空洞为主要表现的肺真菌病7例CT影像征象
第一例: 医学百科网 | YxBaike.Com
女,20岁,咳嗽伴痰中带血2月。 医学百科网 | YxBaike.Com
术后病理:右下肺曲霉菌球。 医学百科网 | YxBaike.Com
医学百科网 | YxBaike.Com
医学百科网 | YxBaike.Com
医学百科网 | YxBaike.Com
“新月征”
医学百科网 | YxBaike.Com
霉菌球无强化 医学百科网 | YxBaike.Com
第二例: 医学百科网 | YxBaike.Com
女,59岁,乳腺癌术后化疗后,发热一周,最高达39℃,无咳嗽咳痰,抗感染治疗效果欠佳。 医学百科网 | YxBaike.Com
医学百科网 | YxBaike.Com
医学百科网 | YxBaike.Com
空洞 晕征 医学百科网 | YxBaike.Com
伏立康唑治疗2周后体温恢复正常,胸部CT复查,病灶缩小。
医学百科网 | YxBaike.Com
医学百科网 | YxBaike.Com
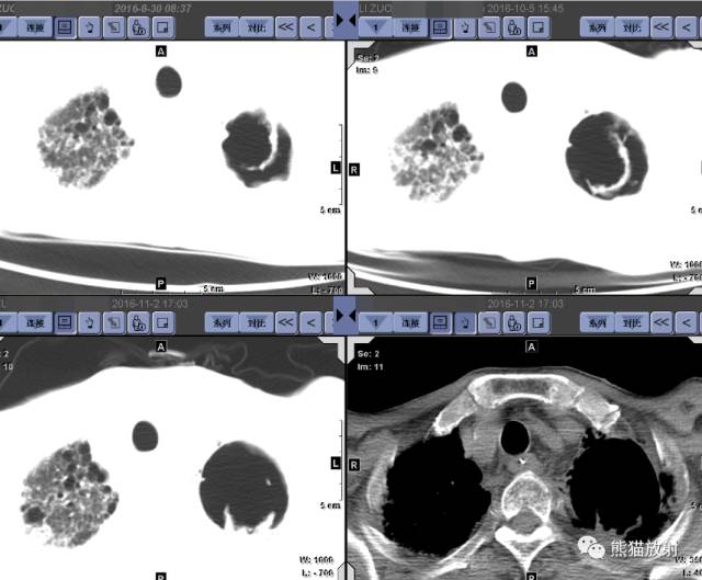
第三例:
男,76岁,下咽癌术后并放疗后;咳嗽、咳痰、憋喘6月余,加重伴发热1月余。痰培养为近平滑念珠菌(真菌)。 医学百科网 | YxBaike.Com
三幅CT肺窗图像的日期(8.30-10.5-11.2),可见空洞逐渐增大,洞内容物脱落、移位,洞壁逐渐变薄。肺间质纤维化表现。
医学百科网 | YxBaike.Com
医学百科网 | YxBaike.Com
空洞内有内容物(具有活动性) 医学百科网 | YxBaike.Com
第四例: 医学百科网 | YxBaike.Com
女,46岁,急性B淋巴细胞白血病;肺部真菌 细菌感染。
4幅CT肺窗图像的日期:
9.27→11.5 医学百科网 | YxBaike.Com
11.16→12.1 医学百科网 | YxBaike.Com
短时间内从正常到出现病灶,右下肺空洞形成,洞腔增大,洞壁变薄,直至病灶明显缩小;左上肺局部实变到逐渐吸收。 医学百科网 | YxBaike.Com
医学百科网 | YxBaike.Com
医学百科网 | YxBaike.Com
结节、空洞、实变(变化迅速)
医学百科网 | YxBaike.Com
第五例:
男,48岁,咳嗽、咳痰3月余; 医学百科网 | YxBaike.Com
术后病理:送检肺组织支气管扩张,伴支气管腔内霉菌球形成,周围肺组织充血、出血伴纤维组织增生、急慢性炎细胞浸润,特染:PAS 。 医学百科网 | YxBaike.Com
医学百科网 | YxBaike.Com
医学百科网 | YxBaike.Com
医学百科网 | YxBaike.Com
新月征(环状透光区)
第六例:
医学百科网 | YxBaike.Com
男,72岁,咳嗽、咳痰,胸闷、憋喘20余天。
医学百科网 | YxBaike.Com
痰涂片:查见真菌菌丝及孢子;痰培养:大肠埃希菌。
真菌D葡聚糖定量>5000pg/ml; 医学百科网 | YxBaike.Com
应用亚胺培南西司他丁抗感染、伏立康唑抗真菌治疗后病情好转。 医学百科网 | YxBaike.Com
医学百科网 | YxBaike.Com
结节 空洞 树芽征 医学百科网 | YxBaike.Com
第七例: 医学百科网 | YxBaike.Com
女,48岁,发热、咳嗽、咳痰、喘息20天。 医学百科网 | YxBaike.Com
血培养5天无细菌生长,抗真菌治疗后病情好转。
医学百科网 | YxBaike.Com
医学百科网 | YxBaike.Com
结节 空洞 树芽征 实变 医学百科网 | YxBaike.Com
空洞内丝状结构 医学百科网 | YxBaike.Com
治疗后复查(2个月后):病变减少、缩小。 医学百科网 | YxBaike.Com
医学百科网 | YxBaike.Com
医学百科网 | YxBaike.Com
附件列表
词条内容仅供参考,如果您需要解决具体问题,请遵医嘱或咨询医师。
本站词条内容如果涉嫌侵权,请与客服联系,我们将及时进行处理。如需转载,请注明来源于www.yxbaike.com
如果您认为本词条还有待完善,请 编辑
上一篇 “卵壳状钙化征” 的影像表现与临床意义 下一篇 冠状动脉、静脉正常解剖与变异
