阿米巴肝脓肿
阿米巴肝脓肿(amebicliver abscess)是由肠腔溶组织阿米巴滋养体通过门静脉到达肝脏,引起肝细胞溶解坏死,成为脓肿,通常称为阿米巴肝脓肿。临床表现主要有长期发热、全身性消耗、肝脏肿大压痛和白细胞增高,并易引起胸部并发症。约半数病人自1周至数年前曾患有肠阿米巴病史。本病有热带地区、沿海地区发病率较高、成年人发病率高、男性发病率高、农民发病率高、大多数为慢性表现等特点。本病目前有特效的治疗药物和方法,治愈率较高。疗效欠佳或病死者多数是未经正规治疗者、未及时接受治疗者、病情危重或伴有合并症、并发症者。因此,早诊断、早治疗是关键。
医学百科网 | YxBaike.Com
与病程、脓肿在小及部位、有无并发症有关。大多缓起,有不规则发热、盗汗等症状,发热以间歇型或弛张型居多,有并发症时体温常达39℃以上,并可呈双峰热。体温大多午后上升,傍晚达高峰,夜间热退时伴盛汗。中层得常有食欲不振、腹胀、恶心、呕吐,腹泻、痢疾等症状,肝区痛为本病之重要症状,学呈持续性钝痛,深呼吸及体位变更时增剧,夜间疼痛常更明显。右叶顶部脓肿可刺激右侧膈肌,引起右肩痛,或压迫右下肺引起肺炎或胸膜炎征象,如气急、咳嗽、肺底迫右下肺引起肺炎或胸膜炎征象,如气急、咳嗽、肺底浊音界升高,肺底闻及湿罗音,腑部有胸膜磨擦音等。脓肿位于肝下部时可引起右上腹痛和右腰痛,部分患者右下胸或右上腹泡满,或扪及肿块,伴有压痛,左叶肝脓肿约占10%,患者有中上腹或左上腹痛,向左肩放射,剑突下肝肿或中、左上腹饱满、压痛、肌肉紧张及肝区叩痛。肝脏往往呈弥漫性肿大,病变所在部位有明显的局限性压痛及叩击痛,肝脏下缘钝圆,有充实感,质中坚。部分病人肝区有局限性波动感。黄疸少见且多轻微,多发性脓肿中黄疸的发生率较高。 医学百科网 | YxBaike.Com
医学百科网 | YxBaike.Com
慢性病例呈衰竭状态,消瘦、贫血、营养性水肿,发热反不明显。部分晚期病人肝肿大质坚,局部隆起,易误为肝癌。
医学百科网 | YxBaike.Com
医学百科网 | YxBaike.Com
1、血象检查 急性期白细胞总数中度增高,中性粒细胞80%左右,有继发感染时更高。病程较长时白细胞计数大多接近正常或减少,贫血较明显,血沉增快。 医学百科网 | YxBaike.Com
医学百科网 | YxBaike.Com
2、粪便检查少数患者可查获溶组织阿米巴。
医学百科网 | YxBaike.Com
3、肝功能检查 碱性磷酸酶增高最常见,胆固醇和白蛋白大多降低,其它各项指标基本正常。
4、血清学检查同阿米巴肠病,抗体阳性率可达90%以上。阴性者基本上可排除本病。
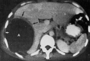
5、肝脏显影 超声波探查无创伤,准确方便,成为诊断肝脓肿的基本方法。脓肿所在部位显示与脓肿大小基本一致的液平段,并或作穿刺或手术引流定位,反复探查可观察脓腔的进展情况。B型超声显像敏感性高,但与其它液 医学百科网 | YxBaike.Com
性病灶鉴别较困难,需作动态观察。CT、肝动脉造影、放射性核素肝扫描、核磁共振均可显示肝内占位性病变,对阿米巴肝病和肝癌、肝囊肿鉴别有一定帮助,其中CT尤为方便可靠,有条件者可加选用。
医学百科网 | YxBaike.Com
6、X线检查 常见右侧膈肌抬高,运动受限,胸膜反应或积液,肺底有云雾状阴影等。左叶肝脓肿时胃肠道钡餐透视可见胃小弯受压或十二指肠移位,侧位片见右肋前内侧隆起致心膈角或前膈角消失。偶尔在平片上见肝区不规则透光液-气影,颇具特征性。
肝脏肿的临床诊断基本要点为:
1、右上腹痛、发热、肝脏肿大和压痛;
2、X线检查右侧膈肌抬高、运动减弱;
3、超声波检查显示肝区液平段。若肝穿刺获得典型的脓液,或脓液中找到阿米巴滋养体,或对特异性抗阿米巴药物治疗有良好效应即可确诊为阿米巴性肝脓肿。
医学百科网 | YxBaike.Com
医学百科网 | YxBaike.Com
国外病理证实的阿米巴肝脓肿生前获确诊的仅40%,中国国内临床误诊率为17%~38.5%。本病应下下列疾病鉴别。 医学百科网 | YxBaike.Com
医学百科网 | YxBaike.Com
1、原发性肝癌 发热、消瘦、右上腹痛、肝肿大等临床表现酷似阿米巴肝脓肿。但后者常热度较高,肝痛较著,癌肿肝脏的质地较坚硬,并有结节。甲胎蛋白的测定、B型超声波检查、腹部CT、放射性核素肝区扫描、选择性肝动脉造影、核磁共振等检查可明显诊断。肝穿刺及抗阿米巴药物治疗试验有助于鉴别。 医学百科网 | YxBaike.Com
医学百科网 | YxBaike.Com
2、细菌性肝脓肿
医学百科网 | YxBaike.Com
3、血吸虫病 在血吸虫病流行区,易将肝阿米巴病误诊为急性血吸虫病。两者均有发热、腹泻、肝肿大等表现,但后者肝痛较轻,脾肿大较显著,血象中嗜酸粒细胞显著增加,大例孵化、乙状结肠镜检查、虫卵可溶性抗原检测有助于鉴别。
医学百科网 | YxBaike.Com
4、胆囊炎 起病急,右上腹痛阵发性加剧,且常有反复发作史。黄疸多见且较深,肝肿大不显著,胆囊区压痛明显,可作胆囊造影及十二指肠引流予以鉴别。
1、内科治疗
医学百科网 | YxBaike.Com
医学百科网 | YxBaike.Com
(1)抗阿米巴治疗 选用组织内杀阿米巴药为主,辅以肠内杀阿米巴药以根治。目前大多首选甲硝唑,剂量1.2g/天,疗程10~30天,治愈率90%以上。无并发症者服药后72小时内肝痛、发热等临床情况明显改善,体温于6~9天内消退,肝肿大、压痛、白细胞增多等在治疗后2周左右恢复,脓腔吸收则迟至4个月左右。第二代硝基咪唑类药物的抗虫活力、药代动力学特点与甲硝唑相同,但半衰期长得脓肿疗效优于阿米巴肠病。东南亚地区采用短程(1~3天)治疗,并可取代甲湖唑。少数单硝唑疗效不佳者可换用氯喹或依米丁,但应注意前者有较高的复发率,后者有较多心血管和胃肠道反应。治疗后期常规加用一疗程肠内抗阿米巴药,以根除复方之可能。
(2)肝穿刺引流 早期选用有效药物治疗,不少肝脓肿已无穿刺的必要。对恰当的药物治疗5~7天、临床情况无明显改善,或肝局部隆起显著、压痛明显,有穿破危险者采用穿刺引流。穿刺最好于抗阿米巴药物治疗2~4天后进行。穿刺部位多选右前腋线第8或第9肋间,或右中腑线上第九或十肋间或肝区隆起、压痛最明显处,最好在超声波探查定位下进行。穿刺次数视病情需要而寂静,每次穿刺应尽量将脓液抽净,脓液量在200ml以上者常需在3~5天后重复抽吸。脓腔大者经抽吸可加速康复。近年出现的介入性治疗,经导针引导作持续闭合引流,可免去反复穿刺、继发性感染之缺点,有条件者采用。 医学百科网 | YxBaike.Com
(3)抗生素治疗 有混合感染时,视细菌种类选用适当的抗生素全身应用。 医学百科网 | YxBaike.Com
2、外科治疗 紧锣密鼓肝脓肿需手术引流者一般<5%。其适应证为①抗阿米巴药物治疗及穿刺引流失败者;②
脓肿位置特殊,贴近肝门、大血管或位置过深(>8cm),穿刺易伤及邻近器官者;③脓肿穿破入腹腔或邻近内脏而引流不畅者;④脓肿中有继发细菌感染,药物治疗不能控制者;⑤多发性脓肿,使穿刺引流困难或失败者;⑥左叶肝脓肿易向心包穿破,穿刺易污染腹腔,也应考虑手术。
医学百科网 | YxBaike.Com
医学百科网 | YxBaike.Com
肝脓肿的治愈标准尚不一致,一般以症状及体征消失为临床治愈,肝脓肿的充盈缺损大多在6个月内完全吸收,而10%可持续导演至一年。少数病灶较大者可残留肝囊肿。血沉也可作为参考指标。 医学百科网 | YxBaike.Com
1、治愈:症状体征消失,肝内脓腔闭合。
2、好转:症状体征消失,肝内脓腔缩小。
3、未愈:症状体征未改善,肝内脓腔无改善。
医学百科网 | YxBaike.Com
医学百科网 | YxBaike.Com
| 肝囊肿 | 肝结核 | 肝硬化 | 肝纤维化 | 肝癌 |
| 肝脓肿 | 药物性肝炎 | 酒精性肝炎 | 乙型病毒性肝炎 | 丙型病毒性肝炎 |
附件列表
词条内容仅供参考,如果您需要解决具体问题,请遵医嘱或咨询医师。
本站词条内容如果涉嫌侵权,请与客服联系,我们将及时进行处理。如需转载,请注明来源于www.yxbaike.com




