医学百科网 | YxBaike.Com
医学百科网 | YxBaike.Com
医学百科网 | YxBaike.Com
医学百科网 | YxBaike.Com
医学百科网 | YxBaike.Com
医学百科网 | YxBaike.Com
医学百科网 | YxBaike.Com
医学百科网 | YxBaike.Com
医学百科网 | YxBaike.Com
医学百科网 | YxBaike.Com
医学百科网 | YxBaike.Com
医学百科网 | YxBaike.Com
医学百科网 | YxBaike.Com
医学百科网 | YxBaike.Com
医学百科网 | YxBaike.Com
医学百科网 | YxBaike.Com
医学百科网 | YxBaike.Com
医学百科网 | YxBaike.Com
医学百科网 | YxBaike.Com
医学百科网 | YxBaike.Com
医学百科网 | YxBaike.Com
医学百科网 | YxBaike.Com
医学百科网 | YxBaike.Com
医学百科网 | YxBaike.Com
医学百科网 | YxBaike.Com
医学百科网 | YxBaike.Com
医学百科网 | YxBaike.Com
医学百科网 | YxBaike.Com
医学百科网 | YxBaike.Com
医学百科网 | YxBaike.Com
医学百科网 | YxBaike.Com
医学百科网 | YxBaike.Com
微信群内部分讨论:
医学百科网 | YxBaike.Com
李宇 北京安贞医院:
医学百科网 | YxBaike.Com
第一例,病变部位及定位依据、病变特点、可能诊断,慢慢来。
医学百科网 | YxBaike.Com
刘秋实:
医学百科网 | YxBaike.Com
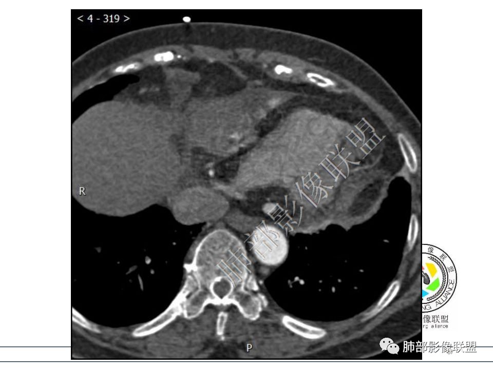
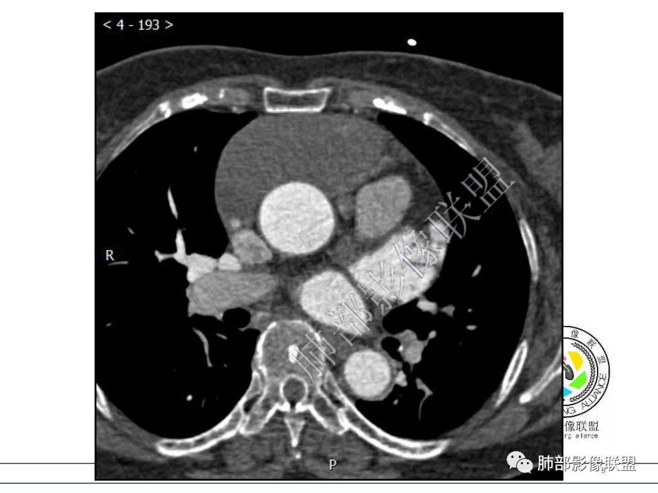
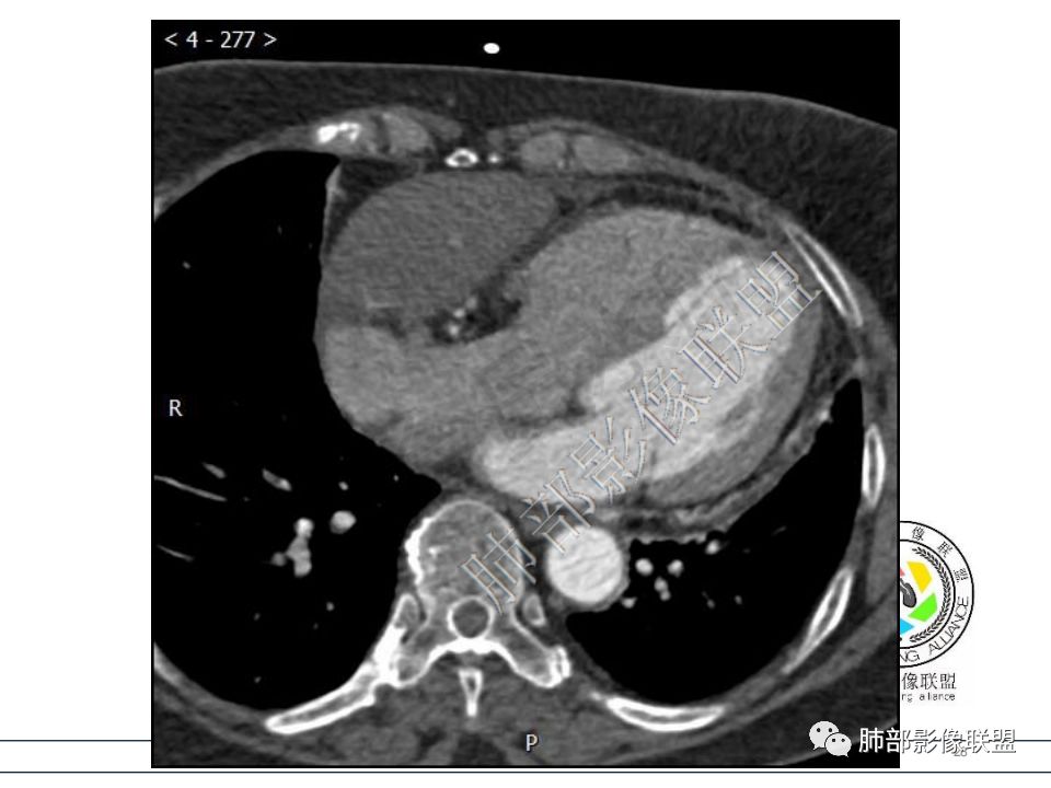
病例一考虑心包来源,病灶从大动脉根部一直延续到心底,明显不均匀强化,没有心包积液,良性?边缘强化,良性先考虑血管瘤。 医学百科网 | YxBaike.Com
杨峰:
医学百科网 | YxBaike.Com
病变位于心包,密度较低,边缘结节性强化,猜一个血管瘤。
毛勤香: 医学百科网 | YxBaike.Com
定位心包,局部与右心房分界不清,右心房受压,冠脉受压,渐进性强化,没有心包积液,考虑心包来源或右心房游离壁来源血管瘤。 医学百科网 | YxBaike.Com
李宇:
医学百科网 | YxBaike.Com
大多数支持来源心包。认为来源于右房壁我们怎么反驳?有何证据?
医学百科网 | YxBaike.Com
刘秋实: 医学百科网 | YxBaike.Com
宽基底与心包相连。 医学百科网 | YxBaike.Com
一米阳光: 医学百科网 | YxBaike.Com
靠近心底层面,与心包延续。 医学百科网 | YxBaike.Com
李宇:
医学百科网 | YxBaike.Com
从心底沿右侧房室沟一直延伸至近膈面,心包来源可以解释的通;另外病变与右心室右心房之间的脂肪间隙一直存在。
与冠状动脉关系?
一米阳光: 医学百科网 | YxBaike.Com
右冠进入病灶内。
医学百科网 | YxBaike.Com
费锋: 医学百科网 | YxBaike.Com
医学百科网 | YxBaike.Com
医学百科网 | YxBaike.Com
费锋: 医学百科网 | YxBaike.Com
病灶本身比较软。
李宇: 医学百科网 | YxBaike.Com
右冠状动脉管腔有没有变化?
医学百科网 | YxBaike.Com
毛勤香:
医学百科网 | YxBaike.Com
右冠增粗参与供血吧?
李宇: 医学百科网 | YxBaike.Com
冠状动脉管腔还可以。
可能有小分支参与供血,但是CT上显示不清楚。
费锋: 医学百科网 | YxBaike.Com
心包海绵状血管瘤的CT特征为平扫呈边界清楚的圆形或者类圆形低密度肿块,对比增强扫描是诊断海绵状血管瘤的关键。动脉期肿瘤边缘可出现散在斑片状、结节状明显强化灶,接近同层强化大血管密度。静脉期散在的强化灶相互融合同时向肿瘤中央扩展。
李宇:
医学百科网 | YxBaike.Com
费老师已经把诊断要点给出来了。 医学百科网 | YxBaike.Com
这例诊断良性的要点是? 医学百科网 | YxBaike.Com
刘秋实:
医学百科网 | YxBaike.Com
没有侵袭性,没有心包积液。 医学百科网 | YxBaike.Com
毛勤香:
医学百科网 | YxBaike.Com
渐进性强化,边界清晰,周围脂肪间隙存在,没有心包积液。
医学百科网 | YxBaike.Com
一米阳光:
边界清晰,周围脂肪间隙存在,临近器官受压无受累。
李宇:
这些都是要点,费老师说的病变比较软也是非常重要的特点。
医学百科网 | YxBaike.Com
这例患者会不会引起血流动力学改变?
刘秋实: 医学百科网 | YxBaike.Com
不大会,占位效应和肿瘤体积不成比例。 医学百科网 | YxBaike.Com
一米阳光: 医学百科网 | YxBaike.Com
如果病灶比较软,应该不会有血液动力学改变吧。 医学百科网 | YxBaike.Com
Forever: 医学百科网 | YxBaike.Com
是不是绝大多数良性肿瘤长在心包里都是塑形生长啊 我看标本 心包太坚韧了。
李宇:
医学百科网 | YxBaike.Com
对的,心包太硬,很难突破。这例压迫右房、三尖瓣环。
熊桅: 医学百科网 | YxBaike.Com
冠状静脉窦增粗,下腔粗,回心血流受限,影响右心舒张,相当于右心衰。 医学百科网 | YxBaike.Com
李宇:
上次我们看的一例脂肪瘤也是压迫上腔静脉,尽管脂肪很软,但是心包限制了它的空间。 医学百科网 | YxBaike.Com
毛勤香: 医学百科网 | YxBaike.Com
心包肿瘤是不是不跨心包内外的,李老师? 医学百科网 | YxBaike.Com
李宇: 医学百科网 | YxBaike.Com
看病变,如果是恶性的可以。良性一般不会。 医学百科网 | YxBaike.Com
公布结果 :
心包海绵状血管瘤 医学百科网 | YxBaike.Com
医学百科网 | YxBaike.Com
