心脏粘液瘤
心脏粘液瘤
心脏粘液瘤心脏粘液瘤是临床上最常见的心脏原发性肿瘤,多属良性,恶性者少见。粘液瘤可发生于所有心脏的心内膜面,95%发生于心房,约75%位于左心房,20%位于右心房,左、右心室各占2.5%。左心房粘液肿瘤常发生于卵园窝附近,临床上常因瘤体堵塞二尖瓣口,导致二尖瓣口狭窄或关闭不全,粘液瘤可发生于任一年龄,但最常见于中年,以女性多见。 医学百科网 | YxBaike.Com
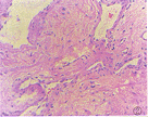
心脏粘液瘤肿瘤大小不一,多有蒂与心房或心室壁相连,外形多样,外观富有光泽,呈半透明胶冻状。切面呈实质性,间有斑片状出血区及充满凝血块的小囊腔。显微镜下可见肿瘤细胞呈星芒状、梭形、圆形或不规则形,散在或呈闭索状分布于大量粘液样基质中,胞核多为单核也可呈多核瘤巨细胞。粘液肉瘤瘤细胞形态不一,胞核大,染色深,可见核分裂,瘤细胞可浸润至小血管内形成瘤栓。
心脏粘液瘤国内外随着病例数增加,资料积累以及检查研究手段进展,对心脏粘液瘤的认识已逐渐深化,不能简单地认为只是一种良性肿瘤。综合文献,可将心脏粘液瘤分为两大类。 医学百科网 | YxBaike.Com
1.单纯的或散发的心脏粘液瘤 这类粘液瘤占病例的绝大多数,多为单发,并多在典型部位(左心房内房间隔卵圆窝对应部位)生长,或多发(约占病例20%~40%)。患者身体无其他部位的粘液性病变,可于一次常规择期手术切除后不再发生,心脏及身体各部可完全恢复正常或基本正常。 医学百科网 | YxBaike.Com
2.复杂的心脏粘液瘤 包含3个方面:粘液瘤综合征、家族性粘液瘤、多中心发生的心脏粘液瘤。在这3方面又多有交叉重叠,患者多较年青,心内粘液瘤多不在典型部位生长,临床表现多较复杂,病势常较凶猛。 医学百科网 | YxBaike.Com
心脏粘液瘤本病的临床表现取决于肿瘤的部位、大小、性质及蒂的有无和长短。瘤体大蒂长者易致房室瓣口狭窄或关闭不全,发生血流动力学的改变,出现一系列的症状,瘤体小蒂短者,可长期无症状。
1.血液回流障碍症状:心悸、气短、端坐呼吸、晕厥、心脏杂音(舒张期或收缩期、双期)随体位改变而变化。左心房粘液瘤如梗阻肺静脉或二尖瓣口可产生酷似二尖瓣病变的肺瘀血症状;阵发性夜间呼吸困难、咯血丝痰,重者可有颈静脉怒张,肝肿大及下肢浮肿。右房粘液瘤如梗阻腔静脉、三尖瓣口可出现与心包积液相似的症状;颈静脉怒张,肝肿大及水肿。本病的梗阻症状有随体位变动而发作的特点,如有与体位相关的发作性眩晕及呼吸困难,肿瘤突然堵塞房室瓣口引起心搏量显著降低,可发生突然昏厥或心脏骤停。
医学百科网 | YxBaike.Com
2.脑动脉或肺动脉栓塞症状:偏瘫、昏迷、失语等;肺动脉栓塞可发生休克、呼吸困难、胸痛、咯血等。粘液瘤碎片或瘤体表面血栓脱落可发生体、肺循环的栓塞。左房粘液瘤约有40%发生栓塞,右房粘液瘤者栓塞少见。 医学百科网 | YxBaike.Com
3.全身症状:发烧、消瘦、乏力、贫血、关节酸痛、血沉增快等。体重减轻及血清α2、β球蛋白异常增高,此可能与肿瘤内有出血坏死及炎症细胞浸润有关。
心脏粘液瘤1.心音的改变
医学百科网 | YxBaike.Com
左房粘液瘤时可出现:①心尖部第一心音亢进。②肺动脉瓣第二心音亢进且分裂。③胸骨左缘下段可听到舒张早期心音一扑落音,可传导至心尖部和心底部,为瘤体被推向左室后突然停止。心室壁或瘤蒂振动所产生。此外,心前区可听到第四心音。 医学百科网 | YxBaike.Com
2.心脏杂音
瘤体梗阻二尖瓣、三尖瓣口可形成二尖瓣、三尖瓣狭窄,当瘤体进入心室腔可出现房室瓣的关闭不全。关闭不全可能是肿瘤干扰瓣膜关闭的结果,也可能由于肿瘤反复与瓣膜接触,在瓣膜上形成瘢痕以致类似慢性风湿性瓣膜炎或甚至引起腱索断裂,因而在左房粘液瘤,心尖部可听到舒张期隆隆样杂音,左侧卧位时增强,右侧卧位时减弱,有时可听到随体位改变的收缩期杂音(二尖瓣返流)。右房粘液瘤时,可在胸骨左缘3-4肋间听到收缩-舒张摩擦样来回性杂音。左室粘液瘤可在心底部闻及3级喷射性收缩期杂音向颈部传导,而右室粘液瘤则在胸骨左缘第2-3肋间有2-3级收缩期杂音。
心脏粘液瘤1.化验贫血、血沉块、血清蛋白电泳α2及β球蛋白增高。 医学百科网 | YxBaike.Com
2.心电图可有心房、心室增大,Ⅰ-Ⅱ度房室传导阻滞,不完全右束支传导阻滞的心电图改变。也可有心房颤动发生。病情较重者可有ST-T的改变。 医学百科网 | YxBaike.Com
3.X线左房粘液瘤者有肺瘀血、肺动脉段突出,左房、右室扩大,右房粘液瘤者显示上腔静脉阴影增宽,右房、右室扩大。
4.超声心动图左房粘液瘤在左心腔内见到异常的点片状反射光团,活动于左房、左室之间,收缩期回到左房腔,舒张期达二尖瓣口进入左室,二尖瓣前叶EF斜率减低,左房增大。右房粘液瘤异常反射光团在右心腔内,收缩期在右房,舒张期随三尖瓣向右室方向移动或通过三尖瓣口进入右室腔。右房、右室增大。
医学百科网 | YxBaike.Com
5.心血管造影选择性肺动脉造影电影或连续摄片,可显现左房内占位性充盈缺损阴影,间接证实心房内肿瘤,右房粘液瘤一般作腔静脉或右房造影,也可显现右房内占位性充盈缺损阴影。
医学百科网 | YxBaike.Com
心脏粘液瘤1.心悸、气短、偏瘫、心脏杂音有时随体位变化等。 医学百科网 | YxBaike.Com
2.X线胸片显示左心房、右心室扩大,肺郁血;胸透如瘤体有钙化,钙化影随心脏跳动。
医学百科网 | YxBaike.Com
3.超声心动图检查显示瘤体随心脏收缩和舒张活动。心血管造影显示心腔内占位性病变,但有一定的假阳性、自有超声心动图,心血管造影较少应用。 医学百科网 | YxBaike.Com
左房粘液瘤应注意和二尖瓣狭窄相鉴别。二尖瓣狭窄者常有较响的开瓣音,很少有第四心音,杂音不随体位而变化,无扑落音,对可疑者如能进行超声心动图检查可以鉴别。左房内球形血栓亦易与左房粘液瘤相混淆,在超声心动图中可见左房血栓大多出现于左房后壁,它的异常反射光团缺乏随心动周期迅速移动的特征,左房血栓常伴发于二尖瓣狭窄,因而也可见二尖瓣活动异常的反射图形。右房粘液瘤应注意与缩窄性心包炎,三尖瓣狭窄,肺动脉瓣狭窄相鉴别,胸骨左缘第3、第4肋间收缩舒张摩擦样来回杂音,症状、杂音与体位改变的相关等有鉴别诊断价值。
医学百科网 | YxBaike.Com
心脏粘液瘤1.严格卧床休息;
医学百科网 | YxBaike.Com
2.心功能不全者,强心、利尿改善心功能,尽早或急诊低温体外回流手术摘除心腔内肿瘤; 医学百科网 | YxBaike.Com
3.术中未阻断主动脉前,避免搬动心脏和心内、外探查; 医学百科网 | YxBaike.Com
4.瘤蒂处房间隔或心房壁、心内膜、心肌应彻底切除;心脏瓣膜受侵不能修复则行瓣膜替换术;瓣环扩大致关闭不全行瓣环缝缩术;房间隔切除范围较大者补片修复。
医学百科网 | YxBaike.Com
5.心脏切口宜大,便于肿瘤完整摘除;
医学百科网 | YxBaike.Com
医学百科网 | YxBaike.Com
心脏粘液瘤心脏粘液瘤一经确诊,必须积极对待,应无例外尽早作好手术切除安排。由于心脏粘液瘤患者经常受动脉栓塞及(或)猝死威胁,必须争取时间予以解除。 医学百科网 | YxBaike.Com
1.单纯心脏粘液瘤患者若无全身反应,可作常规择期手术对待,但须最优先安排,不得延误。 医学百科网 | YxBaike.Com
2.全身反应严重、病情发展快且有凶险征象者,排除非粘液瘤因素后,应作急症手术安排。 医学百科网 | YxBaike.Com
3.反复发作动脉栓塞有死亡威胁者,应作急症手术安排。
医学百科网 | YxBaike.Com
4.长期发热,大量抗生素治疗一段时间无效,而又不能排除高热系由粘液瘤本身引起者,应在继续应用抗生素同时,急行手术,不要拖延。
医学百科网 | YxBaike.Com
5.有慢性心衰表现,身体衰弱,夜间不能平卧、端坐呼吸、肝大、腹水、下肢浮肿病例,应在查明无其它因素,积极控制心衰,待病情平稳后安排手术治疗。
医学百科网 | YxBaike.Com
心脏粘液瘤心脏粘液瘤本身并无手术禁忌,但有下列情况之一者,不宜单独作粘液瘤手术切除。 医学百科网 | YxBaike.Com
1.恶病体质,由心脏粘液瘤以外的恶性肿瘤所引起,而后者又不宜同期手术切除者。
医学百科网 | YxBaike.Com
2.播散性结核感染尚未控制者。 医学百科网 | YxBaike.Com
3.新脏粘液瘤末期病例、濒于死亡状态,不堪承受体外循环心内直视手术负担者(须待抢救病情趋稳后)。 医学百科网 | YxBaike.Com
4.体内尚有严重化脓性感染病灶未能加以清除控制者。
5.并存复杂先天性心血管畸形和(或)肺部器质性高压病变无法用常规手术方法予以矫治者(应考虑心脏移植或心肺移植)。轻度心衰(心率快)、贫血、血沉快、高热如非别的因素引起,而系心脏粘液瘤本身所致者,并非粘液瘤切除的手术禁忌。已有的动脉栓塞及其后遗症、合并存在心内膜炎也非心脏粘液瘤的手术禁忌。 医学百科网 | YxBaike.Com
心脏粘液瘤1.运送患者至手术室直至麻醉摆动放体位的全过程中,切须避免过多急剧翻动患者身体。
2.麻醉宜按重症患者对待,注意肝素耐药问题,体外循环中,动静脉端均须安放微孔(40µ)滤器以防止微小瘤栓进入体内。术野充分由外部吸引器吸走时,应注意氧合器液平面,必要时应及时补充。 医学百科网 | YxBaike.Com
3.防止瘤栓形成。整个手术过程中,时刻警惕瘤体碎片脱落,形成瘤栓。例如:①正中切口劈锯胸骨时,避免剧烈震动;②阻断循环前,切忌搬动、摸捏心脏,也不做手指心内探查;③术中操作轻柔;④肿瘤切除后彻底冲洗吸净心腔;⑤心肺机动脉端与静脉端分别安装微孔滤器。 医学百科网 | YxBaike.Com
4.选择合适心脏切口,充分显露肿瘤(蒂)。不同心腔的粘液瘤或瘤体特大者,或位置特殊的瘤体(蒂),或多发粘液瘤,要采用不同的心脏切口,够大的切口,以充分显露瘤体、瘤蒂。
医学百科网 | YxBaike.Com
5.彻底切除,完整取瘤。连同部分正常心肌一并切除,完整取出肿瘤,不留残迹。
医学百科网 | YxBaike.Com
7.纠正血液异常。心脏粘液瘤多有血液异常(贫血、酸碱失调、电解质紊乱、肝素耐药等),术中应予调整,使达到或接近正常状态,使术后能平稳渡过。
医学百科网 | YxBaike.Com
心脏粘液瘤的术后一般处理除和其它心脏手术后相同外,要特别注意有无瘤栓栓塞征候,遇有肢体栓塞,要积极取栓,脑栓塞要积极对症、支持治疗。
医学百科网 | YxBaike.Com
低心排血量综合征的处理也同于其它心脏术后,即须补足血容量,用药物强心、利尿、调整血压,必要时宜早行主动脉内球囊反搏或左、右心辅助循环。心律失常则须纠正电解质紊乱,使用合适抗心律失常药物,安装临时或永久心脏搏起器。 医学百科网 | YxBaike.Com
心脏粘液瘤1.体外回流用肝素、胰太酶,术毕用鱼精蛋白中和肝素。 医学百科网 | YxBaike.Com
2.术后用青霉素、丁胺卡那霉素预防感染或抗感染治疗,如无效可据病情用头孢类抗生素。
3.术后据病情用升压药或扩血管药。
医学百科网 | YxBaike.Com
4.术后用强心利尿药。
医学百科网 | YxBaike.Com
5.术后据病情静滴GIK液。 医学百科网 | YxBaike.Com
心脏粘液瘤1.治愈:症状、体征消失,无并发症。 医学百科网 | YxBaike.Com
2.好转:症状减轻,仍心悸。
医学百科网 | YxBaike.Com
3.未愈:症状无改善。 医学百科网 | YxBaike.Com
患者有不明原因的突发性心悸、气短,且日渐加重,尤其是随体位改变症状加重或减轻者,应高度怀疑本症,及时做超声心动图检查,一旦确诊,应在体外回流心内直视手术下切除肿瘤,预后良好。 医学百科网 | YxBaike.Com
医学百科网 | YxBaike.Com
| 原发性骨髓纤维化症 | 不稳定血红蛋白病 |
| 脾功能亢进 | 海洋性贫血 |
| 登革出血 | 热肠球菌败血症 |
附件列表
词条内容仅供参考,如果您需要解决具体问题,请遵医嘱或咨询医师。
本站词条内容如果涉嫌侵权,请与客服联系,我们将及时进行处理。如需转载,请注明来源于www.yxbaike.com
