | YxBaike.Com
2.患者自述病史(可靠):患者2013年03月无明显诱因出现右侧胸部间断隐痛,与体位、呼吸无关,与时间无关,无晕厥,无眼睑下垂,无咳嗽、咯血,无呼吸困难,无心前区疼痛,无血尿、黑便,无恶心、呕吐。患者曾于通城人民医院就诊,考虑为胸膜炎,未予特殊处理。患者为寻求进一步治疗来我院就诊.
医学百科网 | YxBaike.Com
讨论 医学百科网 | YxBaike.Com
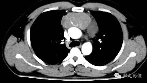
影像表现:前纵隔见巨大囊实性肿块,形态不规则,实性部分可见点状钙化灶,病灶周围脂肪间隙消失,增强扫描病灶持续性不均匀明显强化. 医学百科网 | YxBaike.Com
鉴别诊断: 医学百科网 | YxBaike.Com
1淋巴瘤 病灶强化相对较弱,不会这么大的坏死囊变,可见纵隔淋巴结肿大并相互融合.
医学百科网 | YxBaike.Com
2精原细胞瘤 实性,少许小液化坏死、囊变,这么大的囊性成分不用考虑
3胸腺瘤 一般是实性病变中央囊变坏死,年纪偏大些.典型临床有重症肌无力.
4畸胎瘤 没脂肪成份还是罕见的. 医学百科网 | YxBaike.Com
探查见:前上纵隔肿物,升主动脉、上腔静脉前方,10×10cm大小,质硬,与上腔静脉无名静脉粘连紧密,无明显外侵,左右分别呈囊肿样,左侧6×5cm大小,右侧2×3cm大小。 医学百科网 | YxBaike.Com
检查所见:
肿物一个10x6x4cm,包膜完整,切面灰白、灰黄,实性,质细腻,部分呈颗粒样,少数区呈囊性。肿物表面见一2.5x2x1cm结节,灰白色、实性、质硬。(纵隔囊肿)淡黄组织7x5x3cm,切面见一6×3.5cm囊腔,内壁稍粗糙。(纵隔淋巴结)一枚1.8×1.5x1cm。
医学百科网 | YxBaike.Com
印象:
1.(前纵隔)恶性肿瘤,结合组织学形态及免疫组化,考虑生殖细胞肿瘤(卵黄囊瘤)。送检(纵隔淋巴结)见癌转移(1/1)。 医学百科网 | YxBaike.Com
2.(纵隔)囊肿。
医学百科网 | YxBaike.Com
建议:
EMA( ),CK7( ),CK5/6少数( ),CD117弱( ),CK8/18( ),Bcl-2( ),VIM(-),TTF1(-),CEA(-),PLAP(-),TDT(-),CD30(-),CD5(-),SMA(-),Ki-67:约15%,PAS:特染(-)。
医学百科网 | YxBaike.Com
疾病总结:卵黄囊瘤又称内胚窦瘤,是一种由胚外结构—卵黄囊发生的高度恶性生殖细胞肿瘤。体积一般较大,结节分叶状,边界不清。切面灰黄色,呈实体状,局部可见囊腔形成,可有局部出血坏死。多发生于儿童及青年,常发生于性腺,原发于纵隔者较为罕见,且多在前纵隔。本病无特异症状,X线胸片及CT检查可见前纵隔巨大占位。年轻、病灶大、囊变,易侵犯周围,AFP高是特点,因为卵黄囊瘤可以产生甲胎蛋白(AFP),故本病病人血清中AFP的水平升高(>500U/ml),血清中AFP水平的测定对于诊断、治疗及预后有指导意义。
附件列表
词条内容仅供参考,如果您需要解决具体问题,请遵医嘱或咨询医师。
本站词条内容如果涉嫌侵权,请与客服联系,我们将及时进行处理。如需转载,请注明来源于www.yxbaike.com
如果您认为本词条还有待完善,请 编辑
