宫颈息肉
宫颈息肉子宫颈息肉是慢性宫颈炎表现的一种,在已婚妇女中比较多见。来源于宫颈粘膜的息肉,表面有一层柱状上皮覆盖,有丰富的微血管,因而颜色鲜红、柔软、脆弱。轻轻触动就会出血,以至于经常发生感染而形成溃疡。另有一种来自宫颈阴道部分的息肉,表面由复层鳞形上皮所覆盖,由于间质内主要为纤维结缔组织,所以颜色浅红,质较韧,基底较宽,病位表浅。 医学百科网 | YxBaike.Com
宫颈息肉宫颈息肉多发生于40~60岁经产妇。息肉极小时患者没有什么不适症状,多数是因其他疾病在进行妇科检查时方才发现。少数息肉较大者表现为白带增多,或者白带中央有一丝一丝的血丝,甚至有少量的阴道出血,即血性白带或接触性出血,尤其在性交后及蹲着用力大便时极易出血。
子宫息肉多数良性,有极少数恶性变,恶变率为0.2~0.4%,若作宫颈息肉摘除后常常要复发。
医学百科网 | YxBaike.Com
宫颈息肉是妇科常见病慢性子宫颈炎的一种临床表征。它是因为慢性炎症刺激使子宫颈管粘膜组织局部增生,而由于子宫自身有排异的倾向,致使增生的粘膜逐渐自基底部向宫颈外口突出而形成的息肉样改变,故也叫做宫颈内膜息肉。中医认为子宫颈息肉的发生是由于郁积的湿热,伤及血海养分,损伤了脉络及胞带所致。
医学百科网 | YxBaike.Com
当妇科常规检查用阴道窥器暴露宫颈时,所见的息肉外形大小不等,形状不一,大致可分为两种:第一种子宫颈息肉根部多附着于宫颈外口,或在颈管内。一般体积较小,直径多在1厘米以下,单个或多个,色鲜红、质软、易出血、蒂细长。外观如水滴形成扁圆体。另一种宫颈息肉发生于宫颈阴道部,这种息肉位置表浅,向表面突出,基底部宽,颜色淡红,质地较韧。 医学百科网 | YxBaike.Com
宫颈息肉宫颈息肉因慢性炎症长期刺激,宫颈局部黏膜增生,最后向宫颈外口突出而形成。舌形的息肉有时是一个,也可能是多个,表面光滑,触之易出血。宫颈息肉如不治疗,会逐渐长大,阻塞宫颈口。严重的会引起不孕症,造成性交出血,或血性白带。
专家告诫,妇女如感觉怀疑患有阴道炎、宫颈炎、盆腔炎等炎症,应考虑做个全面的妇科检查,及时发现并予治疗。宫颈息肉往往和宫颈慢性炎症有关。如果只切除息肉,因为宫颈的慢性炎症并未祛除,致病菌仍然潜伏在宫颈组织内,仍有可能复发。因此在治疗宫颈息肉后,还应对宫颈慢性炎症予以治疗,以防息肉复发。 医学百科网 | YxBaike.Com
宫颈息肉是长在子宫颈口的瘤样赘生物,似黄豆大小、色红、易出血,可导致白带增多。它是由于宫颈炎的长期刺激,继而使黏膜上皮细胞过度增生而引起。在细胞频繁的分裂增殖过程中,很可能出现异常的癌细胞。癌细胞一旦出现,即增生迅速,难以控制,并可向远处转移,导致癌扩散,最后吞噬病人的生命。有鉴于此,宫颈息肉一旦发生,必须马上摘除。由于肉眼难辨早期癌变,故一般在每次摘除息肉后,都必须送病理切片。一旦发生癌变,可立即实施宫颈癌根治术,以挽救病人的生命。 医学百科网 | YxBaike.Com
临床上较普遍采用的是“微创、无创”技术治疗宫颈息肉等宫颈疾病。“利普刀”是近年发展起来的一种宫颈疾病的诊断和治疗新技术。它通过电极尖端产生的高频电磁波对病灶产生强大能量,导致蛋白变性及病变组织细胞不可逆行坏死,同时起到止血和促进组织重建,可以达到非常精细的手术效果。该手术不会产生碳化现象,不留疤、无痛、损伤小、出血少,并能保留生育功能及盆腔底部的完整性。
医学百科网 | YxBaike.Com
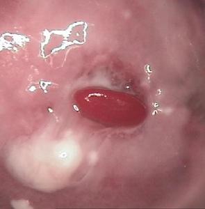
正在流血的宫颈息肉宫颈息肉可发生于任何年龄,宫颈息肉虽为比较常见的妇科疾病,但由于其体积小,可无任何症状,往往因患其它妇科疾病检查时才被发现。较大的息肉可能出现白带增多,或主诉有接触性出血,特别在性交或排便后出现点滴状出血或血性白带,出血量一般不多。表面被覆鳞状上皮的息肉,由于其质地较韧,一般无接触性出血或血性白带。如宫颈息肉伴有较重的宫颈炎,也可出现宫颈炎的症状。
宫颈息肉发生的原因,一般认为系由于慢性炎症长期刺激,引起宫颈内膜的增生堆集,也常见到一小部分患者息肉发生于宫颈阴道部的鳞状上皮部位,此种类型的息肉一般没有较细的蒂,呈舌状突出,质地比较坚实,不易出血,表面被覆鳞状上皮,色泽与宫颈表面的颜色一致,呈粉红色。而起源于宫颈管粘膜的息肉,大多有一个细长的蒂,表面鲜红色,质软,极易出血。息肉可单发,也可多发。多发性息肉往往蒂比较短,呈簇状堆集于宫颈口处。息肉的大小不一,小者直径仅几毫米,大者可达数厘米。
医学百科网 | YxBaike.Com
另有一种来自宫颈阴道部分的息肉,表面由复层鳞形上皮所覆盖,由于间质内主要为纤维结缔组织,所以颜色浅红,质较韧,基底较宽,病位表浅。息肉形成的原因可能与炎症内分泌紊乱特别是雌激素水平过高有关,中医认为子宫颈息肉的发生是由于郁积的湿热,伤及血海养分,损伤了脉络及胞带所致。
其次宫颈息肉的发生,除炎性刺激外,还与性生活和分娩等因素有关,已婚妇女占患者的98%以上。因为有三分之一以上的患者症状不明显,即使有炎症大多很轻微,阴道出血也是星星点点,所以宫颈息肉易被人们所忽略。有的患者的症状是在性交或剧烈运动甚至腹压增高之后,有出血的情形。还有的患者平时可能有黄色白带,多有异味,或白带中带有血丝。
医学百科网 | YxBaike.Com
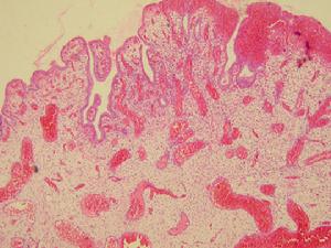
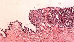
宫颈管息肉病理检查时可见息肉中央为一纤维结缔组织形成的纵轴,其中血管多而密集,外有宫颈固有的组织,包括腺体与间质,表面为宫颈粘膜覆盖,组织成分和结构基本上与正常宫颈组织相同,此为典型的息肉组织相。起源于宫颈阴道部表面覆盖鳞状上皮的息肉比较少见,此种息肉实质上为宫颈管组织增生后自宫颈阴道部鳞状上皮区疝性脱出,与宫颈管息肉的区别是表面被覆的上皮不同。
医学百科网 | YxBaike.Com
所以极小的宫颈息肉常无自觉症状,大多在妇科检查时才被发现。息肉较大的,则容易出现血性白带或接触出血的症状,特别在性生活或排便用力后,可以发生少量出血。这些症状与早期的宫颈癌很相似,应该及早检查及时治疗。 医学百科网 | YxBaike.Com
宫颈息肉与宫颈糜烂有关,由于宫颈长期慢性炎症刺激宫颈的黏膜,引起增生,而子宫有一种天然的排除异物的能力,使增生的子宫颈黏膜逐渐自基底部向宫颈外口突出形成息肉,息肉呈红色,舌状,质地软而脆,触之易出血;息肉还有一个根部,称为蒂,一般蒂细长,大多附着子宫颈外口,宫颈息肉多为单个生长,其形状多数如黄豆粒大小,小的如米粒样,大的直径达1厘米左右。有时也可长有几个息肉。 医学百科网 | YxBaike.Com
宫颈息肉宫颈息肉术后还应定期到医院复查,第一次检查应在术后3个月左右,以后则半年至1年复查一次。从出血本身来说,宫颈息肉对健康影响不大,而长期慢性炎症形成的宫颈息肉,有恶性变的可能,国外资料报告为0.7%。一旦发现宫颈息肉,应积极治疗,一般以手术摘除为主,也可用药物,激光等方法,摘下的息肉应送病理检查,以排除有否发生恶变。摘除息肉的手术极小,但如息肉较大,蒂很粗,或妇女患有高血压,心脏病或血液病时,手术就要慎重。 医学百科网 | YxBaike.Com
临床资料显示,其发病率占育龄妇女的5%左右,占所有宫颈病变的4%-10%,尤其好发于30-49岁的女性。由于该病与炎症刺激,性生活和分娩等因素有关,已婚女性占据了发病的98%以上。 医学百科网 | YxBaike.Com
宫颈息肉是可以预防的,除做好经期、产后或流产后的保健外,日常生活中,要注意外阴部卫生,防止阴道炎症和宫颈糜烂。同时要保持性生活卫生,此外,要勤晒被褥,宜穿棉织品内裤并勤洗勤换等。在此基础上,定期的妇女病检查也是十分重要的。
腹腔镜检查颈息肉形成的原因可能与炎症内分泌紊乱特别是雌激素水平过高有关。比如长期炎症会容易导致宫颈息肉。宫颈息肉有以下检查方法:
医学百科网 | YxBaike.Com
妇科检查:急性炎症可见宫颈充血水肿或糜烂有脓性分泌物白宫颈管排出触动宫颈时可有疼痛感慢性宫颈炎可见宫颈有不同程度的糜烂肥大息肉腺体囊肿外翻等表现或见宫颈口有脓性分泌物触诊宫颈较硬如为宫颈糜烂或息肉可有接触性出血。
医学百科网 | YxBaike.Com
宫颈刮片示巴氏Ⅱ级。宫颈巴式涂片是过去的检查方法,一级是完全正常,二级是有异常,可能是炎症,也可能是早期宫颈癌前病变。还应进一步检查明确,最佳方法就是TCT超薄细胞检测,其不但能发现宫颈息肉前低度病变及早期癌,还能准确对滴虫、霉菌、细菌、人乳头瘤病毒及疱疹病毒感染进行诊断。
病情较重者可做宫颈活检,以明确诊断当妇科常规检查用阴道窥器暴露宫颈时,所见的息肉外形大小不等,形状不一,大致可分为两种: 医学百科网 | YxBaike.Com
第一种子宫颈息肉根部多附着于宫颈外口,或在颈管内。一般体积较小,直径多在1厘米以下,单个或多个,色鲜红、质软、易出血、蒂细长。外观如水滴形成扁圆体。 医学百科网 | YxBaike.Com
女性生殖系统另一种宫颈息肉发生于宫颈阴道部。这种息肉位置表浅,向表面突出,基底部宽,颜色淡红,质地较韧。子宫息肉多数良性,有极少数恶性变,恶变率为0.2~0.4%,若作宫颈息肉摘除后常常要复发。宫颈息肉多发生于40~60岁经产妇。息肉极小时患者没有什么不适症状,多数是因其他疾病在进行妇科检查时方才发现。少数息肉较大者表现为白带增多,或者白带中央有一丝一丝的血丝,甚至有少量的阴道出血,即血性白带或接触性出血,尤其在性交后及蹲着用力大便时极易出血。 医学百科网 | YxBaike.Com
宫颈息肉的阴道镜所见:根据宫颈息肉表面被覆的上皮不同,阴道镜下有2种图像。属宫颈管粘膜过度增生堆集而形成者,阴道镜下息肉呈鲜红色,有一定光泽,单发者有一较细的蒂,多发者呈簇状,基底较宽,蒂较短。涂3%醋酸后表面可见水肿之柱状上皮,但不像糜烂出现“葡萄串”改变。整个息肉表面似有一层极薄的包膜,反光性好。起源于宫颈阴道部表面被覆鳞状上皮的息肉,息肉为粉红色,从宫颈鳞状上皮区突出,基底较宽,也有少数有一较细的蒂,质地较韧,涂3%醋酸后上皮略呈白色改变,数秒钟后即恢复原状。前者较软,质脆,触之易出血,后者较硬,不易出血。 医学百科网 | YxBaike.Com
宫颈息肉一经发现,即应手术摘除。宫颈息肉摘除术比较简单,碘伏消毒阴道、宫颈后,用止血钳夹住息肉蒂根部旋转取下即可。手术无痛苦,术后创面上用赛霉胺药粉,并用棉球压迫以消炎止血。息肉较大、蒂较粗者,摘除后断端可用电灼止血。摘除的息肉无论大小,都要做病理检查,因为宫颈息肉有0.2%~0.4%的恶变率,虽然很低,也不要因麻痹大意而漏诊。另外,息肉虽然摘除,但宫颈的炎症并未彻底消除,因此息肉还有可能复发,患者需要定期复查。
医学百科网 | YxBaike.Com
1、宫颈息肉与早期
宫颈癌相鉴别:宫颈癌早期有血性自带或接触出血,可有乳头状突起。而宫颈息肉则为扁平或水滴样红色赘生物,质软而脆,易出血,蒂细长。通过宫颈活体组织病理检查即可确诊。 医学百科网 | YxBaike.Com2、宫颈息肉应与粘膜下子宫肌瘤相鉴别:粘膜下子宫肌瘤由子宫粘膜表面突出于宫腔,其蒂长时。在子宫收缩后可将肌瘤排出宫颈外悬于阴道内。一般肌瘤都有蒂在宫腔,触诊较硬较圆;而宫颈息肉有蒂与宫颈相连,质地软,大者可露于颈外口。
3、子宫颈息肉务必与子宫粘膜下肌瘤鉴别,一经确诊后再行治疗。鉴别时除外观性状外,可借助探针检查,如果蒂较深,不附着于颈管内,则应排除宫颈息肉,亦不可草率按宫颈息肉的切除方法治疗。
医学百科网 | YxBaike.Com
宫颈息肉是慢性子宫颈炎的一种表现。由于慢性炎症的刺激,宫颈管黏膜局部增生,逐渐向外突出,便形成息肉。息肉的根部大多附着于子宫颈外口,或者在颈管内,息肉一般较小,直径多在1厘米以下,单个或多个,色鲜红,质软,蒂细长,易出血。治疗方法是进行手术摘除。如果宫颈慢性炎症未根除,息肉摘除后常会复发。
医学百科网 | YxBaike.Com
对于需要生育的女性来讲,所关心的问题就是宫颈息肉会不会影响怀孕和分娩。对于怀孕,自然会有不利的影响。位于宫颈口的息肉,会阻碍部分精液进入宫腔,精子量必然减少,就会降低受孕率。这两种息肉都可发生在子宫颈管附近并突向子宫颈口周围,如不治疗,可逐渐长大,阻塞宫颈口,可使子宫颈口狭窄或子宫颈管变形,妨碍精子的正常上行,导致不孕。 医学百科网 | YxBaike.Com
宫颈息肉的本质是慢性子宫颈炎症,往往产生许多炎性分泌物。含有大量的红、白细胞和致病菌的这些分泌物可破坏阴道的生理环境,使精子活力降低,生存时间缩短。宫颈息肉还会导致宫颈口的黏液形成黏液栓,从而阻碍精子进入宫腔。
另外,息肉形成时易有不规则阴道出血或性交后出血,这些改变都可影响受孕,也可造成性交出血,或有血性白带,所以一旦发现宫颈息肉,还是立即摘除为好。如果发现宫颈息肉应该及时施行息肉摘除术,时间应该在分娩前一个月之内。若摘除不久便分娩,初愈的伤口会因宫颈口扩张而发生轻微出血。若摘除时间较长,伤口愈合好,则不会出血,只要切除干净对生育没有影响。 医学百科网 | YxBaike.Com
宫颈息肉医学百科网 | YxBaike.Com
对于宫颈息肉的治疗以手术切除为主。但若伴发有炎症时,先要控制感染;出血时,则以止血为主。炎症控制后再行手术,息肉虽然罕有癌变的,但癌变率亦在0.2%~0.4%,对于年龄超过45岁,尤其是更年期前后患有宫颈息肉的,手术切除后应将息肉送作病理检查,如有恶变征象,就要尽早采取治疗措施。此外,本病容易复发,手术后应定期复查,每三个月复查一次。 医学百科网 | YxBaike.Com
宫颈息肉摘除术比较简单,碘伏消毒阴道、宫颈后,用止血钳夹住息肉蒂根部旋转取下即可。手术无痛苦,术后创面上用赛霉胺药粉,并用棉球压迫以消炎止血。息肉较大、蒂较粗者,摘除后断端可用电灼止血。摘除的息肉无论大小,都要做病理检查。 医学百科网 | YxBaike.Com
西医对于宫颈息肉的治疗以手术切除为主。但若伴发有炎症时,先要控制感染;出血时,则以止血为主。炎症控制后再行手术,息肉虽然罕有癌变的,但癌变率亦在0.2%~0.4%,对于年龄超过45岁,尤其是更年期前后患有宫颈息肉的,手术切除后应将息肉送作病理检查,如有恶变征象,就要尽早采取治疗措施。此外,本病容易复发,手术后应定期复查,每三个月复查一次。 医学百科网 | YxBaike.Com
小息肉用血管钳即可钳除,稍加压迫止血,或在颈口处塞以纱布一块,24小时取出。
临床上较普遍采用的是“微创、无创”技术治疗宫颈息肉等宫颈疾病。“利普刀”是近年(以2008年为准)发展起来的一种宫颈疾病的诊断和治疗新技术。它通过电极尖端产生的高频电磁波对病灶产生强大能量,导致蛋白变性及病变组织细胞不可逆行坏死,同时起到止血和促进组织重建,可以达到非常精细的手术效果。该手术不会产生碳化现象,不留疤、无痛、损伤小、出血少,并能保留生育功能及盆腔底部的完整性。 医学百科网 | YxBaike.Com
子宫息肉激光治疗 医学百科网 | YxBaike.Com
1、排空膀胱中潴留的尿液。
医学百科网 | YxBaike.Com
2、器械准备:激光准备同开机、水循环排出CO2激光管内气体。Nd∶YAG水循环启动机内电源开关,光纤头外露3mm,长度不够,用剃毛刀片削去外保护层、再用宝石刀切平端面。CO2激光输出10~15W;Nd∶YAG输出激光10~20W。治疗部分,使用功率40~60w。 医学百科网 | YxBaike.Com
子宫息肉BBT自凝技术治疗:它主要是通过B超的动态观察和仪器自动控制,治疗源经过阴道、宫颈等自然腔道,准确定点地介入到人体的病变部位,自动精确地控制治疗功率、时间和治疗范围,射频使病变局部组织产生生物高热效应。然后使病变组织发生凝固、变性和坏死,使病变组织得以消融,最后被正常组织吸收和自动排除,从而达到治疗的目的。 医学百科网 | YxBaike.Com
子宫息肉子宫镜及镜下手术
1、常选用5%生理盐水作膨宫液。 医学百科网 | YxBaike.Com
2、双合诊检查了解子宫的位置、大小、形态、硬度、活动度等。
子宫息肉使用宫颈钳夹住宫颈前唇、用探针经宫颈口轻缓进入宫腔探知子宫腔深度,宫颈口(包括内外口)小者用子宫扩张器扩张子宫颈至6~6.5号。 医学百科网 | YxBaike.Com
3、子宫息肉可根据探知的宫颈深度,调整子宫镜限位器,将子宫镜插入宫颈管,过内口,循子宫壁一侧缓缓推入到宫腔内。开启冷光源,打开注水阀门,嘱助手通过加压器,向宫腔内注入膨腔液。压力维持在18~22kpa(130~160mmhg)之间。在膨宫良好的可视空间仔细寻找子宫息肉蒂部的准确位置。
中西结合
子宫颈息肉是由长期慢性炎症的刺激而在宫颈外口突发一个或多个赘生物。故慢性炎症是本病的根本原因,息肉则是炎症的结果,而息肉逐渐增大,由于性交摩擦以及炎症的反复侵润,使息肉充血、破溃,造成感染或血性分泌物流出,这时宫颈息肉则为本,而血性分泌物则为标。应予手术摘除息肉以治本,同时配合中药,改善局部及全身症状。息肉是炎症的产物,息肉摘除后,炎症灶并未完全根除,故用中药口服、外用会收到较好疗效。 医学百科网 | YxBaike.Com
宫颈息肉术后出现小腹轻微的胀痛属于正常现象,术后饮食不需要太多注意。
1、术后注意适量的卧床休息;
2、一个月内避免房事; 医学百科网 | YxBaike.Com
3、注意外阴部卫生;
4、预防感染;
5、定期到医院复查。 医学百科网 | YxBaike.Com
癌变宫颈息肉也是由于慢性炎症的刺激,颈管粘膜局部增生,逐渐向外突出而形成的。宫颈息肉如不治疗,可逐渐长大,阻塞宫颈口,引起不孕症,也可造成性交出血,或有血性白带。更重要的是宫颈息肉有癌变的可能。所以一旦发现宫颈息肉,即应予以摘除。宫颈息肉有0.2%~0.4%的恶变率,虽然很低,也不要因麻痹大意而漏诊。 医学百科网 | YxBaike.Com
宫颈息肉根据发生的部位不同可分为二种。从宫颈管粘膜局部增生形成的息肉一般蒂细长,切除时容易彻底;而发生于宫颈阴道部的息肉虽然位置表浅,但基底部较宽,因此治疗时不容易彻底切除,还可以再生。另外,由于宫颈息肉是宫颈慢性炎症的一种表现,虽然切除了息肉,但宫颈的慢性炎症并没有祛除,致病菌仍然潜伏在宫颈组织内,也就是说致病原因依然存在。因此在摘除宫颈息肉后,还应对宫颈的慢性炎症予以治疗,以防息肉复发。 医学百科网 | YxBaike.Com
宫颈息肉宫颈息肉的预防,关键是要保持外阴清洁,积极防治阴道炎及宫颈糜烂。对已婚男女,在每次性生活前,各人都应清洗外阴,尤其男方要清除包皮垢,以免将其中的病菌带入阴道。平时要勤晒被褥,并经常换洗内衣裤。还要加强体育锻炼,提高机体抗病能力。 医学百科网 | YxBaike.Com
由于宫颈息肉有一定的恶性可能,故一经确诊,就要及时治疗,以减少恶变发生率。宫颈息肉的治疗以手术摘除为主。只要将息肉的根部完全切除,隔天之后就不会再出血。当息肉较大或合并严重的宫颈管炎时,还须考虑子宫部分切除或全切除。宫颈息肉手术后还应按医嘱定期去医院复查,因为如有炎症时或有较小的和藏于深处未一并摘除的息肉仍可造成复发。定期复查可尽早发现新的复发性病灶,以利及时对症处理,彻底消除隐患,确保身体健康。
医学百科网 | YxBaike.Com
宫颈息肉合理饮食要点 医学百科网 | YxBaike.Com
1、补充B-胡萝卜素。B-胡萝卜素在体内会转化为维生素A,有助于保护免疫系统免受自由基分子的攻击,并具有明显的免疫增强作用。含维生素A多的动物性食物是:动物的肝脏和鸡蛋等。含B-胡萝卜素丰富的植物性食物是:菠菜、油菜、苋菜、莴苣叶和南瓜等。 医学百科网 | YxBaike.Com
2、补充维生素C的摄入。由病毒引起的宫颈息肉的例子已越来越多。而维生素C可以抑制病毒所造成的伤害,这一点非常重要。近来科学家已发现维生素C有十几种增强免疫的作用。另外,维生素C也与宫颈息肉发病率有关,有关资料调查表明,维生素C摄入量增加时,宫颈息肉危险降低。含维生素C多的蔬菜是:菜花、白萝卜、土豆、小白菜、油菜等绿色蔬菜。 医学百科网 | YxBaike.Com
3、补充微量元素锌和硒。锌和硒对免疫细胞的产生和功能发挥有着极为重要的作用。科学研究表明,体内锌和硒的水平过低会引起免疫系统功能低下。含微量元素锌和硒多的动物性食物是:牡蛎、鱼、瘦肉、动物内脏、蛋、牛肾、猪肾、虾等,蛋类中含锌最高。植物性原料中含锌和硒多的食物是:食用菌类、紫菜、芝麻、花生、小麦胚粉、坚果类等。
医学百科网 | YxBaike.Com
4、应多吃黄豆与其制品。如豆腐、豆浆、豆干,蔬菜类的芹菜、花椰菜、毛豆、甜豆等食物。因这些食物可补足植物性雌激素,植物性雌激素内含的异黄酮素、木质素都被科学家认为有抗氧化的作用。
附件列表
词条内容仅供参考,如果您需要解决具体问题,请遵医嘱或咨询医师。
本站词条内容如果涉嫌侵权,请与客服联系,我们将及时进行处理。如需转载,请注明来源于www.yxbaike.com
