肺不典型类癌1例CT影像讨论
医学百科网 | YxBaike.Com
医学百科网 | YxBaike.Com
医学百科网 | YxBaike.Com
医学百科网 | YxBaike.Com
医学百科网 | YxBaike.Com
医学百科网 | YxBaike.Com
医学百科网 | YxBaike.Com
医学百科网 | YxBaike.Com
医学百科网 | YxBaike.Com
医学百科网 | YxBaike.Com
医学百科网 | YxBaike.Com
医学百科网 | YxBaike.Com
医学百科网 | YxBaike.Com
医学百科网 | YxBaike.Com
医学百科网 | YxBaike.Com
医学百科网 | YxBaike.Com
医学百科网 | YxBaike.Com
医学百科网 | YxBaike.Com
医学百科网 | YxBaike.Com
医学百科网 | YxBaike.Com
医学百科网 | YxBaike.Com
医学百科网 | YxBaike.Com
医学百科网 | YxBaike.Com
医学百科网 | YxBaike.Com
医学百科网 | YxBaike.Com
医学百科网 | YxBaike.Com
医学百科网 | YxBaike.Com
医学百科网 | YxBaike.Com
医学百科网 | YxBaike.Com
微信群内讨论
张小兵
医学百科网 | YxBaike.Com
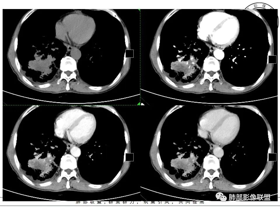
右下肺外后基底段不规则实变,其周散在GG0,边界清楚,病灶由外朝内蔓延,包埋相应支气管,整体体积未见减小,坏死区不彻底较模糊,其间可见穿行血管受侵僵直、弯曲,纵隔及右肺门淋巴结肿大融合坏死,老年男性,慢性病程,反复咳嗽,抗炎效果不佳,考虑恶性肿瘤,以低分化腺癌可能。| 医学百科网 | YxBaike.Com
若尘
医学百科网 | YxBaike.Com
右肺下叶不规则肿块,周围大片状磨玻璃,支气管远端堵塞,见条形粘液栓低密度影,增强扫描不均匀强化,血管造影征,粘液栓延迟强化,右肺门、纵隔淋巴结肿大融合,环形强化,边界清,右中间段、中下叶支气管狭窄,右下肺静脉细小;老年男性,慢性病程,肺气肿背景,吸烟史,抗感染治疗效果不佳,考虑恶性,小细胞肺癌?低分化腺癌?肺内病灶与右肺门、纵隔淋巴结强化不符合,还需与结核鉴别,不排外2元论! 医学百科网 | YxBaike.Com
水晶石头
患者老年男性,反复咳嗽半年余。抗感染治疗效果欠佳。胸部CT:右肺下叶大片实变占位影,沿支气管走行,形态不规则,密度不均,其内可见低密度粘液栓,血管造影征,肺门侧支气管血管束增粗,支气管管腔狭窄,支气管进入病灶堵塞,胸膜牵拉,周围大片磨玻璃影,小叶间隔增厚,斜裂多发结节,胸膜不规则增厚,胸腔少量积液,纵膈多发淋巴结肿大并融合,且内见低密度区,环形强化,综合考虑恶性病变,腺癌可能性大。鉴别结核。 医学百科网 | YxBaike.Com
一切∮随缘 医学百科网 | YxBaike.Com
双肺胸膜下肺气肿,右肺肺门及中下叶肿块,形态不规则中叶病灶包绕支气管生长,支气管略狭窄,下叶支气管似有堵塞,病变内密度不均匀,平扫可见低密度坏死,增强后可见环形不均匀强化,有血管穿行,病灶边缘彭隆,分叶、毛刺,牵拉胸膜,胸膜下有少量胸水,胸膜不光滑,有结节感,纵隔淋巴结肿大并环形不均匀强化,中年男性,有大量吸烟史,考虑恶性:小细胞癌,鳞癌,鉴别放线菌
冬瓜 医学百科网 | YxBaike.Com
非常纠结,老年男性,吸烟史,右肺下叶病变,有肿块,深分叶,内部坏死,粘液,支气管扩张,看着像炎性可能,结核?放线菌?但是病变周围小叶间隔增厚,蜂窝,纵隔及肺门多发淋巴结肿大伴环形强化,恶性考虑,低分化腺癌,癌肉瘤,综合考虑恶性,炎性鉴别 医学百科网 | YxBaike.Com
摘星空竹子
医学百科网 | YxBaike.Com
右肺下叶后基底段不规则软组织肿块,呈轻度膨胀改变,边缘可见蠕虫样凸起,肿块沿支气管向肺门侵犯,致右肺下叶支气管开口变窄,周围见软组织肿块,纵隔多组淋巴结肿大,增强扫描肿块不均匀强化呈“沼泽样”改变,其内穿行血管变细,肺门及纵隔呈“冰冻样”改变,综上所述符合小细胞肺癌影像学表现。 医学百科网 | YxBaike.Com
361度
医学百科网 | YxBaike.Com
老年男性,以咳嗽半年为主诉,曾给予抗感染治疗效果欠佳。胸部影像示纵隔及右肺门淋巴结肿大,右肺下叶占位性病变,并周围大片状磨玻璃影。增强扫描纵隔淋巴结呈环形强化,内部坏死明显边界清楚,淋巴结粘连融合。右肺下叶肿块增强扫描内部坏死明显,支气管远端截断,延迟强化。考虑慢性感染性疾病,如放线菌,奴卡菌。与腺癌并转移鉴别。
王秀仙 医学百科网 | YxBaike.Com
右肺下叶大片实变影,沿支气管走行,形态不规则,密度不均,其内可见低密度粘液栓,血管造影征,肺门侧支气管血管束增粗,支气管管腔狭窄,支气管进入病灶阻塞,胸膜牵拉,周围大片磨玻璃影,小叶间隔增厚,斜裂多发结节,胸膜不规则增厚,胸腔少量积液,纵膈多发淋巴结肿大并融合,环形强化,肺气肿背景,胸膜下多发肺大泡,考虑肺炎型肺癌。鉴别结核。 医学百科网 | YxBaike.Com
景俊峰 医学百科网 | YxBaike.Com
老年男性,吸烟,肺气肿背景。右肺门及下叶不规则肿物,内部沼泽样强化,血管包埋挤压,纵隔淋巴结肿大融合,周围脂肪间隙显示。考虑小细胞肺癌。 医学百科网 | YxBaike.Com
小鱼 医学百科网 | YxBaike.Com
低分化腺癌,鉴别结核 医学百科网 | YxBaike.Com
THINKER
医学百科网 | YxBaike.Com
锁定腺癌,鉴别TB 医学百科网 | YxBaike.Com
王志远 医学百科网 | YxBaike.Com
小细胞肺癌 医学百科网 | YxBaike.Com
尘缘: 医学百科网 | YxBaike.Com
老年男性,反复咳嗽半年,体重下降20公斤。吸烟指数2000(50×40), 影像表现:肺气肿背景,右肺下叶斑片状实变影,内部支气管部分扭曲稍扩张,周围广泛小叶间隔增厚伴结节状改变,中间部分小叶间内间隔增厚,呈细网格征,远端阻塞形成空气潴瘤征,增强后呈斑片状不规则坏死,少部分血管破坏,多数血管走行较好。纵隔内淋巴结广泛肿大,坏死,呈环状稍强化,部分呈薄环状改变,部分环较厚。1、综合分析:疾病谱,肺炎型肺癌,肺结核,淋巴瘤,结节病。2、初步考虑肺炎型肺癌可能(鳞癌>腺癌),鳞癌支持点:老年男性,长期吸烟史,肺气肿背景,远端阻塞性空气潴留,实变区中间坏死,支气管扩张扭曲,纵隔淋巴结坏死。鳞癌不支持点:实片区坏死不够彻底,非典型湖泊样坏死,中间多数血管走行较自然。鳞癌淋巴结转移相对更少见一些。腺癌支持点:实变区坏死情况及淋巴结表现以及癌淋形成支持。腺癌不支持点:老年男性,长期吸烟史,肺气肿背影,远端阻塞性空气潴留。鉴别诊断:1、肺结核,反复咳嗽半年,体重减轻20斤支持,淋巴结环形强化,尤其是部分呈薄环形强化支持,但无结核中毒症状,坏死不彻底不支持,纵隔淋巴结部分壁不均匀,不支持。所以结核可能性较小。2、淋巴瘤,纵隔淋巴结广泛增大及实变区部分血管走行较自然支持。实变区坏死及部分血管有部分不支持,淋巴结坏死不支持。所以可能性也不大。
晕晕菜
医学百科网 | YxBaike.Com
患者老年男性,慢性病程,干咳,无痰,既往有大量吸烟史。胸CT:右肺下叶支气管明显狭窄,右肺下叶外后基底段占位性病变,病灶周围可见毛玻璃样渗出影及肺气肿。增强纵膈窗可见:右肺下叶实性占位病灶内可见低密度区,并可见血管造影正,2R 4R 4L 7及右肺门淋巴结明显肿大,部分肿大淋巴结可见融合坏死。
医学百科网 | YxBaike.Com
综合考虑患者为恶性病变———腺癌? 医学百科网 | YxBaike.Com
没意见 医学百科网 | YxBaike.Com
老年男性,不良吸烟史慢性病程,干咳半年,抗感染无效,影像:双肺胸膜下旁间隔气肿,右肺下叶大块样实变,有占位效应,胸廓无缩小,彭隆分叶,胸膜增厚牵拉凹陷,周围磨玻璃影边界不清,小叶间隔增厚,斜裂受累有结节感,支气管截断,近端环形狭窄,纵膈窗提示不均匀延迟强化,坏死粘液栓,累及血管纤细,远端伴有蜂窝,双侧肺门、纵膈、多组淋巴结肿大,融合,中央坏死环形强化,上腔静脉受压,考虑恶性可能性大,腺癌? 医学百科网 | YxBaike.Com
需要与淋巴瘤鉴别,影像有淋巴组织增殖样改变,有血管漂浮,周围小叶间隔厚,但坏死居多,另需要与结核鉴别:淋巴结有环形坏死特点,支气管深达近端,粘液栓,有结核肉芽肿可能,确诊还需要活检一锤定音
医学百科网 | YxBaike.Com
红日东升 医学百科网 | YxBaike.Com
老年男性,咳嗽半年,体重减轻20斤。右肺下叶肿块,与增大的右肺门境界不清,形态不规则,强化密度不均,病灶内见条状粘液栓及低密度坏死区,坏死区内血管破坏不明显,纵隔肺门淋巴结增大、大部分环形强化,内见坏死区,内壁光整。周围磨玻璃影,间质增厚。右侧少量胸腔积液。双侧肺气肿背景。综合考虑恶性病变,淋巴瘤?鉴别结核。
医学百科网 | YxBaike.Com
刘和林 医学百科网 | YxBaike.Com
老年男性,干咳半年。右肺门及纵隔淋巴结肿大,内部不均匀坏死,无坏死区可见强化,符合恶性转移性淋巴结,左肺门无明显淋巴结肿大,考虑跟右下肺病变相关。右下肺肿块,边缘膨隆,近端支气管见鼠尾状截断,内见支气管粘液栓,周围见斑片状影及牵拉性改变,周围间质增厚。综上,考虑右肺下叶恶性肿瘤(腺癌)并右肺门、纵隔淋巴结转移,粘液腺癌可能性大。
医学百科网 | YxBaike.Com
傅昌瑜 医学百科网 | YxBaike.Com
男,67岁,反复咳嗽半年。右下叶磨玻璃影背景见团块影,部分边缘膨隆,部分平直,似有分叶,近端支气管狭窄,增强有强化,内有条状低密度灶(粘液栓?),血管稍变小,走形尚正常。纵隔多发环形强化的肿大淋巴结。考虑:1.淋巴瘤,依据:病灶内似有血管漂浮,纵隔多发肿大淋巴结。2.肺癌,依据:肿块状病灶,部分边缘膨隆、分叶,近端支气管狭窄。3.肺结核,依据:结核是妖。 医学百科网 | YxBaike.Com
冯连彩日照市结核病防治所呼吸内科: 医学百科网 | YxBaike.Com
老年男性,有大量吸烟史,反复咳嗽半年。纵隔及肺门多发肿大淋巴结,多发融合并有坏死,坏死边界清,各级支气管外压性狭窄,右肺下叶大肿块,内有多灶性坏死,外周有磨玻璃影,伴蜂窝状改变,中度强化,局部胸膜肥厚有少量胸腔积液。考虑恶性肿瘤,腺癌可能性大,鉴别淋巴瘤,结核?
医学百科网 | YxBaike.Com
睡在树上的鱼: 医学百科网 | YxBaike.Com
右肺下叶见一厚壁偏心空洞,周围广泛小叶间隔增厚伴结节状改变,胸膜栽赃征,考虑恶性。 医学百科网 | YxBaike.Com
南边
老年男性。病史半年,1月前就发现有占位,可惜没旧片对比,体重减轻20斤。病史提示病史长,占位性病变,恶性可能。淋巴结肿大明显,淋巴结的特点是坏死、融合、偏侧,坏死有残留。淋巴瘤不太支持,淋巴瘤坏死这么明显的比较少,前纵隔的可以,其他区域的淋巴瘤坏死这么彻底的罕见,放待排,上次於老师发过一例腹部有,但是毕竟少。淋巴结的改变:结核?类癌?转移瘤?淋巴瘤最后。主病灶一起淋巴结肿大,内有大量粘液坏死,不典型类癌需考虑,结核待排。
医学百科网 | YxBaike.Com
尘缘 医学百科网 | YxBaike.Com
淋巴瘤不太支持,因为一般淋巴瘤两种表现,一种是比较局限,非典型的,可以坏死,以前纵隔多见,二种是分布广泛,肿大明显,可融合,但坏死不明显。 医学百科网 | YxBaike.Com
空格 医学百科网 | YxBaike.Com
对待血管的态度不像,结核、鳞癌,对待支气管的态度,不像淋巴瘤,我都是猜转移灶 医学百科网 | YxBaike.Com
杨宏刚
医学百科网 | YxBaike.Com
小叶间隔增厚,癌淋
尘缘 20:28
反正我还是坚持肺炎型肺癌,鳞癌首选,现在加一个鳞腺癌可能。
医学百科网 | YxBaike.Com
结果 医学百科网 | YxBaike.Com
医学百科网 | YxBaike.Com
本例小结 医学百科网 | YxBaike.Com
临床及影像: 医学百科网 | YxBaike.Com
1.老年男性,咳嗽半年,病程长,长期吸烟史。否认糖尿病,亦无AIDS等。 医学百科网 | YxBaike.Com
2.右肺下叶大范围磨玻璃密度片影,边界不清,小叶间隔增厚明显,胸膜下区域见气肿。 医学百科网 | YxBaike.Com
3.片影中央见较大块状影,边界可分辨,不规则分叶,未显示毛刺,可见棘突及胸膜牵拉。
块影密度不均匀,可见明显液化区。明显不均匀环形强化,病灶内血管未见明显异常。
医学百科网 | YxBaike.Com
块影明显支气管相关,中间段支气管有狭窄,后段支气管低密度阻塞(局部未强化),未见枯枝征。 医学百科网 | YxBaike.Com
4.后基底段多发小结节影。 医学百科网 | YxBaike.Com
5.右肺门及纵隔见多数明显肿大淋巴结,环形或分隔样强化,这点表现相当显著。
诊断及鉴别诊断:
医学百科网 | YxBaike.Com
1.继发性肺结核。病灶液化,不规则环形强化,肺门纵隔淋巴结环形强化,有卫星灶等可以支持结核。
不支持点同样很有力,病灶强化太显著,病灶内坏死不彻底,血管走形完好。 医学百科网 | YxBaike.Com
2.马尔尼菲篮状菌感染。肺部间质性改变,小结节影,肺门纵隔淋巴结环形强化可以支持。但患者缺乏AIDS基础,没有特殊皮疹,以及肝脾相关改变等加以佐证。 医学百科网 | YxBaike.Com
3.肺鳞癌。老年男性,长期吸烟,病灶坏死明显。
不支持点同样抢眼,大气道未见阻塞,病灶内坏死不彻底,血管未见破坏。
4.肺腺癌。块影分叶收缩,强化明显,符合路径的淋巴结肿大,下肺小叶间隔增厚符合癌性淋巴管炎等。
医学百科网 | YxBaike.Com
但腺癌如此大范围液化坏死少见。淋巴结环形强化少见。 医学百科网 | YxBaike.Com
5.会是神经内分泌肿瘤吗?如此显著淋巴结增大且推压血管结构,淋巴管炎等,总让人对恶性新生物不能释怀。
医学百科网 | YxBaike.Com
小细胞癌常没有如此显著的强化,肺内病灶体量过大(相对于增大淋巴结而言),坏死太明显,似乎不大符合。尽管中间段支气管有狭窄。 医学百科网 | YxBaike.Com
类癌。未见大气道内“冰山”突入。类癌弄出这么大动静的还是少。
不典型类癌。回顾性分析,这“四不像”的较大块影,外围为主,强化显著,显著淋巴结增大等确实于不典型类癌多有适格。 医学百科网 | YxBaike.Com
反指征也有,液化太显著,是因为分泌物潴留吗? 医学百科网 | YxBaike.Com
6.未解之谜尚存。穿刺病理可能仅仅是机体某一局部的病变组织,不能代表所有的病理生理改变。这是我们诊疗中应当想到的。换句话说,某种新生物它是存在的,但不能排除伴有其他…… 医学百科网 | YxBaike.Com
相关学习
肺不典型类癌(atypical carcinoid AC)罕见,属于肺神经内分泌肿瘤(neuroendocrine tumor,NET)。神经内分泌肿瘤可来源于多种器官,例如胃肠道、肺、胸腺和卵巢。其中肺为第二高发,肺NET占所有肺癌的1%~2%[1]。2015版世界卫生组织肺肿瘤分类将肺NET分为4类:小细胞肺癌(small cell lung cancer,SCLC)、大细胞神经内分泌癌(large cell neuroendocrine cancer,LCNEC)、典型类癌(typical carcinoid,TC)和AC。后两种称为肺类癌(lung carcinoid,LC)。在肺NET中,SCLC和LCNEC属高级别,TC和AC为低-中级别。其中AC占肺类癌的10%左右,具有浸润性生长以及淋巴道与血行转移的特点。 医学百科网 | YxBaike.Com
肺AC早期症状不明显。临床症状随着肿瘤生长部位、支气管有无阻塞而异,多表现为咳嗽、咳痰、咯血等。功能性的肺NET可分泌多种血管活性物质,从而出现类癌综合征症状,10%~30%的晚期类癌是功能性的,出现该症状的肺AC少见[2]。有报道肺AC可导致异位分泌促肾上腺皮质激素[3]。CT及MRI等影像学检查可确定原发灶及转移灶的大小及部位。约80%的肺NET表达生长抑素受体(somatostatin receptor,SSTR),受体闪烁扫描术(奥曲肽显像)可用于定位肺类癌及其转移灶。北美神经内分泌肿瘤协会(North American Neuroendocrine Tumor Society,NANETS)指南推荐将SSTR闪烁扫描术用于检测SSTR的表达,以此作为肽受体介导的放射性核素靶向治疗(peptide receptor radionuclide therapy,PRRT)的指征,或以此作为随访的影像学检查手段[2]。肺AC镜下癌细胞较小,梭形细胞较常见,细胞核形态不规则,染色质粗而深染,癌细胞多密集呈巢状或片状,癌巢中心常见灶状或片状坏死,核分裂象多见[4]。推荐用于诊断肺类癌的免疫组织化学标志物有Syn、嗜铬粒素、CD56、TTF1、Ki-67等。其中Syn和CgA是类癌较好的标志物[5]。另在肺AC中还检测到BRAF基因突变。近年来对LC染色体的研究发现,约一半的肿瘤存在染色体重塑基因失活,但缺乏肺腺癌常见的驱动基因突变[6]。
医学百科网 | YxBaike.Com
参考文献
1.MELOSKY B. Advanced typical and atypical carcinoid tumours of the lung: management recommendations[J].Curr Oncol, 2018, 25(Suppl 1): 86-93. 医学百科网 | YxBaike.Com
2.WOLIN E M. Challenges in the diagnosis and management of well-differentiated neuroendocrine tumors of the lung (typical and atypical carcinoid): current status and future considerations[J].Oncologist, 2015, 20(10): 1123-1131.
医学百科网 | YxBaike.Com
3.HOORNAERT E, JACQMIN L, MONTFORT L, et al. Case report: ectopic ACTH secretion due to a metastatic atypical lung carcinoid tumor. From diagnosis to treatment[J]. Ann Endocrinol, 2019, 80(2): 137-139. 医学百科网 | YxBaike.Com
4.MOTIWALA H, BANSAL I, GOYAL P, et al. Do we really care about incidental lung nodules? Review of atypical lung carcinoid and a proposal for systematic patient follow up[J]. Transl Lung Cancer Res, 2017, 6(3): 387-392.
5.肺NETs病理诊断共识专家组. 肺NETs病理诊断共识[J]. 中华病理学杂志, 2017, 46(1): 9-13. 医学百科网 | YxBaike.Com
6.OLOFSON A M, TAFE L J. A case of a primary lung cancer comprised of adenocarcinoma and atypical carcinoid tumor with both components harboring BRAF p.V600E mutation[J]. Exp Mol Pathol, 2018, 104(1): 26-28.
医学百科网 | YxBaike.Com
附件列表
词条内容仅供参考,如果您需要解决具体问题,请遵医嘱或咨询医师。
本站词条内容如果涉嫌侵权,请与客服联系,我们将及时进行处理。如需转载,请注明来源于www.yxbaike.com
如果您认为本词条还有待完善,请 编辑
上一篇 腹壁子宫内膜异位症 下一篇 腹部淋巴瘤影像诊断及鉴别
