肝脏局灶性结节增生 FNH影像特点
FNH 概述
医学百科网 | YxBaike.Com
FNH 发病率:0.18%-3.2%,是第二大常见的肝脏良性非肿瘤性病变,可与肝血管瘤(23%)、肝腺瘤等同时发现,20-25% 为多发 FNH
好发人群:青年女性,20-60 岁,(男女 1:8,国外),可见于儿童
临床表现:通常无症状,偶然发现,20% 伴腹痛,12% 肝功异常 GGT 升高
发病机制:血管畸形或损伤引起的肝细胞增生性反应
肝动脉供血,肝静脉引流,无门脉供血
医学百科网 | YxBaike.Com
相关疾病:肝血管瘤、Budd-chiari 综合征、遗传性出血性毛细血管扩张症 医学百科网 | YxBaike.Com
通常无恶变倾向,可缩小或消失。外源性雌激素不会引起 FNH,但可影响肿块大小
医学百科网 | YxBaike.Com
治疗:通常不需要特殊治疗,个别可手术(疼痛、增长、瘤内出血)
医学百科网 | YxBaike.Com
预后:一般较好,个案报道 FNH 肿块背景中存在纤维板层肝癌 医学百科网 | YxBaike.Com
FNH 组织学分型
医学百科网 | YxBaike.Com
(1)经典型/实质型(80%) 医学百科网 | YxBaike.Com
无恶性潜能 医学百科网 | YxBaike.Com
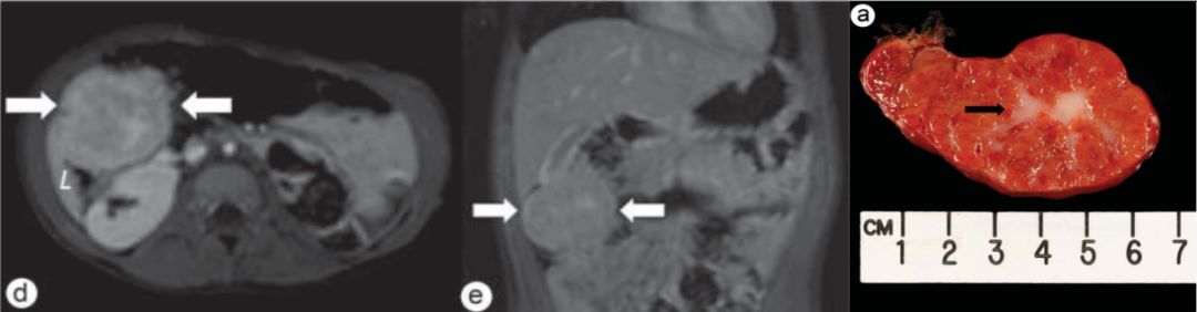
宏观:肿块 瘢痕(<50%),边界清,无包膜,轮辐样中心动脉 医学百科网 | YxBaike.Com
组织学:正常肝细胞 (纤维分隔成结节状) 畸形厚壁血管 毛细胆管增生 kupffer 细胞 医学百科网 | YxBaike.Com
医学百科网 | YxBaike.Com
(2)非经典型 (20%)
包括毛细血管扩张型、增生性及腺瘤样混合型(NRH 样型)、肝细胞不典型增生型 医学百科网 | YxBaike.Com
可增大、缩小、切除后可复发
瘢痕及中心动脉少,可出现假包膜、脂肪 医学百科网 | YxBaike.Com
FNH 超声表现
通常表现不典型,边界清晰,可呈高、低或等回声
医学百科网 | YxBaike.Com
典型者可见到病变中心放射状中强回声细索条样结构 医学百科网 | YxBaike.Com
CDFI:丰富血流 医学百科网 | YxBaike.Com
动脉期增强 4 种强化方式:泉涌状;轮辐状;分支状;整体增强 医学百科网 | YxBaike.Com
医学百科网 | YxBaike.Com
FNH 典型影像学表现 医学百科网 | YxBaike.Com
CT:类圆形、分叶状,低、等密度影;密度较均匀;中央瘢痕:不规则低密度,星芒状、点状、条纹、不规则形;动脉期明显强化,门脉期及延迟期近等密度;无包膜;出血、坏死、脂肪变性及钙化罕见
医学百科网 | YxBaike.Com
MR:T1WI 等、T2WI 等或略高信号,边缘模糊;中央瘢痕 T2WI 高信号;动脉期明显强化,快进慢出、快进同出、快进快出;门脉期通常较周围肝实质信号等或略低,也可略高;延迟期中央瘢痕逐渐强化;肝胆期通常为不均匀高/等信号;T2WI 边缘模糊,增强扫描边界清楚
医学百科网 | YxBaike.Com
医学百科网 | YxBaike.Com
MR 肝胆期:由于纤维瘢痕含量不同,肝胆期可表现为不均匀高/等信号(53.3%,),不均匀低信号(16.7%),均匀高/等信号(23%),均匀低信号(6.7%)。
医学百科网 | YxBaike.Com
瘢痕的影像表现
医学百科网 | YxBaike.Com
上排为普通钆对比剂,中心瘢痕渐进性强化,随后呈低信号 医学百科网 | YxBaike.Com
下排为特异性对比剂,中心瘢痕渐始终强化不明显 医学百科网 | YxBaike.Com
医学百科网 | YxBaike.Com
FNH 非典型影像表现 医学百科网 | YxBaike.Com
体积变化(20-30%):80% 观察到的是体积缩小,20% 体积增大。 医学百科网 | YxBaike.Com
医学百科网 | YxBaike.Com
女,44 岁,长期口服避孕药,随访 2 年肿瘤体积由 2 cm 增大到 3 cm,停药后缩小
医学百科网 | YxBaike.Com
无瘢痕或瘢痕不典型:中央瘢痕出现率<50%,更易 (65%) 出现在大于 3 cm 的病变中,35% 出现在小于 3 cm 病变中。 医学百科网 | YxBaike.Com
主体位于肝外:女,31 岁,FNH 病变主体位于肝右叶下方,与肝右叶相连,可见粗大肝静脉引流 医学百科网 | YxBaike.Com
假包膜
医学百科网 | YxBaike.Com
医学百科网 | YxBaike.Com
钙化:FNH 钙化较小、孤立、位于中心 医学百科网 | YxBaike.Com
医学百科网 | YxBaike.Com
含脂质
医学百科网 | YxBaike.Com
血栓:女,31 岁,腹痛 3 周,伴有恶心、呕吐、食欲不振和腹泻;口服避孕药 5 年。CT 显示门脉及肠系膜上静脉血栓。 医学百科网 | YxBaike.Com
医学百科网 | YxBaike.Com
与其它良性病变并存:女,23 岁,FNH 与腺瘤并存
医学百科网 | YxBaike.Com
医学百科网 | YxBaike.Com
医学百科网 | YxBaike.Com
发生于儿童及青少年
女,3 岁,偶然发现肝占位 (FNH) 医学百科网 | YxBaike.Com
医学百科网 | YxBaike.Com
医学百科网 | YxBaike.Com
男,16 岁,偶然发现肝占位 (FNH) 医学百科网 | YxBaike.Com
医学百科网 | YxBaike.Com
男,15 岁,偶然发现肝占位,FNH,栓塞治疗 医学百科网 | YxBaike.Com
医学百科网 | YxBaike.Com
医学百科网 | YxBaike.Com
多发 FNH 综合征 医学百科网 | YxBaike.Com
多发 FNH 综合征是指两个(以上)FNH 病灶 肝血管瘤/血管畸形(肝肺脑)/颅内肿瘤(脑膜瘤和星形细胞瘤等)。多发 FNH 时每个病灶可以为不同组织学亚型。 医学百科网 | YxBaike.Com
女,31 岁,体检发现肝功能异常,MR 检查显示肝内多发 FNH(上排)及多发血管瘤(下排) 医学百科网 | YxBaike.Com
FNH 鉴别诊断 医学百科网 | YxBaike.Com
FNH 主要是与肝脏富血供肿瘤鉴别 医学百科网 | YxBaike.Com
医学百科网 | YxBaike.Com
肝腺瘤:信号较 FNH 更不均匀 (脂肪、钙化、出血);FNH 在 T2WI 边界模糊,增强边界清晰(重要鉴别点);肝胆期鉴别敏感性>91%,但炎症型腺瘤可表现为高/等信号 (67%)。
医学百科网 | YxBaike.Com
肝癌:肝硬化背景,快进快出、有包膜。
纤维板层型肝癌:男性,平扫与邻近肝实质信号差异更明显、体积相对较 FNH 更大、易 (70%) 伴血管、胆管侵犯、淋巴结转移,易钙化。 医学百科网 | YxBaike.Com
多发 FNH 需要与多发肝细胞腺瘤和多发肝细胞癌相鉴别 医学百科网 | YxBaike.Com
FNH 小结
医学百科网 | YxBaike.Com
平扫与肝实质密度/信号相近
医学百科网 | YxBaike.Com
富血供,动脉期显著强化、边界清 医学百科网 | YxBaike.Com
延迟密度/信号等或略低于周围肝脏 医学百科网 | YxBaike.Com
星芒状中央瘢痕延迟强化、轮辐样供血动脉 医学百科网 | YxBaike.Com
无包膜
医学百科网 | YxBaike.Com
附件列表
词条内容仅供参考,如果您需要解决具体问题,请遵医嘱或咨询医师。
本站词条内容如果涉嫌侵权,请与客服联系,我们将及时进行处理。如需转载,请注明来源于www.yxbaike.com
如果您认为本词条还有待完善,请 编辑
