胆总管结石
2.原发性胆总管结石是发生在胆总管的原发性胆管结石,病因和形成机制尚未完全明了。研究结果认为这种结石的生成与胆道感染、胆汁淤滞、胆道寄生虫病有密切关系。结石外观多呈棕黑色、质软、易碎、形状各异、大小及数目不一。有的状如细沙或不成形的泥样,故有“泥沙样结石”之称。这种结石的组成是以胆红素钙为主的色素性结石。经分析其主要成分为胆红素、胆绿素和少量胆固醇以及钙、钠、钾、磷、镁等矿物质和多种微量元素。在矿物质中以钙离子的含量最高并易与胆红素结合成胆红素钙。此外尚有多种蛋白质及黏蛋白构成网状支架。有的在显微镜下可见寄生虫的壳皮、虫卵和细菌聚集等。
实验室检查:在急性梗阻性胆管炎时主要为白细胞增多和中性粒细胞增加等急性炎症的血液像,血胆红素增高和转氨酶增高等梗阻性黄疸和肝功受损的表现。若较长时间的胆管梗阻、黄疸或短期内反复发作胆管炎肝功明显受损,可出现低蛋白血症和贫血征象。 医学百科网 | YxBaike.Com
其他辅助检查: 医学百科网 | YxBaike.Com
1.X线平片胆总管的原发结石和继发结石,分别是以胆色素和胆固醇为主的混合结石。X线平片不能显示。 医学百科网 | YxBaike.Com
2.口服或静脉胆道造影胆管的影像浅淡,难以作出准确诊断。
医学百科网 | YxBaike.Com
3.B型超声波检查虽然价廉无创,对胆囊结石的准确率达98%,但因受十二指肠等空腔脏器的影响,对胆总管结石的准确率仅为50%左右,特别对十二指肠后段胆管难以显示。假阳性及假阴性率均较高。 医学百科网 | YxBaike.Com
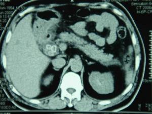
4.CT断层扫描CT对胆总管结石的诊断优于B超,准确率可达80%左右。但难以显示胆管系统病理改变和结石数量、大小、分布等状况。
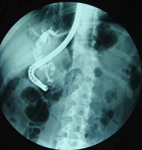
5.ERCP和PTC检查均可清晰显示胆管系统的全貌,能比较准确提供肝内外胆管和胆囊结石的大小、数量、位置以及肝内外胆管扩张、狭窄等病理改变状况,是获得术前准确诊断最重要的检查方法。ERCP基本无创、并发症较少,PTC为有创、并发症稍多,可根据病人和病变的具体情况选择。一般情况下多选择ERCP检查。
6.磁共振胆胰管造影(MRCP)无创、不需造影剂,可以良好显示胆、胰管的管道系统。能显示胆总管内结石,但不如ERCP或PTC的影像清晰。
医学百科网 | YxBaike.Com
1.传染性肝炎患者有传染的接触史。在出现腹痛和黄疸以前常有明显的先驱症状如全身乏力、食欲不振等。其腹痛为肝区的钝痛,多不放散。黄疸出现迅速而消退比较缓慢,程度深浅不定,范登白试验呈双相反应。本症患者起病初期即有体温升高,但白细胞之增减不定,而淋巴细胞常有增加。肝功能试验在病变初期即有明显减退,颇为突出。
2.胆道蛔虫病患者年龄一般较轻。多在30岁以下。发病突然,绞痛剧烈,有阵发性加剧且有特殊钻顶感。发作时常伴有恶心呕吐,常可吐出蛔虫。黄疸一般多不明显,除非至病程之晚期,通常亦无寒战发热。腹肌强直和腹壁压痛也多不显著。 医学百科网 | YxBaike.Com
3.胰头癌患者年龄一般较大,多在50岁以上。发病隐晦,往往先出现黄疸而后方伴有腹痛(以往无相似的腹痛黄疸史)。黄疸属进行性,可发展至甚深程度而无波动表现。其粪便因缺乏胆汁呈灰白色后,将始终为陶土状;尿中尿胆素原也常为阴性,因阻塞往往是完全性。腹痛不常有,有腹痛者多为上腹部的持续性隐痛,往往向后背牵涉。即使病程已久,通常也多无感染的症状,体温和白细胞将始终正常;但其病变为进行性,至病程晚期常有消瘦和恶病质表现。范登白试验为直接强阳性反应,其他肝功能试验也符合阻塞性黄疸而无肝细胞之损害现象。总之,对一个黄疸患者,应首先确定黄疸的类型性质,然后再根据各方面的检查确定其病变部位及原因。一般而论,在病变初期结合病史和化验检查确定黄疸的类型应无困难。如已确定为阻塞性黄疸,则病变在胆管内者最常见的是结石或寄生虫,有时可为血块或黏液;病变在胆管壁者多是手术后的瘢痕狭窄,有时可为胆胰管括约肌之痉挛,或为硬化性胆管炎;病变在胆管外者主要是胰头癌,有时可为慢性胰腺炎或因胃癌、肝癌之转移性淋巴结压迫所致。此类不同病变均可引起阻塞性黄疸,通常均有手术指征,确实的病因往往在剖腹探查时即可明确,术前鉴别并不太重要。 医学百科网 | YxBaike.Com
需要特别指出,胆道长期阻塞后可引起肝细胞损害,而肝细胞有病变时也可引起肝内毛细胆管阻塞,因此范登白试验二者均可呈双相反应,其他肝功能试验也都表现有一定损害,致使肝细胞性黄疸与阻塞性黄疸之鉴别为难。上述两种不同原因的黄疸,因治疗原则根本不同,前者需要严格的内科治疗,后者必须及时手术,其鉴别诊断尤为重要。临床上必须根据各方面资料全盘考虑,反复推敲,才能得出正确的结论。
医学百科网 | YxBaike.Com
2.胆源性肝脓肿由于肝胆管结石并发感染未能及时手术引流或肝内小肝管结石嵌顿所致化脓性小胆管炎,炎症波及周围组织而形成。以多发性小脓肿多见。可有右上腹痛也可能没有腹痛,表现为寒战高热,为弛张热型,黄疸可有可无,病程一般较长。本病经过短期非手术治疗未能奏效,应手术引流胆道,若为弥漫性小脓肿,引流胆道即可。若为单个大脓肿或多发性脓肿外尚有较大的脓肿时,除作胆道引流外,同时要行脓肿引流。
医学百科网 | YxBaike.Com
3.胆道出血是原发性胆管结石的较严重的并发症。 医学百科网 | YxBaike.Com
4.胆源性肝硬化是原发性胆管结石的晚期并发症,属于晚期胆道病。严重时伴有门静脉高压、脾大及脾功能亢进。除有肝胆管结石的症状外,还有肝硬化和门静脉高压的表现。如果病人无门静脉高压症,则应尽早行胆道探查术,将肝内结石尽量取净,一部分病人肝功能可望恢复。若伴有门静脉高压症则处理较复杂困难,病人情况允许可一期行胆道探查取石和脾切除手术,然后再行彻底的肝胆管结石手术来处理复杂的肝内病变。否则应行分期手术,首先作胆道探查取石,再次行门静脉高压手术,最后处理复杂的肝胆管手术。这类病人病情重,处理困难,病死率高,有时不管怎样做手术都预后极差。因而对于肝胆管结石最好在没有出现症状或才出现症状时即行手术,以减少肝功能损害。 医学百科网 | YxBaike.Com
5.胆管癌大多数学者认为胆管癌的发生与原发性胆管结石有关。特别是肝内胆管结石并感染者发生肝内胆管癌较多,又称胆管细胞型肝癌。往往被原发性胆管结石的症状所掩盖,术前容易漏诊。原发性胆管结石病人近来出现上腹痛发作频繁并加剧,且局限于某一个部位。腹部查体右上腹或剑突下明显压痛,尚可扪及有压痛的包块,应怀疑此病。进一步作B超和CT检查可同时发现肝内结石及肝内局限性或弥漫性占位性病变,基本可明确诊断。这类病人一般AFP为阴性。由于为肝胆管结石反复炎症纤维化增生所致,胆管细胞型肝癌多为硬癌,内有较多的纤维结缔组织。主要为局部浸润性生长,肝内跳跃性转移及远处转移较少。湖南医科大学附属第二医院肝胆外科近年手术发现17例胆管细胞型肝癌,均伴有肝胆管结石,其中13例位于左半肝和左肝外叶,4例在右前叶或右后叶。行胆道探查和肝叶或半肝切除术,其中10例已存活达3年以上,2例已存活2年,3例在1年左右。2例死亡于术后6个月及14个月。若肿块巨大已累及周围组织及邻近器官,行肿块大部切除,即减体积手术,也有较好疗效。 医学百科网 | YxBaike.Com
6.胆源性胰腺炎原发性胆管结石合并急性胰腺炎大大少于继发性胆管结石,可能与原发性胆管结石病人大多存在Oddi括约肌呈松弛状态有关。 医学百科网 | YxBaike.Com
一般情况下,应尽量避免急诊手术。采用非手术措施,控制急性炎症期,待症状缓解后,择期手术为宜。经强有力的抗炎、抗休克、静脉输液保持水、电解质和酸碱平衡、营养支持和对症治疗,PTCD或经内镜乳头切开取石,放置鼻胆管引流减压,多能奏效。经非手术保守治疗12~24h,不见好转或继续加重,如持续典型的Charcot’s三联征或出现休克,神志障碍等严重急性梗阻性化脓性重症胆管炎表现者,应及时行胆道探查减压。胆总管结石外科治疗原则和目的主要是取净结石、解除梗阻,胆流通畅,防止感染。
1.经内镜Oddi括约肌切开术或经内镜乳头切开术经内镜Oddi括约肌切开术(endoscopicsphincterotomy,EST)或经内镜乳头切开术(endoscopicpapillectomy,EPT)适于数量较少和直径较小的胆总管下段结石。特别是继发性结石,多因结石小、数量少,容易嵌顿于胆总管下段、壶腹或乳头部。直径1cm以内的结石可经EPT或EST取出。此法创伤小,见效快,更适于年老、体弱或已做过胆道手术的病人。经纤维内镜用胆道子母镜取石,需先行EST,然后放入子母镜,用取石网篮取石。若结石较大,应先行碎石才能取出。此法可以取出较高位的胆管结石,但操作比较复杂。
2.开腹胆总管探查取石仍然是治疗胆总管结石的主要手段。采用右上腹经腹直肌切口或右肋缘下斜切口都能满意显露胆总管。开腹后应常规触扪探查肝、胆、胰、胃和十二指肠等相关脏器。对于择期手术,有条件者在切开胆总管之前最好先行术中胆道造影或术中B超检查,进一步明确结石和胆道系统的病理状况。尤其原发性胆总管结石,多数伴有肝内胆管结石或胆管狭窄等改变,需要在术中同时解决。切开胆总管取出结石后,最好常规用纤维胆道镜放入肝内外胆管检查和取石。直视下观察肝胆管系统有无遗留结石、狭窄等病变并尽可能取净结石。然后用F10~12号导尿管,若能顺利通过乳头进入十二指肠并从导尿管注入10ml左右的生理盐水试验无误,表明乳头无明显狭窄。如果F10导尿管不能进入十二指肠,可用直径2~3mm的Bakes胆道扩张器试探。正常Oddi乳头可通过直径3~4mm以上的扩张器,使用金属胆道扩张器应从直径2~3mm的小号开始,能顺利通过后逐渐增大一号的扩张器。随胆总管的弯度轻柔缓慢放入,不可猛力强行插入,以免穿破胆总管下端形成假道,发生严重后果。胆总管明显扩张者可将手指伸入胆总管探查。有时质软、泥样的结石可以黏附在扩张胆管一侧的管壁或壶腹部,不阻碍胆道探子和导尿管通过,此时手感更为准确。还应再次强调,无论采用导尿管、Bakes扩张器,或手指伸入探查,都不能准确了解有无胆管残留结石或狭窄,特别是肝内胆管的状况。而术中胆道镜观察和取石,可以弥补这一不足,有效减少或避免残留结石。北京大学第三医院手术治疗1589例原发性肝胆管结石病例,单纯外科手术未使用胆道镜检查取石的683例中,残留结石达42.8%(292/683)。术中术后联合使用胆道镜检查碎石取石的906例中,残留结石2.1%(19/906)。因此择期胆道探查手术,常规进行胆道镜检查取石具有重要意义。胆总管切开探查后,是否放置胆管引流意见不一致。认为不放置胆管引流,仅适于单纯性胆总管内结石(主要是继发结石),胆管系统基本正常。确切证明无残留结石、无胆管狭窄(特别是无胆总管下段或乳头狭窄)、无明显胆管炎等少数情况,可以缩短住院时间,避免胆管引流的相关并发症。严格掌握适应证的情况下以即期缝合胆总管。在缝合技术上最好使用无创伤的带针细线,准确精细严密缝合胆总管切口,预防胆汁溢出。但应放置肝下腹腔引流,以便了解和引出可能发生的胆汁溢出。
医学百科网 | YxBaike.Com
胆总管探查取石放置“T”形管引流,是多年来传统的方法。可以有效防止胆汁外渗,避免术后胆汁性腹膜炎和局部淤胆感染,安全可靠,并可在术后通过“T”管了解和处理胆道残留结石等复杂问题。特别是我国原发性胆管结石发病率高,并存肝内胆管结石和肝内外胆管扩张狭窄等复杂病变者较多,很难保证胆总管探查术中都能完善处理。因此大多数情况下仍应放置“T”形管引流为妥。“T”形管材料应选择乳胶管,容易引起组织反应,一般在2~3周可因周围粘连形成窦道。用硅胶管或聚乙烯材料的T形管,组织反应轻,不易形成窦道,拔管后发生胆汁性腹膜炎的机会较多,不宜采用。“T”形管的粗细,应与胆总管内腔相适应。经修剪后放入胆总管的短臂直径不宜超过胆管内径,以免缝合胆管时有张力。因为张力过大、过紧,有导致胆管壁血供不足或裂开、胆汁溢出和日后发生胆管狭窄。若有一定程度胆总管扩张者,最好选用22~24F的“T”管,以便术后用纤维胆道镜经窦道取石。缝合胆总管切口,以2-0或3-0号的可吸收线为好。因为丝线等不吸收线的线结有可能进入胆总管内成为结石再发的核心。胆总管缝合完成后,可经T管长臂,轻轻缓慢注入适量生理盐水试验是否缝合严密,若有漏水应加针严密缝合,以免术后发生胆汁渗漏。关腹前将“T”管长臂和肝下腹腔引流管另戳孔引出体外,以免影响腹壁切口一期愈合。3.腹腔镜胆总管探查取石主要适于单纯性胆总管结石,并经术前或术中胆道造影证明确无胆管系统狭窄和肝内胆管多发结石者。因此这一方法多数为继发性胆总管结石行腹腔镜胆囊切除术时探查胆总管。切开胆总管后多数需要经腹壁戳孔放入纤维胆道镜用取石网篮套取结石,难度较大,需要有熟练的腹腔镜手术基础。取出结石后可根据具体情况决定直接缝合胆总管切口或放置“T”形管引流。
4.胆总管下段狭窄、梗阻的处理无论原发性或继发性胆总管结石并胆总管明显扩张者,常有并存胆总管下端狭窄梗阻的可能。术中探查证实胆总管下端明显狭窄、梗阻者,应同时行胆肠内引流术,建立通畅的胆肠通道。 医学百科网 | YxBaike.Com
(1)胆总管十二指肠吻合术:手术比较简单、方便、易行,早期效果较好,过去常被采用。但因这一术式不可避免发生胆道反流或反流性胆管炎,反复炎症容易导致吻合口狭窄,复发结石,远期效果欠佳。特别是吻合口上端胆管存在狭窄或肝内胆管残留结石未取净者,往往反复发生严重胆管炎或胆源性肝脓肿。因此,胆总管十二指肠吻合术今已少用。多主张仅用于年老、体弱、难以耐受较复杂的手术并已明确吻合口以上胆管无残留结石、无狭窄梗阻者。吻合口径应在2~3cm以上,防止日后回缩狭窄。
(2)胆总管十二指肠间置空肠吻合术:将一段长20~30cm带血管的游离空肠两端分别与胆总管和十二指肠吻合,形成胆总管与十二指肠间用空肠架桥式的吻合通道。虽然在与十二指肠吻合处做成人工乳头或延长空肠段达50~60cm,仍难以有效防止胆道反流并易引起胆汁在间置空肠段内滞留、增加感染因素。手术过程也比较复杂,远期效果和手术操作并不优于胆总管空肠吻合术。
(3)胆总管空肠Roux-en-Y吻合术:利用空肠与胆总管吻合,容易实现3~5cm以上的宽大吻合口,有利于防止吻合口狭窄。空肠的游离度大、操作方便、灵活,尤其并存肝总管、肝门以上肝胆管狭窄或肝内胆管结石者,可以连续切开狭窄的肝门及左右肝管乃至Ⅲ级肝胆管,解除狭窄,取出肝内结石,建立宽畅的大口吻合。适应范围广、引流效果好。辅以各种形式的防反流措施,防止胆道反流和反流性胆管炎,是最常用的胆肠内引流术式。 医学百科网 | YxBaike.Com
(4)Oddi括约肌切开成形术:早年较多用于胆总管末端和乳头狭窄病人,切开十二指肠行Oddi括约肌切开、成形。实际上如同低位胆总管十二指肠吻合,而且操作较十二指肠吻合复杂、较易发生再狭窄,远期效果并不优于胆总管十二指肠吻合术。特别是近年来EST成功用于临床和逐渐普及,不开腹、创伤小、受欢迎。适于Oddi括约肌切开的病例,均可采用EST代替,并能获得同样效果,因此开腹Oddi括约肌切开成形术已极少采用。
医学百科网 | YxBaike.Com
(5)中西医结合非手术治疗:一般性胆管炎发作在有力的抗炎、保守治疗过程中使用一些中药方剂舒肝、利胆、解痉、止痛作为辅助治疗,有一定效果。中西医结合排石法,对于结石小、数量少、不伴胆管狭窄、Oddi括约肌功能正常者,曾有排石成功的报道。但较大的结石,不能排出,多发结石难以排净,并易再发。特别是明显胆管梗阻并发重症胆管炎、不明结石数量和大小、是否存在胆管狭窄等情况下,经非手术治疗不能在短时间内缓解、好转者,仍应及时进行胆总管手术探查引流,以免发展成严重的胆源性感染性休克等严重后果。[1]
医学百科网 | YxBaike.Com
附件列表
词条内容仅供参考,如果您需要解决具体问题,请遵医嘱或咨询医师。
本站词条内容如果涉嫌侵权,请与客服联系,我们将及时进行处理。如需转载,请注明来源于www.yxbaike.com







