“空气潴留征” 的影像表现与临床意义
英文:air trapping (AT) sign。 医学百科网 | YxBaike.Com
又名:气体潴留征。 医学百科网 | YxBaike.Com
空气潴留是一病理生理学术语,指在呼气的任何过程中全部或部分肺内保留有过多的空 气,即气道阻塞(常为部分性)导致的远处肺内的气体潴留。在影像学中,用于描述动态呼 吸过程中即吸气-呼气相照片或透视时肺内有过多的气体残留。
医学百科网 | YxBaike.Com
医学百科网 | YxBaike.Com
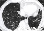
空气潴留征,在HRCT扫描像上表现为肺实质的异常低密度衰减区,且肺体积不缩 小(图1)。当空气潴留轻度或弥漫性时,比较吸气相和呼气相HRCT更有价值, HRCT扫描吸气相肺密度减低,血管减少,而在呼气相,与正常肺组织的密度增高区相 比,病变区肺密度减低更为明显,二者夹杂存在,因此,HRCT是发现空气潴留征的最 精确的方法。
医学百科网 | YxBaike.Com
利用视觉诊断空气潴留不如对低密度肺区作CT值分析更为可靠,而且没有读片差异。 我国一组正常人吸气末时的全肺平均CT值为一 816Hu±26Hu,呼气末时为一 619Hu士 58Hu,增加200Hu左右。如在用力呼气后其CT值仅增加IOOHu或更少时则提示有空气潴 留。正常人在呼气末肺体积将较吸气末时减少54.9%,当有大范围的空气潴留时,呼气时 肺体积减小程度也会减轻。因此,测量呼吸周期中的肺体积改变也有助于空气潴留的诊断。 另外比较双肺的对称区亦有助于空气潴留的诊断。 医学百科网 | YxBaike.Com
医学百科网 | YxBaike.Com
①临床上,HRCT通常采用吸气相扫描,即在深吸气末获取扫描图像。此外,尚有呼 气相扫描,图像获得于用力呼气末。通常选择呼气相HRCT对空气潴留征进行评价。
医学百科网 | YxBaike.Com
②HRCT能否取得符合诊断要求的图像取决于患者在检查时的配合。 医学百科网 | YxBaike.Com
③空气潴留征发生具有年龄依赖性。 医学百科网 | YxBaike.Com
④在具体分析空气潴留征时,要与临床资料和其他实验室资料相结合以更好地诊断。
空气潴留征的出现往往提示有原发性或继发性细支气管病变存在。临床多见于弥漫性肺 医学百科网 | YxBaike.Com
疾病,尚可见于慢性阻塞性肺疾病、支气管哮喘及支气管扩张症等慢性气道疾病。 医学百科网 | YxBaike.Com
一、弥漫性肺疾病(diffuse lung diseases,DLD) 医学百科网 | YxBaike.Com
DLD是较为复杂的一组病变的总称,其广泛累及肺实质/肺间质,以后者为主。DLDX 线胸片和CT呈现为弥漫性和多样性的病灶阴影,没有很明确的特征性表现。因此,若无病 理对照而单纯从影像学角度出发,确诊很困难。多种DLD可以出现空气潴留征,采用 HRCT特别是呼气相HRCT有助于空气潴留征的检出。呼气相HRCT能够动态地观察肺泡 内气体量、间质及肺血管内的血流量对肺密度改变的影响。通过吸气与呼气相对比,可以更 好地理解DLD中肺密度不均匀的发生机制,从而能更正确地诊断部分DLD并了解某些 DLD是否有小气道受累。在其中一些疾病的早期,当吸气相扫描无异常发现时,呼气相扫 描即可以见到空气潴留征。因此,呼气相扫描可以提高DLD诊断的准确性,减少漏诊。有 学者主张,在DLD诊断中,应常规应用呼气相HRCT。 医学百科网 | YxBaike.Com
1.特发性肺纤维化(IPF)
医学百科网 | YxBaike.Com
IPF早期患者见图2。
医学百科网 | YxBaike.Com
医学百科网 | YxBaike.Com
2.闭塞性细支气管炎
闭塞性细支气管炎是一种由于细支气管炎及纤维化导致的通气受限的肺部疾病,常累及 呼吸性细支气管。在病理学上表现为直径16mm的小支气管和细支气管的瘢痕狭窄和闭塞, 管腔内无肉芽组织、息肉,肺泡管和肺泡正常。部分患者原因不明,可能与胶原血管病、有 毒气体吸入、感染及器官移植有关。HRCT是诊断闭塞性细支气管炎的主要方法之一,具 有一定的特征性。吸气相HRCT,闭塞性细支气管炎可以表现为支气管或细支气管扩张、小 叶中心性结节、马赛克灌注等,而呼气相HRCT,则经常表现为空气潴留征(图3)。 医学百科网 | YxBaike.Com
医学百科网 | YxBaike.Com
3.弥漫性泛细支气管炎(DPB)
医学百科网 | YxBaike.Com
弥漫性泛细支气管炎是一种呼吸性细支气管的慢性炎症,在日本、韩国、中国、印度等 国家较常见,其他国家则罕有报道。X线影像特点是两肺弥漫性边界不清的小结节状阴影, 在HRCT上表现为广泛分布的小叶中心性结节影、小的分支状线样阴影或广泛分布的继发 性细支气管扩张和支气管扩张,可见空气潴留征(图4),其发生与呼吸性细支气管管壁 炎性增厚、管腔狭窄有关。 医学百科网 | YxBaike.Com
医学百科网 | YxBaike.Com
4.结节病
医学百科网 | YxBaike.Com
结节病是一种原因不明的、以非干酪样肉芽肿形成为病理特征的多系统肉芽肿性疾病。 胸部结节病的典型影像学表现为两侧肺门对称性淋巴结增大伴纵隔淋巴结增大,有或无肺内 浸润,诊断不难,但对不典型者认识不足,特别是肺部浸润表现多样性。胸部结节病患者在 呼气相上可见到与小气道病变有关的空气潴留,表现为以肺小叶为单位的局部低密度区,其中有的病例在吸气相上完全无结节病的肺实质性改变,提示为由细支气管周围肉芽肿而致小 气道狭窄的结果。故空气潴留征是结节病HRCT的又一表现形式,其肺野分布没有规律性, 甚至在一些结节病患者中,空气潴留征可以成为CT的唯一特征。见图5。
医学百科网 | YxBaike.Com
医学百科网 | YxBaike.Com
5.过敏性肺炎
过敏性肺炎又称为外源性过敏性肺泡炎,是由于反复吸入有机抗原物引起的免疫介导的 肺部疾病,基本的病理改变是肺间质、肺泡和终末细支气管的弥漫性单核细胞浸润以及肉芽 肿形成,严重者可以发展为纤维化。HRCT急性期过敏性肺炎以磨玻璃影、小叶中心性结 节影等为主要表现;亚急性期除磨玻璃影、小结节影外,还可以出现条索影,以及以上影像 的相互重叠;慢性期表现为小叶间隔增厚、蜂窝肺、牵拉性细支气管扩张等。在过敏性肺炎 亚急性期和慢性期,由于小气道慢性炎症性浸润可以引起细支气管狭窄、局部肺组织内空气 的潴留,所以不少过敏性肺炎患者HRCT可见空气潴留征。有研究认为,在慢性过敏性肺 炎中空气潴留很常见,其与肺纤维化程度呈负相关。 医学百科网 | YxBaike.Com
6.结缔组织病相关性间质性肺炎
结缔组织病包括多种疾病,如系统性红斑狼疮、类风湿关节炎、系统性硬化症、强 直性脊柱炎等,最易发生在关节、骨骼肌和皮肤,可以侵犯多个内脏器官。肺脏因含 有丰富的胶原纤维和血管,所以也是各种结缔组织病较易侵犯的脏器。肺脏的病理改 变与原发病相关,常见为结缔组织的单核-巨噬细胞及淋巴细胞浸润、黏液性水肿、炎 性坏死、类纤维蛋白变性和成纤维细胞形成等。据文献报道,系统性红斑狼疮、类风 湿关节炎、强直性脊柱炎、干燥综合征等疾病可以合并闭塞性细支气管炎,HRCT可 以见空气潴留征。
①类风湿关节炎:见图6。
医学百科网 | YxBaike.Com
②干燥综合征患者:见图7。 医学百科网 | YxBaike.Com
医学百科网 | YxBaike.Com
医学百科网 | YxBaike.Com
7.肺淋巴管肌瘤
肺淋巴管肌瘤平滑肌增生导致小气道狭窄,使远端空气潴留,肺泡扩大融合呈囊状, HRCT可以见空气潴留征。见图8。
医学百科网 | YxBaike.Com
8.肺朗格汉斯细胞组织细胞增生症(PLCH)。见图9。
医学百科网 | YxBaike.Com
医学百科网 | YxBaike.Com
二、其他疾病
医学百科网 | YxBaike.Com
在慢性阻塞性肺疾病(图10)、支气管哮喘(图11)、支气管扩张症(图12)、肺囊肿(图13)患者中,由于慢性炎症性因素的长期存在,使得气管及支气管管壁炎性 增厚、纤维组织增生、瘢痕挛缩,致使气道狭窄、肺组织顺应性减低,因此,HRCT也可 以出现空气潴留征。
医学百科网 | YxBaike.Com
医学百科网 | YxBaike.Com
医学百科网 | YxBaike.Com
医学百科网 | YxBaike.Com
医学百科网 | YxBaike.Com
医学百科网 | YxBaike.Com
附件列表
词条内容仅供参考,如果您需要解决具体问题,请遵医嘱或咨询医师。
本站词条内容如果涉嫌侵权,请与客服联系,我们将及时进行处理。如需转载,请注明来源于www.yxbaike.com
如果您认为本词条还有待完善,请 编辑
上一篇 食道裂孔疝1例影像表现 下一篇 胸膜恶性孤立性纤维瘤1例X线CT
