医学百科网 | YxBaike.Com
医学百科网 | YxBaike.Com
医学百科网 | YxBaike.Com
医学百科网 | YxBaike.Com
医学百科网 | YxBaike.Com
医学百科网 | YxBaike.Com
医学百科网 | YxBaike.Com
医学百科网 | YxBaike.Com
医学百科网 | YxBaike.Com
医学百科网 | YxBaike.Com
医学百科网 | YxBaike.Com
医学百科网 | YxBaike.Com
医学百科网 | YxBaike.Com
医学百科网 | YxBaike.Com
医学百科网 | YxBaike.Com
医学百科网 | YxBaike.Com
医学百科网 | YxBaike.Com
医学百科网 | YxBaike.Com
医学百科网 | YxBaike.Com
医学百科网 | YxBaike.Com
医学百科网 | YxBaike.Com
医学百科网 | YxBaike.Com
医学百科网 | YxBaike.Com
医学百科网 | YxBaike.Com
医学百科网 | YxBaike.Com
医学百科网 | YxBaike.Com
医学百科网 | YxBaike.Com
医学百科网 | YxBaike.Com
医学百科网 | YxBaike.Com
医学百科网 | YxBaike.Com
医学百科网 | YxBaike.Com
医学百科网 | YxBaike.Com
医学百科网 | YxBaike.Com
医学百科网 | YxBaike.Com
医学百科网 | YxBaike.Com
医学百科网 | YxBaike.Com
joyzhy 医学百科网 | YxBaike.Com
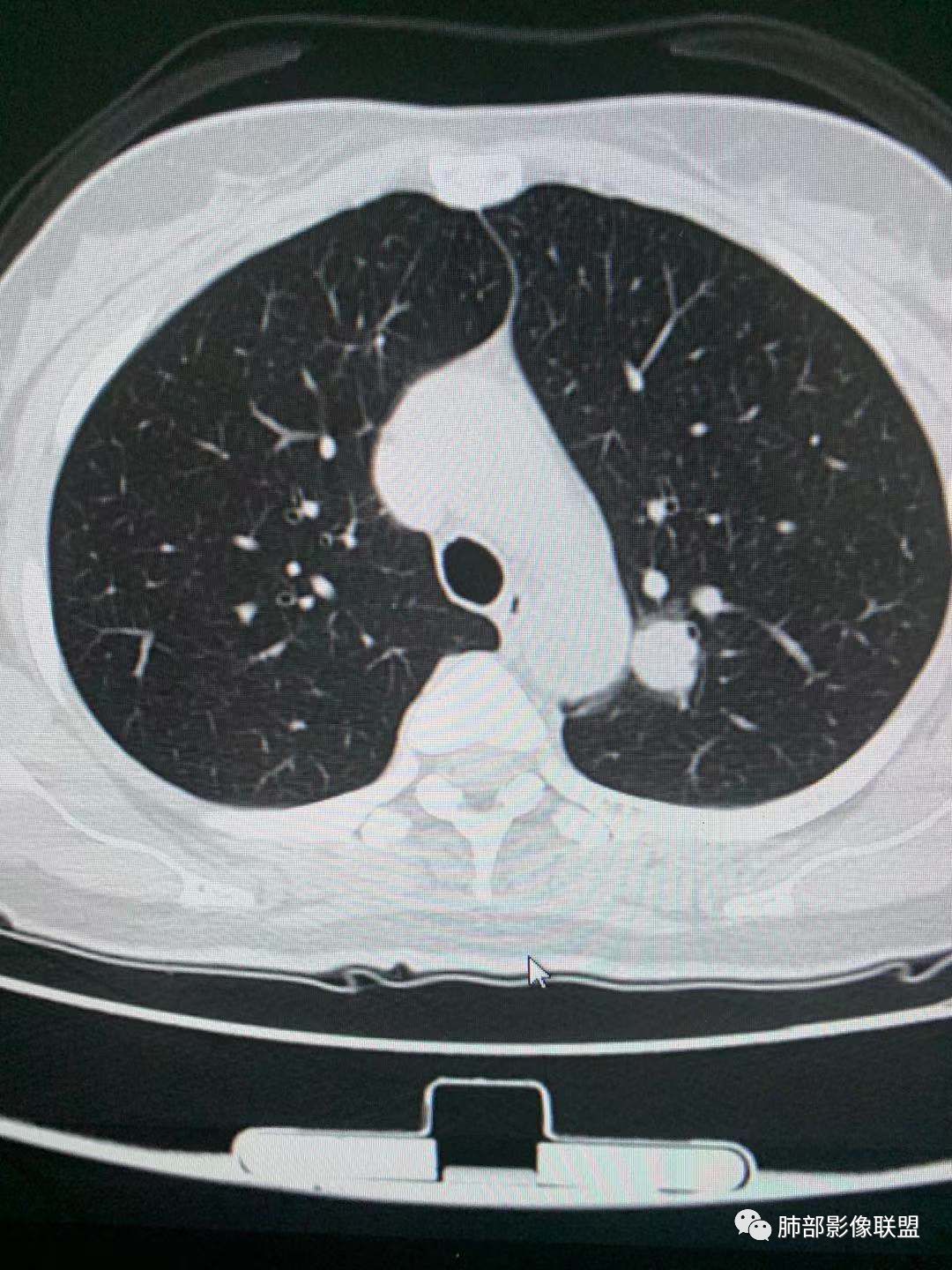
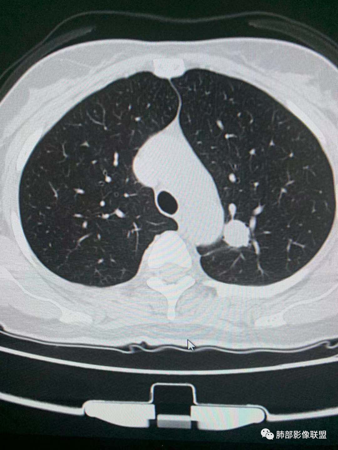
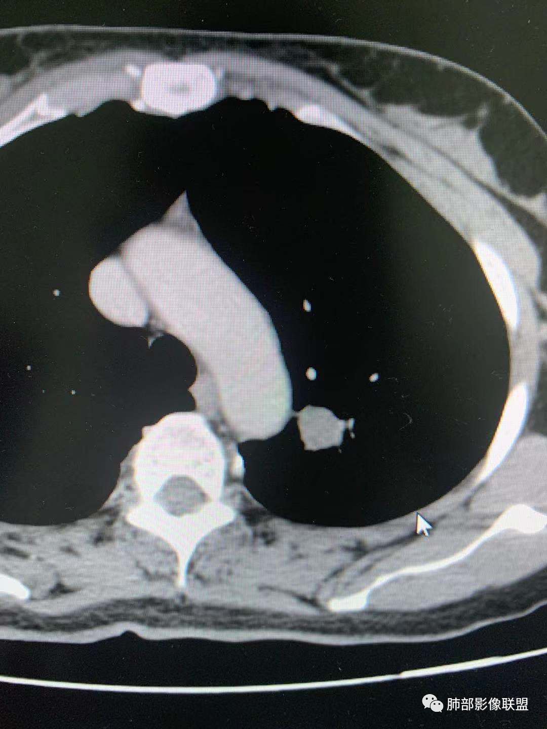
左肺上叶实性结节,光滑,支气管血管贴边,晕,强化持续。两年前就有,考虑psp。另外左肺上叶纵膈侧胸膜下及中带两处混合磨玻璃结节,考虑原位和微浸润可能,需要随访看看。
王秀仙
左肺上叶实性结节,边缘光滑清晰,血管贴边,渐进性延迟强化,密度均匀,考虑PSP. 医学百科网 | YxBaike.Com
FeNo 医学百科网 | YxBaike.Com
贴边血管征,强化延迟,考虑PSP 医学百科网 | YxBaike.Com
田园晚风
医学百科网 | YxBaike.Com
左肺上叶实性结节,边缘光滑清晰,血管贴边,渐进性延迟强化,密度均匀,考虑PSP.但是强化幅度不够,需要鉴别早期肺癌
杨泽锋 医学百科网 | YxBaike.Com
总共三个结节 医学百科网 | YxBaike.Com
最大的靠后,有血管贴边征,渐进性明显强化,考虑PSP可能大
靠前部中等大小结节考虑MIA
靠中部最小的那个结节AAH或者慢性炎症均有可能 医学百科网 | YxBaike.Com
医学百科网 | YxBaike.Com
医学百科网 | YxBaike.Com
Lotus
医学百科网 | YxBaike.Com
首先考虑PSP,周围可疑磨玻璃,鉴别恶性病变
医学百科网 | YxBaike.Com
小兜 医学百科网 | YxBaike.Com
中年女性,左肺上叶实性圆形结节,边缘有晕,血管及支气管贴边,强化尚均匀,渐进性明显强化,考虑为PSP可能 医学百科网 | YxBaike.Com
