女性盆腔附件解剖及其常见肿瘤的影像表现
卵巢解剖 医学百科网 | YxBaike.Com
位置:位于髂内、外动脉所夹的卵巢窝内,左右各一 医学百科网 | YxBaike.Com
形态:扁平的椭圆形,表面凸隆
医学百科网 | YxBaike.Com
大小:成年女性约 4×3×1 CM
医学百科网 | YxBaike.Com
毗邻: 医学百科网 | YxBaike.Com
外侧贴靠盆腔侧壁;内侧向盆腔,与小肠相邻; 医学百科网 | YxBaike.Com
后缘游离;前缘借系膜连于子宫阔韧带; 医学百科网 | YxBaike.Com
上端与输卵管腹腔口相接触; 医学百科网 | YxBaike.Com
下端借卵巢固有韧带连于宫底; 医学百科网 | YxBaike.Com
医学百科网 | YxBaike.Com
韧带:卵巢悬韧带、卵巢固有韧带;
医学百科网 | YxBaike.Com
医学百科网 | YxBaike.Com
医学百科网 | YxBaike.Com
组织结构: 医学百科网 | YxBaike.Com
卵巢实质分为皮质和髓质;
皮质由大小不等的各级发育卵泡、黄体等组织组成;
医学百科网 | YxBaike.Com
髓质由疏松结缔组织及丰富的血管、神经、淋巴管等组织构成 医学百科网 | YxBaike.Com
医学百科网 | YxBaike.Com
卵巢门:卵巢的前缘借系膜连于子宫阔韧带,此缘中部有血管、神经等出入,称为卵巢门
医学百科网 | YxBaike.Com
卵巢功能: 医学百科网 | YxBaike.Com
生殖功能:产生卵子并排卵 医学百科网 | YxBaike.Com
内分泌功能:合成并分泌雌激素、孕激素、少量 的雄激素
输卵管解剖 医学百科网 | YxBaike.Com
位置:位于子宫阔韧带的上缘,内侧与宫角相连通,外端游离,与卵巢接近 医学百科网 | YxBaike.Com
形态:呈细长管状 医学百科网 | YxBaike.Com
长度:约 8~15 cm
医学百科网 | YxBaike.Com
医学百科网 | YxBaike.Com
输卵管结构:
子宫部(间质部):为子宫壁内的一段,通向宫腔,直径最细 医学百科网 | YxBaike.Com
峡部:细而直,输卵管结扎术在此进行
医学百科网 | YxBaike.Com
壶腹部:粗而长,常为卵子受精场所
漏斗部(伞部):输卵管末端膨大部分,呈伞状,开口向腹膜腔,盖在卵巢表面,有「拾卵」的作用 医学百科网 | YxBaike.Com
医学百科网 | YxBaike.Com
输卵管功能:
1、输送卵子 医学百科网 | YxBaike.Com
2、受精的场所
医学百科网 | YxBaike.Com
3、将受精卵输送至子宫 医学百科网 | YxBaike.Com
医学百科网 | YxBaike.Com
卵巢常见肿瘤的组织学分类
医学百科网 | YxBaike.Com
医学百科网 | YxBaike.Com
卵巢常见肿瘤的影像学表现
医学百科网 | YxBaike.Com
囊腺癌 医学百科网 | YxBaike.Com
囊腺瘤分为浆液性及粘液性囊腺瘤;好发年龄:25-50 岁 医学百科网 | YxBaike.Com
影像表现: 医学百科网 | YxBaike.Com
体积较大,多为单侧,单房或多房大囊(浆液性)、多房小囊(粘液性) 医学百科网 | YxBaike.Com
边界及分隔:界清;分隔小于 3 mm,粗细较均匀,可伴钙化 医学百科网 | YxBaike.Com
恶变征象:年纪大、囊实性、壁内结节、囊壁或分隔粗细不均>3 mm、边界不清、腹膜转移 医学百科网 | YxBaike.Com
CASE 1 53Y/F 下腹坠胀伴疼痛 2 月 医学百科网 | YxBaike.Com
医学百科网 | YxBaike.Com
病理诊断:左卵巢浆液性囊腺瘤 医学百科网 | YxBaike.Com
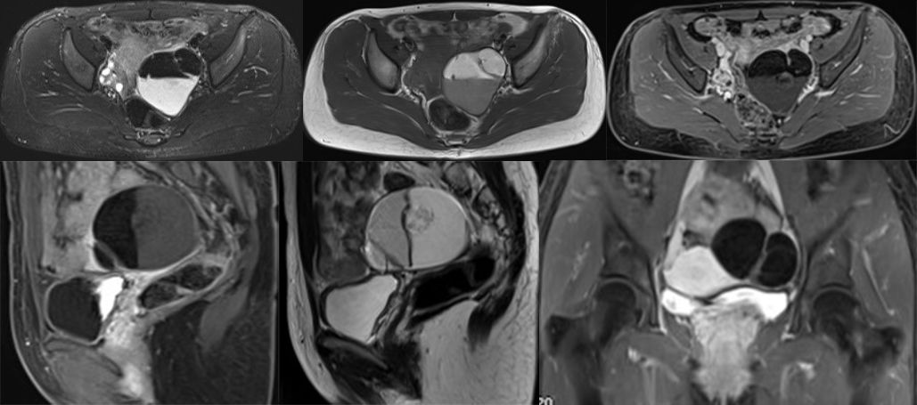
CASE 2 28Y/F 发现下腹包块 2 年,下腹痛 1 个月 医学百科网 | YxBaike.Com
医学百科网 | YxBaike.Com
病理诊断:左卵巢交界性黏液性囊腺瘤
透明细胞癌 医学百科网 | YxBaike.Com
透明细胞癌:由子宫内膜异位发展而来;好发年龄:围绝经期妇女多见
影像表现: 医学百科网 | YxBaike.Com
体积较大、囊实性、单房多见,附壁结节圆形或卵圆形
边界:清楚 医学百科网 | YxBaike.Com
实性病灶内/间有纤维分隔
医学百科网 | YxBaike.Com
血管丰富 医学百科网 | YxBaike.Com
强化:渐进性
医学百科网 | YxBaike.Com
CASE 3 41Y/F 发现盆腔包块 1 月余 医学百科网 | YxBaike.Com
医学百科网 | YxBaike.Com
病理诊断:卵巢透明细胞腺癌 医学百科网 | YxBaike.Com
卵泡膜细胞瘤 医学百科网 | YxBaike.Com
医学百科网 | YxBaike.Com
卵泡膜细胞瘤,良性或潜在恶性;好发年龄:多为绝经后妇女;常和颗粒细胞瘤和纤维瘤混合存在
医学百科网 | YxBaike.Com
影像表现: 医学百科网 | YxBaike.Com
单侧、实性,可有囊变、坏死、出血 医学百科网 | YxBaike.Com
边界:较清楚
信号特点:T2WI 低信号(含纤维成分多时)
医学百科网 | YxBaike.Com
增强:轻度延迟强化 医学百科网 | YxBaike.Com
常合并腹水
医学百科网 | YxBaike.Com
CASE 4 45Y/F 发现盆腔包块 1 月余 医学百科网 | YxBaike.Com
医学百科网 | YxBaike.Com
病理诊断:卵泡膜细胞瘤
畸胎瘤 医学百科网 | YxBaike.Com
医学百科网 | YxBaike.Com
畸胎瘤,分为成熟型畸胎瘤及未成熟型畸胎瘤;好发年龄:多为年轻女性 医学百科网 | YxBaike.Com
影像表现:
含脂肪成分、骨化、钙化,可有液-脂平面 医学百科网 | YxBaike.Com
成熟型以囊性为主,边界及分隔粗细均匀,壁内结节体积较小;未成熟型呈囊实混合,实性部分较多,信号/密度混杂,边界模糊 医学百科网 | YxBaike.Com
增强:成熟型实性部分强化较均匀;未成熟型不均 医学百科网 | YxBaike.Com
CASE 5 26Y/F 体检发现左附件包块 1 月余 医学百科网 | YxBaike.Com
医学百科网 | YxBaike.Com
病理诊断:囊性成熟性畸胎瘤 医学百科网 | YxBaike.Com
无性细胞瘤 医学百科网 | YxBaike.Com
无性细胞瘤:中度恶性的实性肿瘤;好发年龄:儿童及青年妇女
医学百科网 | YxBaike.Com
影像表现:
医学百科网 | YxBaike.Com
分叶状实性肿块,体积较大,内见纤维分隔,可伴出血、坏死、钙化 医学百科网 | YxBaike.Com
增强:实质部分显著强化 医学百科网 | YxBaike.Com
CASE 6 9Y/F 发现腹部包块 1 周


病理诊断:无性细胞瘤
医学百科网 | YxBaike.Com
卵黄囊瘤 医学百科网 | YxBaike.Com
医学百科网 | YxBaike.Com
卵黄囊瘤,又称内胚窦瘤,为高度恶性的生殖细胞肿瘤;好发年龄:儿童及年轻妇女(<30 岁);几乎均有 AFP 升高
医学百科网 | YxBaike.Com
影像表现: 医学百科网 | YxBaike.Com
单发,体积较大,囊实性或实性肿块伴坏死区,内有纤维分隔 医学百科网 | YxBaike.Com
血供丰富,强化明显,常合并腹水 医学百科网 | YxBaike.Com
CASE 7 23Y/F 发现排便不畅 3 月余,腰痛 2 周 医学百科网 | YxBaike.Com


病理诊断:卵黄囊瘤 医学百科网 | YxBaike.Com
转移性肿瘤
医学百科网 | YxBaike.Com
转移性肿瘤:主要发生于胃和结肠肿瘤转移,其次为乳腺、肺和对侧卵巢肿瘤
转移瘤影像学表现无特异性,可以是实质性肿瘤或囊实性混合性肿瘤 医学百科网 | YxBaike.Com
krukenberg 瘤(库肯勃瘤):恶性程度高,是由于胃癌,特别是胃粘液癌细胞浸润至胃浆膜表面时,经种植性转移,种植于双侧卵巢的转移性粘液癌
CASE 8 46Y/F 发现下腹包块 2 月, 逐渐增大 医学百科网 | YxBaike.Com


胃体粘膜病理结果:浸润性低分化腺癌 医学百科网 | YxBaike.Com
卵巢肿瘤病理结果:卵巢低分化腺癌,可能来源于胃、胰腺、胆管及小肠
医学百科网 | YxBaike.Com
附件列表
词条内容仅供参考,如果您需要解决具体问题,请遵医嘱或咨询医师。
本站词条内容如果涉嫌侵权,请与客服联系,我们将及时进行处理。如需转载,请注明来源于www.yxbaike.com
如果您认为本词条还有待完善,请 编辑
上一篇 医学生考研公众号 下一篇 肺气肿、肺大泡、肺气囊的概念
