子宫肌瘤
子宫肌瘤
子宫肌瘤 (uterus, myoma of)又称子宫平滑肌瘤,是女性生殖器最常见的一种良性肿瘤。多无症状,少数表现为阴道出血,腹部触及肿物以及压迫症状等。如发生蒂扭转或其他情况时可引起疼痛。以多发性子宫肌瘤常见。本病确切病因不明,现代西医学采取性激素或手术治疗,尚无其他理想疗法。子宫肌瘤好发于卵巢功能较旺盛的30~45岁的妇女,50岁以后,由于卵巢功能明显衰退,肌瘤大多自行缩小。[1]子宫壁平滑肌和纤维组织构成的肿瘤。女性生殖器官中最常见的良性肿瘤。 医学百科网 | YxBaike.Com
一般认为,长期大量持续的雌激素刺激是本病的主要原因。多发生于生育年龄,绝经后肿瘤会萎缩。根据生长部位分为子宫体肌瘤和子宫颈肌瘤,前者多见。肌瘤可为单个,也可多发。根据肌瘤与肌壁的关系分以下几类:①浆膜下肌瘤。肌瘤凸出于子宫表面。②肌壁间肌瘤。肌瘤生长于子宫肌层中,此种最多见。③粘膜下肌瘤。肌瘤位于内膜下层,向宫腔内生长,有时可从宫颈口脱出,是月经量多、不规则出血的原因。由于血液循环障碍,肌瘤可发生变性,如玻璃样变、囊性变、红色变、钙化等。极少数肌瘤也可恶变成为肉瘤,多见于年龄大及肌瘤生长快者。
医学百科网 | YxBaike.Com
临床症状与肌瘤生长部位有关,粘膜下肌瘤和壁间肌瘤可引起月经量多、经期延长及不规则出血,严重时可造成贫血。子宫增大、清晨膀胱充盈时自己可摸到下腹部肿块。肌瘤可压迫膀胱和直肠,引起尿频、便秘及腰骶部疼痛。也有因肌瘤引起不孕者。肌瘤合并妊娠时,易发生红色变性,偶尔也会阻塞产道,影响分娩。根据临床症状及妇科检查,诊断不困难;子宫腔探针、刮宫、造影、B超、宫腔镜等可协助诊断。须与之鉴别的疾病有:妊娠子宫、卵巢肿物、畸形子宫等。治疗以手术为主,年轻希望生育者可行肌瘤摘除术;肌瘤较小而且无症状者,可定期复查;若肌瘤增大迅速,或有出血、月经过多、怀疑变性者,可行全子宫切除术。
医学百科网 | YxBaike.Com
医学百科网 | YxBaike.Com
子宫肌瘤子宫肌瘤确切病因不明,可能与体内雌激素水平过高,长期受雌激素刺激有关。理由是: 医学百科网 | YxBaike.Com
(一)偶见于初潮后妇女,多见于中年妇女,绝经后肌瘤多停止生长并逐渐萎缩;
(二)肌瘤多并发子宫内膜增生;
(三)卵巢颗粒细胞瘤、卵泡膜细胞瘤(可分泌雌激素)患者常合并子宫肌瘤;
医学百科网 | YxBaike.Com
(四)妊娠时雌激素水平增高,肌瘤也会迅速增大;
(五)外源性雌激素可加速肌瘤生长。
医学百科网 | YxBaike.Com
1.子宫肌瘤的组织发生 子宫肌瘤的组织起源目前意见尚未一致,有人认为是由未成熟的子宫壁平滑肌细胞增生所产生,也有学者认为是发生于子宫血管壁的平滑肌组织。 医学百科网 | YxBaike.Com
2.子宫肌瘤的遗传学 早在20世纪90年代初Rein就指出体细胞突变是肌瘤形成中的起始事件,体细胞突变包括从点突变到染色体丢失和增多的多种染色体畸变,首先是单克隆起源的体细胞突变,并对突变肌细胞提供一种选择性生长优势,其次是多种与肌瘤有关的染色体的重排。细胞遗传学一致证实子宫肌瘤具有染色体的结构异常,一般认为在子宫肌瘤组织培养中有53.9%~65.6%为正常核型,有34.4%~46.1%为非随机的染色体异常核型。
医学百科网 | YxBaike.Com
3.性甾体激素在子宫肌瘤病因学中的作用 目前认为从子宫肌层细胞到肌瘤形成的转化过程可能涉及正常子宫肌层的体细胞突变和性激素及局部生长因子间复杂的相互作用,性激素包括雌激素和孕激素及许多肽类生长因子均被视为肌瘤生长的调节因子,在肌瘤的病因学中占有重要地位。 医学百科网 | YxBaike.Com
4.生长因子在子宫肌瘤病因学中的作用 最近几年的研究表明性甾体激素在细胞增殖和分化中的作用是通过生长因子的产物调节。生长因子对雌激素诱导细胞的生长和分化以自分泌和旁分泌的方式在组织局部起作用。在子宫肌瘤中,许多异常表达的生长因子在其他间质衍生的疾病中也有异常表达,因此提出许多肽类生长因子及其受体是肌瘤生长和其他纤维组织生成性疾病的调节因子(Nowak RA,2001),近年来大量研究发现与肌瘤生成和发展有关的生长因子共有3类。
医学百科网 | YxBaike.Com
子宫肌瘤1.大体 子宫肌瘤是实性肿瘤,可单个或多个生长在子宫任何部位。大小悬殊,甚至几十至百个肌瘤同时生长,一般小肌瘤多为圆球形,但长大或多个肌瘤互相融合时,则成为不规则的形状。肌瘤组织质地较子宫为硬,在直视下,从子宫外极易触摸到子宫肌瘤存在的部位。肌瘤并无包膜,肌瘤压迫周围的肌壁纤维而形成假包膜,二者界限分明,肌瘤与子宫肌壁间有一层疏松的网状间隙,切开肌壁,肌瘤多会从肌壁间跃出,且极易从假包膜将肌瘤剥出。肌瘤血液供应多来自假包膜。肌瘤表面色淡,光泽,切面呈灰白色,可见旋涡状或编织状结构,排列致密。 医学百科网 | YxBaike.Com
2.镜下 子宫肌瘤主要由梭形平滑肌细胞和不等量纤维结缔组织构成。平滑肌细胞大小均匀,排列呈栅栏状或旋涡状结构,纵切面细胞呈梭形,大小较一致,杆状核;横切面细胞呈圆形、多边形,圆形核位于中央,胞浆丰富。肌瘤中平滑肌细胞和纤维结缔组织含量多少与子宫肌瘤的硬度有关。突向宫腔的黏膜下肌瘤由于对子宫内膜有机械性压迫,使内膜变薄,腺体压扁,互相靠近,腺上皮呈立方形或扁平状,排卵后分泌期反应不明显或内膜残缺不全。
医学百科网 | YxBaike.Com
3.变性 主要为各种原因引起的退行性变,退行性变的主要原因为子宫肌瘤局部血液供给不足所致,多与临床症状无关。 医学百科网 | YxBaike.Com
(1)各类变性:
①玻璃样变:玻璃样变又称透明变性,是最常见的肌瘤变性,肌瘤组织水肿变软,肌纤维退变,旋涡状或编织状结构消失,融合成玻璃样透明体,由于玻璃样变多发生于肌瘤的结缔组织,因此这种变性在纤维结缔组织成分较多的肌瘤更明显。镜下可见肌瘤内有宽带状透明结缔组织,并可出现区域性囊性变;也可见到组织的坏死,组织无结构。
②囊性变:子宫肌瘤玻璃样变继续发展,肌细胞液化即可发生囊性变,此时子宫肌瘤变软,很难与妊娠子宫或卵巢囊肿区别。肌瘤内出现大小不等的囊腔,数个囊腔也可融合为一大腔,内有胶冻样和黏液样物质积聚,囊壁内层无上皮覆盖,切面变性区呈棉絮状,大小不等,囊腔囊内液分为无色或血性。镜下可见囊性变区染色呈淡蓝色云雾状,也可见到有小簇肌细胞残留,在变性肌细胞周围也可有肌细胞增生。 医学百科网 | YxBaike.Com
③红色变性:多见于妊娠期或产后期,红色变性实为肌瘤一种特殊类型的坏死,发生机制不清。可能是肌瘤内小血管发生退行性变,引起血栓或溶血,血红蛋白渗入肌瘤内,切面为暗红色如半熟的牛肉,有腥臭味,质软,旋涡状结构消失。镜下可见组织高度水肿,瘤体内小静脉有血栓形成,血管扩张充血,广泛出血并有溶血,肌细胞质淡染,轮廓不清,肌细胞减少,细胞核常溶解消失,并有较多脂肪小球沉积。 医学百科网 | YxBaike.Com
④脂肪变性:一般病灶较小,少数可见到脂肪小颗粒,主要为肌瘤细胞内脂肪颗粒增多。镜下见肌细胞内有空泡,脂肪染色阳性,其发生原因可能是肌瘤间质化生为脂肪组织,也可能是脂肪组织浸润。肌瘤内全部变为黄色脂肪时称脂肪瘤,但极罕见。 医学百科网 | YxBaike.Com
⑤钙化:多见于蒂部细小血供不足的浆膜下肌瘤以及绝经后妇女的肌瘤,多见于脂肪变性后进一步皂化,分解成甘油三酯,再与钙盐结合,故肌瘤钙化是以磷酸及磷酸盐的形式在肌瘤内沉积,坚硬如石。X线摄片可清楚看到钙化阴影。镜下可见钙化区为层状沉积,呈圆形,有深蓝色微细颗粒。
医学百科网 | YxBaike.Com
⑥感染及化脓:子宫肌瘤感染多见于黏膜下肌瘤脱出子宫口或阴道口者,浆膜下肌瘤感染见于血源性或邻近器官感染蔓延。肌壁间肌瘤感染多见于囊性变性后。黏膜下肌瘤感染伴有局部坏死、溃疡及黏膜脱落。细菌逆行进入宫腔而与子宫内膜炎,输卵管炎合并存在。
⑦恶性变:肌瘤恶变主要为肉瘤样变,发生率为0.4%~1.25%,肉瘤样变多见于肌壁间肌瘤,40~50岁妇女较多,30岁以下较少见。肌瘤在短期内迅速长大或伴有不规则出血者应首先考虑恶变。肌瘤恶变后,组织变软而且脆,切面呈灰黄色,细腻,似生鱼肉状,与周围组织界限不清。镜下可见平滑肌细胞增生,排列紊乱,旋涡状结构消失,细胞有异型性。
(2)临床类型:子宫肌瘤可发生在子宫任何部位,按肌瘤所在部位不同可分为子宫体肌瘤和子宫颈肌瘤,前者约占子宫肌瘤90%~96%,后者仅占2.2%~8%,宫颈和宫体同时存在肌瘤占1.8%(连利娟,2000;张惜阴,1992),子宫肌瘤开始时仅为肌壁内的单一瘤细胞所形成,以后随着肌瘤的增大逐渐从子宫肌壁内向不同的方向生长,根据其与子宫肌壁的关系将其分为3类(如下图1): 医学百科网 | YxBaike.Com
①肌壁间肌瘤:肌壁间肌瘤(intramural myoma)又称子宫肌层内肌瘤。肌瘤位于子宫肌层内,周围有正常的肌层包绕,肌瘤与肌壁间界限清楚,常将围绕肌瘤被挤压的子宫肌壁称为假包膜。此类肌瘤最多见,占肌瘤总数的60%~70%,肌瘤常为单个或多个,大小不一,小者如米粒或黄豆大小,不改变子宫形状;大者可使子宫增大或使子宫形状改变呈不规则突起,往往宫腔也随之变形。
医学百科网 | YxBaike.Com
②浆膜下肌瘤:浆膜下肌瘤(subserous myoma)当子宫肌壁间肌瘤向子宫表面的浆膜层生长,以致肌瘤表面仅覆盖着少许肌壁及浆膜层时称为浆膜下肌瘤。当肌瘤继续向浆膜下生长,形成仅有一蒂与子宫壁相连时称为带蒂浆膜下肌瘤(pedunculated myoma)。肌瘤生长在子宫两侧壁并向两宫旁阔韧带内生长时称为阔韧带肌瘤(intraligamentary myoma),此类肌瘤常可压迫附近输尿管,膀胱及髂血管而引起相应症状和体征。带蒂浆膜下肌瘤可发生扭转,由于血运受阻,肌瘤蒂断裂并脱落于盆腹腔内,肿瘤发生坏死。若脱落肌瘤与邻近器官如大网膜,肠系膜等发生粘连,并从而获得血液供应而生长称为寄生性肌瘤(parasitic myoma)或游走性肌瘤,浆膜下肌瘤占肌瘤总数20%~30%,由于肌瘤外突多使子宫增大,外形不规则,表面凹凸不平,呈结节状,带蒂浆膜下肌瘤则可在子宫任何部位触及,为可活动的实性肿物,阔韧带肌瘤则于子宫旁触及,活动受限。
③黏膜下肌瘤:黏膜下肌瘤(submucous myoma)为贴近于宫腔的肌壁间肌瘤,向宫腔方向生长,表面覆以子宫内膜称为黏膜下肌瘤。这种肌瘤突出于宫腔,可以改变宫腔的形状,有些肌瘤仅以蒂与宫壁相连称为带蒂黏膜下肌瘤,这种肌瘤在宫腔内如异物引起反射性子宫收缩,由于重力关系,肌瘤逐渐下移至宫颈内口,最终蒂被拉长,肌瘤逐渐被推挤于宫颈外口或阴道口。此类肌瘤占总数10%左右。由于肌瘤位于宫腔内,子宫多为一致性增长。由于肌瘤的牵拉和肌瘤蒂的血液供应不足,可使子宫有轻度内翻及肌瘤表面内膜的出血、坏死、感染而引起阴道不规则出血及分泌物增多。子宫肌瘤常为多个,上述肌瘤可2种甚至3种同时发生在同一子宫上,称为多发性子宫肌瘤。
医学百科网 | YxBaike.Com
子宫颈肌瘤可生长在子宫颈前唇或后唇黏膜下,宫颈肌瘤突向颈管内可形成带蒂宫颈肌瘤,宫颈肌壁间肌瘤,可随肌瘤逐渐长大,使宫颈拉长,或突向于阴道或嵌顿充满盆腔,此时正常大小的子宫体位于巨大的宫颈上,将子宫或膀胱上推至下腹部,并使两侧的盆腔解剖关系发生变异,增加了手术的危险度。[1] 医学百科网 | YxBaike.Com
子宫肌瘤与十几年前相比,子宫肌瘤越来越青睐三四十岁的中年女性,特别是未育、性生活失调和性情抑郁这三类女性。妇科专家介绍,子宫肌瘤的具体原因目前尚不十分明确,但研究表明,激素分泌过于旺盛,是导致子宫肌瘤的最普遍原因,而女性的这三种行为模式,是造成内分泌紊乱,导致激素分泌过剩的罪魁祸首。 医学百科网 | YxBaike.Com
第1类:未育女性提前进入更年期 医学百科网 | YxBaike.Com
女性一生原始卵泡数目有限,排卵的年限约有30年。妊娠期和哺乳期,由于激素作用,卵巢暂停排卵,直至哺乳期的第4~6个月才恢复,卵巢由此推迟了一定数量的排卵,有生育史的女性要较晚进入更年期。而未育女性得不到孕激素及时有效保护,易发生激素依赖性疾病,子宫肌瘤就是其中之一。权威研究表明,女性一生中如果有一次完整的孕育过程,能够增加10年的免疫力,而这10年的免疫力,主要针对的是妇科肿瘤
第2类:性生活失调影响子宫健康
医学百科网 | YxBaike.Com
传统中医学讲,子宫肌瘤归属于“症瘕”(肚子里结块的病)范畴。而“症瘕”的形成多与正气虚弱、气血失调有关。中医讲解“症瘕”:妇人为性情中人,夫妻不和,势必伤及七情,七情内伤,气机不畅,气血失调,气滞血淤,淤积日久,则可为“症瘕”。可见,夫妻间正常的性生活刺激,可促进神经内分泌正常进行,使人体激素正常良好地分泌,而长期性生活失调,容易引起激素水平分泌紊乱,导致盆腔慢性充血,诱发子宫肌瘤。 医学百科网 | YxBaike.Com
第3类:抑郁女性多发子宫肌瘤 医学百科网 | YxBaike.Com
中年女性面临着工作和家庭的双重精神压力,易产生抑郁情绪。而伴随着绝经期的到来,女性开始出现“雌激素控制期”。在这个时期中,女性自身的抑郁情绪,很容易促使雌激素分泌量增多,且作用加强,有时可持续几个月甚至几年,这同样是子宫肌瘤产生的重要原因。
中医讲情绪对子宫肌瘤的影响时提到:“气滞,七情内伤,肝失条达,血行不畅滞于胞宫而致,表现为下腹痞块,按之可移,痛无定处时聚时散,精神抑郁,胸胁胀满。”讲的也是这个道理。[1]
医学百科网 | YxBaike.Com
子宫肌瘤根据肌瘤所在子宫的不同部位,而分为以下几类: 医学百科网 | YxBaike.Com
1.肌壁间肌瘤 肌瘤位于肌壁内,周围均为肌层所包围,初发病时多为此类肌瘤,故最常见,约占60~70%。 医学百科网 | YxBaike.Com
医学百科网 | YxBaike.Com
2.浆膜下肌瘤 肌壁间肌瘤向浆膜而发展,并突出于子宫表面,与浆膜层直接接触,约占20%。如突入阔韧带两叶之间生长,即为阔韧带内肌瘤。
医学百科网 | YxBaike.Com
3.粘膜下肌瘤 肌壁间肌瘤向宫腔内生长,突出于子宫腔内,与粘膜层直接接触,约占10%。此瘤可使子宫腔逐渐增大变形,并常有蒂与子宫相连,如蒂长可堵住子宫颈口或脱出于阴道内 4.子宫颈肌瘤 较少见,肌瘤在子宫颈部位生长,因生长部位低,可嵌顿于盆腔内,产生压迫症状,手术切除困难,易损伤输尿管、膀胱。 子宫肌瘤常为多发性,并且以上不同类型肌瘤可同时发生在同一子宫上,称为多发性子宫肌瘤 医学百科网 | YxBaike.Com
医学百科网 | YxBaike.Com
子宫肌瘤由于子宫肌瘤生长较快,当供血不良时,可以发生不同变性。肌瘤愈大,缺血愈严重,则继发变性愈多。 医学百科网 | YxBaike.Com
1.良性变
⑴透明变性(玻璃样变)
因肌瘤生长迅速,造成相对供血不足,使部分组织水肿变软,旋涡状结构消失,代之以均匀的透明样物质,巨检时易与肉瘤变性相混淆,光镜下看不到细胞结构,病变部分为无结构的均匀伊红色区域。
医学百科网 | YxBaike.Com
⑵囊性变
为透明变性进一步发展所致,在透明变性的基础上供血不足,使变性区域内组织液化,形成内含胶冻样或透明液体之囊腔,整个肌瘤质软如囊肿。
⑶坏死
由于瘤蒂扭转或重度感染而形成,肌瘤中央部位距供血较远,最易发生坏死。组织呈灰黄色,柔软而脆,也可形成小腔隙。
医学百科网 | YxBaike.Com
子宫肌瘤⑷感染
多见于粘膜下肌瘤突入阴道者,供血受阻,发生坏死,继以感染;也有少数患者因盆腔有感染病灶,多累及子宫肌瘤。
⑸脂肪变性
常在透明变性后期或坏死后发生,也可能系肌瘤间质化生而形成脂肪组织。质软,易使诊为肉瘤。光镜下见肌细胞内有空泡,脂肪染色阳性。
⑹红色样变
是一种特殊类型的肌瘤坏死,多见于单一较大的壁间肌瘤,常发生于妊娠或产褥期,可能与局部组织缺血、梗死、瘀血、血栓阻塞,而致局部组织出血、溶血有关,使血液渗入瘤体,肉眼见肌瘤红色,似生牛肉状,完全失去原旋涡状结构。
2.恶性变
肉瘤变性约有0.5~1%的子宫肌瘤恶变为肉瘤,多见于年龄大,肌瘤较大且生长快者,特别是绝经后肌瘤增长迅速或绝经后再出现的肌瘤患者。机制不详。肉瘤病变区域组织灰黄,质软如生鱼肉样。 医学百科网 | YxBaike.Com
子宫肌瘤子宫肌瘤有无症状及其轻重,主要决定于肌瘤的部位、大小、数目以及并发症。有的肌瘤小、生长缓慢、无症状,可以终生未被发现。近年由于B型超声检查的广泛应用,不少患者是因常规查体,经B超检查发现有子宫肌瘤,而其本人并无症状。多数患者是因有症状而来就医。子宫肌瘤常见的症状有子宫出血、腹部肿块、阴道溢液、压迫症状等。 医学百科网 | YxBaike.Com
多数患者无明显症状,仅于盆腔检查时偶被发现。若出现症状,与肌瘤的部位、生长速度及肌瘤有无变性等关系密切。 医学百科网 | YxBaike.Com
1、月经改变:为最常见的症状,表现为月经周期缩短、经量增多、经期延长、不规则阴道流血等。
2、腹块: 腹部胀大,下腹扪及肿物,伴有下坠感。
3、白带增多:白带增多,有时产生大量脓血性排液及腐肉样组织排出伴臭味。
4、疼痛:一般患者无腹痛,常有下腹坠胀、腰背酸痛等,当浆膜下肌瘤蒂扭转时,可出现急性腹痛肌瘤红色变时,腹痛剧烈且伴发热。 医学百科网 | YxBaike.Com
5、压迫症状:肌瘤向前或向后生长,可压迫膀胱、尿道或直肠,引起尿频、排尿困难、尿潴留或便秘。当肌瘤向两侧生长,则形成阔韧带肌瘤,其压迫输尿管时,可引起输尿管或肾盂积水;如压迫盆腔血管及淋巴管,可引起下肢水肿。
医学百科网 | YxBaike.Com
6、不孕:肌瘤压迫输卵管使之扭曲,或使宫腔变形以致妨碍受精卵着床,导致不孕。
7、继发性贫血:若患者长其月经过多可导致继生贫血,出现全身乏力、面色苍白、气短、心慌等症状。 医学百科网 | YxBaike.Com
8、红细胞增多症:子宫肌瘤伴发红细胞增多症(erythrocytosis)者罕见。患者多无症状,主要的诊断依据是血红蛋白与红细胞计数增高,除子宫肌瘤外找不到其他引起红细胞增多症的原因,肿瘤切除后血红蛋白与红细胞均降至正常。
9、低糖血症:子宫肌瘤伴发低糖血症(hypoglycemia)亦属罕见。主要表现为空腹血糖低,意识丧失以致休克,经葡萄糖注射后症状可以完全消失。肿瘤切除后低血糖症状即完全消失。 医学百科网 | YxBaike.Com
子宫肌瘤(1)腹部检查:小子宫肌瘤从腹部摸不到肿块,如子宫增大超过3个月妊娠大小或宫底部有肌瘤易于触及。于耻骨联合上方或下腹部正中触及肿物、实性,若为多发性子宫肌瘤则其外形不规则,肿物可活动、无压痛,若为阔韧带肌瘤则其活动受限制。 医学百科网 | YxBaike.Com
(2)阴道检查:注意阴道是否通畅,有无肿物堵塞;宫颈大小、外观有无变形、肿物、有无移位,是否易于暴露,颈管有无变形,阴道穹隆是否饱满。子宫体部肌瘤则子宫呈不同程度增大,肌瘤局部向外突起,子宫表面凹凸不平,肿瘤硬度与子宫肌壁一致,若肌瘤含纤维组织成分较多者则触之较硬,若肌瘤有退行性变则变软甚至呈囊性,若肌瘤有钙化则触之坚硬如石。移动宫颈时肿瘤也随之移动。带蒂浆膜下肌瘤位于子宫表面,若蒂长,移动宫颈则肿瘤不随之移动,此时与卵巢肿瘤易混淆。子宫黏膜下肌瘤位于宫腔内者子宫呈一致性增大,表面平滑,硬度正常而活动,若带蒂黏膜下肌瘤脱出于宫颈外口处,则张开窥器即可看到子宫颈口处有肿物,粉红色,表面光滑,宫颈四周边缘清楚,软,肌瘤有时可缩回宫腔形成时隐时现。若肌瘤大,一旦脱出于宫颈外口即不易退缩回去,若时间长,肿瘤表面充血、水肿伴有感染,甚至形成溃疡、坏死而有脓性溢液排出。宫颈肌瘤则宫颈局部增大可触及圆形瘤核,若为带蒂黏膜下肌瘤脱出于宫颈口处,则与子宫黏膜下肌瘤外观相似,用探针探测蒂根位于颈管内则为宫颈黏膜下肌瘤。宫颈肌瘤多是单发的,若为巨型宫颈肌瘤,肌瘤可达3~4个月妊娠子宫大小,盆腔改变较复杂,宫颈有明显的移位及变形。肌瘤可来自前唇或后唇而以后唇为多见。后唇被增大的肿物所代替,前唇则被肿物扩张变薄,宛如临产后近开全的宫颈,而子宫则被推到肿物之上如高山上的小庙;有时位于宫颈上方近峡部的巨型肌瘤向子宫直肠陷凹处嵌入,宫颈向上移位于耻骨联合的后方,呈扁片状而无法暴露,子宫则被高举于肿瘤之上方。来自前唇的巨型肌瘤使宫颈口移到后下方,亦难以暴露,前唇被巨大的肿瘤代替,子宫被高举于肿物之上。有时宫颈肌瘤向侧方发展而形成阔韧带底部的肿瘤。三合诊可协助了解盆腔内的改变。
富细胞型平滑肌瘤子宫肌瘤是最多见的妇科良性肿瘤,每位妇科医师都治疗过若干例子宫肌瘤,所见病例绝大多数为普通型子宫肌瘤。在极少的情况下可以遇到某些特殊型子宫肌瘤。这些肌瘤或为显微镜下组织形态学具有特征或是临床所见肌瘤的生物学行为不同于普通平滑肌瘤,但其共同点是病理组织学属良性肿瘤。为了对子宫平滑肌瘤有一较全面的了解,对此类少见的特殊型肌瘤加以叙述,以期有助于临床处理,以避免将良性误认为恶性或将恶性误诊为良性而给予过多或不足的治疗,造成不良后果。
医学百科网 | YxBaike.Com
(1)富细胞型平滑肌瘤(cellular leiomyoma):其临床表现和大体观与普通型平滑肌瘤无区别。光镜下见到的肿瘤有丰富的平滑肌细胞,密集排列,缺乏纤维组织,血管也明显减少。瘤细胞胞浆相对减少,但仍具有平滑肌细胞梭形,杆状核两端较钝的特点,细胞大小形态较一致。无异形或仅有个别细胞有异形。偶见核分裂,属良性,光镜下易于辨认(图2)。与恶性鉴别的标准是对富细胞型平滑肌瘤的诊断须将核分裂象、细胞异型、肌瘤与周围组织间有无浸润及出血、坏死等综合判断,核分裂象5~10个/10HPF且细胞轻度异型应诊断为潜在恶性;若核分裂象>10个/10HPF则诊断为肉瘤。王有志等曾报道子宫特殊型平滑肌瘤110例,其中富细胞型平滑肌瘤最多见,为105例:此105例中93例肌瘤细胞无异型,其中核分裂象≤2个/10HPF者85例,3~4个/10HPF者8例,另12例平滑肌瘤细胞有轻度异型,核分裂象0~4个/10HPF,其中4例作了子宫肌瘤切除术,分别于术后18~23个月内妊娠,获足月分娩,余8例均行子宫切除术,7例随访1~5年情况良好,1例失访。
医学百科网 | YxBaike.Com
奇异型平滑肌瘤或称非典型平滑肌瘤
高分裂象平滑肌瘤(2)高分裂象平滑肌瘤(leiomyoma with high mitotic figures):与普通子宫平滑肌瘤之不同点为镜下见较多的核分裂象,核分裂象增多达5~15个/10HPF,但无异常核分裂,无瘤细胞坏死、细胞过多、细胞多形性、间变或巨细胞,此种肌瘤属良性但必须严格掌握此诊断标准(图3)。如果患者作了肌瘤切除术,只要肌瘤已被完全切除,对希望生育的妇女可以不必再作子宫切除术。
医学百科网 | YxBaike.Com
(3)奇异型平滑肌瘤或称非典型平滑肌瘤(bizarre,atypical leiomyoma):临床表现与大体标本与普通平滑肌瘤无区别,仅镜下表现不同。瘤细胞为多边形或圆形,可见多形性,细胞核大而浓染,有多核巨细胞,但核分裂象极少,0~1个/10HPF,妊娠期或服用大剂量黄体酮酮类药物,肌瘤可以出现类似的奇异型细胞。此种奇异型瘤细胞通常呈局灶性出现于肌瘤,往往在退行性变区的附近,但有时可有多数奇异型细胞弥散于肌瘤的大部分,但很少是整个肌瘤全为此类细胞所构成。若遇此情况诊断奇异型平滑肌瘤须慎重。主要须与平滑肌肉瘤鉴别,要多作切片,仔细检查,注意核分裂象。核分裂象<2个/10HPF无病理核分裂,无肿瘤坏死,属良性,可以诊断为奇异型平滑肌瘤;核分裂象2~5个/10HPF为潜在恶性;>5个/10HPF为平滑肌肉瘤(图4)。
血管型平滑肌瘤(4)血管型平滑肌瘤(vascular leiomyoma):巨检肿瘤像普通肌瘤,切面色较红。镜下见血管性平滑肌瘤中血管很丰富,血管内皮细胞很明显,瘤细胞围绕血管排列,与血管平滑肌紧密相连,可见血管壁的平滑肌细胞与肌瘤细胞之间有移行过渡。核分裂象极少(图5)。 医学百科网 | YxBaike.Com
(5)上皮样平滑肌瘤(epithelioid leiomyoma):是一种罕见的子宫肌瘤。瘤细胞失去普通平滑肌瘤细胞的梭形而呈圆形或多角形,排列成群或索条状类似上皮细胞,因而得名。平滑肌瘤部分或全部由上述细胞所组成即诊断为上皮样平滑肌瘤。有多种不同的细胞类型。平滑肌母细胞型细胞是多角形或圆形平滑肌细胞,胞浆丰富,有不等量嗜伊红颗粒,核周有透明晕,胞核圆形或卵圆形位于细胞中央,其细胞形态与胚胎平滑肌母细胞相似,故又称平滑肌母细胞瘤(leiomyoblastoma),见图6。 医学百科网 | YxBaike.Com
上皮样平滑肌瘤在这些细胞间常掺杂典型平滑肌细胞并可见两种细胞的过渡形态,此类型很少发生于子宫而多见于消化道平滑肌瘤。透明细胞上皮样平滑肌瘤(clear cell epithelioid leiomyoma),其细胞体积大,界限清楚,呈圆形或多角形细胞,胞浆丰富,透明和出现空泡,核居中或在边缘。病变可呈灶性分布或累及整个肌瘤。肿瘤中可见平滑肌细胞的移行过渡。透明细胞型很少是恶性。丛型肿瘤(plexiform tumor)非常少见,体积小,多半是在显微镜下检查时偶然被发现的,近年超微结构确定其来源为平滑肌细胞。多位于肌层内,少数也可发生于黏膜下或浆膜下。镜下可见1~3层小细胞紧密排列成直的或分支的索条状细胞束,细胞之间有较丰富透明变性的胶原组织,其间可见散在的毛细血管。单个细胞为小的多边形,有少量嗜伊红的胞浆,胞核较小深染或泡状,核仁小,瘤细胞形态一致,无多形性和异型,无核分裂象,为良性,无转移或复发。上皮样平滑肌瘤大多数为良性,核分裂象为0~1个/10HPF;若核分裂象为2~5个/10HPF为潜在恶性;若核分裂象5个>10HPF为上皮样平滑肌肉瘤,可以找到肿瘤细胞坏死,异常核分裂象及核异型。 医学百科网 | YxBaike.Com
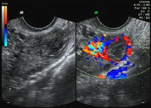
(6)静脉内平滑肌瘤病(intravenous leiomyonmtosis):极罕见,是一种由子宫肌瘤向脉管内生长或由脉管壁本身的平滑肌组织增生后突向管腔内的肿瘤,除静脉外淋巴管也可受累,所以又称脉管内平滑肌瘤病(intravascular leiomyomatosis)。静脉内平滑肌瘤病可以超出子宫,若未完全取净,可以在静脉内沿静脉延伸达下腔静脉,甚至到心脏(极少)。叶永清等(1996)报道1例子宫颈残端及下腔静脉平滑肌瘤,瘤栓延伸至右心房及右心室。由血管外科、心脏外科和妇科联合手术,成功地将下腔静脉及宫颈残端平滑肌瘤取出,术后2年随访患者健康。组织学是良性平滑肌瘤。绝大多数患者同时有子宫肌瘤或过去有子宫肌瘤手术史。临床症状无何特殊,可有月经过多或腹部肿块,检查子宫增大,一般术前不易诊断。彩超显示肌瘤有多个结节且瘤体内血供丰富,此为子宫脉管内平滑肌瘤的声像特点,对术前诊断很有价值。手术时如见到子宫表面有一种特殊的静脉形态或暗红色结节,或阔韧带内有结节或暗紫色包块,或膀胱腹膜反折处静脉、宫旁静脉、卵巢静脉增粗并触之变硬,则应提高警惕。病变主要在子宫肌壁或盆腔静脉内,子宫肌壁剖面内可见到多个灰白色大小不等的结节0.1~2cm,四周有明显的腔隙,此腔隙即为扩大的脉管,将腔隙内肿瘤分离可见有蒂与管壁相连,肿瘤呈蠕虫样,条索状和分支状,取出后留下圆形腔隙内壁光滑;也可在肌间肌瘤边缘或黏膜下肌瘤蒂根附着处有扩张的脉管,肌瘤似栓子样突入脉管内。子宫外盆腔静脉内平滑肌瘤可在阔韧带见到结节,宫旁或卵巢静脉内有条索状肿块,静脉切断后可将肿瘤从静脉腔内拉出来,有时静脉腔被充满,继续增大可成为圆形,外观灰白色或紫褐色,质地可以从软、海绵状到橡皮样或硬。镜下肿瘤由形态学良性的平滑肌瘤所组成,长在衬有内皮细胞的脉管中,大多数为静脉少数为淋巴管,表面为扁平内皮细胞所覆盖,肿瘤内有厚壁的小血管,可见透明变性,细胞形态正常,无核分裂象或仅有少量分裂象,肿瘤可以游离存在于管腔内也可以与管壁相连。镜检时应注意核分裂象以鉴别良恶,核分裂象<2个/10HPF为脉管内平滑肌瘤;2~5个/10HPF为脉管内平滑肌瘤具潜在恶性;>5个/10HPF为平滑肌肉瘤侵入脉管内。静脉内平滑肌瘤病治疗后易复发,于子宫切除术时病变未超出子宫或将子宫外病变已完全切净,日后还可以在其他脉管内发生。有时是在子宫切除若干年后发生。复发与保留卵巢的内源性雌激素有关,主张作全子宫、双附件及子宫外肿瘤切除,可减少复发,改善预后。
(7)播散性腹膜平滑肌瘤病(leiomyomatosis peritonealis disseminata):较罕见,近年国内相继见有报道。其特点是多发性平滑肌瘤小结节播散分布于腹膜、大网膜、肠系膜、子宫直肠陷凹以及盆腹腔脏器表面,如膀胱、子宫、卵巢、肠管、肝被膜等,结节为灰白色,实性,大小不等,小者1~8mm,大者可达8cm或更大,酷似恶性肿瘤的种植,多在术时发现,患者同时有子宫肌瘤或过去有子宫肌瘤手术史。肿瘤为良性,对周围组织无浸润或破坏,镜下结节由梭形的平滑肌细胞组成,肌束交织呈旋涡状排列,瘤细胞大小一致,无异型,无巨细胞,核圆形或两端钝圆的长核,无核分裂或偶见,无血管侵犯,组织学为良性。镜检须注意核分裂象以助鉴别良恶性。核分裂象<5个/10HPF为播散性腹膜平滑肌瘤;5~9个/10HPF为潜在恶性;核分裂象>10个/10HPF为平滑肌肉瘤。此病的组织学发生与病因还不十分清楚,有多种说法,而以病变来自腹膜下结缔组织化生的平滑肌较为合理。许多患者是在妊娠期发现的,病变内也可见到蜕膜细胞,说明此病的发生与性激素水平增高有关。很多患者于妊娠后病灶自然消退。播散型腹膜平滑肌瘤治疗后易复发。作全子宫、双附件及子宫外肿瘤切除。
(8)良性转移性平滑肌瘤(benign metastasizing leiomyoma):子宫平滑肌瘤患者伴发肺或淋巴结转移。有关子宫平滑肌瘤的良性转移问题曾有争论,近年来认为在罕见情况下,无核分裂象或仅有极少核分裂象的良性子宫平滑肌瘤可以扩散到盆腔或腹膜后淋巴结或肺,有些患者是在良性子宫肌瘤术后几年出现肺转移。经检查子宫与转移的肿瘤均为分化良好的平滑肌所构成,无细胞异型性、多形性、无肿瘤细胞坏死或异常分裂象,并在消化道、腹膜后或其他部位均未找到其他原发性平滑肌瘤可以解释其转移的来源。即或如此,对此种子宫肌瘤的检查应充分取材,至少每隔1cm取一块组织,并计数核分裂象,每张切片至少数40HPF,子宫肌瘤及转移肌瘤的核分裂象需<5个/10HPF。此病进展缓慢,其预后难以估计,有的患者用激素治疗可消退,但有的病情进展影响肺功能则须采用手术治疗,切除肺部病变。
医学百科网 | YxBaike.Com
子宫肌瘤①子宫粘膜下肌瘤:肌瘤向官腔内突出,表面仅为一层子宫内膜覆盖,约占肌瘤总数的10%左右;
②子宫肌壁间肌瘤:肌瘤生长在于宫肌壁中,周围是肌肉包围,占肌瘤总数的60一70%;
③子宫浆膜下肌瘤:肌瘤生长大部分突出于子宫浆膜面,约占肌瘤的20一30%。
因肌瘤生长部位及大小不同,还可出现不同程度的压迫症状,如压迫膀肌,出现尿频、尿急;压迫直肠,造成排尿困难。浆膜下肌瘤蒂扭转时,可引起剧烈腹痛,这种情况下,常需要做手术切除肌瘤肌瘤使子官腔面积增大,子宫内膜腺体分泌增多,可出现白带增多如伴有感染则可出现脓性白带。据调查,大约25%一35%的肌瘤患者可能会出现不孕。
医学百科网 | YxBaike.Com
与肌瘤大小、位置、数目、发及有无变性等有关。若肌瘤较大则在腹部扪及质硬、不规则、结节状块物。妇科检查时,肌壁间肌瘤子宫常增大表面不规则、单个或多个结节状突起;浆膜下肌瘤可扪及质硬、球状块物与子宫有细蒂相连,活动;粘膜下肌瘤子宫多为均匀性增大,有时宫颈口扩张,肌瘤位于宫颈口内或脱出在阴道内。 医学百科网 | YxBaike.Com
诊断性刮宫是妇科最常用的简便易行的辅助诊断方法。探查了解宫腔情况,并刮取内膜作病理化验是其基本要求。行诊断性刮宫时探查宫腔深度、方向、有无变形及黏膜下肌瘤,协助阴道检查确定肌瘤位置及其对宫腔的影响。前壁肌瘤突向宫腔时子宫探针进入方向先偏后,反之若来自后壁的肌瘤则探针进入先向前,前进时有爬坡感,越过突起部分才能达到宫底部。刮宫时应体会宫壁是否平滑,宫底部有无突起及肿物滑动,但小的黏膜下肌瘤却易被滑过而漏诊,这是诊断性刮宫的不足。巨型宫颈肌瘤宫颈部被拉长,可达10cm以上,子宫被高举,虽宫腔大小无改变,有时探针须进入15cm方可达宫底,这类子宫肌瘤探查宫腔不容易,需要有一定经验的医师来操作,边探边分析方可得到正确的判断。诊断性刮宫另一要求是了解子宫内膜病理性质。对年轻妇女的子宫内膜癌往往是在常规诊断性刮宫后发现。因此,子宫肌瘤术前应将诊断性刮宫列为常规。 医学百科网 | YxBaike.Com
一、超声检查
医学百科网 | YxBaike.Com
目前国内B超检查较为普遍。鉴别肌瘤,准确率可达93.1%,它可显示子宫增大,形状不规则;肌瘤数目、部位、大小及肌瘤内是否均匀或液化囊变等;以及周围有否压迫其他脏器等表现。由于肌瘤结节中肿瘤细胞单位体积内细胞密集,结缔组织支架结构的含量及肿瘤、细胞排列不同,而使肌瘤结节于扫描时表现为弱回声,等回声和强回声3种基本改变。弱回声型是细胞密度大,弹力纤维含量多,细胞巢状排列为主,血管相对丰富。强回声型,胶原纤维含量较多,肿瘤细胞以束状排列为主。等回声型介于两者之间。后壁肌瘤,有时显示不清。肌瘤愈硬衰减表现愈重,良性衰减比恶性明显。肌瘤变性时,声学穿透性增强。恶变时坏死区增大,其内回声紊乱。故B超检查既有助于诊断肌瘤,区别肌瘤是否变性或有否恶性变提供参考,又有助于卵巢肿瘤或其他盆腔肿块的鉴别。
医学百科网 | YxBaike.Com
二、探测宫腔 医学百科网 | YxBaike.Com
用探针测量宫腔,壁间肌瘤或粘膜下肌瘤常使子宫腔增大及变形,故可用子宫探针探测宫腔的大小及方向,对照双合诊所见,有助于确定包块性质,同时可了解腔内有无包块及其所在部位。但必须注意子宫腔往往迂回弯曲,或被粘膜下肌瘤阻挡,使探针不能完全探入,或为浆膜下肌瘤,宫腔往往不增大,反而造成误诊。
医学百科网 | YxBaike.Com
三、X光平片 医学百科网 | YxBaike.Com
肌瘤钙化时,表现为散在一致斑点,或壳样钙化包膜,或边缘粗糙及波浪状的蜂窝样。
四、诊断性刮宫 医学百科网 | YxBaike.Com
小的粘膜下肌瘤或是功能失调性子宫出血,子宫内膜息肉不易用双合诊查出,可用刮宫术协助诊断。如为粘膜下肌瘤,刮匙在宫腔感到有凸起面,开始高起后又滑低,或感到宫腔内有物在滑动。但刮宫可刮破瘤面引起出血、感染、坏死,甚至败血症,应严格无菌操作,动作轻柔,刮出物应送病理检查。疑为粘膜下肌瘤而诊刮仍不能明确者,可采用子宫造影术。
医学百科网 | YxBaike.Com
五、子宫输卵管造影
照1 子宫肌瘤的子宫造影象(子宫右角粘膜下肌瘤造影象,显示该部充盈缺损)理想的子宫造影不但可显示粘膜下肌瘤的数目、大小,且能定位。因此,对粘膜下肌瘤的早期诊断有很大帮助,而且方法简单。有肌瘤处造影摄片显示宫腔内有充盈残缺(照1)。
六、宫腔镜检查 医学百科网 | YxBaike.Com
子宫肌瘤一般诊断不困难。通常临床遇到困难的是小型黏膜下肌瘤,诊断性刮宫往往被漏诊,而在子宫切除的术后标本中方发现有黏膜下子宫肌瘤。宫腔镜可以在直视下观察宫腔内病变性质,确定病变部位并能准确地取材活检,对小的黏膜下肌瘤也可以同时切除。
医学百科网 | YxBaike.Com
七、腹腔镜检查 医学百科网 | YxBaike.Com
随着腹腔镜技术在妇产科的广泛应用,目前腹腔镜不仅作为检查手段,而且常与手术同时进行,并日益受到重视。子宫肌瘤临床可以检查清楚一般不需要作腹腔镜检查。有些盆腔肿块有手术指征者可直接剖腹探查。偶有子宫旁发现的实性小肿块难以确定其来源与性质,而其处理方法又不同,尤其B超检查也难以确定时可作腹腔镜检查,明确诊断以便治疗,如小型浆膜下肌瘤、卵巢肿瘤、结核性附件包块等。腹腔镜应仔细地观察盆腔肌瘤大小、位置、与周围脏器的关系,需手术者便可立即进行手术治疗。因此,在决定作腹腔镜检查时须作好有可能随即手术的一切准备。
医学百科网 | YxBaike.Com
八、CT与MRI检查
一般不需使用此两项检查。
CT诊断肌瘤其图象只表达特定层面内的详细内容,图象结构互不重叠。子宫良性肿瘤CT图象是体积增大,结构均匀、密度+40~+60H(正常子宫为+40~+50H)。
医学百科网 | YxBaike.Com
MRI诊断肌瘤时,对肌瘤内部有无变性、种类及其程度呈不同信号。肌核无变性或轻度变性,内部信号多均一。反之,明显变性者呈不同信号。 [1]
医学百科网 | YxBaike.Com
子宫肌瘤(一)病史 月经过多或不规则出血,下腹部包块史等。
(二)妇科检查 发现子宫不规则增大或均匀性增大,如浆膜下肌瘤在子宫表面可扪及单个或数个结节状突起,质硬;粘膜下肌瘤有时可使宫口开大,并通过宫口触到宫腔内肌瘤的下端;如悬垂于阴道内,可看到瘤体并触摸到其蒂部。 医学百科网 | YxBaike.Com
(三)辅助检查 较小的肌瘤,尤其是粘膜下肌瘤,仅靠妇科检查诊断比较困难。B型超声可以较明确显示肌瘤大小及部位;是诊断子宫肌瘤主要手段之一;诊断性刮宫可以感觉到内膜有突起或明显不平,通过以上检查,诊断一般无困难。对肌瘤增长迅速或绝经后仍继续增大,由硬变软者,应考虑有恶变之可能。 医学百科网 | YxBaike.Com
子宫肌瘤诊断标准:
1、月经过多,经期延长或不规则出血,下腹可出现硬块,少数有疼痛及压迫症状,或伴盆血。
2、子宫增大,质硬。
3、探测宫腔增长或变形。
医学百科网 | YxBaike.Com
4、诊刮时宫腔内触及凸起面。
5、B型超声及/或子宫镜检查可协助诊断。 医学百科网 | YxBaike.Com
子宫肌瘤子宫肌瘤易与下列情况或疾病相混淆,应注意鉴别。 医学百科网 | YxBaike.Com
(一)妊娠子宫
子宫肌瘤并发囊性变时,易误诊为妊娠子宫;而妊娠子宫,特别是40岁以上高龄孕妇,或过期流产而有流血者,也可能误诊为子宫肌瘤。临床上遇见育龄妇女而有停经史者,应首先想到妊娠之可能,经B型超声检查或hCG测定不难确诊,必要时应刮宫加以鉴别。要特别注意肌瘤合并妊娠,此时,子宫较停经月份为大,外形多不规则,质地较硬,B型超声检查可协助确诊。 医学百科网 | YxBaike.Com
医学百科网 | YxBaike.Com
(二)卵巢肿瘤
实性卵巢肿瘤可能误诊为浆膜下肌瘤;反之,浆膜下肌瘤囊性变也常误诊为卵巢囊肿,当卵巢肿瘤与子宫有粘连时鉴别更为困难,可作B型超声检查,有时需在剖腹探查时方能最后确诊。 医学百科网 | YxBaike.Com
医学百科网 | YxBaike.Com
(三)子宫肌腺瘤
临床上也表现为月经量增多及子宫增大,与子宫肌瘤明显不同处在于以痛经为主要症状,也常遇到痛经不明显者而诊断为子宫肌瘤。检查时子宫多呈均匀性增大,且有经期增大而经后缩小的特征。 医学百科网 | YxBaike.Com
医学百科网 | YxBaike.Com
(四)子宫肥大症
此类患者主要临床表现也是月经增多、子宫增大,故易与子宫肌瘤混淆。但本症为子宫均匀增大,且很少超过2个月妊娠子宫,B型超声可协助诊断 并发症 (一)感染及化脓:肌瘤感染多系瘤蒂扭转或急性子宫内膜炎的后果,血源性感染极为罕见。感染有时可为化脓性,少数病例在肿瘤组织中形成脓肿。
浆膜下肌瘤蒂扭转后发生肠粘连,可受肠道细菌感染,发炎的肌瘤与子宫附件粘连,引起化脓性炎症。
粘膜下肌瘤最易发生感染,常与流产后或产褥期急性子宫内膜炎并存。有些是刮宫术或产科手术的损伤所引起。由于肿瘤突出或手术创伤常使肿瘤包膜破裂,破裂后就易感染而发生腐崩。腐崩常引起严重不规则出血及发烧。排出之腐败碎屑因坏死组织失去着色反应,镜检常不能得到结果。 医学百科网 | YxBaike.Com
(二)扭转:浆膜下肌瘤可在蒂部发生扭转,引起急性腹痛。瘤蒂扭转严重者若不立即进行手术或不能自行转回,则可能由于瘤蒂扭断而形成游离肌瘤,已如前述。扭转的肌瘤也可带动整个子宫,引起子宫轴性扭转。子宫扭转的部位多在子宫颈管内口附近,但这种情况极少发生,多由于较大的浆膜下肌瘤附着在子宫底部而子宫颈管又较细长所致。症状、体征与卵巢囊瘤蒂扭转近拟只是包块较硬。
(三)子宫肌瘤合并子宫体癌:子宫肌瘤合并子宫体癌者占2%,远较子宫肌瘤合并子宫颈癌为高。故更年期子宫肌瘤患者有持续子宫出血,应警惕有无子宫内膜癌同时存在。在确定治疗前,应做诊刮。
医学百科网 | YxBaike.Com
(四)子宫肌瘤合并妊娠。 医学百科网 | YxBaike.Com
BBT自凝术技术概述:
[2]在B超的动态观察和引导下,将自凝刀经过阴道,准确的进入到宫颈的局部病变部位,治疗仪智能控制其治疗功率、时间和治疗范围,在不损伤正常组织的情况下,病变局部组织产生生物高热效应,使病变组织发生凝固、变性和坏死,或使宫颈病变组织得以消融,最后被正常组织吸收或自动排出。广州仁爱医院妇科专家们通过大量的临床实践证明“BBT”腔内自凝技术治疗宫颈糜烂、子宫肌瘤、子宫出血效果显著.
BBT治疗子宫肌瘤的优势:
优势一、恢复快、并发症少:术中出血少;治疗时间短,只需10-20分钟;术后恢复快,并发症少。
优势二、无痛苦、无创伤:在B超的实时显像监视下,经阴道宫腔微创介入子宫肌瘤体内,穿刺准确、技术可靠,病人痛苦少、创伤小、安全性高。 医学百科网 | YxBaike.Com
优势三、全程记录,效果明晰:在治疗过程中,电脑全程监控,可记录、拍摄手术全过程,术前术后对照图像,治疗效果一目了然。
优势四、摧毁肌瘤、保全子宫:在摧毁子宫肌瘤的同时,保留子宫,不损坏肌瘤周围组织,不影响正常夫妻生活,有益于保障患者生理及心理的健康。 医学百科网 | YxBaike.Com
优势五、费用低、负担小:手术不开刀,治疗后仅需住院一到三天,部份患者不需住院,整体费用明显低于传统手术费用,在保证治疗效果的同时,大大节省了费用,减轻了病友的经济负担。 医学百科网 | YxBaike.Com
子宫肌瘤体针(之一) 医学百科网 | YxBaike.Com
(一)取穴
主穴:子宫、曲骨、横骨。 医学百科网 | YxBaike.Com
配穴:皮质下(耳穴),三阴交、次髎、血海、肾俞、复溜。
(二)治法
主穴每次取1~2个,可交替使用,酌加配穴。子宫穴斜刺0.8~1.0寸,曲骨和横骨均直刺0.6~0.8寸,以得气为度,施平补平泻手法,配穴除耳穴用埋针法或磁珠贴敷外,余穴手法同主穴。体穴均取双侧,耳穴取单侧轮替。留针15~20分钟。针刺隔日1次,10次为一疗程。耳穴每周埋针或贴敷2次,15次为一疗程。
医学百科网 | YxBaike.Com
(三)疗效评价
疗效判别标准:痊愈:B超探查,子宫肌瘤已全部消失;基本痊愈:子宫肌瘤体积缩小2/3以上;有效:子宫肌瘤体积缩小不及2/3;无效:治疗前后,体积未见缩小。
共治346例,痊愈288例(83.2%),基本痊愈39例(11.3%),有效19例(5.5%),总有效率达100%。所治子宫肌瘤中,最大有儿头大,最小亦有鸡蛋黄大。
医学百科网 | YxBaike.Com
体针(之二)
(一)取穴
主穴:阿是穴、内关、照海。 医学百科网 | YxBaike.Com
阿是穴位置:瘤体。 医学百科网 | YxBaike.Com
(二)治法
上穴均取、体穴选双侧。先令患者排空尿液,阿是穴针3~4针,直刺入0.6~0.8寸;内关、照海常规针法,用平补平泻手法,留针15~30分钟,隔日1次,7次为一疗程。疗程间隔5天。 医学百科网 | YxBaike.Com
(三)疗效评价
共治20例,结果痊愈15例,显效3例,有效2例,总有效率为100%。 医学百科网 | YxBaike.Com
电针
(一)取穴
主穴:关元、子宫、秩边。 医学百科网 | YxBaike.Com
配穴:气海、血海、阳陵泉、三阴交。 医学百科网 | YxBaike.Com
(二)治法
穴位局部消毒,以32号毫针2寸直刺穴位。得气后,接通电针仪,连续波,输出频率为70Hz,每次刺激10分钟,每日1次,15次为一疗程 疗程间休息7天。
(三)疗效评价 医学百科网 | YxBaike.Com
用上述方法共治疗42例,结果痊愈33例,有效9例,有效率达100%。火针
(一)取穴
主穴:中极、关元、水道、归来、痞根。 医学百科网 | YxBaike.Com
配穴:曲池、合谷、足三里、肾俞。 医学百科网 | YxBaike.Com
(二)治法
主穴及配穴肾俞用火针法,余用毫针法。主穴每次均取,配穴酌加。火针为长2寸,粗0.8mm的钨锰合金针具,针尖在酒精灯火焰上1cm处加热约5秒钟,以针体前3cm处呈鲜红为度,将针快速地剌入穴位,再快速出针,全过程应在1秒钟内完成。针剌深度:腹部穴为3cm,肾俞和痞根为1,5cm。腹部穴可加用温合灸15分钟。配穴中照海、足三里行提插捻转补法,余穴用泻法,留针15~20分钟。每周治疗3次,12次为一疗程,一般须三疗程。
医学百科网 | YxBaike.Com
(三)疗效评价
共治50例,痊愈7例,显效18例,有效17例,无效8例,总有效率84%。 医学百科网 | YxBaike.Com
期待疗法
肌瘤较小,无症状,无并发症及无变性,对健康无影响。围绝经期病人,无临床症状,考虑到卵巢功能减退后可能使肌瘤退缩或缩小。以上情况均可采取期待疗法,即在临床及影象学方面实行定期随访观察(3~6个月1次)。根据复查情况再决定其处理。
通常,绝经后肌瘤自然退缩,故不需手术处理。然而,肌瘤患者年龄40有余,距绝经可能还有几年,也可以考虑手术。但术前可先行药物保守治疗,药物有效者也可暂不手术。还应注意,绝经后妇女肌瘤,少数患者肌瘤并不萎缩反而增大者,故应加强随访。 医学百科网 | YxBaike.Com
子宫肌瘤(一)药物治疗的适应症
医学百科网 | YxBaike.Com
1.年轻要求保留生育功能者。生育年龄因肌瘤所致不孕或流产,药物治疗后使肌瘤萎缩促使受孕,胎儿成活。
2.绝经前妇女,肌瘤不很大,症状亦轻,应用药物后,使子宫萎缩绝经,肌瘤随之萎缩而免于手术。
3.有手术指征,但目前有禁忌症需要治疗后方可手术者。
4.患者合并内科、外科疾病不能胜任手术或不愿手术者。
5.选择药物治疗前,均宜先行诊断性刮宫做内膜活检,排除恶性变,尤对月经紊乱或经量增多者。刮宫兼有诊断及止血作用。
药物治疗的根据在于,子宫肌瘤为性激素依赖性肿瘤,故采用拮抗性激素的药物以治疗。新近应用的是暂时性抑制卵巢的药物。丹那唑、棉酚为国内常用药物。其他雄激素、孕激素及维生素类药物也使用。自1983年开始研究报道,应用促性腺激素释放激素类似物(GnRHa)成功的缩小了子宫平滑肌瘤。研究证明GnRHa间接地减少垂体水平促性腺激素分泌,从而有效地抑制卵巢功能,即所谓“降调节”(downregulation)现象。 医学百科网 | YxBaike.Com
(二)药物种类及用法
1.LHRH激动剂(LHRH-A):即GnRHa为近年来一种新型抗妇科疾病药物。LHRH大量持续应用后,垂体细胞受体被激素占满而无法合成与释放FSH及LH;另外,LHRH有垂体外作用,大剂量应用后促使卵巢上的LHRH受体增多,降低卵巢产生雌、孕激素能力。由于药物明显抑制FSH,减少卵巢激素分泌,其作用似“药物性卵巢切除”,使肌瘤萎缩。LHRH与LHRH-A为同功异质体,但后者较前者活性高数十倍。 医学百科网 | YxBaike.Com
用法:LHRH-A,多用肌注,也可用于皮下植入或经鼻喷入。自月经第一天起肌注100~200μg,连续3~4个月。其作用取决于应用剂量、给药途径和月经周期的时间。用药后肌瘤平均缩小40~80%,症状缓解、贫血纠正。血清E2下降与肌瘤缩小相一致。FSH.LH无明显变化。停药后不久肌瘤又重新长大,提示LHRH-A的作用是暂短的和可逆的。如用于围绝经期,在有限时间内达到自然绝经。如用于保留生育者,当肌瘤缩小、局部血流减少,从而减少手术中出血和缩小手术范围;或原影响输卵管口肌瘤,治疗后肌瘤缩小使不通畅的输卵管变通畅,提高受孕率。为减少停药后肌瘤重新长大,在用LHRH-A时,序贯应用醋酸甲孕酮200~500mg,则可维持其疗效。
副作用为潮热、出汗、阴道干燥或出血障碍。因低雌激素作用可有骨质疏松可能。
2.丹那唑:具有微弱雄激素作用。丹那唑抑制丘脑、垂体功能,使FSH.LH水平下降,从而抑制卵巢类固醇的产生,亦可直接抑制产生卵巢类固醇的酶。从而使体内雌激素水平下降而抑制子宫生长,内膜萎缩而闭经。同时,肌瘤亦萎缩变小。但年轻者应用,停药6周后月经可恢复。故需重复应用。
医学百科网 | YxBaike.Com
用法:200mg,1日3次口服,从月经第二天开始连续服6个月。
副反应为潮热、出汗、体重增加、痤疮、肝功SGPT升高(用药前后查肝功)。停药2~6周可恢复。 医学百科网 | YxBaike.Com
3.棉酚:是从棉籽中提出的一种双醛萘化合物,作用于卵巢,对垂体无抑制,对子宫内膜有特异萎缩作用,而对内膜受体也有抑制作用,对子宫肌细胞产生退化作用,造成假绝经及子宫萎缩。此药有中国丹那唑之美称,用于治疗子宫肌瘤症状改善有效率为93.7%,肌瘤缩小为62.5%。
用法:20mg,每日1次口服,连服2个月。以后20mg,每周2次,连服1个月。再后1周1次,连服1个月,共4个月。因棉酚副作用为肾性排钾,故需注意肝、肾功能及低钾情况。通常用棉酚时需加服10%枸橼酸钾。停药后卵巢功能恢复。 医学百科网 | YxBaike.Com
4.维生素类:应用维生素治疗子宫肌瘤在于它可降低子宫肌层对雌激素的敏感性,对神经内分泌系统有调节作用,使甾体激素代谢正常化而促使肌瘤缩小。1980年苏联Палла дии报道以vit A为主,加vit B、C、E等综合治疗小肌瘤,效果达80%以上,无副作用。国内包岩亦试用,治愈率达71.6%,此法适用于小型肌瘤。 医学百科网 | YxBaike.Com
用法:vit A150,000IU,自月经第十五~二十六天,每日口服。vit Bco1片1日3次,自月经第五~十四天口服。vitc,0.5,每日2次,自月经第十二~二十六天口服。vit E 100mg,1日1次,于月经第十四~二十六日口服,共服6个月。 医学百科网 | YxBaike.Com
5.雄激素:对抗雌激素,控制子宫出血(月经过多)及延长月经周期。
用法:甲基睾丸素10mg,舌下含化,每日1次,连服3个月。或月经干净后4~7天开始,每日肌注丙酸睾丸酮1次,每次25mg,连续8~10日,可获止血效果。长效男性素为苯乙酸睾丸素,作用比丙酸睾丸酮强3倍,150mg每月注射1~2次。一般不会出现男性化,即使出现,停药后症状自然消失。雄激素应用宜在6个月以内,如需再用,应停1~2月后。 医学百科网 | YxBaike.Com
按上述剂量长期给药,多无副作用。可使近绝经妇女进入绝经期而停止出血。用雄激素后不仅可使肌瘤停止生长,而且可使1/3~1/2的患者的肌瘤退化、萎缩变小。因雄激素使水盐潴留,故对心力衰竭、肝硬化、慢性肾炎、浮肿等患者应慎用或忌用。由于有的学者认为肌瘤的发生还可能与雄激素有关,故有的倾向不用雄激素。6.孕激素:孕激素在一定程度上是雌激素的对抗剂,且能抑制其作用,故有的学者用孕激素治疗伴有卵泡持续存在的子宫肌瘤。常用孕激素有:甲孕酮(安宫黄体酮)、妇宁片(甲地孕酮)、妇康片(炔诺酮)等。可根据患者具体情况行周期或持续治疗的假孕疗法,使肌瘤变性、软化。但因可使瘤体增大和不规则子宫出血,不宜长期应用。 医学百科网 | YxBaike.Com
甲孕酮:周期治疗为每日口服4mg,自月经第六~二十五天口服。持续疗法:第一周4mg,1日3次口服,第二周8mg,1日2次。以后10mg,1日2次。均持续应用3~6个月。亦有用10mg,1日3次,连服3个月。
医学百科网 | YxBaike.Com
妇康片:周期治疗为每日口服5~10mg,自月经第六~二十五天或第十六~二十五日。持续疗法为第一周5mg,1日1次,第二周10mg,1日1次。以后10mg,1日2次。均应用3~6个月。 医学百科网 | YxBaike.Com
7.三苯氧胺(tamoxifin,TMX):TMX为双苯乙烯衍生物,为一种非甾体的抗雌激素药物。它是通过与胞浆中ER竞争性结合,形成TMX-ER的复合物,运送至细胞核内长期潴留。TMX先作用于垂体,继而影响卵巢,同时对卵巢亦有直接作用。TMX对ER阳性效果较好。
医学百科网 | YxBaike.Com
用法:10mg,1日3次口服,连服3个月为一疗程。副反应有轻度潮热、恶心、出汗、月经延迟等。
医学百科网 | YxBaike.Com
8.三烯高诺酮(R2323):即内美通(nemestran),为19去甲睾酮衍生物,具有较强的抗雌激素作用,它抑制垂体FSH、LH分泌,使体内雌激素水平下降,子宫缩小,主要用于治疗子宫肌瘤。
用法:5mg,每周3次,阴道放置,宜长期应用,防止子宫反跳性增大。治疗初6个月,疗效佳,子宫缩小明显。副反应为痤疮、潮热、体重增加。 医学百科网 | YxBaike.Com
在肌瘤患者的出血期,出血量较多,可用子宫收缩药或口服、肌注止血药。如益母草流浸膏、益母草膏、催产素、麦角新碱等。止血药有妇血宁、三七片、止血敏、止血芳酸、止血环酸、6-氨基乙酸等。钙剂可兴奋子宫肌张力和增加血液的凝固性能,也可试用。如10%葡萄糖酸钙5~10ml静注,或用5%氯化钙30~35ml温液灌肠。 医学百科网 | YxBaike.Com
不可忘记的是,阴道出血止血药收效不显时,诊断性刮宫,不仅对诊断有帮助,且对止血也有效果。
有贫血者应纠正贫血,服用维生素、铁剂或输血。
中药治疗可减少月经量,详月经病章。 医学百科网 | YxBaike.Com
凡药物治疗失败,不能减轻症状而加重者或疑恶性变者则应手术治疗。
肌瘤患者,子宫附件切除的年龄,以往定为45岁以上。现在看来,要从实际出发,尤其是根据妇科内分泌学的进展,卵巢的保留年龄一般以50岁为界(绝经年龄平均49.5岁),即50岁以内者,能保留卵巢者应予保留。或者50岁以后未绝经者的正常卵巢也应予保留,不以年龄划线。因为,正常绝经后卵巢仍具有一定内分泌功能,还要工作5~10年。保留卵巢有助于隐定植物神经,调节代谢,有利于向老年期过渡。子宫也有其内分泌作用,它是卵巢的靶器官,也不应随便切除。通常子宫切除的年龄定为45岁以上,45岁以下者,尤40岁以下,宜行肌瘤挖除术。行保留附件者,如双侧均可保留,则保留双侧比仅保留单侧为好。保留卵巢其卵巢癌的发生率为0.15%,不高于未切子宫者。(一)子宫肌瘤切除术:系将子宫上的肌瘤摘除,保留子宫的手术。主要用于45岁以下,尤40岁以下者。这不仅仅是为了不孕症妇女因无子女而作的手术,即是已有子女,肌瘤较大,直径大于6cm;月经过多,药物保守无效;或有压迫症状;粘膜下肌瘤;肌瘤生长较快者。为了心身健康也应采取剜除术。至于肌瘤数目,通常限于15个以内。迫切要子女,数目再多,甚至超过100个以上者也有挖除后得子的例子。山东省立医院挖除最多为116个肌核。 医学百科网 | YxBaike.Com
如肌瘤有恶变,伴严重的盆腔粘连,如结核或内膜异位症等;或宫颈细胞学高度可疑恶性者为挖除的禁忌。
医学百科网 | YxBaike.Com
做肌瘤挖除术者,术前最好有子宫内膜的病理检查,以排除子宫内膜癌前病变或癌变。术中注意肌瘤有否恶性变,有可疑时送快速切片检查。
医学百科网 | YxBaike.Com
经腹子宫肌瘤剜除,为防止术后发生腹腔粘连,子宫上的切口应于前壁为好,且尽量少做切口,从一个切口尽量多剜除肌瘤。还应尽量避免穿透子宫内膜。切口止血要彻底,缝合切口不留死腔。术毕子宫切口尽量做到腹膜化。粘膜下肌瘤,已脱于宫颈者可经阴道切除肌瘤,切除时避免过度牵引以免切除时损伤宫壁。未脱出者,也可经腹子宫切开取出。术后处理应给止血药与抗生素;未孕者应避孕1~2年;日后妊娠应警惕子宫破裂及胎盘植入,足月时宜实行选择性剖宫产。肌瘤剜除术后还有复发可能,宜定期检查。
(二)子宫切除术:在期待疗法、药物疗法尚不能改善病人症状,需手术者又不符合肌瘤切除者,宜行子宫切除术。子宫切除可选用全子宫切除或阴道上子宫切除。子宫切除术,以经腹为主,个别肿瘤小,附件无炎症粘连,腹壁过于肥胖,腹壁有湿疹者可考虑经阴道。
经腹优点是:技术操作比经阴道简单,出血少;肌瘤大,附件粘连也能较易处理。不足之处为如有直肠膀胱膨出,阴道壁松弛者多需另行阴道手术。
医学百科网 | YxBaike.Com
宫颈、阔韧带肌瘤等复杂病例所致盆腔脏器(输尿管、膀胱、直肠、大血管等)的解剖变异及粘连严重,手术不易暴露等均给手术带来很大困难,这些问题可参阅妇科手术学专著。
大的粘膜下肌瘤引起出血而继发严重贫血,一般常在输血改善机体情况后再予手术(单纯肌瘤切除或子宫切除术)。但在边远的农村有时缺乏血源,出血不停止,又不宜搬动行走,子宫颈口开大,肌瘤已突出宫颈口外或近阴道口者,应经阴道摘除肌瘤,往往更有助于止血和纠正一般情况。 医学百科网 | YxBaike.Com
切除一般皆主张做全子宫切除,尤其伴有宫颈肥大、裂伤或糜烂严重者。但如患者一般情况差,技术条件受限,也可只行次全子宫切除,残端癌发生率只不过占1~4%左右。但术后仍宜定期检查。 医学百科网 | YxBaike.Com
医学百科网 | YxBaike.Com
子宫肌瘤子宫动脉栓塞术(Uterine arterial embolization 简称 UAE)。子宫动脉栓塞术原本用于治疗急性子宫出血,1995年首次用于治疗子宫肌瘤,由于UAE方法较简单,创伤小,不影响其它治疗,应用前景广。其主要原理是:动脉造影显示子宫肌瘤患者的子宫动脉明显增粗,肌瘤越大,动脉越粗,血管也更丰富。子宫肌瘤的局部血液供应主要来自左右子宫动脉,双侧子宫动脉供血约占93%。通过放射介入疗法,经皮做股动脉穿刺,可直接将动脉导管插至子宫动脉,并注入一种永久性的栓塞微粒,阻断子宫肌瘤的血液供应,使其发生缺血改变而逐渐萎缩,甚至完全消失,从而达到治疗目的。 医学百科网 | YxBaike.Com
子宫动脉栓塞术近期疗效显著,自1998年统计在世界范围内总有效率达90%,肿瘤体积缩小达50%,因开展时间短,随访有限,远期效果尚待观察。UAE的适应症基本于手术相同。 医学百科网 | YxBaike.Com
此疗法的主要优点有:(1)疗效优良,特别是对出血症状为主者疗效较好,栓塞后肿瘤明显缩小且保持稳定。
(2)与手术相比,UAE创伤性小,技术操作简单,术后并发症发生率低,可接受性高于手术。
医学百科网 | YxBaike.Com
(3)UAE可保留子宫功能和正常子宫生育能力。
(4)UAE后不影响其它治疗,换而言之,即使栓塞失败,患者也可接受其它治疗。因此子宫动脉栓塞术是一种创伤小,简便易行,疗效稳定,具有广阔前景的新疗法。
医学百科网 | YxBaike.Com
医学百科网 | YxBaike.Com
用于药物治疗无效而有手术治疗禁忌或拒绝手术治疗者。但也有一定的禁忌症:
(一)40岁以下患者一般避免使用放疗,以免过早引起绝经症状。
(二)粘膜下肌瘤(基底部宽的粘膜下肌瘤可行X线治疗)。在镭疗后易发生坏死,而引起严重的宫腔盆腔感染。
(三)盆腔炎:盆腔急慢性炎症,尤其疑有附件脓肿,不宜使用,因为放射治疗可激发炎症。
(四)肌瘤超过5个月妊娠子宫大小者或子宫颈肌瘤,宫腔内置镭常不能获得预期效果。
(五)子宫肌瘤有恶性变或可疑者。
(六)子宫肌瘤与卵巢瘤同时存在。
医学百科网 | YxBaike.Com
子宫肌瘤子宫肌瘤的手术主要指子宫切除术(包括全切和半切)、子宫肌瘤剔除术,切除术一般适用于子宫>3个月妊娠子宫大小、肌瘤虽不大但症状明显,或肌瘤增长快不能排除恶性者;而剔除术主要是适用于35岁以下,除了手术治疗,另外还有药物治疗,一般是适用于一些肌瘤尚小,症状不明显,近绝经期或全身身体情况较差不能耐受手术的患者。现在还有一种子宫动脉血管结扎或血管栓塞法的治疗,不过手术后肌瘤虽会缩小,但仍存在。口服中药治疗子宫肌瘤,的确是一个较好的选择,具有花钱少,无风险,无后遗症,确实见效治愈率高的特点,受到广大患者的好评。 医学百科网 | YxBaike.Com
子宫肌瘤是可以治疗的,治疗子宫肌瘤的方法也有很多,只不过需要具体问题具体对待,因此,女性朋友被查出患了子宫肌瘤后切不可病急乱投医,或者听别人说某某人吃了什么药、或者做了什么手术很快好了就盲目跟风,您需要拿着自己的检查报告去与医生进行详细的沟通,了解自己的病情,理解医生的建议,并认真地执行治疗计划,才能避免延误病情又花冤枉钱的后果。花园妇幼门诊的宫瘤消,治疗子宫肌瘤,效果显著,纯中药,不手术,痛苦小,消费少。 医学百科网 | YxBaike.Com
子宫肌瘤患者在日常生活中应注重调节情绪,防止大怒大悲、多思多虑,应尽量做到知足常乐,性格开朗、豁达,避免过度劳累,这样五脏调和,气行疏畅,气行则血和,气血和则百病不生。另外,患者应注重节制房事,以防损伤肾气,加重病情。更应注重房事卫生、保持外阴清洁,以防止外邪内侵,入里化热,凝滞气血,加重病情。生活中可采取子宫肌瘤的饮食疗法。
子宫肌瘤的饮食疗法
〈1〉饮食定时定量,不能暴饮暴食。
〈2〉坚持低脂肪饮食,多吃瘦肉、鸡蛋、绿色蔬菜、水果等。
〈3〉多吃五谷杂粮如玉米、豆类等。 医学百科网 | YxBaike.Com
〈4〉常吃富有营养的干果类食物,如花生、芝麻、瓜子等。
〈5〉忌食辛辣、酒类、冰冻等食品。
子宫肌瘤患者注重的饮食:
1、饮食宜清淡,不食羊肉、虾、蟹、鳗鱼、咸鱼、黑鱼等发物。 医学百科网 | YxBaike.Com
2、忌食辣椒、麻椒、生葱、生蒜、白酒等刺激性食物及饮料。
3、禁食桂圆、红枣、阿胶、蜂王浆等热性、凝血性和含激素成分的食品。
4、多食瘦肉、鸡肉、鸡蛋、鹌鹑蛋、鲫鱼、甲鱼、白鱼、白菜、芦笋、芹菜、菠菜、黄瓜、冬瓜、香菇、豆腐、海带、紫菜、水果等。 医学百科网 | YxBaike.Com
医学百科网 | YxBaike.Com
1、按摩 患者仰卧,施术者站于其旁,用拇指指腹按揉神阙、气海、关元、天枢、四海、归来、子宫、气冲、血海、三阴交穴,每穴1分钟。再用手掌搓热后,放置小腹部,沿顺时针方向摩腹36圈后,改逆时针方向摩腹36圈。最后用手掌自上而下平推腰背部10~15次,以酸胀为度。每日按摩1次,10次为疗程,经期停止按摩。
2.敷贴法
①透骨草15克,独活15克,白芷15克,鳖甲20克,三棱15克,莪术15克,丹参20克,红花15克,赤芍15克。共轧为粗末,装入布袋后蒸热温熨下腹,每日1~2次,每次20~30分钟,每包可连续使用5~7次,10天为1疗程,经期停用。
②蜣螂1条,威灵仙10克,分别焙干研末,用适量黄酒调敷脐中,膏药盖贴。每日1次,每次约贴1小时,经期停用。
③南星、白芥子各15克,厚朴、半夏、枳壳各12克,白芷、艾叶各10克,葱白6克。共研粗末,装入布袋后喷湿,隔水蒸半小时,趁热熨于脐下,每日1次,每次20分钟。每剂可连续使用5~7天,10次为1疗程。 医学百科网 | YxBaike.Com
④半夏10克,葱白6克。共捣为泥,敷于脐中覆以伤湿膏,每日1换,5天为1疗程。
生活提示
子宫肌瘤压迫周围脏器时,宜作手术切除肌瘤。对于年龄在40岁以下、出血量多并出现贫血等并发症时,可以考虑手术根治(仅限于不再生育的妇女)。年龄大于45岁者宜保守治疗,度过更年期后,不治而愈(出血停止)。经期要慎用活血化瘀的药物,以防出血量增加,饮食上也应以清淡饮食为主,禁食辛辣煎炸之品,并适当休息。对于出血量多、急性失血、出现头晕眼花、心悸、面色苍白者应到医院治疗,以防发生失血性休克。
医学百科网 | YxBaike.Com
1、定期参加妇科普查,以便早期发现,早期治疗。
2、有子宫肌瘤者更要做好避孕工作。一旦怀孕,对人流手术带来一定难度,易出血多。
医学百科网 | YxBaike.Com
3、中药治疗子宫肌瘤时要定期作妇科检查和B超检查,了解子宫肌瘤变化情况,如发现以下情况,应作手术治疗:
(1)有明显症状,特别是月经过多或腹痛,治疗无效者。
(2)子宫肌瘤迅速增大,或大于3个月妊娠子宫者。 医学百科网 | YxBaike.Com
(3)子宫肌瘤伴变性者。
(4)子宫肌瘤位于子宫颈部或突出于阴道者。
4、子宫肌瘤合并妊娠的处理
(1)妊娠期应在严密观察下,注意预防流产或早产的发生,如肌瘤过大,估计难以继续妊娠者,应及早手术。
医学百科网 | YxBaike.Com
(2)分娩时要注意避免胎位异常、滞产和胎盘滞留的发生。如肌瘤阻塞产道坝u须作剖宫产术。
(3)产后要注意预防出血及感染。 医学百科网 | YxBaike.Com
1、治疗子宫肌瘤的家用妙方:
(1)按医生处方,口服子宫肌瘤散,每日3次,每次15克。连服三个月观察疗效。
(2)取王不留行100克、夏枯草、生牡蛎、苏子各30克,水煎服,每日或隔日1剂,30剂为一疗程。 医学百科网 | YxBaike.Com
(3)如果月经较多,可在医生指导下,肌肉注射丙酸睾丸酮25毫克,每周两次,共治疗8次。
2、患子宫肌瘤后应注意:
(1)防止过度疲劳,经期尤须注意休息。
(2)多吃蔬菜、水果,少食辛辣食品。
医学百科网 | YxBaike.Com
(3)保持外阴清洁、干燥,内裤宜宽大。若白带过多,应注意随时冲洗外阴。
(4)确诊为子宫肌瘤后,应每月到医院检查:次。如肌瘤增大缓慢或未曾增大,可半年复查1次;如增大明显,则应考虑手术治疗,以免严重出血或压迫腹腔脏器。 医学百科网 | YxBaike.Com
(5)避免再次怀孕。患子宫肌瘤的妇女在做人工流产后,子宫恢复差,常会引起长时间出血或慢性生殖器炎症。
(6)如果月经量过多,要多吃富含铁质的食物,以防缺铁性贫血。
(7)不要额外摄取雌激素,绝经以后尤应注意,以免子宫肌瘤长大。
(8)需要保留生育能力而又必须手术治疗的,可采用肌瘤挖除术。
3、生活保健
(1)食疗:
①益母草50~100克,陈皮9克,鸡蛋2个,加水适量共煮,蛋熟后去壳,再煮片刻,吃蛋饮汤。月经前每天1次,连服数次。 医学百科网 | YxBaike.Com
②元胡、艾叶、当归各9克,瘦猪肉60克,食盐少许。将前3味加水3碗,煎成1碗,去药渣,再入猪肉煮熟,用食盐调味服食。月经前每天1剂,连服5~6剂。
(2)血瘀证
表现:腹中积块坚硬,固定不移,疼痛拒按,月经量多,行经时间延长,色暗有块。或面色晦暗,乳房有结块。舌暗边有瘀点、瘀斑、脉沉涩。 医学百科网 | YxBaike.Com
中成药:桂枝茯苓丸,每次6克,每日2次,温黄酒送服。以上2种成药,经期停用。
食疗:
①未孵出的带毛鸡(鸭)蛋4个、生姜15克、黄酒50毫升。先将带毛鸡(鸭)蛋去壳、毛及内脏,加黄酒、生姜同煮熟,调味后服食。月经前每天1剂,连服数日。 医学百科网 | YxBaike.Com
②丝瓜籽9克,红糖适量,黄酒少许。把丝瓜籽焙干,水煎取汁,加黄酒、红糖调服。月经前每天1次,连服3~5天。
(3)痰湿证
表现:下腹包块,隐隐作痛,按之柔软,带下量多,色白粘稠,胸脘痞闷,怕冷,形体肥胖。舌质紫暗,舌苔白腻,脉濡细。 医学百科网 | YxBaike.Com
中成药:①六君子丸,每丸6~9克,每日2~3次,温开水送服。
②参苓白术丸,每次6克,每日2次,空腹时大枣煎汤或温开水送服。
食疗:
①白术250克,苍术250克,茯苓250克,生姜150克,大枣100枚。前3味洗净烘干,研细过筛,大枣去核,生姜研成泥后去姜渣。以姜枣泥调和药粉为膏,防腐贮存备用。早晚各服30克,米酒送服。 医学百科网 | YxBaike.Com
②苡仁根30克,老丝瓜(鲜品)30克,水煎取汁,加红糖少许调味服食,每日1剂,连服5天
(4)消瘤蛋 鸡蛋2个、中药壁虎5只、莪术9克,加水400克共煮,待蛋熟后剥皮再煮,弃药食蛋,每晚服1次。 功效:散结止痛,祛风定惊。适宜气滞血淤型。 医学百科网 | YxBaike.Com
(5)二鲜汤 鲜藕120克切片、鲜茅根120克切碎,用水煮汁当茶饮。
功效:滋阴凉血,祛淤止血。适宜月经量多,血热淤阻型。
(6)银耳藕粉汤 银耳25克、藕粉10克、冰糖适量,将银耳泡发后加适量冰糖炖烂,入藕粉冲服。
医学百科网 | YxBaike.Com
功效:有清热润燥止血的功效。适宜月经量多,血色鲜红者。 医学百科网 | YxBaike.Com
1、按摩 患者仰卧,施术者站于其旁,用拇指指腹按揉神阙、气海、关元、天枢、四海、归来、子宫、气冲、血海、三阴交穴,每穴1分钟。再用手掌搓热后,放置小腹部,沿顺时针方向摩腹36圈后,改逆时针方向摩腹36圈。最后用手掌自上而下平推腰背部10~15次,以酸胀为度。每日按摩1次,10次为疗程,经期停止按摩。 医学百科网 | YxBaike.Com
2.敷贴法
①透骨草15克,独活15克,白芷15克,鳖甲20克,三棱15克,莪术15克,丹参20克,红花15克,赤芍15克。共轧为粗末,装入布袋后蒸热温熨下腹,每日1~2次,每次20~30分钟,每包可连续使用5~7次,10天为1疗程,经期停用。 医学百科网 | YxBaike.Com
②蜣螂1条,威灵仙10克,分别焙干研末,用适量黄酒调敷脐中,膏药盖贴。每日1次,每次约贴1小时,经期停用。
③南星、白芥子各15克,厚朴、半夏、枳壳各12克,白芷、艾叶各10克,葱白6克。共研粗末,装入布袋后喷湿,隔水蒸半小时,趁热熨于脐下,每日1次,每次20分钟。每剂可连续使用5~7天,10次为1疗程。
医学百科网 | YxBaike.Com
④半夏10克,葱白6克。共捣为泥,敷于脐中覆以伤湿膏,每日1换,5天为1疗程。 医学百科网 | YxBaike.Com
子宫肌瘤压迫周围脏器时,宜作手术切除肌瘤。对于年龄在40岁以下、出血量多并出现贫血等并发症时,可以考虑手术根治(仅限于不再生育的妇女)。年龄大于45岁者宜保守治疗,度过更年期后,不治而愈(出血停止)。经期要慎用活血化瘀的药物,以防出血量增加,饮食上也应以清淡饮食为主,禁食辛辣煎炸之品,并适当休息。对于出血量多、急性失血、出现头晕眼花、心悸、面色苍白者应到医院治疗,以防发生失血性休克。 术后保养
首先,要确定患者的手术性质。是子宫肌瘤剔除术,还是子宫全切术。一般子宫肌瘤的患者过来更年期,都是连子宫和子宫劲全切的。如果是前者,肌瘤剔除,那么和剖腹产手术没什么区别,创面小,出血少,相对恢复容易。如果是后者,那么属于肌瘤剔除加器官摘除,相对创面和出血量都要比前者大。一般恢复期都在1-2个月之间,修养的方法和坐月子差不多,很多患者已为人母自己应该清楚的。只要不受凉不劳累,安静休息就好。另外,子宫肌瘤的手术切口很特别,注意是在肚脐下三寸的地方,横切口,不是竖的。所以恢复起来比别的手术要容易。手术过后的一两天,尤其是当天夜里比较难熬,家人多关心一下就好。另外,根据个人情况,如果保留子宫,并且患者还没绝经,那还要继续服用半年的药物控制月经到来。术后的病人一般都会全身发虚或者腰疼,不过只要安静修养问题都不大。人在生病的时候家人的关心最重要啊。 [1]
1.饮食宜清淡,不食羊肉、虾、蟹、鳗鱼、咸鱼、黑鱼等发物。 医学百科网 | YxBaike.Com
2.忌食辣椒、麻椒、生葱、生蒜、白酒等刺激性食物及饮料。 医学百科网 | YxBaike.Com
3.禁食桂圆、红枣、阿胶、蜂王浆等热性、凝血性和含激素成分的食品。
医学百科网 | YxBaike.Com
4.多食瘦肉、鸡肉、鸡蛋、鹌鹑蛋、鲫鱼、甲鱼、白鱼、白菜、芦笋、芹菜、菠菜、黄瓜、冬瓜、 香菇、豆腐、海带、紫菜、水果等。 医学百科网 | YxBaike.Com
子宫肌瘤1、子宫肌瘤造成大量出血,或长期的经量过多、经期过长以致贫血,而药物无法根治。此时,开刀切除是有效的解决办法。2、子宫肌瘤长到拳头大小,造成骨盆中的其他器官受到压迫,手术切除可解除症状,而且大的肌瘤发生恶化的几率比小肌瘤要大。
医学百科网 | YxBaike.Com
3、肌瘤生长速度太快,或者在更年期之后,肌瘤不但不萎缩,反而变大。
4、妇女不孕而其他一切检查正常,此时不孕的原因可能就是子宫肌瘤。子宫肌瘤可能会造成习惯性流产。 医学百科网 | YxBaike.Com
切除子宫肌瘤是否要切除子宫呢?这要视肌瘤的位置、大小,以及患者的年龄、生育情况、症状严重程度而决定。 医学百科网 | YxBaike.Com
至于卵巢及输卵管是否切除,就更需慎重。因为卵巢是维持女性特征的主要器官,切除两侧卵巢,则女性荷尔蒙的主要来源就没有了,需要打针或吃药补充荷尔蒙的不足,因此一般尽可能不切除卵巢,尤其是对40岁以下的妇女。 医学百科网 | YxBaike.Com
有些患者认为切除子宫时保留子宫颈才不会影响性生活。其实,子宫全切除,阴道并未缩短,而性生活所需的润滑分泌物主要来自阴道壁和外阴附近的巴式腺,和子宫没有关系。因此,切除子宫颈对性生活没有影响。另外,子宫颈癌是排名第一位的生殖系统癌,因而没有必要在切除子宫的同时保留子宫颈。 医学百科网 | YxBaike.Com
子宫肌瘤子宫肌瘤是由子宫平滑肌组织增生而形成的良性肿瘤,占妇科门诊20%左右。在35-50岁之间的妇女,子宫肌瘤发病率高达80%-90%。 医学百科网 | YxBaike.Com
流产和子宫肌瘤有无直接关系,要看肌瘤的位置。浆膜下子宫肌瘤对妊娠的影响不大;肌壁间肌瘤常使子宫增大,宫腔弯曲变形,子宫内膜面积增大;黏膜下肌瘤本身向宫腔内生长,犹如宫腔内异物刺激子宫,促其发生痉挛性收缩,导致流产。打个比方,孕卵像一粒种子,子宫腔就如土地。土地发生了变化,不仅影响种子的种植,而且妨碍已着床(种植)的孕卵生长,造成流产。
一、伤口护理:通常腹腔镜的伤口在肚脐处是一公分长,在下腹部两则各为0.5公分的伤口,在手术完后,一公分的伤口通常或做简单的缝合,此时可能使用可吸收线或不可吸收线缝合,若使用不可吸收线缝合,则应于手术后七天予以拆线,若用吸收线缝合则不需拆线;至于0.5公分的伤口,使用透气的胶布贴合就可,但有时为增加伤口愈合的整齐性,也可能用缝针、简单的缝合。对于这些伤口的护理,要注意的是保持伤口清洁、干燥等伤口完全愈合后(约十天),方可淋浴或弄湿。最重要的是,因腹腔镜的患者,住院天数极短,所以患者返家后,每天一定要注意伤口有无红、肿、热、痛的现象,以防感染发炎的发生,不过腹腔镜术后伤口的发炎相当少见。 医学百科网 | YxBaike.Com
二、阴道出血:手术时为了使卵巢、输卵管及子宫的背侧检查清楚或提供足够空间手术,通常都会由阴道放置子宫支撑器(未婚者不用),来调整子宫的位置,因而术后会有少量的阴道出血,这是正常的,不过倘若阴道出血超过二个礼拜,就要请教医师,有无异常的现象。至于做腹腔镜子宫全切除手术的患者,因阴道顶部在切除子宫后,会做断端的缝合,因而二周内的褐色出血仍属正常。要注意的是,在八周内若行房或拿重物,容易造成伤口的愈合不良引起断端出血,因此,应避免之。 医学百科网 | YxBaike.Com
三、生活起居:维持舒适的生活,并做微量的运动,有助于身体的康复,施行腹腔镜输卵管手术及腹腔镜卵巢手术的患者,在手术后二周应可恢复往日的正常的作息,而施行子宫全切除术者,除了在手术初期(二周内)应避免骑马、骑脚踏车、久坐,以免骨盆腔充血,造成术后的不适外,要特别注意,避免提超过五公斤的物品,或增加腹部负担的活动,满八周后,再依个人体力与体质,逐渐加重运动量,如此可减少因暂时性骨盆腔支撑减少,所造成的日后不适。 医学百科网 | YxBaike.Com
四、营养摄取:手术后的营养摄取原则上都是一样的,要多摄取水分以补充手术时体液的丧失。通常腹腔镜手术恢复清醒后,应该都可以恢复进食,起先,先喝些温开水,没有不适应的现象,就可以开始进流质的食物(例如:稀饭),隔天就可恢复正常的饮食,由于伤口的愈合需要利用蛋白质,因此要摄取高蛋白质的食物(例如:鱼、瘦肉、蛋…..),以加速伤口的愈合,并避免刺激性的食物,以免刺激胃酸分泌造成肠胃的不适(例如:辣椒、烟、油、咖啡)。 腹腔镜术后与一般开腹手术后最大的不同是,因手术中需灌入二氧化碳,以造成气腹方便操作,所以术后容易有残存的二氧化碳气体在腹内,因此术后宜增加蔬菜及高纤维质的水果的摄取,并避免时用产气的食物,诸如:地瓜、豆类、洋葱…..等,如此可以减少术后腹胀引起的不适。至于较大的手术,例如子宫切除手术、肠沾粘减除术、子宫颈癌根除手术……,因为麻醉时间较长加上手术时间较长,造成肠胃道吸收的气体也较多,比较容易有腹胀的现象,所以二十四小时后再进食比较合适,对于术后容易恶心、呕吐及特异体质的患者,也不需勉强自己进食,待麻醉完全消褪后再行进食就可以。 医学百科网 | YxBaike.Com
体针(之一) 1、取穴 主穴:子宫、曲骨、横骨。 配穴:皮质下(耳穴),三阴交、次髎、血海、肾俞、复溜。 2、治法 主穴每次取1~2个,可交替使用,酌加配穴。子宫穴斜刺0.8~1.0寸,曲骨和横骨均直刺0.6~0.8寸,以得气为度,施平补平泻手法,配穴除耳穴用埋针法或磁珠贴敷外,余穴手法同主穴。体穴均取双侧,耳穴取单侧轮替。留针15~20分钟。针刺隔日1次,10次为一疗程。耳穴每周埋针或贴敷2次,15次为一疗程。 3、疗效评价 疗效判别标准:痊愈:B超探查,子宫肌瘤已全部消失;基本痊愈:子宫肌瘤体积缩小2/3以上;有效:子宫肌瘤体积缩小不及2/3;无效:治疗前后,体积未见缩小。 共治346例,痊愈288例(83.2%),基本痊愈39例(11.3%),有效19例(5.5%),总有效率达100%。所治子宫肌瘤中,最大有儿头大,最小亦有鸡蛋黄大。 体针(之二) 1、取穴 主穴:阿是穴、内关、照海。 阿是穴位置:瘤体。 2、治法 上穴均取、体穴选双侧。先令患者排空尿液,阿是穴针3~4针,直刺入0.6~0.8寸;内关、照海常规针法,用平补平泻手法,留针15~30分钟,隔日1次,7次为一疗程。疗程间隔5天。 3、疗效评价 共治20例,结果痊愈15例,显效3例,有效2例,总有效率为100%。 电针 1、取穴 主穴:关元、子宫、秩边。 配穴:气海、血海、阳陵泉、三阴交。 2、治法 穴位局部消毒,以32号毫针2寸直刺穴位。得气后,接通电针仪,连续波,输出频率为70Hz,每次刺激10分钟,每日1次,15次为一疗程 疗程间休息7天。 3、疗效评价 用上述方法共治疗42例,结果痊愈33例,有效9例,有效率达100%。 火针 1、取穴 主穴:中极、关元、水道、归来、痞根。 配穴:曲池、合谷、足三里、肾俞。 2、治法 主穴及配穴肾俞用火针法,余用毫针法。主穴每次均取,配穴酌加。火针为长2寸,粗0.8mm的钨锰合金针具,针尖在酒精灯火焰上1cm处加热约5秒钟,以针体前3cm处呈鲜红为度,将针快速地剌入穴位,再快速出针,全过程应在1秒钟内完成。针剌深度:腹部穴为3cm,肾俞和痞根为1.5cm。腹部穴可加用温合灸15分钟。配穴中照海、足三里行提插捻转补法,余穴用泻法,留针15~20分钟。每周治疗3次,12次为一疗程,一般须三疗程。 3、疗效评价 共治50例,痊愈7例,显效18例,有效17例,无效8例,总有效率84%。 医学百科网 | YxBaike.Com
1、LHRH激动剂(LHRH-A):即GnRHa为近年来一种新型抗妇科疾病药物。LHRH大量持续应用后,垂体细胞受体被激素占满而无法合成与释放FSH及LH;另外,LHRH有垂体外作用,大剂量应用后促使卵巢上的LHRH受体增多,降低卵巢产生雌、孕激素能力。由于药物明显抑制FSH,减少卵巢激素分泌,其作用似“药物性卵巢切除”,使肌瘤萎缩。LHRH与LHRH-A为同功异质体,但后者较前者活性高数十倍。 用法:LHRH-A,多用肌注,也可用于皮下植入或经鼻喷入。自月经第一天起肌注100~200μg,连续3~4个月。其作用取决于应用剂量、给药途径和月经周期的时间。用药后肌瘤平均缩小40~80%,症状缓解、贫血纠正。血清E2下降与肌瘤缩小相一致。FSH.LH无明显变化。停药后不久肌瘤又重新长大,提示LHRH-A的作用是暂短的和可逆的。如用于围绝经期,在有限时间内达到自然绝经。如用于保留生育者,当肌瘤缩小、局部血流减少,从而减少手术中出血和缩小手术范围;或原影响输卵管口肌瘤,治疗后肌瘤缩小使不通畅的输卵管变通畅,提高受孕率。为减少停药后肌瘤重新长大,在用LHRH-A时,序贯应用醋酸甲孕酮200~500mg,则可维持其疗效。 副作用为潮热、出汗、阴道干燥或出血障碍。因低雌激素作用可有骨质疏松可能。 医学百科网 | YxBaike.Com
2、丹那唑:具有微弱雄激素作用。丹那唑抑制丘脑、垂体功能,使FSH.LH水平下降,从而抑制卵巢类固醇的产生,亦可直接抑制产生卵巢类固醇的酶。从而使体内雌激素水平下降而抑制子宫生长,内膜萎缩而闭经。同时,肌瘤亦萎缩变小。但年轻者应用,停药6周后月经可恢复。故需重复应用。 用法:200mg,1日3次口服,从月经第二天开始连续服6个月。 副反应为潮热、出汗、体重增加、痤疮、肝功SGPT升高(用药前后查肝功)。停药2~6周可恢复。 医学百科网 | YxBaike.Com
3、棉酚:是从棉籽中提出的一种双醛萘化合物,作用于卵巢,对垂体无抑制,对子宫内膜有特异萎缩作用,而对内膜受体也有抑制作用,对子宫肌细胞产生退化作用,造成假绝经及子宫萎缩。此药有中国丹那唑之美称,用于治疗子宫肌瘤症状改善有效率为93.7%,肌瘤缩小为62.5%。 用法:20mg,每日1次口服,连服2个月。以后20mg,每周2次,连服1个月。再后1周1次,连服1个月,共4个月。因棉酚副作用为肾性排钾,故需注意肝、肾功能及低钾情况。通常用棉酚时需加服10%枸橼酸钾。停药后卵巢功能恢复。 医学百科网 | YxBaike.Com
4、维生素类:应用维生素治疗子宫肌瘤在于它可降低子宫肌层对雌激素的敏感性,对神经内分泌系统有调节作用,使甾体激素代谢正常化而促使肌瘤缩小。1980年苏联Палла дии报道以vit A为主,加vit B、C、E等综合治疗小肌瘤,效果达80%以上,无副作用。国内包岩亦试用,治愈率达71.6%,此法适用于小型肌瘤。 用法:vit A150,000IU,自月经第十五~二十六天,每日口服。vit Bco1片1日3次,自月经第五~十四天口服。vitc,0.5,每日2次,自月经第十二~二十六天口服。vit E 100mg,1日1次,于月经第十四~二十六日口服,共服6个月。 医学百科网 | YxBaike.Com
5、雄激素:对抗雌激素,控制子宫出血(月经过多)及延长月经周期。 用法:甲基睾丸素10mg,舌下含化,每日1次,连服3个月。或月经干净后4~7天开始,每日肌注丙酸睾丸酮1次,每次25mg,连续8~10日,可获止血效果。长效男性素为苯乙酸睾丸素,作用比丙酸睾丸酮强3倍,150mg每月注射1~2次。一般不会出现男性化,即使出现,停药后症状自然消失。雄激素应用宜在6个月以内,如需再用,应停1~2月后。 按上述剂量长期给药,多无副作用。可使近绝经妇女进入绝经期而停止出血。用雄激素后不仅可使肌瘤停止生长,而且可使1/3~1/2的患者的肌瘤退化、萎缩变小。因雄激素使水盐潴留,故对心力衰竭、肝硬化、慢性肾炎、浮肿等患者应慎用或忌用。由于有的学者认为肌瘤的发生还可能与雄激素有关,故有的倾向不用雄激素。
6、孕激素:孕激素在一定程度上是雌激素的对抗剂,且能抑制其作用,故有的学者用孕激素治疗伴有卵泡持续存在的子宫肌瘤。常用孕激素有:甲孕酮(安宫黄体酮)、妇宁片(甲地孕酮)、妇康片(炔诺酮)等。可根据患者具体情况行周期或持续治疗的假孕疗法,使肌瘤变性、软化。但因可使瘤体增大和不规则子宫出血,不宜长期应用。 甲孕酮:周期治疗为每日口服4mg,自月经第六~二十五天口服。持续疗法:第一周4mg,1日3次口服,第二周8mg,1日2次。以后10mg,1日2次。均持续应用3~6个月。亦有用10mg,1日3次,连服3个月。 妇康片:周期治疗为每日口服5~10mg,自月经第六~二十五天或第十六~二十五日。持续疗法为第一周5mg,1日1次,第二周10mg,1日1次。以后10mg,1日2次。均应用3~6个月。 医学百科网 | YxBaike.Com
7、三苯氧胺(tamoxifin,TMX):TMX为双苯乙烯衍生物,为一种非甾体的抗雌激素药物。它是通过与胞浆中ER竞争性结合,形成TMX-ER的复合物,运送至细胞核内长期潴留。TMX先作用于垂体,继而影响卵巢,同时对卵巢亦有直接作用。TMX对ER阳性效果较好。 用法:10mg,1日3次口服,连服3个月为一疗程。副反应有轻度潮热、恶心、出汗、月经延迟等。
医学百科网 | YxBaike.Com
微创技术应用于妇科子宫肌瘤手术,是医学的又一大进步,目前在发达国家已广泛应用,是子宫肌瘤的首选手术方法,取得非常好的效果BBT自凝术与腹腔镜微创手术,治疗效果明显。 子宫肌瘤是女性生殖器中最常见的一种良性妇科疾病肿瘤。多见于30-50 岁女性,其中以40-50岁发生率最高,占51.2% -60%;据估计35-50岁年龄妇女约20% -25%,患有子宫肌瘤。 子宫肌瘤的治疗应根据患者的年龄、症状、肌瘤大小、生育情况及全身健康状况等进行全面考虑后再作决定。 期待疗法 一般肌瘤小于妊娠8周,无明显症状,无并发症及无肌瘤变性,或近绝经期妇女子宫小于妊娠12周大小,月经正常,无压迫症状者,可采取期待疗法,暂时观察。坚持每3-6个月复查一次,即在临床及影像学方面实行定期随访观察,一般在绝经后肌瘤可逐渐萎缩。但应注意,绝经后少数患者子宫肌瘤并不萎缩反而增大,故应加强随访。在随访期间发现肌瘤增大、生长迅速者,粘膜下肌瘤或怀疑肌瘤变性者,或症状明显、合并贫血者,应考虑手术治疗。 肌瘤剔除术 主要适用于45岁以下,尤40岁以下,希望保留生育功能的患者。无论浆膜下、肌壁间,甚至粘膜下肌瘤均可行肌瘤剔除术,保留子宫。粘膜下肌瘤可经宫腔镜手术切除,宫腔镜手术患者痛苦小,术后恢复快,甚至可在门诊进行手术。脱出至阴道内的带蒂粘膜下肌瘤可经阴道切除。浆膜下、肌壁间肌瘤可行腹腔镜微创下肌瘤剔除术。 全子宫切除术 对年龄较大、症状明显、无继续生育要求的子宫肌瘤患者应作全子宫切除术,年龄在50岁左右可保留一侧或两侧正常卵巢以维持其内分泌功能。全子宫切除手术可通过电视腹腔镜、经阴道或开腹进行。经腹腔镜或经阴道手术对患者创伤小,恢复快,几乎不留疤痕,住院时间短,是目前妇科手术发展的趋势。 医学百科网 | YxBaike.Com
中医认为乳腺病的发病原因,多与情绪因素有关,即“随喜怒而消长”,如怒气伤肝,气滞血瘀、冲任经脉失调,上行乳腺,故可引起乳腺增生。 有部分病人,如不及时治疗,肝瘀气滞,血运不畅,胞脉受阻,血室失养,日久痰湿血瘀内停,下行胞宫,积于子宫,故可结为子宫肌瘤。导致内分泌失调,代谢废物不能排出体外,瘀积于皮下,色素沉着而形成面部黄褐斑。它们"异病同源"可以“异病同治”。 医学百科网 | YxBaike.Com
附件列表
词条内容仅供参考,如果您需要解决具体问题,请遵医嘱或咨询医师。
本站词条内容如果涉嫌侵权,请与客服联系,我们将及时进行处理。如需转载,请注明来源于www.yxbaike.com
