动脉粥样硬化
动脉硬化是随着人年龄增长而出现的血管疾病,其规律通常是在青少年时期发生,至中老年时期加重、发病。男性较女性多,近年来本病在我国逐渐增多,成为老年人死亡主要原因之一。动脉硬化的原因中最重要的是高血压、高血脂症、抽烟三大危险因子。其他肥胖、糖尿病、运动不足、紧张状态、高龄、家族病史、脾气暴躁等都有关系。 医学百科网 | YxBaike.Com
(1)高血压:高压血流长期冲击动脉壁引起动脉内膜机械性损伤,造成血脂易在动脉壁沉积,形成脂肪斑块并造成动脉硬化狭窄。血压不控制,心肌梗塞发生率约提高2~3倍,脑中风则约4倍。 医学百科网 | YxBaike.Com
(2)高脂血症:血中脂肪量过高较易沉积在血管内壁形成斑块,造成动脉硬化狭窄。
(3)糖尿病:糖尿病人的脂肪代谢会出现问题,血液中运送脂肪的蛋白质(称做脂蛋白)会产生变性,在运送过程中脂肪容易沉积在血管内壁形成脂肪斑块。 医学百科网 | YxBaike.Com
(4)抽烟:香烟中的尼古丁、一氧化碳等会损伤动脉内壁,受伤的动脉内壁会卡住胆固醇,引起血小板堆积形成脂肪斑块。同时,抽烟也会引起冠状动脉收缩痉挛,减少血流量。
医学百科网 | YxBaike.Com
(5)缺少运动:运动可以增加高密度脂蛋白,减少低密度脂蛋白,帮忙身体把多余胆固醇从胆道与肠道排出体外,避免过剩胆固醇沉积在血管内壁。此外,运动可以促进血液循环,增加血管弹性,降低血压,消耗过剩热量,使身体脂肪比重减少,肌肉比重增加,而减轻体重。因此缺乏运动的人很容易得到粥状动脉硬化。 医学百科网 | YxBaike.Com
(6)肥胖:肥胖或体重过重的人,心脏负荷加重,血脂肪不正常的机率也较高,因而增加粥状动脉硬化风险。肥胖,易促发高血压、糖尿病、高血脂症、胰岛素阻抵抗症候群。
医学百科网 | YxBaike.Com
(7)过大压力:人会因为压力而增加肾上腺素的分泌,于是引起血压升高、心跳加快,伤害动脉血管内壁。
医学百科网 | YxBaike.Com
(8)家族史:指的是基因上的因素,使某些人早期就发生动脉硬化疾病遗传,其原因仍未明,有的是严重高胆固醇血症,迭积在血液中,进而促发动脉硬化发生。有的是早发性高血压,或是容易发生血栓等。 医学百科网 | YxBaike.Com
本病发病机理未完全阐明,近年研究虽有进展,但目前仍然是以多种学说或假说从不同角度来阐述。
(一)脂质浸润学说 认为本病的九一与脂质代谢失常密切相关,其本质是动脉壁对从血浆侵入的脂质的反应。本病的主要病理变化是动脉壁出现楼板样斑块,而胆固醇和胆固醇酯则是构成粥样斑块的主要成分。虽然动脉壁也能合成胆固醇和其他脂质,但近年来对动脉壁和内皮细胞的生理和病理研究以及对粥样硬化病变的组织化学和免疫化学检查的结果,证实粥样斑块中的脂质主要来自血浆。血浆中的胆固醇、甘油三酯和磷脂等是与载脂蛋白结合成脂蛋白而溶解、运转的。LDL含胆固醇和胆固醇酯最多,VLDL含甘油三酯最多,HDL含蛋白最多,血浆中增高的脂质即以LDL和VLDL或经动脉内膜表面脂蛋白脂酶的作用而分解成残片的形式从下述途径侵入动脉壁:①内皮细胞直接吞饮;②透过内皮细胞间隙;③经由内皮细胞的LDL受体;④通过受损后通透性增加的内皮细胞;⑤通过因内皮细胞缺失而直接暴露在血流的内膜下组织。脂蛋白进到中膜后,堆积在平滑肌细胞间、胶原和弹力纤维上,引起平滑肌细胞增生,平滑肌细胞和来自血液的单核细胞吞噬大量脂质成为泡沫细胞;脂蛋白又降解而释出胆固醇、胆固醇酯、甘油三酯和其他脂质,LDL还与动脉壁的蛋白多糖结合产生不溶性沉淀,都能刺激纤维组织增生。所有这些合在一起就形成粥样斑块。 医学百科网 | YxBaike.Com
脂蛋白中的HDL可将胆固醇送到肝脏分解、抑制细胞摄入LDL和抑制平滑肌细胞的增生,因而被认为有抗动脉粥样硬化的作用。脂质经过氧化作用而产生的脂质过氧化物,有细胞毒性,损伤细胞膜,促进动脉粥样硬化的形成。 医学百科网 | YxBaike.Com
(二)血栓形成和血小板聚集学说 前者认为本病开始于局部凝血机制亢进,动脉内膜表面血栓形成,以后血栓被增生的内皮细胞所覆盖而并入动脉壁,血栓中的血小板和白细胞崩解而释出脂质和其他活性物质,逐渐形成粥样斑块。后者认为本病开始于动脉内膜损伤,血小板活化因子(PAF)增多,血小板在该处粘附继而聚集,随后发生纤维蛋白沉积,形成微血栓。血小板聚集后释出一些活性物质。其中血栓烷A2(thromboxane A2,TXA2)能对抗血管壁合成的前列环素(prostacycline,PGI2)所具有的使血小板解聚和血管扩张的作用,而促进血小板进一步聚集和血管收缩;血小板源生长因子(platelet derived growth factor)可刺激平滑肌的细胞增生、收缩并向内膜游移;5-羟色胺和纤维母细胞生长因子(fibroblast growth factor)可刺激纤维母细胞、平滑肌细胞和内皮细胞增生,肾上腺素和二磷酸腺苷可促使血小板进一步聚集:第Ⅷ因子使血小板进一步粘附;血小板第4因子(platelet factor4)可使血管收缩;纤溶酶原激活剂抑制物(PAI)使血栓的溶解受到抑制。这些物质使内皮细胞进一步损伤,从而导致LDL、纤维蛋白原进入内膜和内膜下;使单核细胞聚集于内膜,发展成为泡沫细胞;使平滑肌细胞增生,移入内膜,吞噬脂质;并使内皮细胞增殖。都有利于粥样硬化的形成。 医学百科网 | YxBaike.Com
(三)损伤反应学说 认为粥样斑块的形成是动脉对内膜损伤的反应。动脉内膜损伤可表现为内膜功能紊乱如内膜渗透过增加,表面容易形成血栓。也可表现为内膜的完整性受到破坏。长期高脂血症,由于血压增高、动脉分支的特定角度和走向、血管局部狭窄等引起的血流动力学改变所产生的湍流、剪切应力,以及由于糖尿病、吸烟、细菌、病毒、毒素、免疫性因子和血管活性物质如儿茶酚胺、5-羟色胺、组织胺、激肽、内皮素、血管紧张素等的长期反复作用;都足以损伤内膜或引起功能变化,有利于脂质的沉积和血小板的粘附和聚集,而形成粥样硬化。 医学百科网 | YxBaike.Com
(四)单克隆学说 亦即单元性繁殖学说。认为动脉粥样硬化的每一个病灶都来源于一个单一平滑肌细胞的增殖,这个细胞是以后增生成许多细胞的始祖。在一些因子如血小板源生长因子、内皮细胞源生长因子、单核细胞源生长因子、LDL,可能还有病毒的作用下不断增殖并吞噬脂质,因而类似于良性肿瘤,并形成动脉粥样硬化。虽然通过葡萄糖-6-磷酸脱氢酶(G6PD)同工酶的测定,发现绝大多数病变动脉壁纤维斑块中只含有一种G6PD同工酶,显示纤维斑块的单克隆特性。但也有认为病变的单酶表现型并不一定意味着此病变的起源是克隆性的,也有可能来源于含有同一同工酶的多个细胞,然而由于不断重复的细胞死亡和生长,使测定结果显示单酶表现型。事实上将粥样斑块内的平滑肌细胞进行培养,还未显示出这些细胞会像肿瘤一样无限增殖。 医学百科网 | YxBaike.Com
(五)其他 与发病有关的其他机理尚有神经、内分泌的变化,动脉壁基质内酸性蛋白多糖质和量的改变(硫酸皮肤素增多,而硫酸软骨素A和C减少),动脉壁酶活性的降低等。这些情况可通过影响血管运动、脂质代谢、血管壁的合成代谢等而有利于粥样硬化病变的形成。
一、临床表现 医学百科网 | YxBaike.Com
(一)一般表现 脑力与体力衰退,触诊体表动脉如颞动脉、桡动脉、肱动脉等可发现变宽、变长、纡曲和变硬。
(二)主动脉粥样硬化 大多数无特异性症状。叩诊时可发现胸骨柄后主动脉浊音区增宽;主动脉瓣区第二心音亢进而带金属音调,并有收缩期杂音。收缩期血压升高,脉压增宽,桡动脉触诊可类似促脉。X线检查可见主动脉结向左上方凸出,主动脉扩张与扭曲,有时可见片状或弧状的斑块内钙质沉着影。 医学百科网 | YxBaike.Com
主动脉粥样硬化还可形成主动脉瘤,以发生在肾动脉开口以下的腹主动脉处为最多见,其次是主动脉弓和降主动脉。腹主动脉瘤多因体检时查见腹部有搏动性块肿而发现,腹壁上相应部位可听到杂音,股动脉搏动可减弱。胸主动脉瘤可引起胸痛、气急、吞咽困难、咯血、声带因喉返神经受压而麻痹、气管移位或阻塞、上腔静脉和肺动脉受压等表现。X线检查可见主动脉的相应部位增大;主动脉造影可显示出梭形或囊样的动脉瘤。二维超声显像、电脑化X线断层显像、磁共振断层显像可显示瘤样主动脉扩张。主动脉瘤一旦破裂,可迅速致命。动脉粥样硬化也可形成夹层动脉瘤,但较少见。 医学百科网 | YxBaike.Com
(三)冠状动脉粥样硬化 可引起心绞痛、心肌梗塞以及心肌纤维化等,将在下节详述。 医学百科网 | YxBaike.Com
(四)脑动脉粥样硬化 脑缺血可引起眩晕、头痛与昏厥等症状。脑动脉血栓形成或破裂出血时引起脑血管意外,有头痛、眩晕、呕吐、意识突然丧失、肢体、瘫痪、偏盲或失语等表现(详见“急性脑血管病”)。脑萎缩时引起痴呆,有精神变态,行动失常,智力及记忆力减退以至性格完全变化等症状(参见“脑动脉硬化伴发的精神障碍”)。
医学百科网 | YxBaike.Com
(五)肾动脉粥样硬化 临床上并不多见,可引起顽固性高血压,年在55岁以上而突然发生高血压者,应考虑本病的可能。如有肾动脉血栓形成,可引起肾区疼痛、尿闭以及发热等。 医学百科网 | YxBaike.Com
(六)肠系膜动脉粥样硬化 可能引起消化不良、肠道张力减低、便秘与腹痛等症状。血栓形成时,有剧烈腹痛、腹胀和发热。肠壁坏死时,可引起便血、麻痹性肠梗阻以及休克等症状。 医学百科网 | YxBaike.Com
(七)四肢动脉粥样硬化 以下肢较为多见尤其是腿部动脉,由于血供障碍而引起下肢发凉、麻木和间歇性跛行,即行走时发生腓肠肌麻木、疼痛以至痉挛,休息后消失,再走时又出现;严重者可有持续性疼痛,下肢动脉尤其是足背动脉搏动减弱或消失。动脉管腔如完全闭塞时可产生坏疽(参见“闭塞性动脉硬化”)。
医学百科网 | YxBaike.Com
二、病理 医学百科网 | YxBaike.Com
本病发展到相当程度,尤其有器官明显病变时诊断并不困难,但早期诊断很不容易。年长病人如检查发现血脂增高,动脉造影发现血管狭窄性病变,有利于诊断本病。 医学百科网 | YxBaike.Com
【病理改变】动脉粥样硬化的病理变化主要累及体循环系统的大型弹力型动脉(如主动脉)和中型肌弹力型动脉(以冠状动脉和脑动脉罹患最多,肢体各动脉、肾动脉和肠系膜动脉次之,脾动脉亦可受累),而肺循环动脉极少受累。病变分布多为数个组织和器官同时受累,但有时亦可集中在某一器官的动脉,而其他动脉则正常。最早出现病变的部位多在主动脉后壁及肋间动脉开口等血管分支处;这些部位血压较高,管壁承受血流的冲击力较大,因而病变也较明显。
正常动脉壁由内壁、中膜和外膜三层构成(图1)。内膜由单层内皮细胞、结缔组织和有孔的内弹力板组成,在内皮细胞和弹力板之间(也称内皮下层),除结缔组织外,尚有平滑肌细胞和基质(包括酸性蛋白多糖、可溶性蛋白、脂质、葡萄糖和电解质等)。儿童时期平滑肌细胞极其少见,随年龄的增长内膜平滑肌细胞及基质成份逐渐积聚。在肌弹力型动脉中,中膜几乎全由斜行的平滑肌细胞构成,并有数量不定的胶原、弹力纤维和糖蛋白等环绕平滑肌细胞,其形态一般不随年龄而改变。外膜包含纤维母细胞,此外尚有胶原、糖蛋白,并夹杂平滑肌细胞。外膜与中膜间还分隔着一层不连续的外弹力板。发生动脉粥样硬化时,动脉壁出现脂质条纹、纤维斑块和复合病变三种类型的变化。 医学百科网 | YxBaike.Com
图1 动脉壁结构示意
显示动脉壁内膜、中膜和外膜三层结构,右下角是局部再放大示意
(一)脂质条纹病变 为早期的病变,常见于青年人,局限于动脉内膜,呈现数毫米大小的黄色脂点或长度可达数厘米的黄色脂肪条纹。其特征是内膜的巨噬细胞和少数平滑肌细胞呈灶性积聚,细胞内外有脂质沉积。脂质成分主要是胆固醇和胆固醇酯,还有磷脂和甘油三酯等;由于脂质条纹属平坦或仅稍高出内膜的病变,故不使受累的动脉阻塞,不引起临床症状,其重要性在于它有可能发展为斑块。 医学百科网 | YxBaike.Com
(二)纤维斑块病变 为进行性动脉粥样硬化最具有特征性的病变,一般呈淡黄色,稍隆起而突入动脉腔内或围绕血管分支的开口处,引起管腔狭窄。此种病变主要由内膜增生的结缔组织和含有脂质的平滑肌细胞、巨噬细胞所组成。脂质主要是胆固醇和胆固醇酯,细胞外周由脂质、胶原、弹力纤维和糖蛋白围绕。病灶处纤维组织增生形成一纤维膜,覆盖于深部大量脂质之上,脂质沉积物中混有细胞碎片和胆固醇结晶。斑块体积增大时,向管壁中膜扩展,可破坏管壁的肌纤维和弹力纤维而代之以结缔组织和增生的新生毛细血管。脂质沉积较多后,其中央基底部常因营养不良发生变性、坏死而崩解,这些崩解物与脂质混合形成粥样物质,是为粥样斑块或粥样瘤。 医学百科网 | YxBaike.Com
(三)复合病变 为纤维斑块发生出血、坏死、溃疡、钙化季会壁血栓所形成。粥样斑块可因内膜表面破溃而形成所谓粥样溃疡;破溃后粥样物质进入血流成为栓子,破溃处可引起出血,溃疡表面粗糙易产生血栓,附壁血栓形成又加重管腔的狭窄甚至使之闭塞。在血管逐渐闭塞的同时,也逐渐出现来自附近血管的侧支循环,血栓机化后又可以再通,从而使局部血流得以部份恢复。复合病变还有中膜钙化的特点(图16-2、3、4)。 医学百科网 | YxBaike.Com
医学百科网 | YxBaike.Com
图16-2 动脉粥样硬化
图16-3 动脉粥样硬化纤维斑块切面结构示意 医学百科网 | YxBaike.Com
显示纤维斑块为单层内皮细胞所复盖,其下为含平滑肌细胞的纤维帽,再下为坏死中心
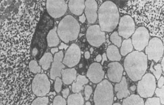
图16-4 动脉粥样硬化早期病变
医学百科网 | YxBaike.Com
透视电镜像,示人体主动脉脂纹中的泡沫细胞,胞浆内充满脂滴,胞核移位靠边(×6500) 医学百科网 | YxBaike.Com
受累动脉弹性减弱,脆性增加,易于破裂,其管腔逐渐变窄甚至完全闭塞,也可扩张而形成动脉瘤。 医学百科网 | YxBaike.Com
视受累的动脉和侧支循环建立情况的不同,本病可引起整个循环系统或个别器官的功能紊乱: 医学百科网 | YxBaike.Com
1.主动脉因粥样硬化而致管壁弹性降低,当心脏收缩时,它暂时膨胀而保留部份心脏所排出血液的作用即减弱,收缩压将升高而脉压增宽。主动脉形成粥样硬化性动脉瘤时,管壁为纤维组织所取代,不但失去紧张性而且向外膨隆。这些都足以影响全身血流的调节,也加重心脏的负担。 医学百科网 | YxBaike.Com
2.内脏或四肢动脉管腔狭窄或闭塞,在侧权循环不能代偿的情况下,使器官和组织的血液供应发生障碍,产生缺血、纤维化或坏死。如冠状动脉粥样硬化可引起心绞痛、心肌梗塞或心肌纤维化;脑动脉粥样硬化引起脑萎缩;肾动脉粥样硬化引起高血压或肾脏萎缩;下肢动脉粥样硬化引起间歇性跛行或下肢坏疽等。 医学百科网 | YxBaike.Com
3.动脉壁的弹力层和肌层被破坏,使管壁脆弱,在血压波动的情况下易于破裂出血。以脑动脉破裂引起脑血管意外和动脉瘤破裂死亡为多见。
医学百科网 | YxBaike.Com
本病病理变化进展缓慢,明显的病变多见于壮年以后,但明显的症状多在老年期才出现。据病理解剖资料,我国人同等程度的主动脉粥样硬化病理变化较欧美人平均晚发生10~15年,同等程度的冠状动脉粥样硬化病理变化则晚发生约15~20年。
医学百科网 | YxBaike.Com
现已有不少资料证明,实验动脉的动脉粥样硬化病变,不论在早期或晚期,在用药物治疗和停止致动脉粥样硬化饲料的一段时间内病变可以消退。 医学百科网 | YxBaike.Com
(1)实验室检查 医学百科网 | YxBaike.Com
本病尚缺乏敏感而又特异性的早期实验室诊断方法。病人多有脂代谢失常,主要表现为血总胆固醇增高、LDL胆固醇增高、HDL胆固醇降低、血甘油三酯增高、血β脂蛋白增高、载脂蛋白B增高、载脂蛋白A降低、脂蛋白(α)增高、脂蛋白电泳图形异常,90%以上的病人表现为Ⅱ或Ⅳ型高脂蛋白血症。
(2)血液流变学检查往往示血粘滞度增高。血小板活性可增高。 医学百科网 | YxBaike.Com
(3)X线检查除前述主动脉粥样硬化的表现外,选择性或电子计算机数字减影动脉造影可显示冠状动脉、脑动脉、肾动脉、肠系膜动脉和四肢动脉粥样硬化所造成的管腔狭窄或动脉瘤病变,以及病变的所在部位、范围和程度,有助于确定外科治疗的适应症和选择施行手术的方式。 医学百科网 | YxBaike.Com
(4)多普勒超声检查,有助于判断四肢动脉和肾动脉的血流情况。 医学百科网 | YxBaike.Com
(5)血管内超声和血管镜检查则是直接从动脉腔内观察粥样硬化病变的方法。
(6)放射性核素检查有助于了解脑、心、肾组织的血供情况,
(8)超声心动图检查、心电图检查及其负荷试验所示的特征性变化有助于诊断冠状动脉粥样硬化。 医学百科网 | YxBaike.Com
(7)其它:肢体电阻抗图、脑电阻抗图以及脑电图、脑X线、电脑化X线或磁共振断层显象有助于判断四肢和脑动脉的功能情况以及脑组织的病变情况。 医学百科网 | YxBaike.Com
医学百科网 | YxBaike.Com
主动脉粥样硬化引起的主动脉变化和主动脉瘤,须与梅毒性主动脉炎和主动脉瘤以及纵隔肿瘤相鉴别;冠状动脉粥样硬化引起的心绞痛和心肌梗塞,须与其他冠状动脉病变所引起者相鉴别;心肌纤维化须与其他心脏病特别是心肌病相鉴别;脑动脉粥样硬化所引起的脑血管意外,需与其他原因引起的脑血管意外相鉴别;肾动脉粥样硬化所引起的高血压,须与其他原因的高血压相鉴别;肾动脉血栓形成须与肾结石相鉴别;四肢动脉粥样硬化所产生的症状,须与其他病因的动脉病变所引起者相鉴别。
医学百科网 | YxBaike.Com
临床上还需对本病不同的发展过程进行鉴别,可分为四期:
医学百科网 | YxBaike.Com
1.无症状期或隐匿期 其过程长短不一,包括从较早的病理变化开始,直到动脉粥样硬化已经形成,但尚无器官或组织受累的临床表现。
2.缺血期 症状由于血管狭窄、器官缺血而产生。
3.坏死期 由于血管内血栓形成或管腔闭塞而产生器官组织坏死的症状。 医学百科网 | YxBaike.Com
4.硬化期 长期缺血,器官组织硬化(纤维化)和萎缩而引起症状。 医学百科网 | YxBaike.Com
不少病人不经过坏死期而进入硬化期,而在硬化期的病人也可重新发生缺血期的表现。
按受累动脉部位的不同,本病有下列类别:①主动脉及其主要分枝粥样硬化;②冠状动脉粥样硬化;③脑动脉粥样硬化;④肾动脉粥样硬化;⑤肠系膜动脉粥样硬化;⑥四肢动脉粥样硬化等。 医学百科网 | YxBaike.Com
医学百科网 | YxBaike.Com
返回顶部
医学百科网 | YxBaike.Com
动脉硬化可能发生的并发症有以下几种: 医学百科网 | YxBaike.Com
(1)冠状动脉粥样硬化者,若管径狭窄达75%以上,则可发生心绞痛、心肌梗塞、心律失常,甚至猝死。 医学百科网 | YxBaike.Com
(2)脑动脉硬化,可引起脑缺血(包括暂时性缺血性发作)、脑萎缩,或造成脑血管破裂出血。脑动脉硬化的早期阶段:神经衰弱(常有头晕,头昏,头痛,耳鸣,嗜睡,记忆力减退,易疲劳),情感异常(情绪易激动,缺乏自制力,随着病情的加重,会逐渐变得表情淡漠,对周围事物缺乏兴趣),判断能力低下(表现为不能持及地集中注意力,想象力降低,处理问题要靠别人协助)。脑动脉硬化达到中后期时可出现步态僵硬或行走不稳,痴呆,癫痫样痉挛发作,脑中风。
医学百科网 | YxBaike.Com
(3)肾动脉粥样硬化,常引起夜尿多、顽固性高血压、严重者可有肾功能不全。 医学百科网 | YxBaike.Com
(4)肠系膜动脉粥样硬化,可表现为饱餐后腹痛便血等症状。
(5)下肢动脉粥样硬化,早期症状主要表现为间歇性跛行,休息时也发生疼痛则是下肢严重缺血的表现,常伴有肢端麻木,足背动脉搏动消失等。晚期还可发生肢端溃疡和坏疽。 医学百科网 | YxBaike.Com
医学百科网 | YxBaike.Com
(1)饮食治疗: 医学百科网 | YxBaike.Com
①减少对脂肪的摄取:应少食"饱和脂肪酸"占有量较多的煎炸食物及含"高胆固醇"食物的虾、肝、肾和其他内脏,蛋黄等。提倡每周至少吃2次鱼,海产品如海带、海鱼、海蜇、淡菜、紫菜、等含有丰富的碘、铁、钙、硒、蛋白质和不饱和脂肪酸,被公认为大脑营养剂、血液稀释剂,具有降低胆固醇,防止动脉硬化之功效。 医学百科网 | YxBaike.Com
②每日摄盐量控限于5克以内,不食或少食甜食,奶油、糖果或酸味饮料,多食粗粮黑面包、糙米以及蚕豆、豌豆、胡萝卜、绿叶蔬菜和新鲜水果、桃子、梨、苹果(最好带皮),含有人体所需要的全部营养成分。在不提高血液胆固醇的情况下,供给人所需要的全部热量。 医学百科网 | YxBaike.Com
③ 吃饭要定时,两顿饭之间不要加小吃,如果非吃不可的话,可吃些苹果、生胡萝卜、饼干或其他不提供脂肪含量的食品。
医学百科网 | YxBaike.Com
(2)不吸烟并防被动吸烟:烟草毒害心血管内皮细胞,损害内皮系统功能,可致心肌肥大、变厚,殃及正常的舒缩运动并可致"好"血脂HDL下降。
医学百科网 | YxBaike.Com
(3)坚持适量的体力活动 体力活动量需根据原本身体情况而定,要循序渐进,不宜勉强作剧烈运动,每天最好坚持不短于30分钟的活动,可"一次性完成"或分3次进行,每次10分钟。依个体条件进行跳绳、保健体操、打太极拳、骑车、步行、修花剪草、拖地、干家务等。 医学百科网 | YxBaike.Com
(4)释放压抑或紧张情绪:慢性忧郁或持续的紧张,可刺激交感神经兴奋,易致心跳快速、血管收缩、血压上升,血流减少。放松身心,莫让重重心事缠身束脑。良好又充裕的睡眠,可使呼吸及心跳趋缓,是心脏自我保护措施。 医学百科网 | YxBaike.Com
预防动脉硬化的常见食物:
玉米、燕麦、大豆、甘薯、洋葱、大蒜、生姜、茄子、胡萝卜、韭莱、芹菜、山楂、茶叶、菇类、藻类、牛奶、海鱼、蜜桔。
预防动脉硬化的几种中药: 医学百科网 | YxBaike.Com
绞股蓝、首乌、桑寄生、葛根、桑白皮、黄连、钩藤、天麻、红花、野菊花、当归、白术、灵芝、三七、决明子、茵陈、山绿茶等。 医学百科网 | YxBaike.Com
医学百科网 | YxBaike.Com
医学百科网 | YxBaike.Com
首先应积极预防动脉粥样硬化的发生(一级预防)。如已发生,应积极治疗,防止病变发展并争取其逆转(二级预防)。已发生并发症者,及时治疗,防止其恶化,延长病人寿命(三级预防)。 医学百科网 | YxBaike.Com
(一)一般防治措施 医学百科网 | YxBaike.Com
1.发挥病人的主观能动性配合治疗 已有客观证据表明:本病经防治病情可以控制,病变可能部分消退,病人可维持一定的生活和工作能力,病变本身又可以促使动脉侧枝循环的形成,使病情得到改善。因此说服病人耐心接受长期的防治措施至关重要。 医学百科网 | YxBaike.Com
2.合理的膳食
⑴膳食总热量勿过高,以维持正常体重为度,40岁以上者尤应预防发胖。正常体重的简单计算法为:身高(cm数)减110=体重(kg数),可资参考。 医学百科网 | YxBaike.Com
⑵超过正常标准体重者,应减少每日进食的总热量,食用低脂(脂肪摄入量不超过总热量的30%,其中动物性脂肪不超过10%)、低胆固醇(每日不超过500mg)膳食,并限制蔗糖和含糖食物的摄入。 医学百科网 | YxBaike.Com
⑶年过40岁者即使血脂不增高,应避免经常食用过多的动物性脂肪和含饱和脂肪酸的植物油,如:肥肉、猪油、骨髓、奶油及其制品、椰子油、可可油等;避免多食含胆固醇较高的食物,如:肝、脑、肾、肺等内脏,鱿鱼,牡蛎,墨鱼,鱼子,虾子,蟹黄,蛋黄等。若血脂持续增高,应食用低胆固醇、低动物性脂肪食物,如:各种瘦肉,鸡、鸭、鱼肉,蛋白,豆制品等。 医学百科网 | YxBaike.Com
⑷已确诊有冠状动脉粥样硬化者,严禁暴饮暴食,以免诱发心绞痛或心肌梗塞。合并有高血压或心力衰竭者,应同时限制食盐和含钠食物。 医学百科网 | YxBaike.Com
⑸提倡饮食清淡,多食富含维生素C(如新鲜蔬菜、瓜果)和植物蛋白(如豆类及其制品)的食物。在可能条件下,尽量以豆油、菜油、麻油、玉米油、茶油、米糠油等为食用油。
3.适当的体力劳动和体育活动 参加一定的体力劳动和体育活动,对预防肥胖、锻炼循环系统的功能和调整血脂代谢均有禆益,是预防本病的一项积极措施。体力活动应根据原来身体情况、原来体力活动习惯和心脏功能状态来规定,以不过多增加心脏负担和不引起不适感觉为原则。体育活动可循序渐进,不宜勉强作剧烈活动,对老年人提倡散步(每日1小时,分次进行),做保健体操,打太极拳等。
4.合理安排工作和生活 生活要有规律,保持乐观、愉快的情绪,避免过度劳累和情绪激动,注意劳逸结合,保证充分睡眠。
5.提倡不吸烟,不饮烈性酒或大量饮酒(少量饮低浓度酒则有提高血HDL的作用)。 医学百科网 | YxBaike.Com
6.积极治疗与本病有关的疾病,如高血压、脂肪症、高脂血症、痛风、糖尿病、肝病、肾病综合征和有关的内分泌病等。 医学百科网 | YxBaike.Com
有人认为,本病的预防措施应从儿童期开始,即儿童也不宜进食高胆固醇、高动脉性脂肪的饮食,亦宜避免饮食过量,防止发胖。
(二)药物治疗 医学百科网 | YxBaike.Com
1.扩张血管药物 解除血管运动障碍,可用血管扩张剂(参阅“心绞痛”和“闭塞性动脉硬化”)。
医学百科网 | YxBaike.Com
2.调整血脂药物 血脂增高的病人,经上述饮食调节和注意进行体力活动后,仍高于正常,总胆固醇>5.2mmol/L (200mg/dL)、低密度脂蛋白胆固醇>3.4mmol/L (130mg/dL)、甘油三酯>1.24mmol/L 9110mg/dL)者,可根据情况选用下列降血脂药物: 医学百科网 | YxBaike.Com
⑴仅降低血胆固醇的药物 医学百科网 | YxBaike.Com
1)胆酸螯合树脂(bile acid sequestering resin):为阴离子交换树脂,服后吸附肠内胆酸,阻断胆酸的肠肝循环,加速肝中胆固醇分解为胆酸,与肠内胆酸一起排出体外而使血胆固醇下降。可用考来烯胺(cholestyramine)3次/d,每次4~5g;考来替泊(colestipol)3~4次/d,每次4~5g;降胆葡胺(sephadex,DEAE)3~4次/d,每次4g。易发生便秘等胃肠道反应,并影响脂溶性维生素的吸收,病人不易耐受。新制剂为微粒型,作用快而副作用少。
医学百科网 | YxBaike.Com
2)普罗布可(probucol):阻碍肝脏中胆固醇乙酸酯生物合成阶段,而降低血胆固醇和LDL,但也降低血 HDL。2次/d,每次500mg。副作用有胃肠道反应、头痛、眩晕等。 医学百科网 | YxBaike.Com
3)新霉素(neomycin):口服可增进胆盐从粪便排出,减少胆固醇的吸收,降低血胆固醇和LDL。2g/d睡前服。副作用有恶心、腹痛、腹泻,可能损害听力和肾功能。
⑵主要降低血胆固醇,也降低血甘油三酯的药物
1)他汀(statin)类:为3羟3甲戊二酰辅酶A还原酶抑制剂(HMG-GoA reductase inhibitor)能抑制胆固醇的合成,加速LDL的廓清,使血胆固醇和LDL下降,也可使血甘油三酯和VLDL下降,而HDL和载脂蛋白AⅡ增高,是一类新的制剂。可用洛伐他汀(lovastatin)20mg 1~2次/d,普伐他汀(pravastatin)20mg1~2次/d,辛伐他汀(simvastatin)10~40mg 1~2次/d,氟伐他汀(fluvastatin)20~40mg 1次/d。副作用有肌痛、胃肠道症状、失眠、皮疹和转氨酶增高等。
医学百科网 | YxBaike.Com
2)弹性酶(elastase):为一种易溶解的弹性蛋白,能阻止胆固醇的合成和促进胆固醇转化为胆酸,从而降低血胆固醇。3次/d,每次300u。作用较弱但副作用少。 医学百科网 | YxBaike.Com
⑶主要降低血甘油三酯,也降低血胆固醇的药物。
医学百科网 | YxBaike.Com
1)贝特(fibrate)类:最早用氯贝特(clofibrate)3~4次/d,每次0.5g,其降血甘油三酯的作用强于降胆固醇,并使HDL增高,且有减少组织胆固醇沉积、降低血小板粘附性、增加纤维蛋白溶解活性和减低纤维蛋白原浓度,从而有抑制血凝的作用;与抗凝剂合用时,要注意重新调整抗凝剂的剂量。少数病人有胃肠道反应、皮肤发痒和荨麻疹,以及一时性血清转氨酶增高和肾功能改变,宜定期检查肝、肾功能。长期应用胆石症发病率增高。现已为同类新制剂所取代,如非诺贝特(fenofibrate)3次d,每次100mg,益多酯(etofylline clofibrate)2~3次/d,每次250mg,吉非罗齐(gemfibrozil)2次/d,每次600mg,苯扎贝特(bezafibrate)3次/d,每次200mg。环丙贝特(ciprofibrate)一次/d,每次50~100mg等。 医学百科网 | YxBaike.Com
2)烟酸(nicotinic acid)类:抑制肝脏合成VLDL而降低血甘油三酯、胆固醇和LDL并增高HDL,还扩张周围血管。饭后服,每次剂量由0.1g逐渐增到最大1.0g。副作用有皮肤潮红、发痒、胃部不适等,长期应用要注意肝功能。副作用较少的烟酸衍化物常用的有烟酸肌醇酯(inosital hexanicotinate),3次/d,每次0.4~0.6g;烟酸生育酚酯(dl-α-tocopherol nicotinate),3次/d,每次100~300mg;阿西英司(acipimox),3次/d,每次0.25g等。 医学百科网 | YxBaike.Com
3)不饱和脂肪酸(unsaturated fatty acid):鱼油含有大量的n-3不饱和脂肪酸;廿二碳六稀酸(docosahexaenoic acid,DHA);植物油含有较多n-6不饱和脂肪酸:亚油酸(linoleic acid)。它们可抑制脂质在小肠的吸收和胆汁酸的再吸收,可能抑制肝脏脂质和脂蛋白合成,促进胆固醇从粪便中排出。有降低血甘油三酯、VLDL、胆固醇、LDL和增高HDL的作用,尚可抑制血小板功能、减少血栓形成。可用海鱼油制剂2次/d,每次5~10g;多烯康丸3次/d,每次1.8g;亚油酸丸,3次/d,每次300mg。其他尚有月见草油、橡胶种子油等。然而不饱和脂肪酸极易氧化形成致动脉粥样硬化物质,并有胃肠道反应,因此宜慎用。
医学百科网 | YxBaike.Com
4)泛硫乙胺(pantethine):为辅酶A分子的组成部分,能促进血脂的正常代谢,降低血甘油三酯、胆固醇和升高HDL。3次/d,每次200mg。副作用少但作用也较弱。
医学百科网 | YxBaike.Com
⑷其他药物:右旋糖酐硫酸酯(dextran sulfate)、谷固醇(β-sitosterol)、藻酸双酯钠、维生素C、维生素B6等也曾作为调整血脂药物应用。
⑸中草药:泽泻、首乌、大麦须根、茶树根、水飞蓟、山楂、麦芽、桑寄生、虎杖、参三七、葛根、黄精、决明子、灵芝、玉竹、蒲黄、大蒜、冬虫夏草、绞股兰等,均曾报告有降血脂作用。
调整血脂药物多需长期服用,应注意掌握好用药剂量和副作用。正是由于其不良的副作用,使以入学用的降血脂药物雌激素和右旋甲状腺素被淘汰。 医学百科网 | YxBaike.Com
3.抗血小板药物 抗血小板聚集和粘附和药物,可防止血栓形成,可能有助于防止血管阻塞性病变和病情的发展,可用于心肌梗塞后预防复发和预防脑动脉血栓栓塞:①阿司匹林0.3g/d或用更小的剂量50mg/d,通过抑制TXA2的生成而较少影响PGI2的产生而起作用。②双嘧达莫(dipyridamole,persantin)50mg3次/d,可使血小板内环磷酸腺苷增高,延长血小板的寿命,可减半量与阿司匹林合用。③苯磺唑酮(sulfinpyrazone)0.2g 3次/d,作用与阿司匹林类似,有报告认为可能防止冠状动脉粥样硬化性心脏病猝死。④噻氯匹啶(ticlopidine)250mg,2次/d,作用与潘生丁相同,同时也有类似氯贝特能稳定血小板膜的作用。⑤芬氟咪唑(fenflumizole)为咪唑类衍生物,TXA2合成酶抑制剂,50mg 2次/d。 医学百科网 | YxBaike.Com
4.其他尚有一些蛋白多糖制剂如硫酸软骨素A和C(1.5g 3次/d)、冠心舒(20mg 3次/d)等,通过调整动脉壁的蛋白多糖结构而起治疗作用。 医学百科网 | YxBaike.Com
(三)手术治疗 医学百科网 | YxBaike.Com
包括对狭窄或闭塞血管,特别是冠状动脉、主动脉、肾动脉和四肢动脉施行再通、重建或旁路移植等外科手术,也可用带气囊心导管进行的经腔血管改形术、经腔激光再通、经腔粥样硬化斑块旋切或旋磨、经腔血管改形术后放置支架等介入性治疗。此外,对药物治疗无效的高胆固醇血症,国外有施行回肠旁路手术或血浆交换法治疗,但费用昂贵或兼有后遗症。 医学百科网 | YxBaike.Com
医学百科网 | YxBaike.Com
附件列表
词条内容仅供参考,如果您需要解决具体问题,请遵医嘱或咨询医师。
本站词条内容如果涉嫌侵权,请与客服联系,我们将及时进行处理。如需转载,请注明来源于www.yxbaike.com
