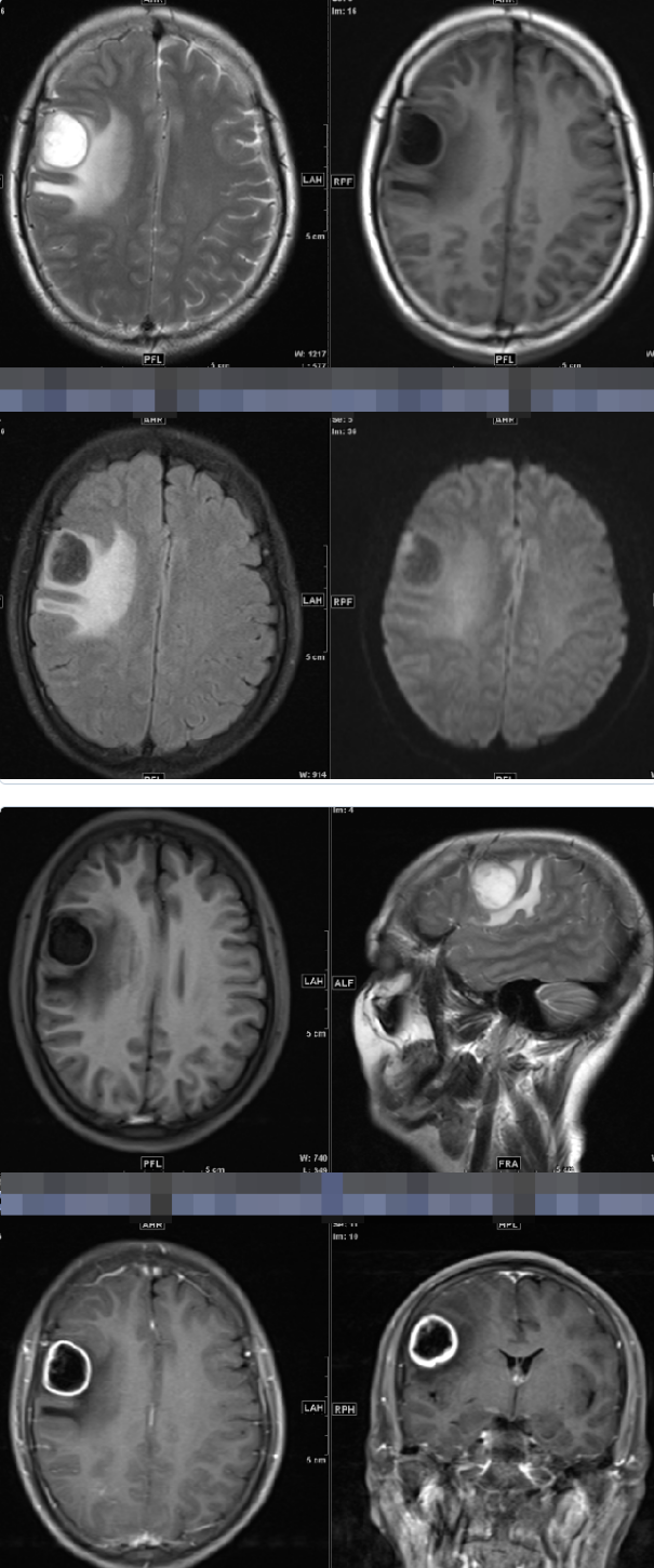
幕上囊性占位—间变性星形细胞瘤1例MR
女性,52岁,间断性流涎1周。 医学百科网 | YxBaike.Com
医学百科网 | YxBaike.Com
医学百科网 | YxBaike.Com
医学百科网 | YxBaike.Com
附件列表
词条内容仅供参考,如果您需要解决具体问题,请遵医嘱或咨询医师。
本站词条内容如果涉嫌侵权,请与客服联系,我们将及时进行处理。如需转载,请注明来源于www.yxbaike.com
如果您认为本词条还有待完善,请 编辑
上一篇 肠壁海绵状淋巴管瘤伴套叠1例CT 下一篇 新发和再发传染病神经影像学表现
