“锯齿征” 的影像表现与临床意义
【名词】 医学百科网 | YxBaike.Com
锯齿征 医学百科网 | YxBaike.Com
英文:Serrationsign。
医学百科网 | YxBaike.Com
结节或肿块边缘的小棘状或小三角形突起,使病灶轮廓不规则,若多个棘突相连时可形 成锯齿状边缘,可见于肿瘤的全周或部分边缘,在CT上多在纵隔窗观察,因在肺窗受周围 结构影响不易观察。这一征象多见于周围型肺癌等恶性肿瘤细胞浸润性生长和不等速生长所 致,也可见于球形肺炎等疾病。
医学百科网 | YxBaike.Com
【影像表现】
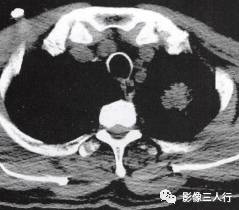
CT表现见图1。
医学百科网 | YxBaike.Com
医学百科网 | YxBaike.Com
(a)
医学百科网 | YxBaike.Com
(b)
医学百科网 | YxBaike.Com
(c)
医学百科网 | YxBaike.Com
(d) 医学百科网 | YxBaike.Com
图1 CT表现 (a)左上肺上叶周围型肺癌,边缘可见锯齿征 (b)右肺上叶前段炎性假瘤,病灶呈类圆形,密度均匀, 边缘呈锯齿状,邻近胸膜增厚粘连 (c)病灶有刀切样垂直于胸膜切线的边缘,近胸膜侧 似尖角状,后缘浅分叶,邻近胸膜增厚粘连 (d)球形肺炎
【病理机制】 医学百科网 | YxBaike.Com
锯齿征为多个棘状突起相连而成[图1(a)],病理基础主要为恶性肿瘤细胞浸润性 生长和不等速生长所致。随着肿瘤的生长,瘤旁受侵拉直脉管和增厚的纤维间隔等肺支架结 构,瘤旁纤维瘢痕形成及瘤体边缘生长不均产生毛刺,小棘状突起及锯齿征。其次,肿瘤周 围的生长环境如小叶间隔或血管等组织的阻挡作用限制肿瘤的浸润生长或是肿瘤突出部分与 CT扫描部分相切而成尖角状改变也可形成锯齿征。锯齿征可见于肿瘤的全周或部分边缘, 以小细胞癌和鳞癌为多见。 医学百科网 | YxBaike.Com
【临床意义】 医学百科网 | YxBaike.Com
一、周围型肺癌 医学百科网 | YxBaike.Com
周围型肺癌是常见的恶性肿瘤之一,早期肺癌一般并不产生症状,短则数月,长则几 年,因人而异,此时患者很少就医,所以临床上很难发现,部分肺癌的早期症状只是干咳、 胸痛、低热、咯血等一般症状,这些症状与感冒、支气管炎、肺炎等病相混淆,很难引起患 者的注意,待其临床症状出现时,肿瘤已到晚期。因此,周围型肺癌的早期诊断和治疗尤为重要。周围型肺癌瘤体边缘CT征象的特点取决于肺癌结节的形成,生长方式及瘤-肺界 面的关系。通过CT诊断周围型肺癌,主要依据病变的内部结构特点和边缘征象的分析, 根据病变大小的不同,所要观察分析的侧重点也有一定的差别。随着肿瘤的发生发展, 其内部与边缘征象也在不断地发生着变化,CT影像上也表现为从不典型到相对典型的变 化特点。典型CT征象为病灶大多呈分叶状,病灶较小时可以呈浅分叶状或类圆形。周边 肺内“硬币征”,具有分叶征,边缘清楚但有细短毛刺、锯齿征[图1a)、图2]、 血管集束征、空泡征、磨玻璃样改变、支气管充气征以及胸膜凹陷征。当病灶边缘出现细 短毛刺征、锯齿状改变及“晕征”时,多代表病灶具有恶性肿瘤特征,其机制可能为肿 瘤扩展或浸润导致周围肺小叶条索状肺不张、肺间质的结缔组织增生反应及肿瘤周围炎 症改变所致。总结认为,瘤体边缘不光滑、分叶、毛刺和小棘状突起,胸膜凹陷征,血管集束征,锯齿征及瘤旁脉管是诊断周围型肺癌较可靠的CT征象,尽管这些征象在肺良 性结节中也可发生,但仍不失为鉴别良恶性的佐证,尤其是当这些征象集中发生或大部 分发生在一起时,则具有定性价值。 医学百科网 | YxBaike.Com
医学百科网 | YxBaike.Com
(a)
医学百科网 | YxBaike.Com
(b)
图2周围型肺癌 (a)、(b)分别示纵隔窗、肺窗下左肺内周围性肺癌病灶,纵隔窗下病灶边缘可见锯齿征,毛刺征不可见,肺窗下可见纵隔窗下锯齿征部位边缘向肺野内伸展的放射状、无分支、直而有力的短细线条影,即毛刺征,邻近胸膜牵拉稍增厚
二、球形肺炎
医学百科网 | YxBaike.Com
球形肺炎是由细菌或病毒引起的急性炎症,以前者多见,常为肺炎双球菌和葡萄球菌感 染,因在X线平片上形态表现多为球形或类球形而称之为球形肺炎[图1(d)],在CT 上病灶邻近胸膜形态多表现为方形或三角形,较多见,不与胸膜相连者多呈类圆形。其基本 病理变化为炎性渗出、增生、实变,经抗炎治疗后能完全吸收或基本吸收。具典型临床表现 者,CT诊断较易。球形肺炎形成的病理机制还不很清楚,可能的原因之一是支气管远端黏 液潴留形成痰栓引起节段性肺不张伴炎症,所以球形肺炎多数发生在肺外周紧贴或近胸膜 缘。球形肺炎CT表现:①病变两侧缘垂直于胸膜呈刀切样平直边缘,病变呈方形;②病变 中央密度高,边缘密度低,可见“晕征”;③病变边缘可不规则,有锯齿状改变但较模糊; ④周围胸膜反应显著,有较广泛增厚;⑤病变周围血管纹理增多、增粗、扭曲,但无僵直和 受牵拉表现;⑥抗炎治疗后病变明显吸收缩小。 医学百科网 | YxBaike.Com
【鉴别诊断】
医学百科网 | YxBaike.Com
一、球形肺炎 医学百科网 | YxBaike.Com
①形态上虽大体呈球形、类球形,但较多为方形或不规则三角形,其中贴近胸膜的方形 病灶有特征性;肺癌形态呈较规整球形,方形少见。②球形肺炎可表现为锯齿样棘突征,此 征象在肺癌中也可见到,但球形肺炎棘突边缘较模糊,有时可见“晕征”反映了病变急性渗 出性改变,肺癌棘突边缘较清楚,其末端可见细短毛刺影,结核球边界较清楚、光滑,很少 见棘突征,不见“晕征”,代表肿瘤侵润性生长。③球形肺炎增强后可见不均匀强化,病灶 中央可见规则、界面清晰的无强化区,反映了炎性坏死的特点,此征少见于肺癌,具有特征 性。④球形肺炎与胸膜虽接触面广,但胸膜外仍可见透亮线:如果附近胸膜增厚广泛,亦提 示为炎症。肺癌贴近胸膜面广时,往往已侵犯胸壁而看不到胸膜外透亮线(胸膜与胸壁见脂 肪层),附近胸膜改变局限,胸膜凹陷征常见。⑤支气管充气征在球形肺炎中支气管影较多, 管腔略有扩张,管壁规则。而肺癌支气管影较少,管腔一般不扩张,管壁不规则。⑥球形肺 炎抗感染治疗后吸收缩小。肺癌抗感染治疗无效;伴阻塞性炎症时,经抗感染治疗炎症吸收 后,肿瘤特征显示更清晰。
医学百科网 | YxBaike.Com
二、肺炎性假瘤(pulmonaly inftammatory pseudotumor,PIP)PIP是一类肺部良性病变,主要由纤维细胞及肌纤维细胞组成,并混合多种炎性细胞,多呈孤立性病灶,至今临床病因及发病机制不明。近年来该病的发病率增加,由于临床症状不典 型,影像表现易与肺癌、肺结核球相混淆,误诊率较高,给确定治疗方案带来困难。双肺各叶段 都可发病,但以右肺居多,X线表现为圆形、类圆形结节或肿块影,密度不均匀,边界清晰,边 缘毛糙,较大肿块可有浅分叶。CT检查部分病灶边缘可见一尖角状突出,即桃尖征;病灶中间 层面一侧或两侧边缘垂直于胸膜面,甚至呈刀削样平直状,即所谓的垂直征,刀削征就更具有特 征性的提示意义[图1(c)]。胸膜局部增厚粘连、渗出等炎性反应,这与肺癌引起的局限性胸 膜凹陷征有显著不同。病灶与胸壁间有浅淡条状低密度影;孤立圆形类圆形影多邻近胸膜;密度 较均匀,边缘光滑,可有粗长的毛刺或呈锯齿状[图1(b)、图3];肺门及纵隔内无肿大的 淋巴结。位于两肺上叶尖(后)段,下叶背段的球形影,或有钙化灶,易误诊为肺结核瘤。 医学百科网 | YxBaike.Com
(a)
医学百科网 | YxBaike.Com
(b)
医学百科网 | YxBaike.Com
(c)
医学百科网 | YxBaike.Com
(d) 医学百科网 | YxBaike.Com
图3肺炎性假瘤 (a)、(b)、(c)炎性假瘤的不同横断层面,图片中可见右肺下叶后基底段一不规则肿块影, 边缘可见锯齿征,邻近胸膜牵拉稍增厚。(d)为对应(c)层面肺窗
医学百科网 | YxBaike.Com
三、结核球或增殖型肺结核 医学百科网 | YxBaike.Com
病灶好发于两上叶及下叶背段,密度往往偏高,边缘光滑,无细短毛刺,病灶内多有钙 化或出现空洞,周围常有卫星病灶等。经长时间随访观察,球形阴影的大小无明显改变,临 床上患者无发热、胸痛、血痰等。上述特点可与球形肺炎比较容易鉴别。早期周围型肺癌主 要应与肺结核尤其小的结核瘤鉴别,结核瘤边缘多光滑、清楚或有索条,无分叶或仅浅分 叶,偶有典型分叶;常有点状或斑点状、斑片状钙化;也可有空洞,其空洞为边缘性或呈裂 隙样;大多数病例病灶周围有卫星灶,表现为致密的小或微小结节。与结核鉴别暂时有困难 的病例,可用抗结核药物做诊断性治疗,随访观察1〜2个月后再定性。
附件列表
词条内容仅供参考,如果您需要解决具体问题,请遵医嘱或咨询医师。
本站词条内容如果涉嫌侵权,请与客服联系,我们将及时进行处理。如需转载,请注明来源于www.yxbaike.com
如果您认为本词条还有待完善,请 编辑
上一篇 冠状动脉解剖与分段(精华版) 下一篇 心脏肿瘤CT诊断
