胃平滑肌肉瘤1例CT影像
患者病例 医学百科网 | YxBaike.Com
病史:患者男,65 岁,诉入院前 10 开始出现上腹饱胀不适,无放射痛,无发热,无恶心及呕吐。无恶心及反酸,无黑便,未治疗。自发病以来,精神不佳,饮食少,二便正常。
既往史:有高血压,否认糖尿病史,否认肝炎结核等传染病及其接触史,否认药物食物过敏史,6 年前有肝血管瘤介入治疗手术史,否认输血史,预防接种史不详。 医学百科网 | YxBaike.Com
查体:腹软,腹软,上腹轻微压痛,无反跳痛,无肌紧张,未触及明显肿物。
医学百科网 | YxBaike.Com
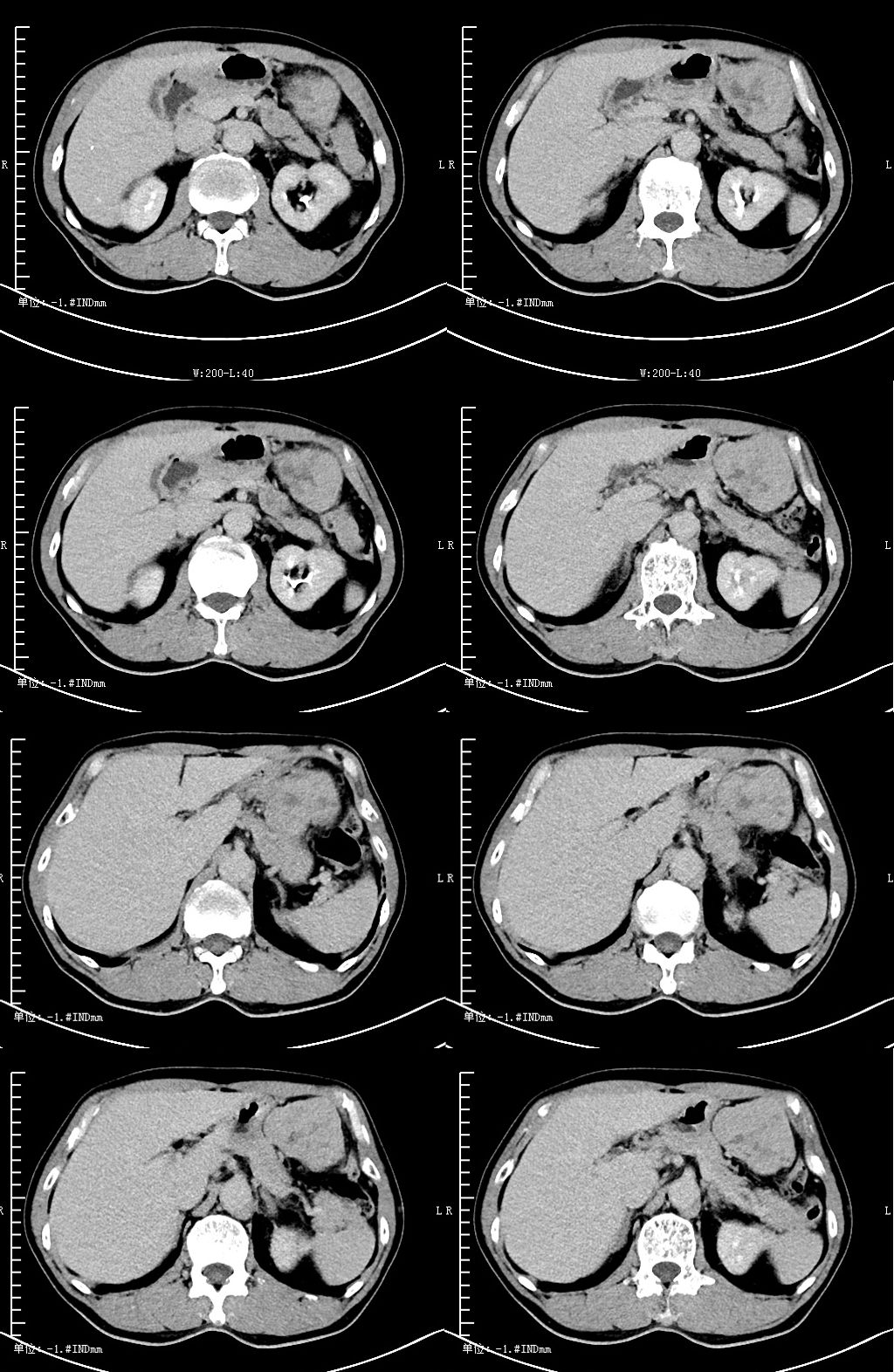
CT 平扫
医学百科网 | YxBaike.Com
CT 动脉期
医学百科网 | YxBaike.Com
医学百科网 | YxBaike.Com
CT 静脉期
医学百科网 | YxBaike.Com
CT 延迟期 医学百科网 | YxBaike.Com
医学百科网 | YxBaike.Com
冠状位 医学百科网 | YxBaike.Com
医学百科网 | YxBaike.Com
医学百科网 | YxBaike.Com
CT 表现:胃大弯外侧见类圆形软组织密度影,边界清,相邻胃大弯受压,大小约 56×71×41 mm,其内见斑片状低密度影,边界欠清,增强扫描 CT 值约 47 HUPS、52-72 HuCE、延迟期 69 Hu,其内见斑片状影无强化。 医学百科网 | YxBaike.Com
手术记录:进腹腔探查:盆腹腔无腹水,胃大弯侧有一实性肿物,似与胃相连,直径约 6 厘米,肝胆胰脾未见明显结节。考虑来源于胃的间质瘤,决定行肿瘤及胃部分切除。超声刀游离肿瘤周围网膜组织,用 2 把腔镜直线切割闭合器切除部分胃及肿物,倒刺线缝合浆肌层包埋胃断端。以温盐水冲洗局部并彻底止血。 医学百科网 | YxBaike.Com
病理诊断:
医学百科网 | YxBaike.Com
胃平滑肌肉瘤 医学百科网 | YxBaike.Com
医学百科网 | YxBaike.Com
胃平滑肌肉瘤起源于肌层的平滑肌组织,亦有极少数起源于黏膜层或血管肌层,少数可由胃良性平滑肌瘤恶变而来,是胃内最常见的恶性非上皮性肿瘤,多见于老年,临床表现不典型,发病率低,占胃恶性肿瘤的 1-3%。 医学百科网 | YxBaike.Com
胃平滑肌肉瘤多位于胃体上部,单发或多发,大体分为三型:腔内型或黏膜下型:肿瘤位于黏膜下,主要向腔内生长和形成肿块;腔外型或浆膜下型:肿瘤位于胃浆膜下,向腔外生长或发展;腔内外型或混合型:发生于肌层,肿瘤同时向浆膜下及黏膜下生长,形成哑铃状肿物。早期很少影响功能,常在晚期并发出血或贫血、上腹部包块就诊,一般肿块较大。 医学百科网 | YxBaike.Com
CT 表现 医学百科网 | YxBaike.Com
腔内型:肿瘤向腔内生长,多位于贲门区。腔外型:肿块常较大,外压胃壁,致使胃腔变窄,混合型:肿块跨胃壁生长。呈等或稍低密度,肿瘤外围血供丰富,中央血供较差,易坏死、液化,增强扫描呈周边延迟性强化,伴中心大片状坏死,较有特异性。大肿块易有溃疡形成并与胃腔相通,肿块内可见气体,带蒂肿块可见与胃壁间细蒂相连,肿瘤边缘不规则,可见分叶,常侵犯周围组织器官,与胃壁分界不清,局部胃壁增厚,周围可见淋巴结肿大。 医学百科网 | YxBaike.Com
MR 表现 医学百科网 | YxBaike.Com
肿瘤多呈圆形、椭圆形,少数呈分叶状或不规则形,小肿瘤多信号均匀,与正常胃壁相比,T1WI 呈低信号或等信号,T2WI 为中等信号,较大肿瘤有囊变和坏死,信号不均匀,有时可见瘤内出血,增强扫描明显强化,有延迟性强化特点,囊变和坏死无强化。 医学百科网 | YxBaike.Com
鉴别诊断 医学百科网 | YxBaike.Com
胃平滑肌瘤:好发贲门、胃底部,可分腔内、腔外、腔内外生长,形态多样,其长径及短径一般相差较大,不少学者认为长/短径比值大于 1.2 作为胃平滑肌瘤与间质瘤的鉴别标准,生长缓慢,一般不会发生坏死、出血、囊变及钙化,平扫表现为边界清楚、密度均匀的软组织肿块,增强扫描轻中度均匀强化。 医学百科网 | YxBaike.Com
胃癌:进展期胃癌,起源于粘膜层,表现不规则、分叶状肿块,向腔内外膨胀生长,黏膜易破坏,胃壁僵硬、胃腔狭窄,甚至出现皮革胃。增强多有明显不均匀强化,静脉期病灶明显,胃癌的微血管主要集中在肿瘤表面,故肿瘤黏膜面易形成一层明显的强化带,而浆膜强化弱,可见分层现象。淋巴结转移常见,多沿引流区域转移,易坏死。
医学百科网 | YxBaike.Com
CASE 1 女 63 岁胃小弯贲门癌
医学百科网 | YxBaike.Com
医学百科网 | YxBaike.Com
CASE 2 患者男,71 岁诉 2 个月前无明显诱因出现上腹饱胀不适,胃幽门肿块型胃癌。 医学百科网 | YxBaike.Com
医学百科网 | YxBaike.Com
医学百科网 | YxBaike.Com
Castleman 病(Castlesman disease,CD)又称巨大淋巴结病或血管滤泡性淋巴结增生症,可分为单中新型(占 90%)和多中心型(占 10%),单中心型发病多呈惰性过程,好发部位依次为纵隔、颈部、腹盆腔、腋窝。
少有全身症状和实验室检查异常,多体检或无意中发现,依据病理特征可分为透明血管型、浆细胞型及混合型,其中透明血管型多见,占 90%,影像学也缺乏特异性表现,多表现为软组织密度,部分瘤体内可见放射状及星芒状钙化,动脉期病灶明显强化,门脉期及延迟期持续强化,周围可出现卫星灶。 医学百科网 | YxBaike.Com
CASE 本例女 56 岁,主因反复上腹部疼痛不适 10 天入院,胃小弯内侧类圆形软组织密度肿块,内似见星芒状稍高密度,动脉期明显强化,静脉期强化持续强化。
医学百科网 | YxBaike.Com
医学百科网 | YxBaike.Com
胃间质瘤(Gastrointestinal Stromal tumors,GIST)起源于粘膜下层,具有非定向分化特征并独立起源于胃壁的间叶源性肿瘤,主要表现为边界清楚的圆形或分叶状肿块,肿块向腔内、腔外或腔内外生长,与邻近胃壁界限清晰,增强扫描多呈明显均匀或不均匀延迟性强化,强化峰值位于静脉期。
CASE 患者男,67 岁诉 3 小时前无明显诱因出现下腹部疼痛 医学百科网 | YxBaike.Com
医学百科网 | YxBaike.Com
CT 表现类圆形边界清楚软组织肿,平扫 CT 值约 29 Hu,动脉期 CT 值约 43 Hu,静脉期 CT 值约 79 Hu,延迟期 CT 值约 67 Hu。 医学百科网 | YxBaike.Com
总之,胃平滑肌肉瘤非常少见,临床表现不典型,发现时一般肿块较大,呈圆形或椭圆形,少数分叶或不规则形,可腔内、腔外或腔内外生长,CT 平扫呈等或稍低密度,增强扫描周围延迟性强化,伴大片状坏死,较为特异性。 医学百科网 | YxBaike.Com
附件列表
词条内容仅供参考,如果您需要解决具体问题,请遵医嘱或咨询医师。
本站词条内容如果涉嫌侵权,请与客服联系,我们将及时进行处理。如需转载,请注明来源于www.yxbaike.com
如果您认为本词条还有待完善,请 编辑
上一篇 自身免疫性脑炎影像表现及诊断 下一篇 胰腺癌1例CT影像
