医学百科网 | YxBaike.Com
医学百科网 | YxBaike.Com
医学百科网 | YxBaike.Com
医学百科网 | YxBaike.Com
医学百科网 | YxBaike.Com
医学百科网 | YxBaike.Com
医学百科网 | YxBaike.Com
医学百科网 | YxBaike.Com
医学百科网 | YxBaike.Com
医学百科网 | YxBaike.Com
医学百科网 | YxBaike.Com
医学百科网 | YxBaike.Com
医学百科网 | YxBaike.Com
医学百科网 | YxBaike.Com
医学百科网 | YxBaike.Com
医学百科网 | YxBaike.Com
医学百科网 | YxBaike.Com
医学百科网 | YxBaike.Com
医学百科网 | YxBaike.Com
群内部分讨论 医学百科网 | YxBaike.Com
一米阳光:
医学百科网 | YxBaike.Com
定位心包,形态不规整,结节状突起,与心脏界限模糊,考虑心包间皮瘤。 医学百科网 | YxBaike.Com
王秀仙: 医学百科网 | YxBaike.Com
心包结节状增厚,右房室受压,考虑心包转移瘤? 医学百科网 | YxBaike.Com
李宇:
这一例是心包穿刺引流术后5天。
医学百科网 | YxBaike.Com
刘秋实: 医学百科网 | YxBaike.Com
病例3 心包肿块,向心包内外生长,可见类似胸膜尾征,右心室受压变形,心包积液病史,恶性间皮瘤,鉴别转移瘤。
费锋:
医学百科网 | YxBaike.Com
脂肪间隙消失,临近心包增厚,定位心包,定性恶性。 医学百科网 | YxBaike.Com
医学百科网 | YxBaike.Com
晚风: 医学百科网 | YxBaike.Com
支持转移,间皮瘤应该多发结节部分融合成片。
医学百科网 | YxBaike.Com
李宇:
医学百科网 | YxBaike.Com
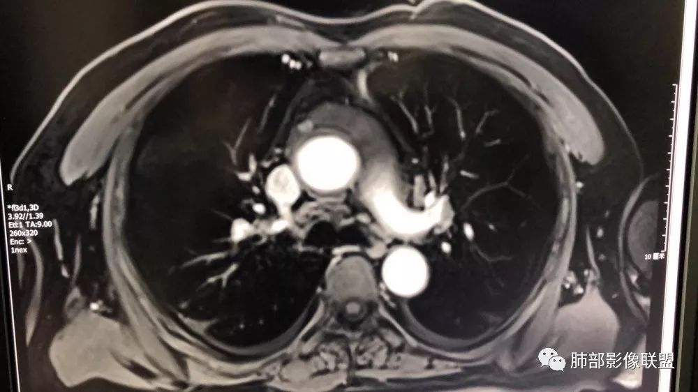
我发一下心包积液抽吸前的MR。
医学百科网 | YxBaike.Com
李宇:
增强 医学百科网 | YxBaike.Com
医学百科网 | YxBaike.Com
医学百科网 | YxBaike.Com
医学百科网 | YxBaike.Com
医学百科网 | YxBaike.Com
李宇: 医学百科网 | YxBaike.Com
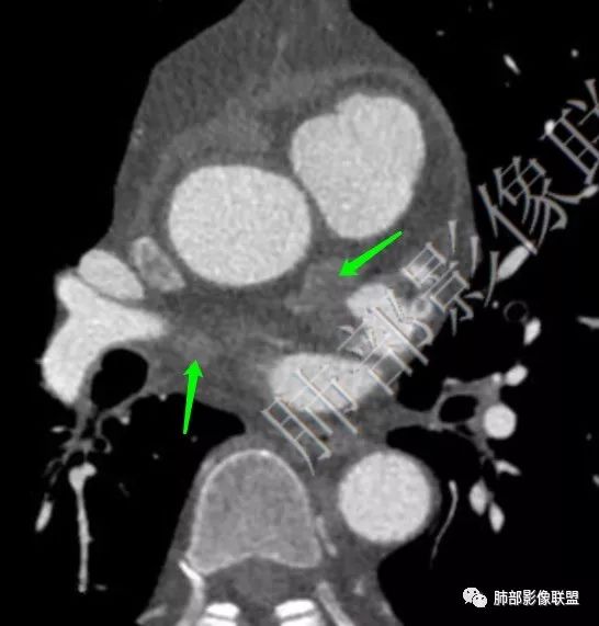
来源?脏层壁层?几个病灶?
刘秋实:
医学百科网 | YxBaike.Com
脏层,一个。 医学百科网 | YxBaike.Com
毛勤香: 医学百科网 | YxBaike.Com
脏层,一个。
李宇:
医学百科网 | YxBaike.Com
MR太清晰啦,病变不止一个。
医学百科网 | YxBaike.Com
医学百科网 | YxBaike.Com
李宇: 医学百科网 | YxBaike.Com
右室受压,但是脂肪间隙消失,跟第一例完全不同。
李宇: 医学百科网 | YxBaike.Com
恶性的大家都没问题,不统一的是恶性间皮瘤还是转移瘤。 医学百科网 | YxBaike.Com
李宇: 医学百科网 | YxBaike.Com
转移瘤一般侵犯心包局部同时累及心肌,心包积液量一般没有恶性间皮瘤大。
恶性间皮瘤肿瘤脱落在心包内转移,病变多发,大量心包积液。
李宇: 医学百科网 | YxBaike.Com
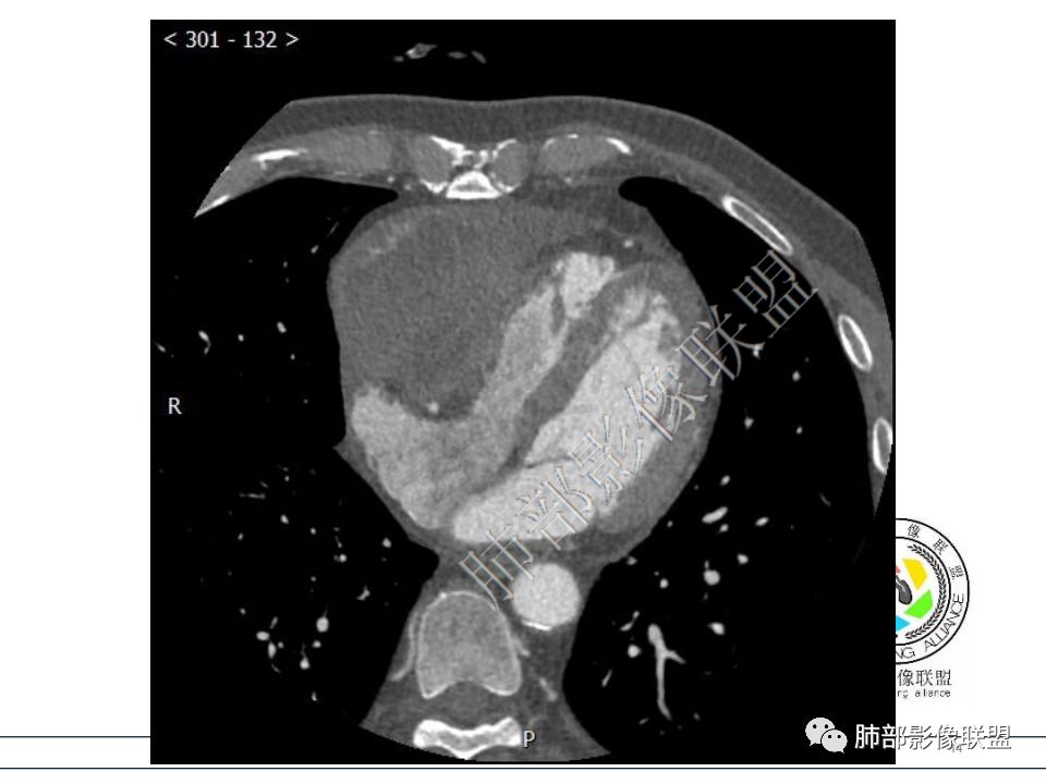
这是另外一例心包间皮瘤。
医学百科网 | YxBaike.Com
刘秋实:
医学百科网 | YxBaike.Com
心脏表面的都是肿瘤吗?
医学百科网 | YxBaike.Com
李宇:
医学百科网 | YxBaike.Com
不全是,有纤维素性成分,而且心脏舒张受限,脏层心包有点皱缩。
医学百科网 | YxBaike.Com
这个也是很多个。
医学百科网 | YxBaike.Com
医学百科网 | YxBaike.Com
医学百科网 | YxBaike.Com
公布结果 医学百科网 | YxBaike.Com
符合恶性间皮瘤,肿瘤侵及右侧心室肌壁。
医学百科网 | YxBaike.Com
