医学百科网 | YxBaike.Com
医学百科网 | YxBaike.Com
医学百科网 | YxBaike.Com
医学百科网 | YxBaike.Com
医学百科网 | YxBaike.Com
精彩讨论 医学百科网 | YxBaike.Com
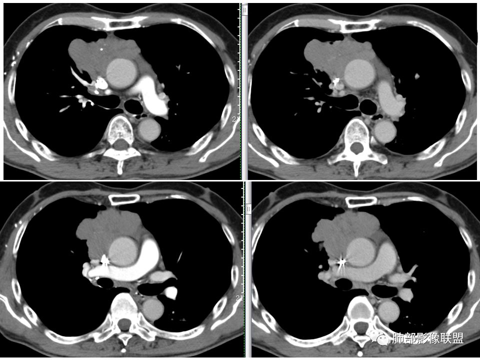
马春平(张家港市一院胸外科): 老年男性,前纵隔占位,中央细沙钙化,右上支气无阻塞,均匀强化、分叶,与心包广基接触,纵隔鳞癌>胸腺瘤
哞: 上腔侵犯,考虑侵袭性胸腺瘤,或者癌 医学百科网 | YxBaike.Com
红星: 定位前上纵隔占位性病变,考虑侵袭性胸腺瘤
医学百科网 | YxBaike.Com
一切∮随缘: 病灶主体位于前纵隔,向主动脉周围蔓延,与周围组织间隙清楚,病灶形态较软,与胸膜交界尚可,部分支气管受压截断,平扫密度欠均匀,内部可见低密度钙化,增强后轻度均匀强化,坏死不明显,考虑:1:畸胎瘤2:胸腺瘤3:淋巴管瘤
小兜:老年男性,受凉后发烧就诊,前上纵隔不规则肿块,分叶,内见结节状钙化,包绕上腔静脉及左头臂静脉,挤压右肺,增强后轻度强化,内部可见多发低密度区,双侧内乳血管未见明显增粗?考虑为恶性,胸腺癌可能
张小兵: 前纵隔不规则肿块,分叶、包绕血管,内见点状钙化及裂隙样低密度区,轻度强化,倾向恶性,胸腺癌可能,鉴别淋巴瘤。
王秀仙: 前纵隔占位,边缘结节状分叶,多发沙粒状钙化,内部见裂隙状分隔,周围肺组织推移,与心包广基接触,中度强化,病灶左后方心包内积液,叶间胸膜多发结节,考虑纵隔胸腺瘤B3。
医学百科网 | YxBaike.Com
丽: 老年男性,咳嗽发热,前纵隔不规则软组织肿块,与纵隔面呈宽基底,周围脂肪间隙消失,边缘分叶、膨隆,内可见点状钙化,增强后轻度强化,考虑胸腺癌 医学百科网 | YxBaike.Com
流心明智: 老年男性,前上纵隔不规则肿块,分叶,中央点状钙化与裂隙样低密度区,上腔受侵,与心包广基接触,轻度均匀强化。考虑:胸腺Ca?鉴别淋巴瘤。 医学百科网 | YxBaike.Com
飞鹰行动: 部分图片看不到,前上纵隔占位?看不到肿块与支气管的关系,主动脉前间隙消失,肿块内有钙化,边缘分叶,初步考虑纵隔胸腺来源,胸腺瘤(B2/B3)
医学百科网 | YxBaike.Com
三个石头: 前上纵隔占位,形态不规则,内见钙化结节,排除淋巴瘤,肿块内低密度区,大血管周围脂肪间隙消失。内小血管穿行供血。考虑胸腺癌。临床症状可能与肿块压迫右上前段支气管有关。 医学百科网 | YxBaike.Com
薇: 前纵隔不规则肿块,分叶、内见点状钙化,轻度强化,部分层面与血管分界不清,考虑侵袭性胸腺癌,鉴别淋巴瘤。 医学百科网 | YxBaike.Com
耿耿: 前上纵隔不规则分叶团块,内见点状钙化,增强扫描轻度强化,右肺上叶前段受推压,考虑侵袭性胸腺瘤或纵隔鳞癌 医学百科网 | YxBaike.Com
生来征服~浪子: 前纵隔偏心性占位,分叶明显,有钙化及囊变。考虑胸腺瘤
医学百科网 | YxBaike.Com
良孑: 定位纵隔,肿物是分叶,内可见低密度坏死及钙化,坏死边界模糊,纵隔内可见肿大淋巴结,血管脂肪间隙受侵,提示已有转移,高龄,肿物分叶并转移,考虑胸腺鳞癌 医学百科网 | YxBaike.Com
毛勤香: 右前纵膈肿块,分叶状似结节融合感觉,有粗大钙化和少许坏死,与邻近血管脂肪间隙消失,增强不均匀强化,定性恶性,老年人,胸腺瘤和胸腺癌鉴别。
蓝天白云: 定位右前上纵隔,瘤肺界面欠清,纵隔面周围脂肪间隙消失,包绕周围血管趋势,其内可见低密度条形影,增强轻度延迟强化,考虑侵袭性胸腺瘤,鉴别淋巴瘤 医学百科网 | YxBaike.Com
doctor: 老年男性,前上纵隔肿块,分叶,轻度强化,周围似乎有多个淋巴结,考虑胸腺癌?
宇宙: 前纵隔胸腺区偏右侧不规则肿块,分叶,可见钙化,明显凸向右肺内,与大血管间脂肪界面消失,轻中度强化,可见纤维分隔,未见明显转移,考虑侵袭性胸腺瘤或胸腺癌,鉴别淋巴瘤 医学百科网 | YxBaike.Com
瑶瑶: 前纵隔肿块,偏向一侧,有分叶,点状钙化,似有分隔,轻中度强化,考虑侵袭性胸腺瘤。 医学百科网 | YxBaike.Com
晨读: 医学百科网 | YxBaike.Com
前纵隔分叶状软组织团块,包绕血管,周围脂肪间隙消失,其内可见钙化,增强扫描轻中度强化。首先考虑侵袭性胸腺瘤,不除外纵隔型肺癌。
空格: 临床,老年男性,高热,咳嗽。肺内感染征像不显著,相关实验室检查未提供,是否有感染证据?定位,病灶大部分位于前纵隔,脏层胸膜被卷的感觉,肺内血管纹被推移,主病灶位于纵隔内可能大,另见条状灶似乎与支气管相关,应该是肺内病灶,但与主病灶相连。病灶分叶状,无明显坏死,包绕左侧头臂静脉,病灶内有结节状钙化,胸腺癌和淋巴瘤的选择。结节钙化支持胸腺癌,高热和包绕血管支持淋巴瘤,肺内条状灶,病灶考虑沿支气管或血管的侵润,综合还是考虑淋巴瘤伴肺内侵润。胸腺癌不除外。
医学百科网 | YxBaike.Com
南边老师解析
南边: 医学百科网 | YxBaike.Com
医学百科网 | YxBaike.Com
南边: 老年男性,病史提示急性,高热,与病灶好像不一致,也就是说这个病灶应该是没引起临床症状的,定位在哪?有啥特征性着征象?
三个石头: 前上纵隔不规则占位,有钙化,小囊性低密度区 医学百科网 | YxBaike.Com
南边: 医学百科网 | YxBaike.Com
依据?为啥不考虑胸膜?肺来源? 医学百科网 | YxBaike.Com
琦遇: 医学百科网 | YxBaike.Com
病灶主体在纵隔,肺内的病灶与气管以及肺血管没有关系,也是提示不在肺内的原因 医学百科网 | YxBaike.Com
舞影微尘: 有钙化肯定不是淋巴瘤,那可能是胸腺瘤 医学百科网 | YxBaike.Com
南边: 支持点:主体在纵隔、与肺分界清楚,与支气管、肺血管关系不密切 医学百科网 | YxBaike.Com
琦遇: 病灶与大血管脂肪间隙消失,也是提示不在肺内
医学百科网 | YxBaike.Com
南边: 从病灶与血管的关系看,骑跨在主动脉上,上腔静脉后移,病灶整体前朝后推,但是跨中线到对侧,主动脉偏移不明显,提示病灶前方来源,朝后推,如果侧方来源,朝对侧推移,支持前纵隔来源,然后就是性质?性质一般两个方向,有些有特征性征象,直接定病理可能比定良恶性更容易;有些特征性正想没有,但是可以提示良恶性,前纵隔肿瘤:胸腺、淋巴、(这年龄生殖类不太支持)
琦遇: 有分叶、有钙化、无坏死、有明显强化,不规则分叶,脂肪间隙模糊,与大血管分界不清,应该支持恶性多点吧,但是侵犯性不强 医学百科网 | YxBaike.Com
南边: 然后神经、脂肪,最多见的:胸腺的瘤、癌,其次淋巴瘤;然后才是其他,分叶明显,点状钙化,线样间隔,支持胸腺瘤吧,高度怀疑胸腺瘤 医学百科网 | YxBaike.Com
南边: 医学百科网 | YxBaike.Com
医学百科网 | YxBaike.Com
晨读结果
医学百科网 | YxBaike.Com
医学百科网 | YxBaike.Com
小结
医学百科网 | YxBaike.Com
胸腺上皮性肿瘤包括胸腺瘤和胸腺癌,而前者是前纵隔最常见的肿瘤;现目前多采用1999年WHO胸腺肿瘤组织学分型,按病理类型可分为6个亚型,即A、AB、B1、B2、B3及胸腺癌,又根据肿瘤的侵袭性和复发性将胸腺瘤分为低危型胸腺瘤(A、AB、B1)、高危型胸腺瘤(B2、B3)和胸腺癌;“良性胸腺瘤”的概念不符合医学实践,即使A型胸腺瘤也存在复发和转移的风险,所以现在胸腺瘤均为恶性肿瘤,都具有潜在复发和转移可能,只是恶性程度不一。 医学百科网 | YxBaike.Com
胸腺癌是发生在胸腺的恶性上皮性肿瘤,可分为低度恶性肿瘤和高度恶性肿瘤,鳞癌、基底段细胞样癌、粘液上皮样癌属于低度恶性,其他类型如淋巴上皮样癌、肉瘤样癌、乳头状癌、透明细胞癌、未分化癌等为高度恶性,其中病理类型以鳞癌最为常见。 医学百科网 | YxBaike.Com
因为有时候影像不好鉴别胸腺瘤的亚型,尤其少数B3型跟胸腺癌鉴别仍存在困难;那如何大致辨别低危型胸腺瘤、高危型胸腺瘤跟胸腺癌呢?我们主要从肿瘤的轮廓形态、肿瘤内部的成份(囊变坏死、钙化、纤维分隔等)、周围组织侵犯情况(胸膜、血管、心包、肺、膈神经)、有无纵隔淋巴结转移及远处转移来综合分析,为疾病的治疗及预后是有重要价值的。
医学百科网 | YxBaike.Com
胸腺瘤/胸腺癌的影像分析 医学百科网 | YxBaike.Com
1.轮廓形态: 医学百科网 | YxBaike.Com
包膜完整、边缘光滑、规则—低位胸腺瘤;
边界不清、边缘不规则、分叶—高危胸腺瘤和胸膜癌; 医学百科网 | YxBaike.Com
2.内部成分:
医学百科网 | YxBaike.Com
a.多数密度均匀,少见囊变坏死,见纤维分隔影及钙化—多见于低位胸腺瘤,而且纤维分隔影以AB型显著, 实质性钙化多提示AB型及以上,A型钙化多发生于被膜钙化,呈蛋壳样; 医学百科网 | YxBaike.Com
b.密度不均匀,囊变坏死多见,纤维分隔影少见,有钙化—多见于高危胸腺瘤及胸腺癌以上,尤其大片囊变坏死多见于B1型以上胸腺瘤跟胸腺癌;钙化多见于肿瘤实质内,非边缘区,多发的泥沙样、微钙化及多形性钙化多见于B2、B3型;
医学百科网 | YxBaike.Com
(随着侵袭性的增强,纤维分隔影会逐渐减少) 医学百科网 | YxBaike.Com
3.周围及远处情况: 医学百科网 | YxBaike.Com
a. 纵隔脂肪线清晰,无胸膜、血管、心包及肺情况,罕见纵隔淋巴结肿大及远处血行转移–低危胸腺瘤 医学百科网 | YxBaike.Com
b. ①纵隔脂肪间隙模糊、胸膜、心包侵犯、膈肌受累–见于高危胸腺瘤及胸腺癌,但是心包侵犯多见于B3胸腺瘤跟胸腺癌
医学百科网 | YxBaike.Com
②纵隔大血管侵犯、肺转移、膈神经麻痹、淋巴结转移及远处血行转移—多见于胸腺癌,B3胸腺瘤罕见 医学百科网 | YxBaike.Com
