上腔静脉综合征
医学百科网 | YxBaike.Com
上腔静脉综合征(SVCS)又称上腔静脉阻塞综合征,是一组由于通过上腔静脉回流到右心房的血流部分或完全受阻相互影响所致的症候群,为肿瘤临床上最常见的急症。患者出现急性或亚急性呼吸困难和面颈肿胀。检查可见面颈、上肢和胸部静脉回流受阻,淤血,水肿,进一步发展可导致缺氧和颅内压增高,需要紧急处理以缓解症状。 医学百科网 | YxBaike.Com
导致上腔静脉阻塞的原因很多,包括纵隔的原发的或转移性肿瘤、炎症或上腔静脉血管本身栓塞。其中以支气管肺癌及其淋巴结转移压迫引起的最常见,其次是慢性纤维素性纵隔炎,而上腔静脉血栓形成较少见。 医学百科网 | YxBaike.Com
急性发病者,出现严重头痛、头晕、头胀,嗜睡和憋气等。如短期内上腔静脉完全阻塞,尚未建立侧支循环,则可致上腔静脉压急剧升高,引起颅内压增高,可造成颅内静脉破裂而死亡。多数病例发病缓慢,卧位、低头、弯腰时头胀、头晕,睡眠时鼾声很大。患者诉病前是长脸,后逐渐成为方形脸,颈部变粗。体检:头、颈、上肢充血肿胀,睑结膜充血,舌下静脉曲张,颈静脉怒张,上肢静脉充盈,胸、腹壁静脉曲张,血流自上向下走行。上腔静脉压可高达30mmHg以上。
1.X线检查 医学百科网 | YxBaike.Com
X线透视及平片可发现上纵隔、右肺上叶、上腔静脉周围有占位影,可能认为上腔静脉有肿块压迫。上腔静脉本身炎症或其周围炎症性病变,则X平片常无阳性发现。
医学百科网 | YxBaike.Com
2.上腔静脉造影
两侧肘静脉穿刺和大隐静脉穿刺置管,达上腔静脉梗阻部下方,同时注入造影剂,可显示两侧锁骨下静脉、上腔静脉梗阻的起始部位,也可显示近心端健康上腔静脉。
3.多普勒超声图
医学百科网 | YxBaike.Com
可测得上腔静脉梗阻的部位和程度,与周围组织的关系。
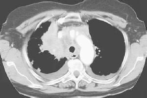
4.CT及磁共振
医学百科网 | YxBaike.Com
显示上腔静脉梗阻的部位、程度,并显示右上纵隔占位性病变。 医学百科网 | YxBaike.Com
首先缓解症状,其次是根治肿瘤。 医学百科网 | YxBaike.Com
1.一般处理 医学百科网 | YxBaike.Com
(1)病人应卧床,取头高脚低位及给氧,这样可增加静脉回流血量,减轻心脏输出,降低静脉压,减轻颜面及上部躯体水肿,吸氧可缓解暂时性呼吸困难。 医学百科网 | YxBaike.Com
(2)限制钠盐摄入和液体摄入,以减少循环血量,能使水肿减轻。利尿剂的使用可以减轻阻塞所致的上部水肿,缓解症状,如脑水肿。但一般不鼓励采取脱水以避免引起血栓形成。镇静剂和止痛剂有助于减轻因呼吸困难和疼痛所引起的焦虑和不适。
医学百科网 | YxBaike.Com
(3)应用激素能抑制正常组织内的炎性反应从而减轻压迫,可控制喉、脑水肿,预防和治疗颅压升高所导致的生命威胁。
(4)由于病人常处于高凝状态,必要时可给一定的抗凝、抗栓治疗。 医学百科网 | YxBaike.Com
2.放射治疗
医学百科网 | YxBaike.Com
放射治疗有良好的疗效,除小细胞肺癌和恶性淋巴瘤外,对大多数恶性病因所致的上腔静脉综合征,放射治疗仍是首选的治疗方法。放射线可以在72小时内使肿瘤坏死。几乎90%的病人放疗3周内自觉症状可缓解。 医学百科网 | YxBaike.Com
3.化学药物治疗
上腔静脉综合征继发于小细胞肺癌、恶性淋巴瘤及生殖细胞瘤时,具有显著的化疗效果,有时可先做化学治疗。其优点是避免放射治疗开始时引起的暂时性水肿导致病情一过性加重。对于病变较广泛,需要照射的范围过大的病人也可先做化疗。化疗应选用作用快的周期非特异性药物,临床上多以冲击化疗方式给药,选药1~2种,剂量较平常为大,高出1/3~1/2。最好同时给予激素以减轻反应。 医学百科网 | YxBaike.Com
4.手术治疗 医学百科网 | YxBaike.Com
手术治疗对于良性病因所致的上腔静脉阻塞有效,对化疗、放疗不敏感的恶性肿瘤也可用外科手段做姑息性治疗,但效果往往不甚理想。手术治疗对上腔静脉阻塞所致的急性发作如脑水肿和气道阻塞的病例最有效。对于其他恶性病因者则避免手术治疗。 医学百科网 | YxBaike.Com
5.抗凝治疗 医学百科网 | YxBaike.Com
适用于非恶性病因所致的有血栓形成的情况,或者用于配合恶性病因的放疗、化疗,可以有助于缓解症状,但对肿瘤本身无效。对于因静脉导管所致血栓形成的上腔静脉阻塞,单用抗凝治疗,即可使阻塞消除。另外,抗凝治疗还可促进抗癌药物向肿瘤组织的运动,提高抗癌效果。 医学百科网 | YxBaike.Com
医学百科网 | YxBaike.Com
附件列表
词条内容仅供参考,如果您需要解决具体问题,请遵医嘱或咨询医师。
本站词条内容如果涉嫌侵权,请与客服联系,我们将及时进行处理。如需转载,请注明来源于www.yxbaike.com
如果您认为本词条还有待完善,请 编辑
上一篇 遗精 下一篇 非闭塞性肠系膜血管缺血

