CT误诊冬眠瘤1例
作者:孙岩,王学梅,张云飞,中国医科大学附属第一医院 医学百科网 | YxBaike.Com
医学百科网 | YxBaike.Com
病例女,21岁,一年半前无明显诱因发现左颈部肿物,于当地医院就诊,查体发现肿块大小约5 cm×10 cm,表面光滑,无明显疼痛,无声音嘶哑,无饮水呛咳及异物感,近来自觉明显增大,为求进一步诊治收入我院。 医学百科网 | YxBaike.Com
医学百科网 | YxBaike.Com
入院后查体:左侧颈部肿物,大小约10 cm×15 cm,触诊气管偏右,结节表面光滑,质韧,无压痛,颈部未触及肿大淋巴结。病来患者无发热、心慌,无多食、消瘦、易情绪激动等高代谢症状,病来饮食睡眠二便如常,体重未见明显改变。颈部CT平扫+增强(64排)检查,可见左侧锁骨上颈外三角区可见不规则囊性低密度病灶,密度均匀,边界清晰,可见多发分叶,沿间隙蔓延,最大层面大小约9.5 cm×3.9 cm,CT值36HU,增强扫描未见明显强化,邻近左侧颈内静脉受压内移,胸锁乳突肌外移,双侧颈部未见明显肿大淋巴结。提示:左侧颈部囊性占位性病变,淋巴管瘤可能性大。 医学百科网 | YxBaike.Com
医学百科网 | YxBaike.Com
图1 颈部CT平扫:左锁骨上颈外三角区可见不规则囊性低密度病灶,此病灶的密度均匀,边界清晰,可见多发分叶,沿间隙蔓延。最大层面大小约9.5 cm×3.9 cm,CT值36HU。图2 该病灶增强扫描未见明显强化。 医学百科网 | YxBaike.Com
医学百科网 | YxBaike.Com
患者行左颈部及左锁骨上窝肿物切除术:术中见肿物位居左颈根部锁骨上窝内浅筋膜深层,囊性,其内侧为颈内静脉,外下方为臂丛起始部,肿物大小约10 cm×6 cm×8 cm,内有多量暗棕红色囊液。术后病理光镜下所见:瘤组织由大量棕色脂肪细胞构成,排列密集;免疫组化A2:CK(NS),Vimentin(+),CD68(+),CD34(+),SMA(NS),S-100(+),CD68(beta-catenin膜+),Desmin(NS)Ki-67(<1%)。病理诊断:冬眠瘤。 医学百科网 | YxBaike.Com
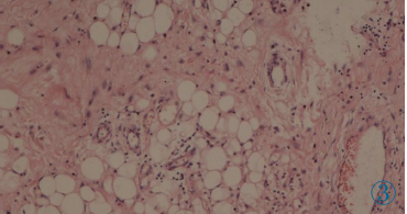
图3光镜下见瘤组织由大量棕色脂肪细胞构成,并且棕色脂肪细胞排列密集。 医学百科网 | YxBaike.Com
医学百科网 | YxBaike.Com
讨论 医学百科网 | YxBaike.Com
冬眠瘤是一种罕见的良性脂肪组织肿瘤。起源于胎儿时期的棕色脂肪,棕色脂肪内含有丰富的毛细血管,脂肪细胞内含有许多散在的脂肪滴,线粒体较大,内含丰富的铁,看起来呈棕色,从而称为棕色脂肪瘤。棕色脂肪存在于冬眠动物及少量非冬眠动物体内,因此又称为冬眠瘤。人类在童年期棕色脂肪逐渐减少,至成年只占脂肪组织的1%,因此人类的冬眠瘤比较罕见。发病年龄有报道称好发于30~40岁之间,且男女发病率无明显差异。
医学百科网 | YxBaike.Com
医学百科网 | YxBaike.Com
冬眠瘤常需与高分化脂肪瘤相鉴别,当肿瘤内含有较多囊液时需要与淋巴管瘤相鉴别。囊性淋巴管瘤好发于颈部、腋窝、腹股沟等处的淋巴结周围,影像学表现为病灶常占据机体多个组织间隙,呈无回声水样密度或信号强度;超声多表现为囊实混合性回声,其内多可见分隔,病灶表面光滑柔软,挤压易变形,有可压缩性,血流较少,不丰富。
医学百科网 | YxBaike.Com
医学百科网 | YxBaike.Com
单纯性淋巴管瘤也可位于皮肤浅层,如颈部。如伴出血,囊肿会迅速增大,表面肿大可突出于皮肤。脂肪瘤可见于全身皮下的肌层、脂肪层及两层组织之间。脂肪瘤影像学表现:CT表现为皮下脂肪组织呈低密度;MRIT1WI、T2WI间隙脂肪呈高信号和稍高信号;超声表现为脂肪层或皮下肌层的高、稍高及低回声,血流较少,不丰富。当病灶内含较多囊液,CT可表现为不规则囊性低密度病灶。冬眠瘤好发于颈部、腋窝、肩胛区、纵膈,腘窝等,大多数位于皮下,少数发生于肌肉内。 医学百科网 | YxBaike.Com
冬眠瘤由棕色脂肪细胞构成,因此影像学表现与脂肪瘤相似。该例患者病灶中含有大量囊液及CT增强扫描未见明显强化。与淋巴管瘤同样好发于皮肤浅层,因此通过影像学表现对二者进行鉴别,存在一定困难。冬眠瘤虽然是一种良性肿瘤,但仍需要关注肿瘤所在位置,当肿瘤压迫邻近组织、血管、神经等,而引起患者出现明显临床症状时,建议患者手术切除,一方面可以病理明确肿物性质,同时可以缓解症状,且冬眠瘤术后复发率极低,预后良好。
来源:孙岩,王学梅,张云飞.CT误诊冬眠瘤1例[J].中国临床医学影像杂志,2019,30(02):145-146.
医学百科网 | YxBaike.Com
附件列表
词条内容仅供参考,如果您需要解决具体问题,请遵医嘱或咨询医师。
本站词条内容如果涉嫌侵权,请与客服联系,我们将及时进行处理。如需转载,请注明来源于www.yxbaike.com
如果您认为本词条还有待完善,请 编辑
上一篇 第四代头孢菌素有哪些 下一篇 3D打印金属人工椎体在脊柱骨巨细胞瘤中的应用1例
