“晕征” 的影像表现与临床意义
医学百科网 | YxBaike.Com
又名:晕轮征。 医学百科网 | YxBaike.Com
晕征是指在影像学上较肿块或结节影密度低的完全围绕在其周围的环形磨玻璃影。
医学百科网 | YxBaike.Com
胸部X线表现为肺部圆形或类圆形阴影,中心密度较高,外周围绕低密度模糊阴影, 呈晕轮样改变。见图1。 医学百科网 | YxBaike.Com
医学百科网 | YxBaike.Com
二、CT表现 医学百科网 | YxBaike.Com
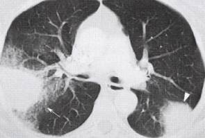
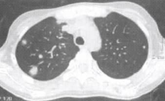
CT晕征是CT图像上肺内实性肿块灶或结节影中心密度稍高,边缘密度稍低,病灶四 周被一圈淡薄的云雾样“磨玻璃”样阴影环绕,其厚度不一,范围狭窄,呈晕圈样改变。见 图2至图4。 医学百科网 | YxBaike.Com
医学百科网 | YxBaike.Com
医学百科网 | YxBaike.Com
医学百科网 | YxBaike.Com
医学百科网 | YxBaike.Com
许多感染和非感染疾病过程均可形成伴有出血的肺结节,其病理基础是病灶周围脉管 炎、血管闭塞和出血性梗死及大量炎性细胞浸润。如感染性疾病中侵袭性肺曲菌病在组织病 理学上的特点是曲菌侵入血管及以后在小动脉(有时为肺大血管)内的血栓形成,继而发生 出血性肺梗死,中央的结节或肿块为坏死的肺组织,周围的晕环则代表坏死周围出血区;而 毛菌病的组织病理学特征为:有直角分支的无分隔宽菌丝侵入组织并有侵犯血管的倾向。在CT上表现为带晕征的结节,都有肺血管血栓形成及梗死;肺念珠菌病血源性播散可导致弥散性微脓肿、感染性血栓及出血性梗死区形成。在非感染性疾病,如韦格纳肉芽肿病患者 可有与肺结节有关的局限性出血,也可发展为弥漫性肺出血。这可能是由于合并坏死性血管 炎、毛细管炎和实质坏死所致。多种肺原发和转移性疾病,包括血管肉瘤、卡波西肉瘤、绒毛膜癌和黑色素瘤,均可因其血管丰富而形成出血性肺结节。这些疾病中的出血被认为是由 于新生血管的脆性而致血栓形成和血管破裂的结果。 医学百科网 | YxBaike.Com
在多种肿瘤,如细支气管肺泡癌、其他原发肺癌、淋巴瘤和转移性肺肿瘤中均可见代表 肿瘤细胞浸润的围绕结节的磨玻璃影。细支气管肺泡癌通常表现为伴磨玻璃影的孤立性周围 性肺结节。局灶性磨玻璃影被认为是发生局部病变的早期征象,磨玻璃影在组织病理学上反 映肿瘤的一种独特的鳞屑式生长方式,即以肺泡间隔为基质,在远端气腔扩散而较少充盈腺 泡。而淋巴瘤中的结节代表了单形的单细胞系的恶性淋巴细胞的密集浸润,晕征则代表较稀 疏排列的肿瘤细胞对周围间质的浸润。在转移性肺疾病中,结节周围的磨玻璃影是从肿瘤向 周围肺泡壁浸润的结果。
医学百科网 | YxBaike.Com
在一些炎症性疾病中如单纯肺嗜酸粒细胞增多症、特发性嗜酸粒细胞过多症和寄生物感 染的嗜酸粒细胞性肺病中,均可见有晕征的肺结节。组织病理学上其磨玻璃样晕环为嗜酸粒 细胞与其他炎性细胞的肺浸润的结果。而局部机化性肺炎(不吸收或延迟吸收的肺炎)在 HRCT上也可出现伴晕征的结节,病理学上中央区为嗜中性脓肿,而磨玻璃影则为肺泡内 的炎性渗出、纤维性改变及在肺泡间隔和支气管血管旁间质中的慢性炎性细胞浸润。 医学百科网 | YxBaike.Com
医学百科网 | YxBaike.Com
晕征也可出现在其他一些与肺结节出血有关的情况下。富含血管肿瘤的肺转移瘤因其血 供丰富而形成出血性结节,可以表现为磨玻璃样晕,最有可能是继发于易碎的肿瘤血管组织 的病灶周围出血,这种CT表现可出现在血管肉瘤、绒毛膜癌和骨肉瘤的肺转移患者中。肺 子宫内膜异位症的患者在月经出血时也可见出血性肺结节。肺卡波西肉瘤在胸部CT上的典 型表现为边界不清(火焰样)的结节影,主要沿周围支气管血管束分布。该病有时在CT上 也可表现为多中心的磨玻璃密度影或伴有晕征的结节影。韦格纳肉芽肿病,一种累及呼吸道 的坏死性血管炎,可以表现为伴有肺出血,形成晕征。有人回顾40例肺移植患者的CT图 像,12例患者出现与感染或排异无关的结节,其中6例在CT图像上可磨玻璃影,作者认 为此与继发于肺损伤的出血有关,一般认为提示结节出血。
医学百科网 | YxBaike.Com
肺内孤立实性结节周围环绕磨玻璃晕征是一种非特异性表现,大多出现在炎性结节周 围,而在少数肺癌结节周围亦可出现。其病理基础是正常肺泡上皮被肿瘤细胞取代,肺泡壁 医学百科网 | YxBaike.Com
轻度增厚,肺泡腔未完全闭塞或大小尚正常;与炎性病灶所形成的病灶周围炎病理基础明显 不同。根据Hdtzman描述,肿瘤细胞沿肺泡壁蔓延,呈浸润性生长,这可以在支气管肺泡 癌中见到,这也就能够解释该类型肿瘤中常见到磨玻璃密度影。吕岩等发现肿瘤实性结节与 环绕的磨玻璃晕征交界面及磨玻璃晕征与肺野交界面均境界清楚。Nambu等认为89%的局 灶磨玻璃密度肿瘤性病灶边缘清楚,明显高于非肿瘤性病灶。另一组65例肺外腺癌肺内转 移患者,2例出现晕征,组织学检查显示肿瘤浸润呈浸润性生长。
医学百科网 | YxBaike.Com
据报道,晕征同样可出现在嗜酸性肺炎、闭塞性细支气管炎机化性肺炎、结核和禽分枝 杆菌复合体、伯纳特柯克斯体(Q热的病原体)、巨细胞病毒、单纯疱疹病毒、黏液病毒感 染的患者。但这些病例大多数是单发病例报道或在数量有限的患者中,而且大多数病例没有 病理-影像的对比。
医学百科网 | YxBaike.Com
总之,CT晕征见于多种肺部疾病,常与结节出血有关。在免疫缺陷患者中,CT晕征 是有用的早期诊断线索,可能是肺霉菌感染的第一证据。对于孤立性肺病变,特别存在晕征 的病例时,亦应考虑恶性病变,磨玻璃晕征与中心实性结节及周围肺野交界面的清楚与否是 鉴别病灶良恶性的要点之一。 医学百科网 | YxBaike.Com
医学百科网 | YxBaike.Com
(1)肺霉菌球本病是由于霉菌感染所引起的局限性的孤立性肿瘤样病变,其CT表现 为球块灶,伴空洞与肺门淋巴结肿大。据认为晕征和霉菌球形成有一定特异性。晕征是指曲 菌感染早期在肿块灶周围见一密度介于肿块与正常组织间,并环绕肿块阴影,在中央较高密 度块影承托下,其周密度相对较低环形带状影,似晕轮而命名。此征多系出血性肺梗死。另 一征象为曲菌球,通常位于壁薄囊腔或空洞内,呈游离态,可随重力、体位而改变。增强扫 描,该游离体不强化,但壁可强化。 医学百科网 | YxBaike.Com
(2)韦格纳肉芽肿是一种病因不完全明确的坏死性肉芽肿性血管炎,多见于中青年 人,一般起病慢,也有急性发病者。病变主要累及鼻、肺、肾等多个器官的中小血管, 偶尔累及大血管,其病理以血管壁炎症及肉芽肿形成为主要特础。多发结节和肿块是韦 格肉芽肿最常见的影像征象,表现为两肺多发、大小不等、类圆形结节或肿块影,边缘 见粗大毛刺,多分布于两肺外围及胸膜下,以两肺中下部多见。病灶边缘清晰或模糊, 部分病灶可见“晕征”,与病灶周围肺泡出血有关。增强扫描可显示结节或肿块呈边缘性强 化,中心坏死无强化,并见强化血管影进入结节。肺内多发性肺结节伴空洞、楔形灶、毛玻 璃样改变和实变对肺韦格肉芽肿具有相对特异性,学者认为边缘性强化和“供养血管征”是 本病重要特征之一。 医学百科网 | YxBaike.Com
(3)球形肺炎本病多由肺炎双球菌、金黄色葡萄球菌等所致球形肺炎。X线片形态可 呈球形、类球形,其中贴近胸膜的方形病灶有特征性;球形肺炎边缘毛糙,可见长毛刺和棘 状改变,且模糊,有时可见晕征,其周围可见淡薄小片状影,反映了病变急性渗出性改变, 医学百科网 | YxBaike.Com
其CT片密度较淡,且增强后病灶中央可见规则、界面清晰的无强化区,反映了炎性坏死的 特点,具有特征性。 医学百科网 | YxBaike.Com
(4)周围型肺癌误诊率最高,可能与肺癌常见、年龄偏大有关。周围型肺癌毛刺细 短,密集•,边缘多不规则,有分叶切迹且多为深分叶,亦可见“晕征”,为肿瘤的周围浸润 及间质反应所致。肺癌形态呈较规整球形,方形少见。肺癌周围毛刺细短,边缘多较清楚, 不见晕征,可合并肺门及纵隔淋巴结肿大,附近胸膜改变局限,胸膜凹陷征常见。
(5)肺转移瘤常表现为多发肺部结节和(或)肿块。
医学百科网 | YxBaike.Com
附件列表
词条内容仅供参考,如果您需要解决具体问题,请遵医嘱或咨询医师。
本站词条内容如果涉嫌侵权,请与客服联系,我们将及时进行处理。如需转载,请注明来源于www.yxbaike.com
如果您认为本词条还有待完善,请 编辑
上一篇 “空气支气管征” 的影像表现与临床意义 下一篇 典型影像征象收集
