18种胰腺肿瘤,您应该掌握。
医学百科网 | YxBaike.Com
医学百科网 | YxBaike.Com
医学百科网 | YxBaike.Com
医学百科网 | YxBaike.Com
医学百科网 | YxBaike.Com
医学百科网 | YxBaike.Com
1.病理:IPM T 起源于主胰管(主胰管型)或主胰管的主要分支(分支型), 发生于主胰管者可累及局部胰管也可弥漫侵及整个主胰管, 发生于胰管分支者后期也常累及主胰管(混合型)。发生于主胰管者主胰管及其主要分支均有非狭窄性扩张,病变区衬以分泌黏液的高柱状上皮, 扩张囊变的胰管内可见黏液栓以及偏平或乳头状生长的壁结节。发生于主胰管大分支的病变大多发生于胰腺钩突,少数发生于胰尾部,早期为多囊状的肿块结构, 与胰腺囊腺瘤颇为相似, 后期病变常累及主胰管, 则与原发于主胰管的病变相似。无论是发生于主胰管还是其主要分支的病变, 其病变均与主胰管相通, 这与胰腺囊腺瘤明显不同。由于乳头状新生物或黏液栓阻塞胰管, 常继发胰腺炎症。
医学百科网 | YxBaike.Com
2.影像学诊断:主胰管型的病变C T 、M RI 上可表现为主胰管囊状扩张,其主要分支也可见扩张,胰腺萎缩, 有时与慢性阻塞性胰腺炎难以鉴别, 如果显示了扩张胰管内的壁结节或黏液栓对诊断颇有帮助, 薄层扫描及变换体位对显示壁结节和黏液栓有好处, 黏液栓随重力总位于囊腔下壁。位于胰头部的病变还可引起扩张的壶腹突向十二指肠腔。发生于胰管分支的病变表现为多房状囊性肿块, 常位于胰头钩突, 内可见间隔, 表现与囊腺瘤相似, 后期病变累及主胰管则出现主胰管的扩张及其腔内的壁结节和黏液栓。MRCP 及ERCP 对本病的诊断非常有帮助, 特别是ERCP , 内镜下即可见乳头溢出黏液样物,有时可见突向十二指肠的扩张乳头, 注射造影剂后容易显示壁结节和黏液栓造成的充盈缺损, 病变与主胰管相通有助于鉴别诊断。
医学百科网 | YxBaike.Com
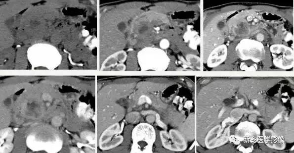
1.病理:本病的起源尚有争议,有认为起源于胰腺外分泌腺细胞、内分泌腺细胞或具有向内外分泌腺分化的全能细胞等学说, 肿瘤可发生于胰腺任何部位, 一般较大, 常见的直径为5 ~ 8cm 。肿瘤周围有较厚的纤维包膜, 边界清楚,常突出于胰腺外。瘤体剖面可见明显出血和坏死, 大的坏死区可形成囊腔, 内含血性或胶冻样物,构成囊实相间的结构,30 %左右的肿瘤周边可见钙化。病变内富有薄弱血管为本病的又一病理学特点。镜下可见胞质呈嗜酸性的小肿瘤细胞围绕纤维血管形成假乳头状结构。免疫组化及电镜示肿瘤同时具有内分泌和外分泌组织成分。
医学百科网 | YxBaike.Com
2.影像学诊断:CT 、M RI 上, 本病表现为胰腺边界清楚的大肿块, 囊实相间, 实性部分主要位于病变周边,有强化;囊性部分主要位于病灶中心区域, 囊变区密度较高, CT 值40 ~50Hu 。30 %的患者病变周边可见钙化。由于病变内常有出血,T1W I 上可见不均匀高信号, T 2WI 上见不均匀低信号 。M RCP 或E RCP 示胰管受压、移位或中断。 医学百科网 | YxBaike.Com
医学百科网 | YxBaike.Com
医学百科网 | YxBaike.Com
医学百科网 | YxBaike.Com
1.病理:典型的表现为多房囊性病变, 囊腔的大小差异很大, 小的只能在显微镜下看到,大的直径可达10cm 。囊内有薄层分隔, 可有浆液、血性浆液或乳糜液, 内衬淋巴管上皮, 周边有薄的纤维组织被膜。囊内及囊壁均罕有钙化。淋巴管瘤可以生长在胰腺实质内,也可生长于胰腺外,通过蒂和胰腺组织相连。 医学百科网 | YxBaike.Com
2.影像学诊断:CT 或M RI 扫描见胰腺囊性肿块, 可有分叶, 囊内分隔较薄且有轻度强化,囊壁很薄, 罕有钙化。淋巴管瘤有时与胰腺其他囊性肿块难以鉴别, 可进行穿刺活检。
医学百科网 | YxBaike.Com
医学百科网 | YxBaike.Com
1.病理:组织学上脂肪瘤由成熟的脂肪细胞组成, 可有少量的纤维分隔,有薄层的胶原纤维被膜包绕,因此与周围组织界限清楚。 医学百科网 | YxBaike.Com
2.影像学诊断:脂肪瘤的影像学表现颇具特征性, 并能依据影像学确诊 。CT 或M RI 均表现为胰腺边界清楚的肿块,内部结构均匀, 对周围无浸润。CT 值-30Hu ~ -120Hu ,密度均匀, T 1WI 和T 2WI 均呈高信号强度, 施加脂肪抑制后病灶信号强度明显降低。增强扫描病灶没有强化。有时肿瘤内可见菲薄的纤维间隔。胰腺脂肪瘤需与脂肪瘤病、畸胎瘤以及脂肪肉瘤鉴别。脂肪瘤病的病灶呈浸润生长,边界不清, 没有包膜;畸胎瘤除脂肪外还含有钙化、骨骼、牙齿等其他成分;脂肪肉瘤除含脂肪组织外,还常有软组织肿块成分。
医学百科网 | YxBaike.Com
医学百科网 | YxBaike.Com
1.病理:胰腺畸胎瘤通常是同时有囊实性成分, 如毛发、牙齿、钙化、软骨和皮肤附属器如毛囊、汗腺及皮脂腺成分等。 医学百科网 | YxBaike.Com
2.影像学诊断:胰腺畸胎瘤的影像学表现也颇具特征性 ,确诊常需要进行CT 或M RI 检查。其影像学表现取决于肿瘤内各种成分的比例,常为多种成分同时出现,如脂肪成分、实质性成分、囊性成分、牙齿、骨骼、钙化等(图11),有时可出现液平面。 医学百科网 | YxBaike.Com
医学百科网 | YxBaike.Com
医学百科网 | YxBaike.Com
1.病理:肿瘤含有上皮和间叶组织成分, 还混杂功能性或无功能性的神经内分泌组织, 肿块内可有囊变。肿块好发于胰头, 周围有坚韧的被膜。
医学百科网 | YxBaike.Com
2.影像学诊断:本病影像学缺乏特征性 , 通常表现为乏血供的实性肿块或复杂的多房性囊性肿块,边界一般较清楚。由于肿瘤体积较大, 因而常被误诊为神经母细胞瘤, 确诊依靠穿刺活检。 医学百科网 | YxBaike.Com
医学百科网 | YxBaike.Com
医学百科网 | YxBaike.Com
1.病理:胰腺神经鞘瘤通常有被膜, 组织学上由两种成分构成:安东尼A 型主要是结构规则的细胞成分;安东尼B 型主要是乏细胞的疏松组织。 医学百科网 | YxBaike.Com
2.影像学诊断:胰腺神经鞘瘤的影像学与其组成密切相关。由安东尼A 型组织或主要由安东尼A 型组织构成的肿瘤表现为肿瘤实性部分明显增强伴中央坏死(图13), 此型肿瘤需与胰岛细胞瘤鉴别。由安东尼B 型或主要由安东尼B 型组织构成的肿瘤常表现为囊性肿块,无明显强化,需与胰腺其他囊性病变鉴别。
医学百科网 | YxBaike.Com
1.病理:肿瘤成分包括纤维母细胞, 施万细胞及一些神经成分, 肿瘤沿着神经广泛浸润。
医学百科网 | YxBaike.Com
2.影像学诊断:胰腺神经纤维瘤常由腹腔神经干向胰腺内蔓延, 肿块密度较低而均匀, CT 值20 ~ 25Hu , T1WI 上呈中度偏低信号强度, T 2WI 上呈高信号强度。增强扫描肿块轻度强化。胰腺神经纤维瘤的影像学表现缺乏特征性, 结合腹部其他部位病变特别是显示病变与腹腔神经干病变相延续, 以及神经纤维瘤病的其他表现有助于诊断。
1.病理:病变可在胰腺内弥漫浸润或在局部形成肿块, 肿瘤细胞呈圆形,胞质稀少,体现出肉瘤的特点。 医学百科网 | YxBaike.Com
2.影像学诊断:胰腺淋巴瘤在影像学上两种表现形式 :(1)病变弥漫侵润, 表现为胰腺增大;(2)胰腺内边界清晰的限局性的肿块。肿瘤一般均质, 密度低, T 1WI 上信号低于正常胰腺, T 2WI 上信号略高于正常胰腺, 增强扫描示病变乏血供。病变区罕有坏死、出血或钙化。在腹膜后及腹腔内可有肿大淋巴结。部分患者可有胆管扩张。
医学百科网 | YxBaike.Com
影像学诊断:胰腺肉瘤表现多种多样,可表现为均匀实性肿块, 也可表现为不均质的肿块,增强扫描肿块常呈显著的不均匀强化, 周边血供丰富, 中央常有坏死组织。有时胰腺肉瘤与胰腺癌不易鉴别。 医学百科网 | YxBaike.Com
医学百科网 | YxBaike.Com
医学百科网 | YxBaike.Com
1.病理:肉眼观察肿瘤呈棕灰色, 切面可见出血坏死灶。镜下可见病变内有大量具有多个细胞核的巨细胞, 组织化学分析显示该种细胞与酸性磷酸酶有强烈反应。肿块周围胰腺组织坏死, 有大量炎性细胞浸润。 医学百科网 | YxBaike.Com
2.影像学诊断:消化道造影可见肿瘤引起的腔外压迹, 超声、C T 或M RI 可显示胰腺肿块, 密度或信号不均匀, 增强扫描有不规则强化。胰管、胆管可有扩张 。本病影像学表现缺乏特征性, 确诊依靠穿刺活检或手术探查。
医学百科网 | YxBaike.Com
医学百科网 | YxBaike.Com
医学百科网 | YxBaike.Com
影像学诊断:腺鳞癌可发生于胰腺任何部位, 胰头发生率略高, 肿块边界清晰, 周围轻度强化, 中心可见囊性低密度影 。病变容易侵犯门静脉和肠系膜。腺鳞癌在影像学上与胰腺腺癌难以鉴别。
医学百科网 | YxBaike.Com
医学百科网 | YxBaike.Com
医学百科网 | YxBaike.Com
医学百科网 | YxBaike.Com
附件列表
词条内容仅供参考,如果您需要解决具体问题,请遵医嘱或咨询医师。
本站词条内容如果涉嫌侵权,请与客服联系,我们将及时进行处理。如需转载,请注明来源于www.yxbaike.com
如果您认为本词条还有待完善,请 编辑
