腔隙性脑梗死
腔隙性脑梗死(lacunar infarction)是常见的脑血管疾病之一。是持续性高血压、小动脉硬化引起的一种特殊类型的脑血管病。是以病理诊断而命名的,系新鲜或陈旧性脑深部小梗死的总称。腔隙直径多为2~15mm,一般认为15~20mm是腔隙的最大限度。 医学百科网 | YxBaike.Com
过去,临床上很难做出腔隙性脑梗死的诊断,只有在病理检查时,才能明确腔隙性脑梗死的病变。这是一种严重危害中老年人身体健康的疾病。单纯依靠神经系统检查以及脑电图、脑血管造影和脑脊液检查,临床无法确诊。因此,过去由于很多腔隙性脑梗死患者没有表现出局灶体征,甚至完全没有症状,所以很难诊断。CT和MRI等神经影像学的广泛应用使本病临床诊断已无困难。另外,PET检查能较早地发现局部脑组织处于脑的功能、代谢改变状态时的变化,所以当PET应用于脑检查时,腔隙性脑梗死的发现率可能会更高。
脑深部白质及脑干穿通动脉病变和闭塞后,导致缺血性微梗死,脑组织缺血、坏死和液化,可引起多个大小不同的脑软化灶,以后被巨噬细胞移走而留下不规则的大大小小的腔隙。因梗死的血管不同,常表现不同的神经系统症状,临床上最常见的是头痛、头晕、失眠、健忘、肢体麻木、动作失调、构音障碍-手笨拙综合征,严重时可发生痴呆、偏瘫、失语等。 医学百科网 | YxBaike.Com
1965年Fisher等通过临床病理观察对本病的临床症状等作了详尽描述,国内由杨露春等于1984年首先报道。因其病因、临床表现、治疗、预后等都有一定的特殊性,正愈来愈受到临床工作者的重视。
医学百科网 | YxBaike.Com
(一)发病原因
本病的病因不完全清楚。与病因相关因素有:①最常见为高血压导致小动脉及微小动脉壁脂质透明变性,管腔闭塞产生腔隙性病变;有资料认为,单一腔隙病灶与高血压无显著相关性,舒张压增高是多发性腔隙性梗死的主要原因;②大脑中动脉和基底动脉粥样硬化及形成小血栓阻塞深穿支动脉可导致腔隙性梗死;③血流动力学异常如血压突然下降使已严重狭窄动脉远端血流明显减少而形成微小梗死;④各类小栓子如红细胞、纤维蛋白、胆固醇、空气及动脉粥样硬化斑等阻塞小动脉,有报道在视网膜动脉(50~150μm)和脑小动脉发现栓子,颈动脉系统颅外段动脉粥样硬化斑块脱落是微栓子最常见来源,心脏病和真菌性动脉瘤也是栓子可能来源;⑤血液异常如红细胞增多症、血小板增多症和高凝状态等也可能对发病起作用。
医学百科网 | YxBaike.Com
(二)发病机制
1.危险因素 腔隙性脑梗死的发生机制复杂,有不少问题需要研究。为预防腔隙性脑梗死,需要明确腔隙性脑梗死的危险因素。一般认为高血压、高龄、糖尿病、脑动脉粥样硬化、高血脂、吸烟、冠心病等都是腔隙性脑梗死的重要危险因素,其中高血压与腔隙梗死的并发率最高。 医学百科网 | YxBaike.Com
(1)高血压:高血压是引起腔隙性脑梗死的直接和重要原因。在高血压作用下,使动脉管壁发生脂质透明变性、纤维蛋白坏死、微动脉粥样瘤等容易形成腔隙性脑梗死,其中最重要的是脂质透明样变引起腔隙性梗死。Fisher认为腔隙性脑梗死患者90%伴发高血压。国内资料报道在66.8%~82.4%。 医学百科网 | YxBaike.Com
(2)年龄:60岁以上的老年人腔隙性脑梗死发病率明显高于年轻人,尤其伴有高血压的老年人,发病率更高。有学者认为45岁以上,年龄每增加10岁,其腔隙性脑梗死的危险性增加约1倍。
医学百科网 | YxBaike.Com
(3)栓子栓塞:心脏病伴有房颤、颈动脉粥样硬化的栓子脱落等,因脑部血液循环丰富,栓子容易随血流造成脑深部的腔隙性梗死。据报道约有33%的脑深部腔隙性梗死患者,其病因来源于心脏病或颈动脉粥样硬化的栓子栓塞。
(4)糖尿病和高脂血症:糖尿病可引起脂质代谢障碍,促进和加速小动脉粥样硬化。同时,糖尿病常合并高脂血症,使血液黏稠度增加、血流缓慢、血小板功能及体内抗凝血作用异常。一般认为糖尿病引起的毛细血管病变及血液高凝状态是腔隙性脑梗死的独立危险因素。 医学百科网 | YxBaike.Com
(5)短暂性脑缺血发作:可能是腔隙性脑梗死有力的预报因素,约28.95%的脑梗死患者于发病前1~5年有发生短暂性脑缺血发作的历史。
(6)心脏病:各种心脏病、心脏瓣膜病伴发心律失常或心衰致心排血量减少,或栓子脱落,都可引起脑血管病发作的可能。
医学百科网 | YxBaike.Com
(7)其他:
①某些动脉炎、非血管的栓子也有造成腔隙性脑梗死的可能。
②不良生活习惯:如吸烟、酗酒等。
③颈椎病:颈椎退行性变致椎间隙狭窄,神经根和椎动脉受压,使椎-基底动脉供血不足加重,容易导致脑缺血发作。
2.主要病理改变
(1)高血压和脑动脉硬化导致的病理改变:腔隙性脑梗死是一种与高血压病密切相关的脑部小血管病变。Fisher等通过临床病理观察,认为长期高血压,可引起小动脉硬化和透明变性,从而产生血管闭塞。发生病变的血管一般都是脑内主要动脉的分支,如大脑前动脉、大脑中动脉、大脑后动脉和基底动脉的深穿支,这些小动脉直径100~400μm,属脑血管终末支。病变动脉的某些节段发生脂质透明变性、纤维蛋白坏死、血管内膜增厚、纤维素样渗出、呈微小粥样硬化、管腔变窄,继而导致血栓形成或微栓塞,可造成血管闭塞,形成小腔隙软化灶。腔隙病灶一般直径2~15mm,最大不超过20mm。新鲜活动性病灶可见坏死的脑组织和吞噬细胞,小动脉往往呈薄壁或可见再生小血管。坏死部分被清除后,出现规则或不规则的腔隙,其中含有液体、纤细的结缔组织小梁、含脂质或含铁血黄素的吞噬细胞,周边则为致密的纤维胶质。
医学百科网 | YxBaike.Com
(2)腔隙性脑梗死与脑梗死的比率:在脑梗死中,腔隙性脑梗死的发现率为10%~27.8%。Chamorro在1273例脑梗死中发现腔隙性脑梗死337例,占26%,Rothrock发现腔隙性脑梗死在500例脑梗死中占27%,Nadian的212例中,腔隙性脑梗死59例,占27.8%。PET检查能较早地发现局部脑组织处于脑的功能、代谢改变状态时的变化,所以当PET应用于脑检查时,腔隙性脑梗死的发现率可能会更高。
医学百科网 | YxBaike.Com
(3)合并出血:腔隙性脑梗死合并出血的占35%,可能与微小动脉瘤破裂有关,即出血性腔隙综合征。
(4)腔隙性脑梗死好发部位:基底核多见。Fisher报道腔隙分布依次为基底核46.8%、脑干15.7%、丘脑13.8%、放射冠12.2%、白质7.9%、胼胝体1.8%;国内侯玉华等报道基底核61.8%,脑叶15.9%,侧脑室体旁放射冠、半卵圆中心11.5%,丘脑5.1%,脑干及小脑分别为2.5%和3.2%。 医学百科网 | YxBaike.Com
(5)腔隙大小:腔隙一般在0.2~15mm,而大于2cm的腔隙称为巨大腔隙,腔隙灶多为2~3个。
3.高黏滞血症与腔隙性脑梗死 高黏滞血症是一些缺血性脑血管病的病理基础。高黏滞血症可使微循环阻力增高,促使局部血流缓慢、淤滞,使脑组织缺血缺氧,导致不同程度的梗死。血流变学测试,全血比黏度、血浆黏度、血细胞比容、红细胞凝聚和红细胞变形指数升高,可能是影响血流结构及血液流动的重要因素。高血压患者红细胞膜ATP酶活性降低的同时,红细胞几何形态出现异常,并伴有红细胞变形性减低,是腔隙性脑梗死的发病原因之一。
医学百科网 | YxBaike.Com
国内杜俭等在原发性高血压伴脑腔隙性病变患者凝血和纤溶系统失衡的研究中提示,高血压及合并脑内腔隙性病变者,存在血管性假血友病因子水平升高导致的潜在高凝状态;以及因纤溶酶原激活物、纤溶酶原抑制物、纤溶酶原活性改变引起的纤溶系统的紊乱。 医学百科网 | YxBaike.Com
4.遗传与腔隙性脑梗死 近年来,脑血管病相关基因的研究已有多篇报道。马丽媛等在缺血性脑血管病的相关基因的研究中报道,母亲患有脑血管病或短暂性脑缺血发作者,其子代脑血管病发病率是无家族史的2.3倍,母亲脑血管病史是中年男性发生脑血管病的独立危险因素。父亲患有脑出血时,其子代脑血管病发生率明显增高。而郝景华等在糖尿病合并高血压患者血管紧张素转换酶基因多态性的观察研究表明,腔隙性脑梗死发病与Ⅱ型基因密切相关。Ⅱ型基因可能为其遗传标志,并可能成为原发性高血压的预测因子。
医学百科网 | YxBaike.Com
医学百科网 | YxBaike.Com
1.临床特点 一般症状有头晕头痛、肢体麻木、眩晕、记忆力减退、反应迟钝、抽搐、痴呆,无意识障碍,精神症状少见。主要临床体征为舌僵、说话速度减慢,语调语音变化,轻度的中枢性面瘫,偏侧肢体轻瘫或感觉障碍,部分锥体束征阳性,而共济失调者少见。 医学百科网 | YxBaike.Com
2.临床类型 医学百科网 | YxBaike.Com
(1)单纯运动性轻偏瘫(PMH):最常见,占40%~60%。主要特征为客观检查无感觉障碍、视野缺损、失语、失用或失认;而仅有一侧面部和上下肢无力或不完全性瘫痪。病灶可发生在内囊、脑桥、大脑脚、基底节、大脑皮质、放射冠等处。常于2 周内恢复,但易复发。
医学百科网 | YxBaike.Com
(2)纯感觉性卒中(PSS):无肌力障碍、眩晕、复视、失语及视野缺损,而仅有一侧面部及上下肢的偏身感觉障碍。病灶位于丘脑腹后核,通常为大脑后动脉的丘脑穿通支梗死所致。少数病例可由脊髓丘脑束、丘脑皮质束的病灶所致,也可因病灶侵及整个丘脑的外侧及内囊后肢的放射冠而引起。常于数周内恢复。 医学百科网 | YxBaike.Com
(3)感觉运动性卒中(SMS):表现为一侧头面部、躯干及上下肢感觉障碍和面、舌肌及上下肢的轻瘫。无意识障碍、记忆障碍、失语、失认和失用。以往认为此型较少见,国内外文献报告仅次于PMH。其病灶位于丘脑腹后外侧核和内囊后肢,通常由大脑后动脉的丘脑穿通支或脉络膜后动脉闭塞所致。预后良好。
(4)共济失调性轻偏瘫(HAH):表现为病变对侧的轻偏瘫和小脑性共济失调,且下肢重于上肢,有时伴有感觉障碍、眼球震颤、辨距不良、构音障碍、向一侧倾倒。病灶发生在脑桥基底部或内囊,放射冠、小脑等处也可发生。常于数周内恢复。
(5)构音不良-手笨拙综合征(DHS):表现为明显的构音障碍、呐吃、吞咽困难,一侧手轻度无力及精细运动障碍等共济失调,并可伴有同侧中枢性面、舌瘫,反射亢进及病理征阳性,行走时步态不稳,但无感觉障碍。本型病前无TLA,起病急,症状迅速达高峰。病灶位于脑桥基底部的上1/3 和2/3 交界处或内囊最上部分的膝部。
医学百科网 | YxBaike.Com
(6)变异型PMH:PMH 有7 种变异型。
医学百科网 | YxBaike.Com
①合并运动性失语的PMH,病灶位于内囊膝部及前肢、放射冠下部,为供应该区的豆纹动脉闭塞所致。 医学百科网 | YxBaike.Com
②无面瘫的PMH,由椎动脉及其穿通支闭塞所致,起病时可有轻度眩晕及眼球震颤,可伴有舌肌异常麻木及无力,晚期可累及对侧锥体,造成四瘫。
医学百科网 | YxBaike.Com
③合并同侧凝视麻痹的PMH,病灶位于脑桥下部旁正中央,表现为面瘫及上下肢瘫痪,伴一过性同向凝视麻痹和交叉性核间眼肌麻痹(即one-and-a-halfsyndrome),而外展神经功能正常。 医学百科网 | YxBaike.Com
④合并Weber 综合征的PMH,是由大脑脚中部的梗死累及动眼神经纤维所致。
医学百科网 | YxBaike.Com
⑤合并展神经交叉性麻痹的PMH,病灶位于脑桥最下段旁正中区累及同侧的展神经。 医学百科网 | YxBaike.Com
⑥合并精神紊乱的PMH。病灶发生在内囊后肢的前部和后肢,影响了丘脑额叶联系纤维,表现为急性精神错乱、注意力及记忆障碍伴PMH。
⑦表现为闭锁综合征的PMH:是由双侧皮质脊髓束梗死引起的双侧PMH 所致,可见于双侧内囊、脑桥、锥体束或大脑脚的梗死。 医学百科网 | YxBaike.Com
(7)中脑丘脑综合征:通常是大脑后动脉的穿通支丘脑底丘脑旁正中前动脉和后动脉、中脑旁正中上动脉和下动脉等4 支动脉中的1 支或1 支以上阻塞所致。典型的梗死灶呈蝶形,累及双侧中脑旁正中区、丘脑底部和丘脑。临床表现为一侧或双侧动眼神经麻痹、Parinaud 综合征,或垂直性凝视麻痹伴昏睡、意识丧失和记忆障碍。 医学百科网 | YxBaike.Com
(8)基底动脉下部分支综合征:是由于基底动脉下段或椎动脉上段的小分支闭塞,导致下丘脑、脑干被盖部梗死。表现为眩晕、眼球震颤、复视、侧视麻痹、核间性眼肌麻痹、吞咽困难、小脑性共济失调、步态不稳、面肌无力、眼部烧灼感及三叉神经分布区麻木感。 医学百科网 | YxBaike.Com
(9)各种其他类型的综合征:
医学百科网 | YxBaike.Com
①Claud 综合征:合并动眼神经麻痹的小脑性共济失调。 医学百科网 | YxBaike.Com
②半身抽搐,延髓外侧综合征。
医学百科网 | YxBaike.Com
③桥延外侧综合征。
④遗忘症。 医学百科网 | YxBaike.Com
⑤一侧下肢无力跌倒。 医学百科网 | YxBaike.Com
⑥构音障碍,急性丘脑性张力障碍。 医学百科网 | YxBaike.Com
⑦偏身舞蹈症。
⑧丘脑性痴呆。
医学百科网 | YxBaike.Com
⑨假性延脑麻痹。 医学百科网 | YxBaike.Com
⑩假性帕金森氏症。偏瘫伴注视麻痹。纯构音不良。 医学百科网 | YxBaike.Com
(10)腔隙状态:认为腔隙状态不仅仅是基底节或脑桥部多发性梗死所致,更主要的病变为额叶白质的腔隙及其弥漫性不完全软化。临床表现为痴呆、发音障碍、吞咽困难、伸舌张口困难、下颌反射亢进、四肢痉挛、双侧病理征阳性、强哭强笑等假性延髓性麻痹症状及肌肉僵硬、动作缓慢、短小步态等帕金森病症状,小便失禁。 医学百科网 | YxBaike.Com
(11)血管性痴呆:多发性腔隙性脑梗死所致的多发性梗死痴呆(MID)是血管性痴呆中常见类型。有老年者尸检证实,梗死数目越多,痴呆的发生率越高。临床特征包括:①有高血压病、糖尿病、脑动脉硬化等病史;②多数有脑卒中病史;③可查及局灶性和弥漫性神经功能受损的体征;④存在不同程度的智能障碍、记忆力、计算力、定向力障碍,多数病人情感淡漠,缺乏机敏性,但人格相对保存;⑤CT 或MRI 显示大脑深部多发腔梗。
医学百科网 | YxBaike.Com
(12)无症状腔隙梗死:患者头颅CT 或MRI 扫描提示腔隙性脑梗死,但临床上无明显定位性体征和症状。其梗死部位多见于基底节区、内囊区、放射冠,病灶较小,直径小于1.5cm。有部分病变则因其产生的神经功能受损的症状和体征易于被人忽视或缺乏认识而归入此类(例如右侧额顶区梗死导致体象障碍、病觉缺失或偏侧忽视,枕叶梗死导致偏盲或象限盲等)。 医学百科网 | YxBaike.Com
病理上的腔隙为脑实质内含水的小空腔,由腔隙性脑梗死与非腔隙性脑梗死病变所致。根据Fisher 等学者的观点,腔隙性梗死应为缺血性梗死,主要见于深穿通支动脉所供应的基底节区和脑桥基底部,如豆状核、尾状核、丘脑、放射冠、内囊、大脑白质、脑桥等。资料表明,除上述部位多发外,其他部位如小脑、大脑皮质、中脑、大脑脚等也可以发生,尤其是大脑皮质并不少见,其中顶叶最多,其次为颞叶和额叶,枕叶最少。腔隙性脑梗死灶的大小与受累血管的大小有关,最多见于直径为2~5mm 的血管。大多数报道的腔隙性脑梗死的直径为3~15mm,最大可至20mm,可为单发或多发。病灶壁呈不规则形,也有圆形等其他形状。腔内可见纤细的结缔组织索,有些尚裹有纤细的动脉或静脉,依梗死灶的新旧不同,其中含有脂质和含铁血黄素的吞噬细胞的数量也不同,有时可见深穿通动脉或其分支。病变的动脉常有透明样变,肌层、弹性纤维层和外膜由均匀一致的嗜酸性物质取代,管腔变窄或增大。病变以外的动脉伴有弹性纤维断裂、内皮增生,或胶原物质沉着等动脉粥样硬化样改变。
医学百科网 | YxBaike.Com
诊断:
医学百科网 | YxBaike.Com
1.腔隙性脑梗死诊断标准 各家报告的诊断标准不尽相同,但基本采用临床、病理及CT 扫描相结合的方法。中华医学会第四次全国脑血管病会议诊断标准:
(1)发病多由高血压动脉硬化引起,呈急性或亚急性起病。 医学百科网 | YxBaike.Com
(2)多无意识障碍。 医学百科网 | YxBaike.Com
(3)腰穿脑脊液无红细胞。 医学百科网 | YxBaike.Com
(4)临床表现都不严重,较常表现为纯感觉性卒中、纯运动性轻偏瘫、共济失调性轻偏瘫,构音不全-手笨拙综合征或感觉运动性卒中等。 医学百科网 | YxBaike.Com
(5)如有条件时进行CT 检查,以明确诊断。 医学百科网 | YxBaike.Com
2.血管性痴呆 多梗死痴呆为血管性痴呆的一类,腔隙性脑梗死是其重要的病理改变。临床表现特征为:突然起病、阶梯性恶化,波动性病程,夜间意识混乱,人格相对保存,情感脆弱,强哭强笑,常有高血压、心脏病及卒中病史,合并有动脉粥样硬化征象,有神经系统局灶性受损的症状和体征,CT 或MRI 显示脑内有多发的梗死灶和(或)脑萎缩。中华医学会全国第四次脑血管病学术会议(1995 年于成都)的诊断标准为: 医学百科网 | YxBaike.Com
(1)符合《精神病诊断和统计手册》诊断痴呆标准。 医学百科网 | YxBaike.Com
(2)急性或亚急性发病的神经系统症状和体征。
(3)既往有脑卒中发病史。 医学百科网 | YxBaike.Com
(4)病程波动,呈阶梯性进展。 医学百科网 | YxBaike.Com
(5)常合并有高血压、糖尿病、冠心病、高脂血症等。
(6)Hachinski 缺血量表记分≥7 分。
医学百科网 | YxBaike.Com
(7)CT 及MRI 证实脑内多灶性皮质或皮质下缺血改变。 医学百科网 | YxBaike.Com
1.心电图、血压监测。 医学百科网 | YxBaike.Com
2.脑电图 血管性痴呆病人脑电图基本表现为弥漫性低波幅慢波,即以广泛的θ或δ波为背景,呈现明显局灶性或不对称性慢波。少数病例有周期性尖慢波融合。脑电图改变不能区分血管性痴呆的类型。腔隙性脑梗死病灶的大小与脑电图的异常率有关,如病灶为1.5~3mm 者45%有异常,如小于1.5mm 则65%脑电图正常。 医学百科网 | YxBaike.Com
3.脑血流图及多普勒超声检查 脑血流图改变主要是血管壁弹性及血流量下降,异常率很高。经颅多普勒超声检查不仅能准确测定血管狭窄的程度,而且可以动态探察血栓的大小、多少及流动状态。 医学百科网 | YxBaike.Com
4.诱发电位 医学百科网 | YxBaike.Com
(1)体感诱发电位(SEP):SEP 的异常与病灶的位置有关。如内囊病变大多为N20 波幅降低或消失,亦可见P22、N30 波幅降低,以及晚成分N63 异常;顶叶病变可见P27、P25 波幅降低;丘脑病变P15、N20、P25 波幅缺失及N20 峰潜伏期(PL)延长;延髓病变N13、P14 波幅降低。血管性痴呆的SEP 主要是峰间潜伏期(IPL)延长,相当于中枢传导时间(CT)延长,当白质病变广泛时,更为显著。借此可以和老年性痴呆鉴别,后者SEP 测定大都正常。
医学百科网 | YxBaike.Com
(2)脑干听觉诱发电位(BAEP):由于BAEP 记录的电位活动发生源在脑干,因此脑血管疾病的BAEP 多着重于检测椎基底动脉系统。BAEP 异常与病灶部位的关系为影响到第Ⅷ脑神经及耳蜗循环,BAEP 各波均不能引出;脑桥下段累及双耳蜗核病变仅见Ⅰ波;脑桥下段被盖部病变,BAEPⅢ波及其以后诸波异常;脑桥上段病变,Ⅳ、Ⅴ波异常;一侧脑桥与中脑交界部病变,同侧Ⅴ波消失,对侧BAEP正常。 医学百科网 | YxBaike.Com
(3)事件相关电位(event-ralated potentials,ERPs):多发性腔隙性脑梗死患者ERPs 检查时,其P300 潜伏期较对照组明显延长。然而P300 潜伏期的改变与正常对照组无明显差别,报道的结论尚不统一。一组统计资料显示患者P300 潜伏期与其梗死病灶的多少无显著性相关关系;而与CT 影像上脑室的扩大或脑室周边组织密度(辉度)下降的程度密切相关;并与Hasegawa 痴呆量表所测的智力积分呈明显的负相关。 医学百科网 | YxBaike.Com
(4)视觉诱发电位(VEP):枕叶的腔隙性梗死不产生VEP 的P100 潜伏期改变。 医学百科网 | YxBaike.Com
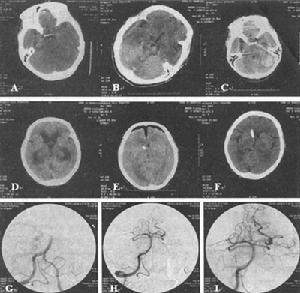
5.头颅CT 扫描(CT) 临床表现为腔隙性脑梗死的患者,CT 见有腔隙性梗死灶者占66%~76%。CT 对幕上>5mm 的腔隙病灶易于发现,而对<5mm 或位于脑干的病灶常难以检出。Rascal 等报道单纯运动性轻偏瘫综合征者,病后36h 检查阳性率高达97%。一般病后10 天左右更易出现阳性改变。 医学百科网 | YxBaike.Com
(1)非增强扫描:病灶主要位于基底节区、丘脑、内囊、脑干或放射冠、侧脑室旁,呈圆形或椭圆形低密度灶,边界清楚、直径2~20mm,占位效应轻,一般仅为相邻脑室受压,多无中线结构移位。梗死区密度约于4 周后接近脑脊液密度,并呈现萎缩性改变,即同侧侧脑室和(或)邻近脑池、脑沟局限性扩大,中线结构可有轻度的同侧移位。
医学百科网 | YxBaike.Com
(2)增强扫描:梗死后3 天~1 个月,病灶可呈均匀或斑片状强化,以2~3周时此效应最为明显。待病灶密度与脑脊液密度相等时则不再强化。
医学百科网 | YxBaike.Com
(3)多发性梗死痴呆的CT 扫描征象:①脑皮质或皮质下多发的大小不一的低密度梗死灶,主要分布于基底节区及额、颞、枕叶皮质区。②大部分病例可呈脑萎缩改变,即脑室或脑沟扩大,脑皮质、髓质萎缩。③可伴有Binswanger 病(皮质下动脉硬化性白质脑病,SAE)CT 影像特征:脑室周围及半卵圆中心白质内的大致对称性低密度影,呈月晕状或伞状,边缘模糊,多位于侧脑室前方或后方。灰/白质密度比值增加。 医学百科网 | YxBaike.Com
6.磁共振(MRI) MRI 对腔隙性脑梗死的检出率明显优于头颅CT 扫描,尤其对脑干及小脑内的腔梗病灶。病后72h,75%患者的MRI 可显示≤15mm 的腔隙性病灶,5 天内其检出阳性率可达92%。急性期腔梗病灶在MRI 的影像特点为T1信号减低、T2 信号增高,其中以T2 信号增高改变更为敏感。
医学百科网 | YxBaike.Com
7.磁共振血管造影(MRA) MRA 可提供清晰的颈动脉、椎动脉图像,快速检测血管阻塞情况,但未广泛用于急性脑梗死的诊断。若条件许可,对脑血管病高危人群应考虑选择此项检查。
医学百科网 | YxBaike.Com
8.单光子发射断层X 线扫描(SPECT) 利用此项技术,根据脑组织不同部位的放射性物质摄取梯度,可检测区域脑血流量(rCBF)改变。一般卒中发生后,rCBF灌注发生严重障碍,因而梗死后24h 内,SPECT 即可发现。SPECT-rCBF 显像是鉴别Alzheimer 病与MID 的良好手段。Alzheimer 病表现为颞、顶、枕、额区放射性分布对称性减少,其中尤以颞、顶、额区为著;MID则呈大脑皮质内散发的或斑片状的多发性血流灌注缺损区。
9.正电子发射断层X 线扫描(PET) 此项检查可反映脑组织血流量、葡萄糖代谢及氧代谢(CMRO2)变化。腔隙性梗死患者经PET 检测,上述各指标无显著改变。但发现位于内囊25mm 小梗死病灶邻近的组织及病灶对侧小脑半球CBF 和CMRO2 有明显减少。后者提示腔隙梗死时PET 的异常不仅与病灶的大小而且与病灶的部位有关。经改进的PET 检查技术能分辨12mm 及皮质下结构的病理生理改变。
10.痴呆者认知功能的检查 简单的临床检查包括交谈与量表检测。常用的有以下几种:①智力状态检查:包括简易智力状态检查(MMSE)、Blessed 痴呆量呈(BDS)和长谷川痴呆量表(HDS)(表1)。②日常生活和社会能力评定:包括日常生活活动量表(ADL)和Pfeffer 的功能活动调查表(POD)。③神经心理测验:包括以检查记忆和学习能力为主的Fuld 物体记忆测验(FOM)、检查言语功能的快速词汇测验(RVR)、评定注意/即刻记忆的数字广度测验(DS)及检查构造和图形识别功能的WISC 积木测验(BD)等。
1.急性期治疗原则 ①超早期治疗:首先使公众提高脑卒中的急症和急救意识,了解超早期治疗的重要性和必要性,发病后立即就诊,力争在3~6h 治疗时间窗内溶栓治疗,并降低脑代谢、控制脑水肿及保护脑细胞,挽救缺血半暗带;②个体化治疗:根据病人年龄、缺血性卒中类型、病情程度和基础疾病等采取最适当的治疗;③防治并发症如感染、脑心综合征、下丘脑损伤、卒中后焦虑或抑郁症、抗利尿激素分泌异常综合征和多器官衰竭等;④整体化治疗:采取支持疗法、对症治疗和早期康复治疗;对卒中危险因素如高血压、糖尿病和心脏病等及时采取预防性干预,减少复发率和降低病残率。 医学百科网 | YxBaike.Com
2.治疗方法
医学百科网 | YxBaike.Com
(1)对症治疗:包括维持生命功能和处理并发症。 医学百科网 | YxBaike.Com
①缺血性卒中后血压升高通常不需紧急处理,病后24~48h 收缩压>220mmHg、舒张压>120mmHg 或平均动脉压>130mmHg 时可用降压药,如卡托普利(captopril)6.25~12.5mg 含服;切忌过度降压使脑灌注压降低,导致脑缺血加剧;血压过高(舒张压>140mmHg)可用硝普钠0.5~10μg/(kg?min),维持血压在170~180/95~100mmHg 水平。
医学百科网 | YxBaike.Com
②意识障碍和呼吸道感染者宜选用适当抗生素控制感染,保持呼吸道通畅、吸氧和防治肺炎,预防尿路感染和褥疮等。
③发病后48h~5 天为脑水肿高峰期,可根据临床观察或颅内压监测用20%甘露醇250ml,静脉滴注,每6~8 小时1 次;或呋塞米(速尿)40mg 静脉注射,2 次/d;10%人血白蛋白50ml,静脉滴注;脱水剂用量过大、持续时间过长易出现严重不良反应,如肾损害、水电解质紊乱等。
医学百科网 | YxBaike.Com
④卧床病人可用肝素钙(低分子肝素)4000U 皮下注射,1~2 次/d,预防肺栓塞和深静脉血栓形成。 医学百科网 | YxBaike.Com
⑤发病3 天内进行心电监护,预防致死性心律失常(室速和室颤等)和猝死,必要时可给予钙拮抗药、β-受体阻滞药治疗。 医学百科网 | YxBaike.Com
⑥血糖水平宜控制在6~9mmol/L,过高或过低均会加重缺血性脑损伤,如>10mmol/L 宜给予胰岛素治疗,并注意维持水电解质平衡。
⑦及时控制癫痫发作,处理病人卒中后抑郁或焦虑障碍。
(2)超早期溶栓治疗:可能恢复梗死区血流灌注,减轻神经元损伤,挽救缺血半暗带。
①静脉溶栓疗法:
A.常用溶栓药物包括:尿激酶(UK):50 万~150 万U 加入0.9%生理盐水100ml,在1h 内静脉滴注;阿替普酶(重组组织型纤溶酶原激活物):一次用量0.9mg/kg,最大剂量<90mg;10%的剂量先予静脉推注,其余剂量在约60min 持续静脉滴注。
医学百科网 | YxBaike.Com
阿替普酶(rt-PA)是位于人类8 号染色体(8p12)的丝氨酸蛋白酶,可催化纤溶酶原变为纤溶酶,具有溶解脑血栓所含纤维蛋白凝块的能力;临床对照研究提示,出现症状3h 内阿替普酶(rt-PA)静脉注射可降低缺血性卒中病残率和死亡率,但价格昂贵限制了应用。使用阿替普酶(rt-PA)最初24h 内不能再用抗凝剂和抗血小板药,24h 后CT 显示无出血,可用抗凝和抗血小板治疗。卒中病人接受尿激酶(UK)和阿替普酶(rt-PA)溶栓治疗必须在具有确诊卒中和处理出血并发症能力的医院进行。不推荐用链激酶(SK)静脉溶栓,易引起出血。用药过程中出现严重头痛、呕吐和血压急骤升高时,应立即停用尿激酶(UK)或阿替普酶(rt-PA)并进行CT 检查。 医学百科网 | YxBaike.Com
B.溶栓适应证:急性缺血性卒中,无昏迷;发病3h 内,在MRI 指导下可延长至6h;年龄≥18 岁; CT 未显示低密度病灶,已排除颅内出血;患者本人或家属同意。 医学百科网 | YxBaike.Com
C.绝对禁忌证:TCIA 单次发作或迅速好转的卒中以及症状轻微者;病史和体检符合蛛网膜下隙出血;两次降压治疗后Bp 仍>185/110mmHg;CT 检查发现出血、脑水肿、占位效应、肿瘤和动静脉畸形;患者14 天内做过大手术或有创伤,7 天内做过动脉穿刺,有活动性内出血等;正在应用抗凝剂或卒中前48h 曾用肝素治疗;病史有血液疾病、出血素质、凝血障碍或使用抗凝药物史。 医学百科网 | YxBaike.Com
D.溶栓并发症:梗死灶继发出血:尿激酶(UK)是非选择性纤维蛋白溶解剂,激活血栓及血浆内纤溶酶原,有诱发出血潜在风险,用药后应监测凝血时及凝血酶原时间;溶栓也可导致致命的再灌注损伤和脑水肿;溶栓再闭塞率高达10%~20%,机制不清。
②动脉溶栓疗法:作为卒中紧急治疗,可在DSA 直视下进行超选择介入动脉溶栓。尿激酶动脉溶栓合用小剂量肝素静脉滴注,可能对出现症状3~6/h 的大脑中动脉分布区卒中病人有益。
(3)脑保护治疗:多种脑保护剂被建议应用,在缺血瀑布启动前用药,可通过降低脑代谢、干预缺血引发细胞毒性机制、减轻缺血性脑损伤。包括自由基清除剂(过氧化物歧化酶、巴比妥盐、维生素E 和维生素C、21-氨基类固醇等),以及阿片受体阻断药纳洛酮、电压门控性钙通道阻断药、兴奋性氨基酸受体阻断药和镁离子等。
(4)抗凝治疗:在大多数完全性卒中病例未显示有效,似乎不能影响已发生的卒中过程。为防止血栓扩展、进展性卒中、溶栓治疗后再闭塞等可以短期应用。常用药物包括肝素、肝素钙(低分子肝素)及华法林等。治疗期间应监测凝血时间和凝血酶原时间,须备有维生素K、硫酸鱼精蛋白等拮抗药,处理可能的出血并发症。 医学百科网 | YxBaike.Com
(5)降纤治疗:通过降解血中冻干人纤维蛋白原、增强纤溶系统活性以抑制血栓形成。可选择的药物包括巴曲酶(Batroxobin)、去纤酶(降纤酶)、安克洛酶(Ancrod)蚓激酶等,巴曲酶首剂10BU,以后隔天5BU,静脉注射,共3~4次,安全性较好。
医学百科网 | YxBaike.Com
(6)抗血小板治疗:大规模、多中心随机对照临床试验显示,未选择的急性脑梗死病人发病48h 内用阿司匹林100~300mg/d,可降低死亡率和复发率,推荐应用。但溶栓或抗凝治疗时不要同时应用,可增加出血风险。抗血小板聚集剂如噻氯匹定(ticlopidine)、氯吡格雷(clopidogrel)等也可应用。 医学百科网 | YxBaike.Com
(7)有条件的医院应组建卒中单元(stroke unit,SU):SU 由多科医师、护士和治疗师参与,经过专业培训,将卒中的急救、治疗、护理及康复等有机地融为一体,使病人得到及时、规范的诊断和治疗,有效降低病死率和致残率,改进患者预后,提高生活质量,缩短住院时间和减少花费,有利于出院后管理和社区治疗。中、重度脑卒中,如大面积脑梗死、小脑梗死、椎-基底动脉主干梗死及病情不稳定脑梗死病人均应进入SU 治疗。 医学百科网 | YxBaike.Com
(8)脑梗死急性期不宜使用或慎用血管扩张药:因缺血区血管呈麻痹及过度灌流状态,可导致脑内盗血和加重脑水肿。脑卒中急性期不宜使用脑细胞营养剂脑蛋白水解物(脑活素)等,可使缺血缺氧脑细胞耗氧增加,加重脑细胞损伤,宜在脑卒中亚急性期(2~4 周)使用。中药制剂,如银杏制剂、川芎嗪、三七粉(三七)、葛根素(葛根)、丹参和水蛭素等均有活血化瘀作用;应进行大规模、多中心、随机对照临床试验和Meta 分析,提供有效的有力证据。
医学百科网 | YxBaike.Com
(9)外科治疗:幕上大面积脑梗死有严重脑水肿、占位效应和脑疝形成征象者,可行开颅减压术;小脑梗死使脑干受压导致病情恶化的病人通过抽吸梗死小脑组织和后颅窝减压术可以挽救生命。 医学百科网 | YxBaike.Com
(10)康复治疗:应早期进行,并遵循个体化原则,制定短期和长期治疗计划,分阶段、因地制宜地选择治疗方法,对病人进行针对性体能和技能训练,降低致残率,增进神经功能恢复,提高生活质量和重返社会。
医学百科网 | YxBaike.Com
预后: 医学百科网 | YxBaike.Com
脑梗死比脑出血的病死率低而致残率高。随年龄增长病死率明显上升,平均病死率为25%左右(10%~47%)。常见死因是脑疝、多脏器衰竭、继发感染及心肺功能不全。幸存者中病残率亦较高,20%的幸存者在1~2 年内再次复发。
预防:
医学百科网 | YxBaike.Com
1.预防性治疗 对有明确的缺血性卒中危险因素,如高血压、糖尿病、心房纤颤和颈动脉狭窄等应尽早进行预防性治疗。抗血小板药阿司匹林50~100mg/d、噻氯匹定250mg/d,对脑卒中二级预防有肯定效果,推荐应用;长期用药中要有间断期,出血倾向者慎用。 医学百科网 | YxBaike.Com
2.针对可能的病因积极预防
(1)对于高血压患者,应将血压控制在一个合理水平。因为血压过高,易使脑内微血管瘤及粥样硬化的小动脉破裂出血;而血压过低,脑供血不全,微循环淤滞时,易形成脑梗死。所以应防止引起血压急骤降低,脑血流缓慢,血黏度增加,以及血凝固性增高的各种因素。 医学百科网 | YxBaike.Com
(2)积极治疗短暂性脑缺血发作。 医学百科网 | YxBaike.Com
(3)讲究精神心理卫生,许多脑梗死的发作,都与情绪激动有关。
医学百科网 | YxBaike.Com
(4)注意改变不良生活习惯,适度的体育活动有益健康。避免不良嗜好如吸烟、酗酒、暴饮、暴食。要以低脂肪低热量,低盐饮食为主,并要有足够优质的蛋白质、维生素、纤维素及微量元素。饮食过饱不利于健康,霉变的食品、咸鱼、冷食品,均不符合食品卫生的要求,要禁食。 医学百科网 | YxBaike.Com
(5)当气温骤变,气压、温度明显变化时,由于中老年人特别是体弱多病者,多半不适应而患病,尤其是严寒和盛夏时老年人适应能力差,免疫能力降低,发病率及死亡率均比平时高,所以要特别小心。
(6)及时注意脑血管病的先兆,如突发的一侧面部或上、下肢突然感到麻木,软弱乏力,嘴歪,流口水;突然感到眩晕,摇晃不定;短暂的意识不清或嗜睡等。
医学百科网 | YxBaike.Com
| 老年人酒精性心脏病 | 老年人恶性心包积液 |
| 老年人肺性脑病 | 老年人黏液性瓣膜病 |
| 老年人梅毒性心脏病 | 老年人心脑综合征 |
医学百科网 | YxBaike.Com
[1] 火罐网 http://www.huoguan.com/disease/d1_d7/42309/index.html
附件列表
词条内容仅供参考,如果您需要解决具体问题,请遵医嘱或咨询医师。
本站词条内容如果涉嫌侵权,请与客服联系,我们将及时进行处理。如需转载,请注明来源于www.yxbaike.com
如果您认为本词条还有待完善,请 编辑
上一篇 病毒性心肌炎 下一篇 DIEULAFOY病








